
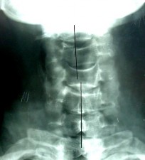
SAU MỔ: C5-C6 đã được nắn chỉnh. KHX Bohlman cải tiến.
THẲNG NGHIÊNG
SAU MỔ 4 THÁNG: tình trạng KHX vẫn tốt, không di lệch thứ phát, không giãn chỉ, không đứt chỉ.
7 NĂM SAU
Có thể bạn quan tâm!
-
Thời Gian Mổ (Tính Từ Lúc Rạch Da Đến Khâu Da Xong). -
Xác Định Cỡ Chỉ Thép Phù Hợp Csc Thấp, Độ Vững Của Phẫu Thuật Bohlman Cải Tiến. -
Điều trị chấn thương cột sống thấp cơ chế cúi - căng - xoay bằng phẫu thuật Bohlman cải tiến - 21 -
Điều trị chấn thương cột sống thấp cơ chế cúi - căng - xoay bằng phẫu thuật Bohlman cải tiến - 23 -
Điều trị chấn thương cột sống thấp cơ chế cúi - căng - xoay bằng phẫu thuật Bohlman cải tiến - 24 -
Điều trị chấn thương cột sống thấp cơ chế cúi - căng - xoay bằng phẫu thuật Bohlman cải tiến - 25
Xem toàn bộ 201 trang tài liệu này.

THẲNG NGHIÊNG

NGỬA CÚI
Sau mổ 7 năm: tình trạng chỉ KHX vẫn tốt. Liền xương độ I. Không di lệch thứ phát
HÌNH PHÔ-TÔ
NGỬA CÚI
XOAY CƠ SAU CỔ
Tầm vận động cổ (ngửa, cúi, xoay) bình thường.
Cơ sau cổ không bị teo.
Trường hợp 2.
Họ tên: Nguyễn Tấn T, Tuổi: 46 Phái: Nam
Địa chỉ: 1122, Tổ 38, Ấp 4, Phường Tam Hà, Q. Thủ Đức, TP. HCM. Số hồ sơ: 566/2002. (Bệnh án số: 21).
Thời gian vào viện: 2 giờ. Thời gian đến lúc mổ: 19 ngày. Thời gian nằm viện: 31 ngày. Thời gian theo dõi: 104 tháng.
Nguyên nhân tai nạn: Té cao 3m. Cơ chế chấn thương: Cơ chế cúi.
Lâm sàng: Leo cây cao 3m, té ngửa đập đầu xuống đất ngày 21-9-2002. Sau té đau cổ, yếu 2 tay, tê bì 2 cánh tay. Sức cơ 2 tay: ở góc chi = 2-3/5; ở ngọn chi: 4- 5/5. Hai chân vận động và cảm giác bình thường.Tiểu tự chủ.
Chẩn đoán hình ảnh: Trật mỏm khớp bên trái, bán trật mỏm khớp bên phải. Chẩn đoán: Trật một mỏm khớp C4-C5, Hội chứng tủy trung tâm. Frankel C. Phương pháp phẫu thuật: Phẫu thuật Bohlman cải tiến.
Diễn biến: 3 ngày sau mổ sức cơ 2 tay phục hồi 4/5. Trước khi ra viện sức cơ tay trái phục hồi hoàn toàn, sức cơ tay phải còn 4/5.
Kết quả điều trị:
Góc gù cải thiện từ 260 -40. Di lệch ra trước cải thiện từ 7,5mm 0mm. Phục hồi thần kinh hoàn toàn sau 3 tháng, Frankel E.
Liền xương độ I sáu tháng sau. Độ đau: VAS: 6 0 điểm
Bệnh án này minh họa cho việc áp dụng phẫu thuật Bohlman cải tiến trong điều trị gãy trật CSC thấp mang lại một kết quả rất tốt, không thua kém bất kỳ phương pháp điều trị nào.
SAU CHẤN THƯƠNG: TRẬT 1 MỎM KHỚP C4 – C5


THẲNG NGHIÊNG
Đường liên gai mất liên tục Bán trật xoay C4-C5
BÁN TRẬT MỎM KHỚP C4-C5 (P) TRẬT MỎM KHỚP C4-C5 T
SAU MỔ (19-10-2002)
NGHIÊNG (Nắn vào. KHX tốt)

SAU MỔ 3 NĂM (14-10-05)
THẲNG NGHIÊNG
Liền xương loại I. Tái tạo đường cong sinh lý cổ.

SAU MỔ 9 NĂM (27-5-2011)

CÚI NGỬA

Chỉ KHX vẫn tốt. Liền xương tốt. Cúi –ngửa không di lệch.
CÚI NGỬA
(Tầm vận động CSC bình thường)
XOAY CƠ CỔ BÌNH THƯỜNG








