

Kết quả xét nghiệm vi thể, khá tương đồng với kết quả xét nghiệm RRT- PCR cũng cho thấy virus H N1 đã tấn công vào hầu hết các khí quan phủ tạng với mức độ tổn thương rất khác nhau.
4
1
4
3
2
A
B
Cơ ti (nhuộ H , X 200) | ||
C D | ||
1 Thận (nhuộ H , X 400) | 1 2 ` ách (nhuộ H , X 400) | |
E F | ||
Não (nhuộ H , X 200) | Gan (nhuộ H , X 400) | |
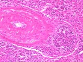
Hình 3.14. M t hình ảnh bệnh tích i th t ên phủ tạng gà gây bệnh | ||
Có thể bạn quan tâm!
-
Ki T Đặc Tính Gây Ngưng Kết Hồng Cầu (Phản Ứng Ha) -
Kết Quả Đ Nh Gi Đ C Lực Của Virus C A/h5N1C A/h5N1 Cl De 7 T Ên Gi Cầm -
Kết Quả Đ Nh Gi Đ Bài Thải Củ I T Ên Đ Ng Vật Thí Nghiệm Gây Nhiễ -
Nghiên cứu một số đặc tính sinh học của vi rút cúm A/H5N1 Clade 7 phân lập ở Việt Nam - 17 -
Nghiên cứu một số đặc tính sinh học của vi rút cúm A/H5N1 Clade 7 phân lập ở Việt Nam - 18 -
Nghiên cứu một số đặc tính sinh học của vi rút cúm A/H5N1 Clade 7 phân lập ở Việt Nam - 19
Xem toàn bộ 162 trang tài liệu này.
Ch thích hình 3.14
+ A - Phổi: iê ch: có hiện tượng phù xung quanh ch quản; Tế bào nội m c bong tróc (1); -Đá tế bào ly pho (2) và d ch rỉ viê (3) tập trung quanh m ch quản; ách phế nang có nhi u hồng cầu – xu t huyết (4)
+ B - Cơ ti : b viê đá các tế bào heterophil xâ nhập ( i tên)
+ C - Thận: Tế bào ly pho xâ nhập (1); Tế bào ống thận b ho i tử t nhân ( i tên vàng); nhi u tế bào ống thận đang trong giai đo n nhân đ ng của quá trình ho i tử ( i tên xanh)
+ D - ách: iê ch: tế bào nội m c bong tróc (1); các tế bào ly pho và đ i thực bào tăng sinh bao quanh ch (2)
+ E - Não: Xung huyết; D ch phù tập trung xung quanh m ch quản ( i tên đen); Tế bào ly pho xâ nhập ( i tên vàng); Nhi u hồng cầu tập trung trong lòng ch quản-xung huyết ( i tên xanh)
+ - Gan: iê ch tế bào nội ch b ho i tử ( i tên xanh); Tế bào ly pho và đ i thực bào xâ nhập ( i tên vàng).
Điểm đặc trưng của bệnh tích vi thể các tổ chức cũng thể hiện rõ (Hình 3.14) là hiện tương viêm mạch rất nặng tất cả các cơ quan nội tạng với dịch phù bao quanh thành mạch; tế bào nội mạc bị hoạt tử, bong tróc; các tế bào lympho và một số tế bào đại thực bào bao quanh thành mạch. Chứng tỏ virus này đã phá hủy tế bào nội mạc trong toàn bộ cơ thể, gây viêm, xuất huyết. Điều này giải thích lý do tất cả các cơ quan phủ tạng của gà bị nhiễm virus cúm đều bị xuất huyết nặng.
Kết quả cũng cho thấy phương pháp nhuộm hóa tổ chức miễn dịch (IHC) có độ tương đồng phát hiện kháng nguyên với biến đổi bệnh tích vi thể từng cơ quan phủ tạng.
Các tổn thương về đại thể, vi thể cũng như đánh giá b ng phương pháp hóa mô miễn dịch trong nghiên cứu này khẳng định r ng chủng virus H N1 thuộc clade cũng có hướng nhiễm đa phủ tạng giống các virus A H N1 độc lực cao khác như nhiều tác giả khác đã nghiên cứu (Antarasena và cs, 2006; Aiki- ajii và cs, 2008; Jeong và cs, 2009; Pfeiffer và cs, 2009).
3.3.6. X c định đặc tính kh ng ng yên củ c c chủng i c A/H5N1 cl de 7 phân lập ở Việt N
Trong nghiên cứu đặc tính của virus nói chung và của virus cúm nói riêng, bên cạnh việc phân tích đặc tính về di truyền (phân tích gen, phân tích phát sinh loài), một đặc tính cần được xác định rõ đó là tính kháng nguyên của virus. C thể đối với virus cúm, đặc tính kháng nguyên của virus thường được xác định dựa trên 2 loại kháng nguyên bề mặt thiết yếu là kháng nguyên HA và kháng nguyên NA. Nghĩa là để xác định subtype của virus người ta thường sử d ng phản ứng HA, HI để xác định subtype H và phản ứng NA NI để xác định subtype N. Phản ứng NI test là một phản ứng định tính vì vậy dù các virus có cùng subtype N thì phản ứng NI không cho biết được sự khác biệt về tính kháng nguyên của N của các virus đó. Tuy nhiên phản ứng HI lại là phản ứng có tính chất định lượng, vì vậy phản ứng HI không những dùng để xác định subtype H của virus cúm, mà còn được sử d ng để xác định độ tương đồng kháng nguyên của các chủng virus cúm khác nhau trong cùng subtype H. Do vậy trong nghiên cứu này, chúng tôi chỉ sử d ng phản ứng HI để xác định đặc tính kháng nguyên của các chủng virus cúm A H N1 mà chúng tôi phân lập được.
Chúng tôi sử d ng 4 chủng virus cúm A H N1 clade phân lập được
Việt Nam là A/chicken/Vietnam/NCVD-016/2008; A chicken Vietnam NCVD-03 2008; A chicken Vietnam NCVD-04 2008; và A/chicken/Vietnam/NCVD-093 2008 trong nghiên cứu này, thực hiện việc xác định đặc tính kháng nguyên b ng phản ứng HI với kháng huyết thanh kháng virus cúm A H N1chế trên chồn (ferret) H5N1 b ng các chủng virus cúm A/H5N1thuộc clade 1, 2.3.4 và là các chủng virus lưu hành và phân lập được tại Việt Nam từ 200 -2010. Chúng tôi không sử d ng chủng A chicken Vietnam NCVD-0 2008 vì kết quả giải trình tự gen HA cho thấy chủng này giống 100% so với chủng A/chicken/Vietnam/NCVD-04/2008. Quy trình xét nghiệm ngăn tr ngưng kết hồng cầu là quy trình của tổ chức Y tế thế giới khuyến cáo sử d ng khi xét nghiệm kháng thể đối với virus cúm.
Kết quả phản ứng HI chéo giữa virus và kháng huyết thanh của các clade virus A H N1 khác nhau cho thấy có một sự tương đồng cao giữa các virus và kháng huyết thanh đồng chủng (hiệu giá HI 160) nhưng không có phản ứng chéo hoặc phản ứng chéo có hiệu giá rất thấp giữa các chủng virus từ các clade khác nhau (Bảng 3.19).
- Kháng huyết thanh chồn chế từ virus cúm A Vietnam 1203 2004 (HA clade 1) không có phản ứng chéo đáng kể với bất kỳ virus cúm A H N1nào thuộc về Clade 7 trong cả hai nhóm virus A và B. Tuy nhiên, kháng huyết thanh kháng virus cúm A chicken Vietnam NCVD-035/2008 (HA clade 2.3.4) có phản ứng chéo mức độ thấp (HI = 1 10 ÷ 1 80) với các chủng virus cúm A/H5N1 của clade 7.
- Kháng huyết thanh A H N1 thuộc clade được chế từ ba chủng virus khác nhau thuộc Clade là: chủng A/Chicken/Vietnam/NCVD- 016/2008 (gốc phát sinh), chủng A/chicken/Vietnam/NCVD-03 2008 (nhóm B), và chủng A chicken Vietnam NCVD- 093 2008 (nhóm A) được sử d ng để thực hiện phản ứng HI chéo với các chủng virus cúm A/H5N1của các clade khác. Trong khi kháng huyết thanh kháng virus A/Chicken/Vietnam/NCVD-016 2008 không có phản ứng với các virus clade 1 hoặc clade 2.3.4, thì có phản ứng chéo với một chủng virus của nhóm B mức độ hạn chế (HI = 20) và không phản ứng chéo với các chủng virus cúm nhóm A. Hiện tượng kháng huyết thanh kháng virus cúm A/Chicken/Vietnam/NCVD-016 2008 có phản ứng chéo rất hạn chế (hiệu giá HI thấp) hoặc không có phản ứng chéo với các chủng virus cúm A H N1khác thuộc clade 7 cho thấy sự tương đồng về mặt kháng nguyên giữa các virus cúm A H N1trong cùng clade là rất thấp.
Tuy nhiên giữa các virus A/H5N1 Clade 7 n m trong cùng phân nhóm lại có mức độ phản ứng chéo rất cao. Ví d , kháng huyết thanh kháng A/chicken/Vietnam/NCVD-03 2008 (nhóm B) đã có hiệu giá ngăn tr ngưng kết là 160 đối với virus thuộc nhóm B là virus A chicken Vietnam NCVD- 04/2008.
Bảng 3.19. Kết q ả x c định đặc tính kh ng ng yên củ i c A/H5N1 clade 7 phân lập được bằng phản ứng HI
Clade | 0 | 1 | 2.3.4 | 2.3.4 | 7 | 7B | 7A | |
Kh ng ng yên ch ẩn | GS/GD | VN/1203 | AN/1/05 | CK/VN/35 | CK/VN/016 | CK/VN/03 | CK/VN/93 | |
A/goose/Guangdong/1/96 | 0 | 1280 | <10 | 80 | 80 | <10 | <10 | <10 |
A/Vietnam/1203/2004 | 1 | 80 | 320 | 80 | 160 | <10 | <10 | <10 |
A/Anhui/1/05 | 2.3.4 | 20 | <10 | 1280 | 160 | 20 | <10 | <10 |
A/chicken/Vietnam/NCVD-035/2008 | 2.3.4 | <10 | <10 | 80 | 320 | <10 | <10 | <10 |
A/Chicken/Vietnam/NCVD-016/2008 | 7 | <10 | <10 | <10 | 10 | 640 | <10 | <10 |
A/chicken/Vietnam/NCVD-03/2008 | 7B | <10 | <10 | <10 | 20 | 20 | 160 | <10 |
A/chicken/Vietnam/NCVD-93/2008 | 7A | <10 | <10 | <10 | 80 | <10 | <10 | 160 |
Kh ng ng yên ki t | ||||||||
A/duck/Vietnam/NCVD-159/2008 | 2.3.4 | <10 | <10 | 160 | 40 | 10 | <10 | <10 |
A/duck/Vietnam/NCVD-160/2008 | 2.3.4 | <10 | <10 | 160 | 80 | 10 | 10 | <10 |
A/chicken/Vietnam/NCVD-185/2008 | 2.3.4 | <10 | <10 | 320 | 80 | 10 | 10 | <10 |
A/duck/Vietnam/NCVD-186/2008 | 2.3.4 | <10 | <10 | 320 | 80 | 10 | 10 | <10 |
A/duck/Vietnam/NCVD-187/2008 | 2.3.4 | <10 | <10 | 320 | 80 | <10 | <10 | <10 |
A/chicken/Vietnam/NCVD-188/2008 | 2.3.4 | <10 | <10 | 320 | 80 | <10 | <10 | <10 |
A/chicken/Vietnam/NCVD-04/2008 | 7B | <10 | <10 | <10 | 10 | <10 | 160 | <10 |
115
Tương tự như vậy, hiện tượng không có phản ứng chéo (hiệu giá HI <10) giữa kháng huyết thanh nhóm A và virus nhóm B, cho thấy sự khác biệt đáng kể giữa các phân nhóm của clade 7.
Từ kết quả xác định đặc tính kháng nguyên của các chủng virus A H N1 clade cho thấy:
- Giữa các clade virus A H N1 khác nhau không có phản ứng chéo, tức là không có sự tương đồng về mặt kháng nguyên.
- ột số clade có phản ứng chéo nhưng có hiệu giá HI thấp, biểu hiện của tính tương đồng kháng nguyên thấp.
- Ngay trong cùng một clade, các chủng khác nhau cũng có phản ứng chéo thấp, tức là độ tương đồng về kháng nguyên giữa các chủng này cũng thấp.
Kết quả trên cho thấy, khi các chủng virus A/H5N1 clade 7 xâm nhập vào các đàn gà nội địa Việt Nam, có thể vacxin chưa chắc đã có khả năng bảo hộ tốt chống lại các chủng virus mới này. Qua đây cũng thấy r ng nếu có sự xâm nhập của nhiều clade virus cúm gia cầm A H N1 khác nhau sẽ có thể dẫn đến sự phức tạp cho công tác phòng chống dịch bệnh do tính đa dạng về di truyền và kháng nguyên của virus cúm A/H5N1.
3.3.7. Đ nh gi khả năng bảo h của vacxin Re-1 đ i với i c A/H5N1Cl de 7 t ên gà
Kết quả của những nghiên cứu các đặc điểm di truyền, kháng nguyên và độc lực của chủng virus cúm gia cầm H5N1 A/Chicken/Vietnam/NCVD- 016 2008, đã chứng tỏ r ng chủng virus này có độc lực cao đối với gà. Để phòng bệnh cúm trên gia cầm , từ năm 2006 Việt Nam đã sử d ng đại trà vacxin cúm gia cầm H N1 e-1 do Trung Quốc sản xuất. Nhiều thử nghiệm đã được tiến hành Việt Nam để đánh giá khả năng bảo hộ của vacxin này. Vacxin A/H5N1 Re-1 là vacxin vô hoạt chế b ng kỹ thuật di truyền ngược mang gen H và gen N1 của chủng virus A/Goose/Guangdong/1/96-H N1 (phân lập trên ngỗng tỉnh Quảng Đông – Trung Quốc năm 1996) và 6 nội gen (internal gene) của virus cúm A/Puerto Rico/8/34-H1N1. Trong đó gen H của virus A/Goose/Guangdong/1/96 đã được xóa bỏ đoạn gen mã độc và tr thành vô độc. Chủng virus
A Goose Guangdong 1 96 cũng được coi là thủy tổ của các virus cúm A H N1độc lực cao từ năm 1996 cho đến nay, và về mặt phân loại theo danh pháp quốc tế của WHO-FAO-OIE virus này thuộc HA clade 0.
Đã có nhiều thí nghiệm đánh giá hiệu lực bảo hộ của vacxin H5N1 Re-1 được thực hiện đối với các chủng virus cúm A H N1độc lực cao thuộc các clade 1 và 2.3.4 Việt Nam (báo cáo của Trung tâm Chẩn đoán Thú y Trung ương). Tuy nhiên đây là lần đầu chúng tôi thực hiện thí nghiệm đánh giá hiệu lực của vacxin với chủng virus thuộc clade clade 7 (A/chicken/Vietnam/NCVD- 016/2008).
Chúng tôi sử d ng gà đã được tiêm phòng vacxin H N1 e-1 với 1 mũi vacxin lúc 14 ngày tuổi, sau đó tiến hành công cường độc lúc 4 tuần sau khi tiêm vacxin (42 ngày tuổi). Số lượng gà tiêm phòng vacxin là 10 con và số gà đối chứng không tiêm vacxin là con. Trước khi công cường độc, toàn bộ số gà (cả lô tiêm vacxin và lô đối chứng) đều được lấy máu và kiểm tra kháng thể.
- Lô đối chứng, tất cả đều âm tính kháng thể cúm gia cầm H5N1.
- Lô Vacxin, cả con đều có kháng thể cúm gia cầm H5N1 với hiệu giá HI đạt từ 7 – 8 log2 (G T = , log2). Như vậy kết quả cho thấy cả 2 lô đều đạt tiêu chuẩn để tiến hành công cường độc.
Thí nghiệm công cường độc được tiến hành tại khu chuồng công cường độc an toàn sinh học của Trung tâm Chẩn đoán Thú y Trung ương. ỗi gà được công cường độc với liều 106TCID50con qua đường nhỏ mũi. Theo dõi thí nghiệm trong vòng 10 ngày, ghi lại đặc điểm lâm sàng hàng ngày và tính tỷ lệ sống chết nh m đánh giá sự bảo hộ. Kết quả chi tiết theo dõi thí nghiệm đánh giá hiệu lực vacxin H N1 đối với virus A/Chicken/Vietnam/NCVD-016 2008 được trình bày
bảng 3.20.
Diễn biến lâm sàng c thể như sau:
- Ngày thứ nhất và thứ hai sau khi công, gà của cả hai lô đều vẫn khỏe mạnh, ăn uống bình thường.
- Đến ngày thứ ba, 1/10 gà tiêm lô thí nghiệm (VX 3) có dấu hiệu giảm ăn, số gà khác trong lô thí nghiệm vẫn bình thường. Tất cả gà của lô đối chứng
đều có dấu hiệu ốm, trong đó có 3/5 con giảm ăn uống, 2/5 con có dấu hiệu bỏ ăn, n m liệt, ủ rũ.
Bảng 3.20. Kết quả theo dõi thí nghiệ c ng cường đ c gà thí nghiệ sau tiê vacxin c gi cầm H5N1 Re-1
Hiệu giá KT | Ngày sau công cường độc | Số con chết/tổng số | Tỷ lệ chết | |||||||||
Trước khi công | Sau khi công | 1 | 2 | 3 | 4 | 5 | 6 | 7 | 8/10 | |||
Lô thí nghiệm (tiêm vacxin) | 0/10 | 0% | ||||||||||
VX 1 | 8 | ≥12 | 0 | 0 | 0 | 0 | 0 | 0 | 0 | 0 | ||
VX 2 | 8 | 9 | 0 | 0 | 0 | 0 | 0 | 0 | 0 | 0 | ||
VX 3 | 7 | 10 | 0 | 0 | 1 | 1 | 1 | 0 | 0 | 0 | ||
VX 4 | 8 | 10 | 0 | 0 | 0 | 0 | 0 | 0 | 0 | 0 | ||
VX 5 | 7 | 10 | 0 | 0 | 0 | 0 | 0 | 0 | 0 | 0 | ||
VX 6 | 7 | 9 | 0 | 0 | 0 | 0 | 0 | 0 | 0 | 0 | ||
VX 7 | 8 | 10 | 0 | 0 | 0 | 0 | 0 | 0 | 0 | 0 | ||
VX 8 | 7 | 10 | 0 | 0 | 0 | 0 | 0 | 0 | 0 | 0 | ||
VX 9 | 8 | 9 | 0 | 0 | 0 | 0 | 0 | 0 | 0 | 0 | ||
VX 10 | 7 | 9 | 0 | 0 | 0 | 0 | 0 | 0 | 0 | 0 | ||
Lô đối chứng (không tiêm vacxin) | 5/5 | 100% | ||||||||||
ĐC 1 | - | 0 | 0 | 1 | 1 | 1 | 2 | 3 | ||||
ĐC 2 | - | 0 | 0 | 2 | 2 | 3 | ||||||
ĐC 3 | - | 0 | 0 | 1 | 2 | 3 | ||||||
ĐC 4 | - | 0 | 0 | 2 | 3 | |||||||
ĐC | - | 0 | 0 | 1 | 1 | 2 | 3 | |||||
Ch thích: 0-bình thường 1- ố nhẹ 2-ố nặng 3- chết
- Ngày thứ tư và thứ năm sau khi công, lô thí nghiệm 1/10 gà vẫn lờ đờ, ăn uống kém, 9/10 gà còn lại trong lô tiêm vacxin vẫn khỏe. Ở lô đối chứng, có






