cứu để hiểu rõ đặc tính gây bệnh của từng chủng virus đối với từng loài gia cầm khác nhau.
3.3.4. Kết quả đ nh gi đ bài thải củ i t ên đ ng vật thí nghiệm gây nhiễ
Bên cạnh việc theo dõi lâm sàng hàng ngày trong suốt thời gian thực hiện thí nghiệm gây nhiễm bệnh, chúng tôi đã tiến hành thu thập mẫu dịch ngoáy hầu họng (swab) của những gà thí nghiệm chết hoặc sống vào ngày thứ 4 sau khi công để đánh giá độ bài thải của virus. Các tăm bông ngoáy hầu họng được bảo quản trong dung dịch đệm PBS (1 ml), sau đó chiết tách NA b ng kít Qiagen RNeasy minitkit, và xét nghiệm b ng phản ứng realtime RT- PC theo quy trình xét nghiệm của C c Thú y.
Bảng 3.16: Đ nh gi đ bài thải i khi gây nhiễ bằng i A/chicken/Vietnam/NCVD-016/2008
Gà | Vịt | Ngan | ||||
Stt | Ct | Chuyển đổi (mức độ bài thải) | Ct | Chuyển đổi | Ct | Chuyển đổi |
1 | 25,3 | ++ | Âm tính | - | 27,8 | ++ |
2 | 21,7 | +++ | Âm tính | - | 33,7 | + |
3 | 23,9 | +++ | Âm tính | - | 24,9 | +++ |
4 | 20,7 | +++ | Âm tính | - | 34,1 | + |
5 | 28,5 | ++ | Âm tính | - | 26,4 | ++ |
6 | 23,2 | +++ | Âm tính | - | 32,6 | + |
7 | 22,5 | +++ | Âm tính | - | Âm tính | |
8 | 19,9 | ++++ | Âm tính | - | 36,1 | + |
9 | 20,6 | +++ | Âm tính | - | 31,7 | + |
10 | 25,2 | ++ | Âm tính | - | 31,3 | + |
11 | 22,2 | +++ | ||||
T ng bình | 23,1 | +++ (3) | Â tính | - (0) | 31,0 | +(1) |
Tỷ lệ nhiễ | 100% | 0% | 80% | |||
Có thể bạn quan tâm!
-
Cây Phả Hệ Dự T Ên Chuỗi Nucleotide Gen M Củ C C Chủng I A/h5N1 Clade 7 (Được Lập Bằng Phương Ph P Phân Tích Neighbo -Joining Sử Dụng Phần Mề Mega 5, Gi T -
Ki T Đặc Tính Gây Ngưng Kết Hồng Cầu (Phản Ứng Ha) -
Kết Quả Đ Nh Gi Đ C Lực Của Virus C A/h5N1C A/h5N1 Cl De 7 T Ên Gi Cầm -
X C Định Đặc Tính Kh Ng Ng Yên Củ C C Chủng I C A/h5N1 Cl De 7 Phân Lập Ở Việt N -
Nghiên cứu một số đặc tính sinh học của vi rút cúm A/H5N1 Clade 7 phân lập ở Việt Nam - 17 -
Nghiên cứu một số đặc tính sinh học của vi rút cúm A/H5N1 Clade 7 phân lập ở Việt Nam - 18
Xem toàn bộ 162 trang tài liệu này.
Ch thích: Ct – Cycle threshold (ngưỡng vòng của phản ứng RRT-PCR)
Kết quả xét nghiệm RRT-PCR được thể hiện b ng giá trị Ct (Cycle threshold – giá trị ngưỡng vòng của phản ứng). Giá trị Ct có tỷ lệ nghịch với mức độ virus có trong mẫu kiểm tra. Nghĩa là nếu trong mẫu kiểm tra có lượng virus cao thì giá trị Ct khi xét nghiệm b ng RRT-PCR thấp và ngược lại, nếu lượng virus có trong mẫu thấp thì giá trị Ct sẽ cao. Mẫu có giá trị Ct ~35 tr xuống là dương tính.
Do giá trị Ct tỷ lệ nghịch với lượng virus có trong mẫu xét nghiệm, nên chúng tôi quy ước giá trị Ct sang mức độ từ + đến ++++ để dễ biểu thị kết quả về lượng virus có trong mẫu kiểm tra. C thể như sau: ẫu có Ct 20 được coi là
++++(4), Ct từ < 20 đến 2 được coi là +++(3), Ct từ < 2 đến 30 được coi là
++(2) và Ct từ < 30 đến 3 được coi là +(1). Dựa vào mức độ của từng mẫu riêng lẻ và tính trung bình cho từng loài động vật thí nghiệm. Kết quả được trình bảy bảng 3.16.
- Kết quả nhiễm bệnh như đã thấy khi quan sát lâm sàng đã rất rõ trên gà, toàn bộ số gà gây bệnh đều ốm, chết với tỷ lệ 100% và số mẫu swab của gà thí nghiệm đều dương tính virus cúm A/H5N1 khi xét nghiệm b ng phản ứng RRT- PCR.
- Khi xét nghiệm mẫu trên vịt thấy toàn bộ các mẫu kiểm tra đều âm tính, chứng tỏ virus cúm A/H5N1 clade không có khả năng gây nhiễm, hay nói cách khác là không có khả năng thích nghi trên vịt. Điều này cũng phù hợp với thực tế, khi Trung quốc cũng chỉ phát hiện thấy virus A H N1 thuộc clade trên gà mà không phát hiện thấy trên vịt (Jiang và cs, 2010).
- Tuy nhiên, kết quả xét nghiệm RRT-PCR đối với các mẫu dịch ngoáy họng ngan lại có kết quả khác với kết quả của các mẫu từ vịt được gây bệnh. Có 8 trên 10 mẫu ngan cho kết quả dương tính virus cúm khi xét nghiệm b ng RRT- PCR, mặc dù toàn bộ số ngan đều khỏe mạnh về mặt lâm sàng như đã trình bày trên. Điều này có nghĩa là ngan có thể nhiễm virus cúm A/H5N1clade nhưng không mắc bệnh.
Về chi tiết mức độ virus bài thải, hầu hết các mẫu swab lấy từ gà (8 11 mẫu) đều có mức độ là 3 - 4 (+) giá trị Ct n m trong khoảng 19,9 - 23,9, và chỉ có một số ít mẫu (3 11 mẫu) mức độ 2 (+). Tính trung bình, mức độ bài thải virus cúm gà nhiễm virus cúm A/H5N1clade là mức độ 3(+). Kết quả này
cho thấy khi gà bị nhiễm virus cúm A/H5N1clade 7 sẽ bài thải lượng lớn virus trước khi chết. Điều này cũng được quan sát thấy khi chúng tôi kiểm tra độ bài thải virus khi gây bệnh cho gà với các chủng virus cúm A H N1 thuộc clade 1 và clade 2.3.4.
Như đã đề cập bên trên, vịt không hề nhiễm virus cúm A/H5N1clade 7 sau khi công, nhưng ngan vẫn có khả năng nhiễm virus này. Tuy số ngan bị nhiễm virus là khá cao (80%), nhưng mức độ bài thải virus không cao, chủ yếu là mức độ 1(+). Các nghiên cứu trước đây cho thấy virus cúm A/H5N1độc lực dạng cổ điển thường có độc lực cao trên gà nhưng không gây nhiễm cho thuỷ cầm giống như virus cúm A/H5N1clade , tuy nhiên chúng vẫn có khả năng nhân lên rất tốt trên thuỷ cầm và bài thải với lượng lớn ra ngoài. Nhưng kết quả nghiên cứu của chúng tôi cho thấy, khác với các virus cúm dạng cổ điển, chủng virus A H N1 thuộc clade 7 mà chúng tôi đã phân lập có khả năng gây nhiễm rất hạn chế trên thuỷ cầm.
Có một điều đáng chú ý là, khi chúng tôi gây nhiễm virus cúm thuộc clade
trên môi trường tế bào xơ phôi vịt và xơ phôi ngan, virus này lại có khả năng nhân lên rất tốt giống như khả năng nhân lên trên tế bào xơ phôi gà. C thể chuẩn độ (giá trị TCID50) của virus cúm A/H5N1clade 7 (A/Chicken/Vietnam/NCVD-
016) trên tế bào xơ phôi vịt và tế bào xơ phôi ngan lần lượt là 107,3 và 106,7 (đã
trình bày phần 3.3.2.)
Cho đến nay, chúng tôi chưa phát hiện thấy virus cúm A/H5N1 clade 7 này trong các ổ dịch cúm gia cầm Việt Nam, ngoại trừ trên một số gia cầm tại chợ gia cầm sống khi tiến hành chương trình giám sát virus. Điều này có thể là do virus này không có hoặc ít có khả năng thích nghi tốt trên thuỷ cầm, mà thuỷ cầm đã được chứng minh là yếu tố quan trọng làm lây lan virus cúm và là nguồn lưu trữ virus ngoài môi trường.
Tuy nhiên khi theo dõi tình hình dịch cúm gia cầm và kết quả giám sát cúm gia cầm độc lực cao H5N1 của Trung Quốc, chúng tôi nhận thấy bên cạnh các ổ dịch gây ra b i virus cúm A/H5N1thuộc clade 2.3.4 và 2.3.2 thì vẫn có nhiều ổ dịch gây ra b i virus thuộc clade trong giai đoạn 2007-2010 các tỉnh phía Bắc của Trung Quốc (Jiang và cs, 2010). Thậm chí có một số ca bệnh trên người Trung Quốc là do virus cúm gia cầm H5N1 Clade 7 gây ra. Điều này cho
thấy, chúng ta không thể chủ quan với công tác giám sát virus cúm gia cầm, vì virus cúm A/H5N1nói chung có khả năng biến đổi liên t c và virus cúm A/H5N1Clade 7 hoàn toàn có thể gây ra dịch cúm gia cầm nước ta như đã từng thấy virus các chủng virus cúm A/H5N1clade 2.3.2 xuất hiện lại các ổ dịch Việt Nam và Trung Quốc trong năm 2009-2011, và nhánh virus 2.3.2. đã có biến đổi khá nhiều, được gọi là clade 2.3.2.1 (Nguyen, 2010).
3.3.5. Kết q ả đ nh gi khả năng nhiễ đ phủ tạng củ chủng i c A/H5N1 th c cl de 7
Theo một số tác giả, virus cúm gia cầm H N1 độc lực cao bên cạnh khả năng thích ứng lây nhiễm cao với biểu mô đường hô hấp, còn có khả năng tác động gây tổn thương nhiều cơ quan khác trong cơ thể của động vật cảm nhiễm gọi là khả năng nhiễm đa phủ tạng. Chính đặc tính này là sự phân biệt về khả năng gây bệnh và độc lực của virus cúm có độc lực cao (HPAI) và virus cúm có độc lực thấp (LPAI) (Nicholso và cs, 2003; Wanasawaeng và cs, 2009).
3.3.5.1.Định lượng virus trong phủ tạng bằng phản ứng Realtime RT-PCR
Để đánh giá khả năng nhiễm đa phủ tạng của chủng virus cúm A/H5N1clade 7 A/Chicken/Vietnam/NCVD-016/2008, chúng tôi thực hiện việc thu thập mẫu phủ tạng (não, phổi, gan, lách, thận, ruột và t y) của gà trong thí nghiệm gây bệnh, nghiền với PBS pH ,4 thành huyễn dịch 10%, sau đó chiết tách NA và xét nghiệm b ng phương pháp realtime T-PCR với primer và probe đặc hiệu cho gen H5/HA của virus cúm A/H5N1.
Phản ứng ealtime PC có thể tính toán tương đối chính xác lượng virus có trong mẫu xét nghiệm, vì vậy chúng tôi đã chuyển đổi kết quả xét nghiệm RRT- PCR sang chuẩn độ virus trên tế bào (log10 TCID50) dựa trên nồng độ của virus đã biết sau khi chuẩn độ trên tế bào CEF để đánh giá chi tiết hơn về mức độ nhiễm virus của từng loại phủ tạng.
Như đã nêu trên, chúng tôi thu thập 7 loại cơ quan nội tạng khác nhau để đánh giá khả năng nhiễm đa phủ tạng là: não, phổi, gan, lách, thận, ruột và t y từ 3 gà đã gây bệnh thí nghiệm. Những loại phủ tạng này cũng thường là phủ tạng được thu thập khi lấy mẫu để chẩn đoán bệnh. Kết quả chi tiết xét nghiệm T- PC được trình bày bảng 3.17.
Bảng 3.17. Kết q ả xét nghiệ RRT- CR đ i ới t loại phủ tạng gà gây bệnh bằng i A/H5N1 cl de 7 à ch y n đổi ng nồng đ i .
N o | Tụy | Thận | hổi | R t | Gan | L ch | ||||||||
Ct | Log10 | Ct | Lgo10 | Ct | Log10 | Ct | Log10 | Ct | Log10 | Ct | Log10 | Ct | Log10 | |
1 | 13,3 | 7,6 | 21,6 | 5,1 | 19,4 | 5,7 | 18,1 | 6,2 | 19,7 | 5,7 | 22,5 | 4,8 | 24,6 | 4,2 |
2 | 14,5 | 7,2 | 21,4 | 5,1 | 22,7 | 4,7 | 20,2 | 5,5 | 22,6 | 4,8 | 27,9 | 3,2 | 32,4 | 1,8 |
3 | 15,2 | 7,0 | 17,7 | 6,3 | 19,7 | 5,6 | 25,2 | 4,0 | 23,2 | 4,6 | 26,7 | 3,5 | 26,5 | 3,6 |
TB | 14,3 | 7,3 | 20,2 | 5,5 | 20,6 | 5,4 | 21,1 | 5,2 | 21,8 | 5,0 | 25,7 | 3,9 | 27,8 | 3,2 |
Std | 1,0 | 0,3 | 2,2 | 0,7 | 1,8 | 0,6 | 3,6 | 1,1 | 1,9 | 0,6 | 2,8 | 0,9 | 4,1 | 1,2 |
Ch thích: T – Trung bình
td: độ lệch chu n
Kết quả đánh giá mức độ nhiễm virus của phủ tạng được biểu thị hình
8.0
7.0
6.0
5.0
4.0
3.0
2.0
1.0
Log10TCID50
3.12.
Não | Tụy | Thận | Phổi | Ruột | Gan | Lách | |
Series1 | 7.3 | 5.5 | 5.4 | 5.2 | 5.0 | 3.9 | 3.2 |
Hình 3.12. hân b virus ở c c cơ q n phủ tạng q xét nghiệm RRT-PCR (chuy n đổi sang log10)
Xét nghiệm b ng phản ứng T-PCR cho thấy 100% các mẫu phủ tạng đều dương tính virus cúm A/H5N1. Tuy nhiên mức độ nhiễm virus trong từng loại khí quan khác nhau thì khác nhau và chênh lệch khá lớn:
- Tổ chức não là nơi bị nhiễm nhiều virus nhất với chuẩn độ virus trung bình là ,3±0,3 log10 (giá trị Ct trung bình là 14,32±1), tương đương mức độ 4(+). Điều này có thể lý giải cho hiện tượng gà chết nhanh khi bắt đầu có sự xuất hiện các triệu chứng bệnh, đặc biệt là các triệu chứng thần kinh thường rất điển .
- Các khí quan khác như phổi, thận, ruột và t y có mức độ nhiễm thấp hơn so với não, với chuẩn độ virus chuyển đổi lần lượt là ,2±1,1 log10(phổi),
,4±0,6 log10 (thận), ,0±0,6 log10(ruột) và , ±0, log10 (t y) (với giá trị Ct trung bình từ 20,22 – 21,8 ), tương đương mức độ 3(+).
- Gan và lách là 2 khí quan có mức độ tác động b i virus cúm A/H5N1clade 7 thấp hơn so với các khí quan khác, đặc biệt lách là rất thấp với giá trị chuyển đổi chuẩn độ virus là 3,2±1,2log10 (giá trị Ct trung bình là 2 ,82) tương đương mức 2(+).
Nghiên cứu về mức độ nhiễm virus trong phủ tạng của một số nghiên cứu trước đây với một số chủng virus H N1 khác cho thấy lượng virus A/H N1 có trong tổ chức phổi lại cao hơn so với não (Pfeiffer và cs, 2009; Jeong và cs, 2009). Thậm chí có chủng virus lại gây nhiễm lách với mức độ rất cao so với não (Pfeiffer và cs, 2009). Kết quả nghiên cứu của chúng tôi khá tương đồng với một nghiên cứu về mức độ nhiễm virus đa phủ tạng của các nhà khoa học Đài Loan (Lee và cs, 200 ) khi thấy lượng virus trong não cao hơn so với phủ tạng khác như lách và thận. Trong một nghiên cứu khác lại cho thấy trong một ổ dịch dù 100% gà đều nhiễm bệnh và xét nghiệm dương tính với virus H N1, nhưng không phải tất cả các khí quan phủ tạng đều nhiễm virus (Antarasena và cs, 2006). Nói chung động vật mẫn cảm (gà), virus A/H N1 đều chủ yếu nhiễm lên các khí quan đường hô hấp (khí quản, phổi) nhưng cũng có trường hợp lại không phát hiện thấy virus trong đường hô hấp của gà (Nakatani và cs, 200 ).
Có thể thấy r ng mặc dù mức độ nhiễm virus của các loại phủ tạng khác nhau của gà được công cường độ b ng virus A/Chicken/Vietnam/NCVD- 016 2008 là khác nhau, nhưng đều cho thấy virus này cũng có tính hướng đa phủ tạng như các virus cúm gia cầm A/H N1 độc lực cao khác, phù hợp với đặc điểm
chung về đặc tính độc lực của virus cúm gia cầm độc lực cao, và cũng cho thấy r ng mặc dù virus cúm gia cầm H N1 độc lực cao, nhưng các chủng virus khác nhau cũng có mức độ gây nhiễm rất khác nhau lên các khí quan phủ tạng của gà. 3.3.5.2. hân b i à bệnh tích i th gây bởi i c A/H5N1 clade 7 ở phụ tạng bằng phương ph p hó iễn dịch (IHC)
Phản ứng RRT-PCR là một phản ứng phát hiện virus nhạy và đặc hiệu, có tính chất định lượng. Khi sử d ng phản ứng RRT-PCR ta có thể biết lượng virus
các tổ chức phủ tạng cao hay thấp. Tuy nhiên, bên cạnh việc đánh giá mức độ virus phủ tạng, chúng tôi cũng thực hiện thêm phương pháp đánh giá khác thông qua nhuộm hóa mô miễn dịch (IHC) và bệnh lý vi thể (nhuộm HE) để thấy rõ hơn tác động của virus đối với từng loại phủ tạng, qua đó thấy được chính xác tổn thương mức độ vi thể mà virus gây ra trong phủ tạng của gà.
Kết quả xác định mức độ nhiễm virus cúm A H N1 clade thông qua nhuộm hóa mô miễn dịch cũng như sự phân bố của bệnh tích vi thể tại các tổ chức phủ tạng được trình bày bảng 3.18.
Bảng 3.18. Mức đ tổn thương vi th à nh IHC ph t hiện kh ng ng yên i c H5N1A/chicken/Vietn /NCVD-016/2008
Bệnh tích vi thể (HE) | Phát hiện kháng nguyên (IHC) | |
Phổi | ++ | +++ |
Tim | + | ++ |
Não | + | ++ |
T y | + | + |
Gan | + | ++ |
Thận | + | + |
Lách | ++ | +++ |
Diều | - | + |
Ch thích:
- Nhuộm HE: - = kh ng có bệnh tích; + = nhẹ; ++ = vừa phải; +++ = trầm trọng.
- HC Nhuộ hóa i n d ch: - = kh ng có kháng nguyên; + = kháng nguyên ít; ++ = kháng nguyên nhi u; +++ = kháng nguyên lan tràn.




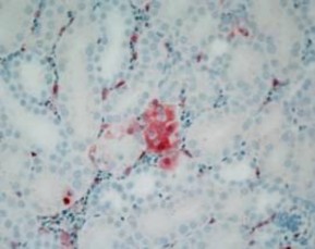
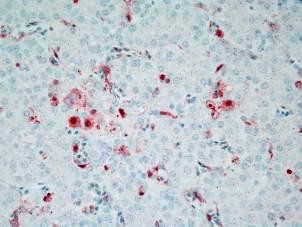
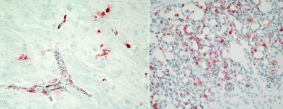
Kháng nguyên ở phổi (nhuộm IHC) | |
Kháng nguyên ở thận (nhuộm IHC) | Kháng nguyên ở tim (nhuộm IHC) |
Kháng nguyên ở tụy (nhuộm IHC) | |
Hình 3.13. M t hình ảnh nh hó iễn dịch phủ tạng gà gây bệnh (X400 (Kh ng ng yên i c nh à nâ đ ) | |






