- Tăng glucocorticoid (hội chứng Cushing và hội chứng Cushing dưới lâm sàng).
- Tăng catecholamines (bướu sắc bào tủy tuyến thượng thận).
1.4.1 Cường aldosterone nguyên phát
Cường aldosterone nguyên phát hay bướu tăng sản xuất aldosterone, hay bệnh Conn do bướu TTT. Nguyên nhân chính gây cường aldosterone nguyên phát: bướu tuyến vỏ thượng thận chiếm tỉ lệ 50% và tăng sản vỏ TTT hai bên chiếm tỉ lệ từ 25 đến 50%. 30 Tăng huyết áp và giảm kali máu (kali < 3,5 mEq/L) nên tầm soát tình trạng cường aldosterone nguyên phát. 38
Lâm sàng
Biểu hiện tăng huyết áp: cơ chế gây tăng huyết áp là do cường aldosterone. Trong cơ thể aldosterone có tác dụng điều hoà thăng bằng nước và điện giải thông qua hệ Renin – Angiotensin - Aldosterone. Sự tăng tái hấp thu Na+ do aldosterone đã làm gia tăng thể tích huyết tương và dịch ngoại bào dẫn đến tăng cung lượng tim. Aldosterone còn tác dụng trực tiếp lên hệ thần kinh trung ương gây tăng huyết áp.
Cận lâm sàng
Định lượng aldosterone trong huyết tương (Plasma Aldosterone Concentration, PAC, ng/dL) trong khoảng thời gian từ 8 giờ đến 10 giờ sáng. Đánh giá hệ Renin – Angiotensin - Aldosterone (Renin Angiotensin Aldosterone System, RAAS) cho phép chẩn đoán chính xác cường aldosterone nguyên phát. Định lượng hoạt tính renin huyết tương bất kỳ (Plasma Renin Activity, PRA, ng/mL/giờ), giảm trong cường aldosterone nguyên phát. 39 Định lượng nồng độ renin trực tiếp trong huyết tương (Direct Renin Concentration, DRC, mIU/L), có thể chuyển đổi giá trị này sang hoạt tính renin huyết tương bất kỳ (PRA, ng/mL/giờ) với hệ số chuyển đổi 8,2. 40
Cường aldosterone nguyên phát là do bướu tuyến vỏ thượng thận sản xuất quá nhiều aldosterone nên ức chế mạnh hệ Renin-Angiotensin và ACTH thường giảm 8h- 12h. Tỉ số Aldosterone Renin (Aldosterone Renin Ratio, ARR) ARR = PAC/PRA > 30 và nồng độ aldosterone huyết tương (PAC) > 20 ng/dL có thể chẩn đoán cường aldosterone nguyên phát với độ nhạy 66 - 100% và độ đặc hiệu 61 - 96%. 41,42
Hiệp hội các phẫu thuật viên Nội Tiết Mỹ và Hiệp hội các nhà lâm sàng Nội Tiết Mỹ (2009) đồng thuận chẩn đoán cường aldosterone nguyên phát khi tỉ số Aldosterone Renin, AR = PAC/PRA > 20 (Aldosterone Renin Ratio, ARR) và nồng độ aldosterone huyết tương > 15 ng/dL. 38
Thuốc lợi tiểu giữ kali như amiloride và đặc biệt là thuốc ức chế thụ thể như spironolactone làm thay đổi hệ Renin – Angiotensin – Aldosterone và ảnh hưởng đến kết quả xét nghiệm. Các thuốc này nên ngưng sử dụng khoảng 6 tuần trước khi thực hiện xét nghiệm. 43
Khi cường aldosterone nguyên phát được chẩn đoán và quyết định phẫu thuật cắt bướu TTT, lấy mẫu máu tĩnh mạch TTT để xét nghiệm có thể là cần thiết trong một số trường hợp.
1.4.2 Hội chứng Cushing và Cushing dưới lâm sàng
Hội chứng Cushing là do tăng tiết glucocorticoid và biểu hiện những triệu chứng lâm sàng của hội chứng Cushing: dễ bị vết thâm tím, mặt ửng đỏ, vết rạn da, tăng lớp mỡ vùng cổ vai, mặt tròn, mụn và chứng rậm lông ở nữ hoặc hói đầu ở nam. 30
Hội chứng Cushing dưới lâm sàng thuộc nhóm tăng tiết glucocorticoid dưới lâm sàng là bất thường nội tiết tố thường gặp nhất ở bệnh nhân bướu TTT phát hiện tình cờ. Bệnh nhân chưa có biểu hiện triệu chứng lâm sàng của hội chứng Cushing. Một số bướu TTT phát hiện tình cờ tiết cortisol không phụ thuộc ACTH, gây nên những thay đổi lâm sàng quan trọng. 44,45
Mặc dù những bệnh nhân này không có dấu hiệu lâm sàng của hội chứng Cushing nhưng vẫn có ảnh hưởng từ tình trạng tăng tiết nội tiết tố liên tục không phụ thuộc ACTH, bao gồm: tăng huyết áp, rối loại lipid máu, đái tháo đường, tăng cân, loãng xương và bằng chứng của xơ vữa mạch máu. 46
Cận lâm sàng
Trong thực hành lâm sàng, có 3 xét nghiệm để tầm soát tình trạng tăng tiết glucocorticoid ở bệnh nhân có bướu TTT phát hiện tình cờ: (1) nghiệm pháp ức chế bằng liều thấp dexamethasone, (2) định lượng cortisol trong nước bọt vào ban đêm,
(3) định lượng cortisol tự do trong nước tiểu trong 24 giờ. 47
Nghiệm pháp 1 mg dexamethasone qua đêm: bệnh nhân được cho uống 1 mg dexamethasone trong khoảng thời gian 23 giờ đến 24 giờ. Cortisol huyết tương được định lượng vào sáng hôm sau trong khoảng thời gian 8 giờ đến 9 giờ. Bệnh không có hội chứng Cushing khi nồng độ cortisol huyết tương bị ức chế dưới 5 microgram/dL (140 nmol/L), độ nhạy hơn 95%. 48 Ngưỡng cortisol huyết tương sau nghiệm pháp 1 mg dexamethasone qua đêm > 1,8 microgram/dL (> 50 nmol/l), độ nhạy 90% và độ đặc hiệu 80%. 48
Các phương pháp định lượng cortisol trong nước bọt được lấy trong khoảng thời gian từ 11 giờ đêm đến nửa đêm hoặc trước khi đi ngủ không được vượt quá 145 ng/dL khi sử dụng phương pháp sắc ký lỏng. 48 Độ nhạy và độ đặc hiệu của xét nghiệm trên 90%. Tuy nhiên, một phân tích tổng hợp số liệu lớn đã kết luận rằng xét nghiệm cortisol nước bọt ban đêm, cho đến nay vẫn kém hơn so với nghiệm pháp ức chế bằng liều thấp dexamethasone và định lượng cortisol tự do trong nước tiểu trong 24 giờ.
48,49
Định lượng cortisol tự do trong nước tiểu trong 24 giờ: giá trị cortisol tăng gấp 2 - 4 lần so với giới hạn trên giá trị bình thường, có thể chẩn đoán tình trạng tăng tiết glucocorticoid. 38,50
Các xét nghiệm để chẩn đoán tăng tiết cortisol là một thách thức trong thực hành lâm sàng. Đặc biệt những hướng dẫn khuyến cáo khoảng giá trị bình thường của các xét nghiệm chẩn đoán rất khác nhau. Chẩn đoán hội chứng Cushing dưới lâm sàng chưa có xét nghiệm tiêu chuẩn vàng. 51 Gần đây, adiponectin là một amino acid, nội tiết tố này được tiết ra từ tế bào mỡ, có thể tiên đoán hội chứng Cushing dưới lâm sàng. Định lượng adiponectin trong huyết tương có giá trị ≤ 13 ng/mL, tiên đoán có hội chứng Cushing dưới lâm sàng với độ nhạy 87,5% và độ đặc hiệu 77,4%. 52
Hiện tại, các xét nghiệm tầm soát tình trạng tăng tiết glucocorticoid không thể có độ nhạy 100%. Do đó, việc sử dụng một loại xét nghiệm không thể loại trừ tình trạng tăng tiết glucocorticoid. Trong thực hành lâm sàng, một số TH có thể sử dụng 3 loại xét nghiệm này cùng lúc. 38
1.4.3 Bướu tăng sản xuất nội tiết tố sinh dục
Sự tăng sản xuất nội tiết tố sinh dục TTT do bướu TTT phát hiện tình cờ là cực kỳ hiếm. Bướu TTT phổ biến nhất gây tăng sản xuất nội tiết tố giới tính là ung thư biểu mô TTT đồng thời bướu cũng gây tăng tiết cortisol. 53
Bướu TTT tăng tiết androgen như testosterone và/hoặc 17-ketosteroids đã được ghi nhận chủ yếu ở giới nữ và khoảng 50% các TH là lành tính. 53
Xét nghiệm kiểm tra nội tiết tố giới tính hiện không được khuyến cáo đối với bướu TTT phát hiện tình cờ. 37,47 Tuy nhiên, xét nghiệm androgen ở TTT nên được thực hiện đối với những TH nghi ngờ ung thư biểu mô vỏ TTT. 10
Chẩn đoán bướu TTT tăng tiết androgen khi tăng nồng độ DHEA-S trong huyết tương cao hơn giá trị bình thường theo tuổi. 50
1.4.4 Bướu sắc bào tủy tuyến thượng thận
Trước đây, bệnh nhân có bướu sắc bào tủy TTT thường được phát hiện khi có triệu chứng lâm sàng. Tuy nhiên, ngày nay với sự phổ biến của chụp cắt lớp vi tính, bướu sắc bào tủy TTT cũng được phát hiện ở trạng thái dưới lâm sàng. 54
Bướu sắc bào tủy TTT kích thước nhỏ (< 1,5 cm) có thể có kết quả sinh hóa trong giới hạn bình thường. Bướu sắc bào tủy TTT cần có kích thước đủ lớn để nồng độ sinh hóa có thể phát hiện.
Xét nghiệm catecholamines và các sản phẩm chuyển hóa của chúng trong nước tiểu 24 giờ là những xét nghiệm kinh điển, đáng tin cậy để chẩn đoán bướu sắc bào tủy TTT. Tuy nhiên, gần đây nhiều tác giả đã nghiên cứu và giới thiệu phương pháp định lượng metanephrines tự do trong huyết tương như là một phương pháp thay thế để sàng lọc bướu sắc bào tủy TTT. 55
Bướu sắc bào tủy TTT chứa một lượng lớn enzyme Catechol-O- methyltransferase (COMT), giúp chuyển norepinephrine và epinephrine thành các chất dẫn xuất O-methyl là normetanephrine và metanephrines. Các chất này tuần hoàn trong máu ở dạng tự do và được gắn sulfate khi đi qua tuần hoàn dạ dày và ruột, dạng gắn sulfate sẽ được lọc qua thận và thải ra nước tiểu.
Bảng 1.1: Độ nhạy và độ đặc hiệu các xét nghiệm nội tiết tố tủy thượng thận
Độ nhạy (%) | Độ đặc hiệu (%) | |
Metanephrines/huyết tương | 99 | 89 |
Catecholamines/huyết tương | 84 | 81 |
Metanephrines/nước tiểu | 97 | 69 |
Catecholamines/nước tiểu | 86 | 88 |
Metanephrines toàn phần/nước tiểu | 77 | 93 |
Có thể bạn quan tâm!
-
Nghiên cứu chẩn đoán và điều trị phẫu thuật bướu tuyến thượng thận phát hiện tình cờ - 1 -
Nghiên cứu chẩn đoán và điều trị phẫu thuật bướu tuyến thượng thận phát hiện tình cờ - 2 -
Vùng Phẫu Tích Để Nhận Dạng Tĩnh Mạch Ttt Phải -
Tổng Quan Các Chỉ Định Điều Trị Bướu Tuyến Thượng Thận Phát Hiện Tình Cờ -
Kẹp Cắt Tm Tuyến Thượng Thận Phải Nhìn Từ Trong Phúc Mạc -
Phương Pháp Và Công Cụ Đo Lường, Thu Thập Số Liệu
Xem toàn bộ 169 trang tài liệu này.
“Nguồn: Lenders J. W., 2002” 55
Trong thực hành lâm sàng, chẩn đoán bướu sắc bào tủy TTT khi định lượng metanephrines toàn phần trong nước niểu 24 giờ, giá trị lớn hơn 1800 microgram/24 giờ, 38 hoặc catecholamines hoặc metanephrines trong nước niểu 24 giờ lớn hơn 2 lần giá trị giới hạn trên bình thường. 50
Các nguyên nhân gây dương tính giả trong xét nghiệm metanephrines: những thuốc gây tăng catecholamines (chống trầm cảm, levodopa, cai nghiện với clonidine, chống loạn thần, ức chế alpha) và những tình trạng làm tăng catecholamines (stress, phẫu thuật, đột quỵ, nhồi máu cơ tim, ngưng thở lúc ngủ do tắc nghẽn).
Xạ hình Metaiodobenzylguanidine
Metaiodobenzylguanidine (MIBG) là một chất tương tự như norepinephrine, chất này được hấp thu và dự trữ tại tế bào ưa chrom trong tủy thượng thận hoặc ngoài TTT. Xạ hình 131I MIBG dành cho những TH có bằng chứng về sinh hóa nhưng không thấy hình ảnh bướu trên CT scan hay MRI. Xạ hình thường được dùng trong những TH bướu sắc bào tủy TTT có liên quan với các hội chứng có tính gia đình, bướu tái phát hay di căn. Ngoài ra, MIBG còn giúp xác định vị trí những bướu tiết catecholamines nằm ngoài TTT hay nghi ngờ bướu ở nhiều vị trí. Hiện nay, Trung tâm Y học hạt nhân, Bệnh viện Chợ Rẫy có thể thực hiện được cận lâm sàng nay.
Chụp m etaiodobenzylguanidine có độ đặc hiệu cao từ 95 - 100% với bướu sắc bào tủy TTT và rất có giá trị trong việc phát hiện bướu ngoài TTT (“bướu TTT lạc chỗ”). Nhưng độ nhạy 77 - 90%, không đủ để loại trừ chẩn đoán kết quả âm
tính. 56 Metaiodobenzylguanidine với 123I cho chất lượng hình ảnh của tủy thượng thận và bướu sắc bào tủy TTT tốt hơn với 131I. 56
1.5 CHẨN ĐOÁN HÌNH ẢNH HỌC CỦA BƯỚU TUYẾN THƯỢNG THẬN
Chụp cắt lớp vi tính (CT scan) hay chụp cộng hưởng từ (MRI) với khoảng cách mỗi lát cắt từ 2 - 3 mm có thể dự đoán một số hình ảnh mô học của bướu TTT. 37,57 Bướu TTT với đậm độ giàu mỡ của vỏ thượng thận rất có giá trị để phân biệt bướu lành tính và bướu ác tính.
1.5.1 Chụp cắt lớp vi tính (CT Scan)
Dựa vào hình ảnh chụp cắt lớp vi tính, đậm độ của bướu thể hiện độ tập trung của tia. Mỡ nội bào của bướu tuyến vỏ thượng thận là hình giảm đậm độ trên phim CT scan không cản quang, trong khi đó bướu không phải bướu tuyến vỏ có hình tăng đậm độ. Thang đo Hounsfield là phương pháp bán định lượng để đo mật độ tia. Đậm độ điển hình của độ Housfield trước tiêm cản quang mô mỡ (- 20 đến - 150 HU) và thận (20 đến 150 HU). Nếu bướu TTT được đo < 10 HU trên phim không cản quang thì khả năng gần 100% là một bướu tuyến vỏ lành tính.
Trên phim có cản quang thì muộn, bướu tuyến vỏ thượng thận thường sẽ cho hình ảnh bắt thuốc nhanh, thải thuốc trung bình trong khi đó bướu không phải bướu tuyến vỏ thượng thận sẽ thải thuốc chậm. 58 Sau 10 - 15 phút khi tiêm thuốc cản quang, thuốc cản quang tan được và thải > 50% với 100% độ nhạy và độ đặc hiệu cho những TH bướu tuyến vỏ thượng thận so với những TH bướu sắc bào tuỷ TTT và di căn. 58 Những đặc điểm hình ảnh học không tiên đoán được chức năng nội tiết tố của bướu TTT.
Phần trăm (%) thải thuốc cản quang = [D1’-(D10’ hoặc D15’)]x100/(D1’-D0)
Ghi chú: Đậm độ (Density) Hounsfield trước tiêm (D0), sau tiêm 1 phút (D1’), sau tiêm 10 phút (D10’) và sau tiêm 15 phút (D15’). 59
1.5.2 Chụp cộng hưởng từ (MRI)
Mặc dù CT scan là hình ảnh học được khuyến cáo ưu tiên trong phần lớn các TH, cộng hưởng từ (MRI) cũng có những lợi ích trên một số tình huống lâm sàng
nhất định. Theo dõi hình ảnh học bằng MRI tránh tình trạng phơi nhiễm phóng xạ do thực hiện lặp lại CT scan.
- MRI spin-echo thường quy là phương pháp được dùng nhiều nhất. Sử dụng trường chiếu năng lượng thấp và vừa, thì T1 và T2 có thể phân biệt bướu tuyến vỏ lành tính hay ác tính và bướu sắc bào tủy TTT.
- MRI Gadolinium-diethylene triamine pentaacetic acid: các bướu tuyến vỏ thượng thận cho hình ảnh tăng quang vừa và thải thuốc nhanh, trong khi đó các sang thương ác tính cho thấy bắt thuốc cản quang nhanh rõ rệt đồng thời thải thuốc chậm.
- MRI với hình chuyển đổi hóa học có khả năng phân biệt chính xác bướu tuyến vỏ thượng thận với không phải bướu tuyến vỏ thượng thận dựa trên độ tăng của nồng độ chất béo nội bào, độ nhạy là 94% (95% CI 88 - 97%) và độ đặc hiệu là 95% (95% CI 89 - 97%). 60
1.5.3 Chụp cắt lớp phát xạ positron
Chụp cắt lớp phát xạ positron (Position emission tomography, PET) với Fludeoxyglucose F18 (FDG) 61 hoặc 11C-metomidate (MTO) 62 có thể có giá trị trong một số TH nhất định (ví dụ: tiền sử bệnh ác tính hoặc hình ảnh trên phim CT scan không cản quang hoặc phim thì thải thuốc có nghi ngờ ác tính). 63 Chụp cắt lớp phát xạ positron có độ nhạy cao trong các TH cần xác định ác tính. 37
1.5.4 Đặc điểm hình ảnh của bướu ác tính
Đặc điểm hình ảnh học của bướu ác tính có một số đặc điểm gợi ý: 37,38
- Hình dạng bất thường.
- Đậm độ không đồng nhất vì có phần trung tâm giảm đậm độ do hoại tử bướu.
- Bướu có vôi hóa.
- Đường kính bướu > 4 cm.

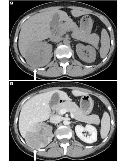
Hình 1.7: Hình ung thư vỏ tuyến thượng thận trên phim CT scan
“Nguồn: Young W. F., Jr., 2007” 37
- Có tăng đậm độ mô ở phim CT scan không cản quang (> 20 HU).
- Đậm độ không đồng nhất ở phim CT scan có cản quang.
- Chậm thải thuốc ở phim thì thải thuốc (10 phút sau khi tiêm thuốc cản quang, lượng thuốc cản quang thải < 50%).
- Giảm đậm độ so với nhu mô gan ở phim MRI thì T1 và có tăng tín hiệu từ mạnh đến trung bình ở thì T2.
- Bằng chứng của xâm lấn mô xung quanh hoặc di căn.






