đủ, trộn đều. Bổ sung 10 ml dung dịch môi trường hòa tan vào cốc sau khi hút 10 ml.
- Đo độ hấp thu của dung dịch chuẩn và thử ở bước sóng 330 nm.
2.4.3. Giai đoạn 3
Điều kiện thử nghiệm:
- Môi trường hòa tan: 900 ml dung dịch đệm phosphat pH 6,8.
- Thiết bị: Cánh khuấy.
- Tốc độ khuấy: 50 vòng/phút.
- Nhiệt độ: 37 ± 0,5oC
- Thời gian: 2 giờ, 4 giờ, 6 giờ.
Tiến hành:
Có thể bạn quan tâm!
-
Kết Quả Thử Nghiệm Độ Hòa Tan Công Thức Ct8 (N = 6) -
Tính Chất: Bằng Cảm Quan, Thuốc Phải Đạt Các Yêu Cầu Đã Nêu. -
Độ Đồng Đều Khối Lượng: Theo Usp 43, Phụ Lục <905>. -
Nồng Độ Mesalamin Trong Huyết Tương Cho Sau Khi Uống Pellet Nhân -
Pic Sắc Ký Lỏng Khối Phổ Đường Chuẩn Nồng Độ 250 Ppb Và 500Ppb -
Pic Sắc Ký Lỏng Khối Phổ Pellet Gptđt Thời Điểm 2 Giờ
Xem toàn bộ 299 trang tài liệu này.
- Dung dịch thử: sau thời gian thử theo qui định, rút 10 ml dịch hòa tan, hút chính xác 2 ml dung dịch này vào bình định mức 20 ml, thêm môi trường vừa đủ, trộn đều. Bổ sung 10 ml dung dịch môi trường hòa tan vào cốc sau khi hút 10 ml.
- Đo độ hấp thu của dung dịch chuẩn và thử ở bước sóng 330 nm.
2.4.4. Tính toán:
- Dung dịch chuẩn: Cân chính xác khoảng 27,8 mg Mesalamin vào bình định mức 100 ml, thêm 30 ml môi trường hòa tan, lắc siêu âm hòa tan, thêm môi trường vừa đủ thể tích. Hút chính xác 2 ml dung dịch này vào bình định mức 20 ml, thêm môi trường vừa đủ, trộn đều thu được dung dịch chuẩn.
- Tính lượng mesalamin giải phóng bằng cách so sánh độ hấp thụ UV của dung dịch thử và chuẩn trong môi trường pH 1,2 tại bước sóng 301 nm; pH 6,8 và pH 7,4 tại bước sóng 330 nm theo công thức
C
n1
n Vm Vl Ci
X i1 100 + X
n P
Trong đó:
Xn : % lượng hoạt chất giải phóng tại thời điểm thứ n
Cn : Nồng độ hoạt chất định lượng được tại thời điểm lấy mẫu thứ n (mg/ml)
Ci: Nồng độ hoạt chất định lượng được của mẫu lấy tại các thời điểm trước thời điểm thứ n
Vm : Thể tích môi trường hòa tan (ml) Vl : Thể tích lấy mẫu (ml)
P : Hàm lượng hoạt chất theo nhãn
X: % lượng hoạt chất giải phóng trong môi trường ở giai đoạn trước
2.5. Định lượng:
2.5.1. Điều kiện sắc ký:
- Tiền cột: 2 cột L1 (4,6 mm x 3,0 cm; 10 µm) đặt giữa bơm và bộ phận tiêm mẫu
- Cột: L1 (4,6 mm x 3,3 cm; 3 µm)
- Detector UV: Tại bước sóng 230 nm
- Tốc độ dòng: 2 ml/phút
- Thể tích tiêm mẫu: 20 µl
- Pha động: Hòa tan 4,3 g natri 1-octanesulfonat trong 1 lít nước, điều chỉnh đến pH 2,15 bằng acid phosphoric, lọc qua màng lọc lỗ lọc 0,45 µm, khử khí.
2.5.2. Tiến hành:
- Dung dịch gốc tương thích hệ thống: Cân 20 mg acid 3-aminosalicylic và 20 mg chuẩn acid salicylic vào bình định mức 200 ml, thêm 50 ml acid hydroclorid 1 N, lắc siêu âm hòa tan, thêm nước vừa đủ thể tích.
- Dung dịch tương thích hệ thống: Hút 5 ml dung dịch gốc tương thích hệ thống cho vào bình định mức 50 ml, thêm nước vừa đủ thể tích được dung dịch tương thích hệ thống.
- Dung dịch chuẩn gốc: Cân chính xác khoảng 25 mg chuẩn mesalamin vào bình 25 ml, thêm 5 ml acid hydroclorid 0,25 N, lắc siêu âm hòa tan, thêm nước vừa đủ thể tích.
- Dung dịch chuẩn: Hút chính xác 10 ml dung dịch chuẩn gốc và 5 ml dung dịch tương thích hệ thống vào bình định mức 50 ml, thêm nước vừa đủ, trộn đều và lọc qua màng lọc 0,5µm.
- Dung dịch thử gốc: Cân 20 đơn vị lấy ngẫu nhiên, tính khối lượng trung bình pellet thuốc trong nang. Nghiền mịn và cân một lượng chế phẩm tương đương 400 mg mesalamin vào bình định mức 500 ml, thêm 50 ml acid hydroclorid 1 N, lắc siêu âm 10 phút, thêm nước vừa đủ, lọc.
- Dung dịch thử: Hút chính xác 25 ml dung dịch thử gốc vào bình định mức 100 ml, thêm nước vừa đủ, trộn đều và lọc qua màng lọc 0,5 µm.
- Tiêm riêng rẽ 20 µl dung dịch chuẩn, dung dịch thử vào hệ thống sắc ký, ghi lại sắc ký đồ và đáp ứng của pic chính,
- Tính tương thích hệ thống: Tiêm dung dịch chuẩn: độ phân giải giữa mesalamin và acid salicylic hoặc acid 3-aminosalicylic không nhỏ hơn 2; hệ số đối xứng không lớn hơn 2; độ lệch chuẩn giữa các lần tiêm không lớn hơn 2,0%.
2.5.3. Tính toán:
Tính phần trăm hàm lượng mesalamin (C7H7NO3) có trong viên theo công thức:
𝑅𝑢 𝑥 𝑚𝑠 𝑥 𝑃𝑠% 𝑥 (1 − 𝐴𝑠%)𝑥 𝑉𝑢 𝑥 𝑀𝑣
𝑅𝑠 𝑥 𝑚𝑢 𝑥 𝑉𝑠 𝑥 125
- Ru/Rs: Diện tích pic mesalamin dung dịch thử, dung dịch chuẩn
- Ps/As: Hàm lượng, độ ẩm chuẩn
- Mu/ms: Khối lượng cân thử, chuẩn (mg)
- Vu/Vs: Hệ số pha loãng dung dịch thử, chuẩn
- Mv: Khối lượng trung bình viên (mg)
3. ĐÓNG GÓI – NHÃN – BẢO QUẢN:
![]()
Đóng gói : Lọ thủy tinh nâu.
![]()
Dán nhãn : In rõ ràng, đúng quy chế.
![]()
Bảo quản : Nơi khô, nhiệt độ không quá 30°C, tránh ánh sáng.
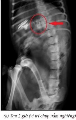
PHỤ LỤC 5. MỘT SỐ DỮ LIỆU ĐÁNH GIÁ IN VIVO
Một số dữ liệu đánh giá sự dịch chuyển in vivo trong đường tiêu hóa chó bằng phương pháp hình ảnh x-quang





Phụ lục 5.1. Hình ảnh X-quang chó 2 ở thời điểm (a) sau 2 giờ ở vị trí nằm nghiêng, (b) sau 4 giờ ở vị trí nằm ngửa, (c) sau 4 giờ ở vị trí nằm nghiêng, (d) sau 7 giờ ở vị trí nằm ngửa, (e) sau 7 giờ ở vị trí nằm nghiêng, (f) sau 9 giờ ở vị trí nằm ngửa, (g) sau 9 giờ ở vị trí nằm nghiêng, (h) sau 11 giờ ở vị trí nằm ngửa và (i) sau 11 giờ ở vị trí nằm nghiêng


Phụ lục 5.2. Hình ảnh X-quang chó 3 ở thời điểm (a) sau 2 giờ 15 ở vị trí nằm ngửa, (b) sau 4 giờ ở vị trí nằm ngửa, (c) sau 7 giờ ở vị trí nằm ngửa và (d) sau 9 giờ ở vị trí nằm ngửa








