Bảng 2.1:Bảng đánh giá độ nặng của tổn thương chi
Mức độ | Điểm | |
Tổn thương xương, phần mềm | Nhẹ (gãy đơn giản do lực chấn thương vừa) | 1 |
Vừa (gãy hở độ I, II, gãy kín nhiều mảnh, sai khớp do lực chấn thương tương đối mạnh) | 2 | |
Nặng (gẫy hở độ III do lực chấn thương mạnh) | 3 | |
Rất nặng (dập nát toàn bộ chi do lực chấn thương rất mạnh) | 4 | |
Thiếu máu ngoại vi (điểm tăng gấp đôi nếu thời gian thiếu máu chi > 6 giờ) | Mạch ngoại vi giảm | 1 |
Mạch ngoại vi mất, giảm tuần hoàn mao mạch | 2 | |
Lạnh, tê, mất tuần hoàn mao mạch | 3 | |
Sốc chấn thương | HA tâm thu ổn định > 90mmHg | 0 |
HA tâm thu thấp < 90 mmHg tạm thời | 1 | |
HA tâm thu thấp < 90 mmHg kéo dài | 2 | |
Tuổi | < 30 tuổi | 0 |
30 - 50 tuổi | 1 | |
≥ 50 tuổi | 2 | |
Bệnh nội khoa: tiểu đường, suy tim, suy thận | Không có | 0 |
Có | 1 |
Có thể bạn quan tâm!
-
Điều Trị Tổn Thương Động Mạch Lớn Trong Gãy Xương, Sai Khớp Chi Dưới -
Tình Hình Điều Trị Tổn Thương Mạch Máu Và Tổn Thương Động Mạch Lớn Trong Gãy Xương, Sai Khớp Trên Thế Giới Và Việt Nam -
Nghiên cứu đặc điểm lâm sàng, cận lâm sàng và điều trị tổn thương động mạch lớn trong gãy xương, sai khớp chi dưới - 7 -
Phân Loại Kết Quả Gần Xử Trí Gãy Xương, Sai Khớp -
Phân Bố Bệnh Nhân Theo Nhóm Tuổi Và Giới (N = 53) -
Vị Trí Và Hình Thái Tổn Thương Động Mạch (N = 67)
Xem toàn bộ 166 trang tài liệu này.
⃰ Nguồn: theo Johansen K. và cộng sự (1990) [67]
Chỉ số này chỉ có giá trị trong vòng 24 giờ đầu kể từ khi bị tai nạn. Cần theo dõi sát bệnh nhân và đánh giá lại sau thời gian trên.
Kết quả điểm có liên quan đến nguy cơ cắt cụt chi:
M.E.S.S ≤ 7 điểm: không có nguy cơ cắt cụt chi;
M.E.S.S = 8 điểm : nguy cơ cắt cụt chi;
M.E.S.S ≥9điểm : cắt cụt chi 100%.
Các chỉ tiêu cần nghiên cứu: đánh giá điểm độ nặng của tổn thương chi liên quan đến cắt cụt chi.
2.2.3. Phương pháp điều trị
2.2.3.1. Điều trị trước phẫu thuật
- Hồi sức: Truyền dịch đẳng trương và cao phân tử duy trì huyết động. Truyền máu cùng nhóm nếu có dấu hiệu mất máu nặng như mạch trên 120 lần/ phút, huyết áp tâm thu < 90 mmHg, hồng cầu < 2,5 triệu/ 1mm3, HCT < 25%, HGB < 8 g/ 100ml. Cho bệnh nhân thở oxy 2 lít/ 1 phút khi có suy hô hấp, sốc chấn thương hoặc mất máu.
- Thuốc khác: Tiêm kháng sinh, tiêm phòng uốn ván nếu có vết thương, tiêm giảm đau.
- Băng vết thương cầm máu, cố định chi bị gãy xương, sai khớp.
Các chỉ tiêu nghiên cứu: phương pháp và kết quả phòng chống sốc chấn thương, mất máu cấp và nhiễm khuẩn trước phẫu thuật.
2.2.3.2. Điều trị phẫu thuật
- Chuẩn bị bệnh nhân
+ Đặt tư thế thích hợp theo định hướng lựa chọn đường mổ.
+ Vệ sinh toàn thân.
+ Sát khuẩn chi bị thương từ trên cung đùi đến bàn ngón chân để kiểm tra tuần hoàn ngoại vi trong mổ; sát khuẩn chi đối diện để lấy mạch tự thân ghép động mạch khi cần.
+ Trải săng vô khuẩn.
- Đường mổ: lựa chọn đường mổ phù hợp với xử trí tổn thương xương, khớp và tổn thương động mạch, tránh tổn thương tĩnh mạch nông.
+ Tổn thương động mạch đùi kèm theo gẫy thân xương đùi: bệnh nhân nằm ngửa, đường mổ bắt đầu từ điểm giữa đường nối gai chậu trước trên đến khớp mu xuống dưới phía trước trong đùi để xử trí cả tổn thương xương và mạch máu.
+ Tổn thương động mạch khoeo kèm theo gãy xương quanh gối, sai khớp gối: đặt bệnh nhân nằm ngửa, khớp gối gấp 30o. Tùy vị trí tổn thương động mạch khoeo trên gối hoặc dưới gối để mở rộng vết mổ (hình 2.1 A,B).

A B
Hình 2.1: Đường mổ động mạch khoeo trên (A) và dưới (B) khớp gối Đường mở rộng là kết hợp giữa hai đường mổ trên cho phép bộc lộ
kiểm tra toàn bộ động mạch khoeo.
+ Tổn thương động mạch chày sau kèm theo gãy xương cẳng chân: Bệnh nhân nằm ngửa, gối gấp 30o, rạch da như đường vào bên trong động mạch khoeo đoạn thấp.
+ Tổn thương động mạch chày trước: gối gấp 30o, kê gối dưới khoeo, đường rạch da đúng khe giữa cơ chày trước và cơ duỗi dài ngón chân, khoảng 2 - 3cm phía ngoài bờ trước xương chày.
- Đánh giá và xử trí tổn thương bước đầu
+ Đánh giá: vị trí, hình thái gãy xương, sai khớp, tổn thương động mạch, tổn thương tĩnh mạch và tổn thương phần mềm.
+ Xử trí: Cắt lọc tổ chức phần mềm dập nát, lấy hết dị vật, rửa vết thương bằng dung dịch NaCl 9‰; cầm máu tạm thời các vết thương chảy máu, đối với động mạch lớn hoặc tĩnh mạch lớn dùng kẹp mạch máu.
- Nghiên cứu chỉ định và kỹ thuật rửa mạch của chi bị thương
+ Chỉ định: khi có 1 trong các yếu tố sau
Thời gian thiếu máu ngoại vi ≥ 6 giờ; tổn thương chi mức độ nặng và rất nặng (M.E.S.S > 7 điểm); Creatinkinase máu ≥ 1000 đv/lit.
+ Dụng cụ và vật liệu: kim luồn, bộ dây truyền máu, bơm tiêm 20 ml, dung dịch NaCl 9‰, Heparin, bộ phẫu thuật mạch máu, chỉ catgut 2.0 chỉ Prolene 7.0.
+ Kỹ thuật:
Bộc lộ đầu động mạch bị tổn thương, cắt bỏ phần động mạch bị dập nát, lấy cục máu đông trong lòng mạch bằng ống thông Fogarty.
Đặt 1 kim luồn vào đoạn ngoại vi động mạch bị đứt và cố định bằng chỉ catgut 2.0; bơm rửa đoạn chi thiếu máu bằng 1000 ml- 1500ml dung dịch NaCl 9‰ pha với Heparin theo tỉ lệ 1.000đv/ 100 ml. Qua các tĩnh mạch nông và tĩnh mạch sâu bị đứt hoặc mở tĩnh mạch sâu cùng mức với tổn thương động mạch để lấy dung dịch rửa và máu còn ứ lại trong tĩnh mạch đoạn chi bị thiếu máu ra ngoài.
Nối tĩnh mạch bị đứt hoặc khâu lại vết mổ tĩnh mạch bằng chỉ Prolene
7.0. Kiểm tra kết quả khâu nối.
Lấy máu trước khi rửa mạch và sau khi rửa mạch hàng ngày để xét nghiệm Ure, Creatinin, Creatinkinase đến khi các chỉ số trở về bình thường.
Các chỉ tiêu cần nghiên cứu: các yếu tố liên quan đến chỉ định rửa mạch; tai biến và biến chứng của rửa mạch; kết quả rửa mạch.
- Nghiên cứu chỉ định và kỹ thuật đặt cầu nối động mạch tạm thời
+ Chỉ định:
Thời gian thiếu máu chi ≥ 4 giờ ở bệnh nhân gãy xương di lệch lớn được nắn chỉnh và kết hợp xương trước khi phục hồi lưu thông động mạch.
Tổn thương động mạch phức tạp mất đoạn trên 2 cm sau khi cắt bỏ đến tổ chức lành cần ghép mạch tự thân.
+ Dụng cụ và vật liệu: ống nhựa có tráng silicon cỡ 8 – 12 Fr phù hợp với đường kính của động mạch, clamp mạch máu, bulldog, catgut 2.0, bơm tiêm, kim luồn mạch máu, catheter Fogarty, dung dịch NaCl ‰, Heparin.
+ Kỹ thuật đặt cầu nối động mạch tạm thời:
Cầm máu tạm thời hai đầu mạch bằng kẹp bulldog hoặc clamp mạch máu, cắt lọc phần động mạch bị dập nát.
Bơm rửa lòng mạch bằng dung dịch NaCl ‰ pha với Heparin theo tỉ lệ 1000 đv/ 100ml, kiểm tra lưu thông mạch bằng cách thả kẹp mạch máu. Bình thường sẽ thấy dòng máu phun ra. Nếu không thấy chảy máu hoặc máu chảy áp lực yếu có thể do co thắt mạch hoặc huyết khối lòng mạch phải dùng catheter Fogarty để nong mạch và lấy cục máu đông.
Sử dụng ống silicon làm cầu nối đặt sâu vào lòng động mạch của đầu trung tâm và đầu ngoại vi khoảng 1 cm, cố định ống vào động mạch bằng các nút buộc chỉ catgut 2.0, thả clamp mạch máu để dòng máu lưu thông qua cầu nối xuống cấp máu cho ngoại vi (hình 2.2). Lựa chọn đường kính, độ dài ống phù hợp với kích thước động mạch và đoạn mạch bị mất. Nếu ống quá dài có thể cong gập cuộn ống làm tắc mạch; ống quá ngắn có nguy cơ tuột khỏi lòng mạch khi nắn chỉnh ổ gãy xương gây chảy máu và mất tác dụng cấp máu ngoại vi của cầu nối.

Hình 2.2: Sử dụng ống silicon làm cầu nối động mạch khoeo
Kiểm tra kết quả phục hồi lưu thông mạch máu bằng bắt mạch mu chân và mạch chày sau ở ống gót. Mạch đập rõ là máu được lưu thông và cấp máu cho phần chi dưới tổn thương. Nếu mạch ngoại vi yếu hoặc không sờ thấy thường do hiện tượng huyết khối trong lòng mạch hoặc cầu nối bị xoắn gấp phải tháo cầu nối kiểm tra và dùng catheter Fogarty để lấy cục máu đông ra. Dùng thuốc Heparin để chống đông máu nếu không có chống chỉ định như máu tụ nội sọ, vỡ các tạng có chảy máu.
Các chỉ tiêu cần nghiên cứu: các yếu tố liên quan đến chỉ định đặt cầu nối; thời gian lưu cầu nối; kết quả phục hồi tuần hoàn chi sau đặt cầu nối.
- Lựa chọn quy trình xử trí gãy xương, sai khớp và tổn thương động mạch
+ Đối với trường hợp sai khớp gối: xử trí tổn thương động mạch sau khi đã nắn và cố định sai khớp.
+ Đối với trường hợp gãy xương đùi, xương chày:
• Tổn thương động mạch chày trước hoặc chày sau: xử trí tổn thương động mạch sau khi đã xử trí tổn thương xương.
• Tổn thương động mạch đùi hoặc động mạch khoeo hoặc đồng thời cả 2 động mạch chày trước và chày sau:
< 4 giờ: xử trí gãy xương, xử trí tổn thương động mạch.
≥ 4 giờ: đặt cầu nối động mạch tạm thời, xử trí gãy xương, xử trí tổn thương động mạch.
- Phương pháp xử trí gãy xương, sai khớp
+ Chuẩn bị: dụng cụ phẫu thuật kết xương; khung cố định ngoài kiểu
F.E.S.S.A [117], cọc ép ren ngược chiều và các loại đinh Steinmann, đinh nội tủy Kuntscher các số, đinh Kirschner các số, dây thép, vít xương xốp.
+ Nắn chỉnh gẫy xương, sai khớp thẳng trục.
+ Cố định gãy xương, sai khớp bằng một trong các phương pháp đơn giản, ít xâm lấn và nhanh sau đây:
• Gãy hở độ IIIC hoặc gãy hở thân xương đùi, thân xương chày đến muộn sau 6 giờ; gãy 1/3 dưới thân xương đùi hoặc xương chày: cố định ngoài bằng khung F.E.S.S.A (ảnh 2.1) hoặc cọc ép ren ngược chiều;
• Gẫy đầu dưới xương đùi, gẫy mâm chày: kết hợp xương bằng đinh Kirschner (ảnh 2.2) hoặc bắt vít xương xốp;
• Gẫy kín 1/3 giữa hoặc 1/3 trên thân xương đùi, thân xương chày: kết hợp xương bằng đinh nội tủy Kuntcher;
• Sai khớp gối: cố định khớp gối bằng xuyên đinh Steinmann 4 mm x 20 mm (ảnh 2.3) hoặc cố định ngoài. Tư thế cố định khớp gối gấp 150 nếu ghép mạch hoặc 300 nếu khâu nối mạch.

Ảnh: 2.1: Hình ảnh kết hợp xương chày bằng khung F.E.S.S.A.
(Bệnh nhân Lưu Trung Đ., 20 tuổi. Số BALT :366)

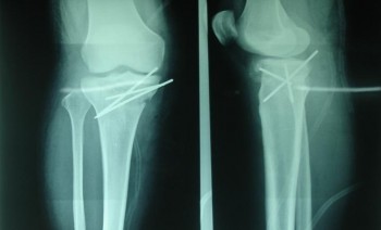
Ảnh 2.2: Hình ảnh XQ kết hợp mâm chày bằng đinh Kirschner
(Bệnh nhân Nguyễn Thị Th., 21 tuổi. Số BALT 844)

Ảnh 2.3: Hình ảnh XQ cố định khớp gối bằng đinh Steinmann
(Bệnh nhân Vũ Đình Ch., 59 tuổi. Số BALT: 2042)
Các chỉ tiêu cần nghiên cứu: phương pháp, thời điểm, kết quả nắn chỉnh và cố định gãy xương, sai khớp.
- Phương pháp xử trí tổn thương động mạch
+ Chuẩn bị dụng cụ và vật liệu phẫu thuật mạch máu: bulldog clamp, clamp mạch máu, kéo mở mạch máu Pott, kéo phẫu tích mạch máu, kẹp phẫu tích mạch máu De Bakey, kìm cặp kim chỉ nhỏ, kim luồn mạch máu, catheter Fogarty (ảnh 2.4), dây luồn mạch máu (chỉ catgut 2.0), bơm tiêm 20 ml,chỉ khâu nối mạch máu (Prolene 6/0 cho động mạch đùi, 7/0 và 8/0 cho động mạch khoeo, động mạch chày và tĩnh mạch), bông khô.

Ảnh 2.4: Catheter Fogarty






