Hình 1.19. Các Biểu đồ kết quả nghiên cứu của Ozaki và cs: A. Tỷ lệ sống còn;
B. Tỷ lệ bệnh nhân phải mổ lại; C. Tỷ lệ hở van ĐMC trên mức độ vừa (2/4). “Nguồn: Ozaki 2018”.18
Với nhóm bệnh nhân bất thường giải phẫu van ĐMC 2 cánh van, Ozaki và cs, đã báo cáo kết quả tiến hành tái tạo lại ba cánh van trên 102 bệnh nhân được phẫu thuật từ tháng 04 năm 2007 đến tháng 09 năm 2011, thời gian theo dòi trung bình là 733 ngày. Kết quả sau 5 năm theo dòi, tỷ lệ sống và tỷ lệ phải phẫu thuật lại là 80,4% và 1% (Hình 1.20).61

Hình 1.20. Biểu đồ Kaplan Meier thể hiện tỷ lệ sống khi theo dòi trung hạn với nhóm van động mạch chủ hai cánh vanh.
“Nguồn: Ozaki 2014”.61
Kawase và cs, báo cáo kết quả phẫu thuật tái tạo van ĐMC bằng MNT trên 54 bệnh nhân suy thận giai đoạn cuối đã được lọc máu chu kỳ. Kết quả thu được tỷ lệ sống sau 50 tháng của nhóm bệnh nhân này là 79,6%. Tất cả các bệnh nhân còn sống đều không có triệu chứng khó thở (NYHA 1).62
Các nghiên cứu của các tác giả khác trên thế giới cũng cho kết quả sớm và trung hạn sau phẫu thuật tốt, với huyết động qua van tốt.60,63
Bảng 1.4. Tỷ lệ sống còn và tỷ lệ phải mổ lại trong các nghiên cứu về phẫu thuật tái tạo van động mạch chủ bằng màng ngoài tim tự thân.
Thời gian phẫu thuật | Số lượng bệnh nhân | Thời gian theo dòi (tháng) | Tỷ lệ sống | Tỷ lệ mổ lại | |
Oliver và cs, 2018, Thuỵ sỹ.64 | 09/2015- 05/2017 | 30 | 3 | 96,7% | 0% |
Lida và cs, 2018, Nhật Bản.65 | 12/2010- 06/2017 | 144 | 32 | 89,7% | 3,5% |
Christopher và cs, 2020, Mỹ.66 | 08/2015- 02/2019 | 57 | 11 | 100% | 9% |
Krane và cs, 2019, Đức.63 | 10/2016- 04/2019 | 103 | 14 | 98,1% | 3,9% |
Ozaki S và cs, 2019, Nhật.67 | 04/2007- 03/2019 | 1100 | 144 | 84,6% | 4,2% |
Có thể bạn quan tâm!
-
Tương Quan Tỷ Lệ Đường Kính Vòng Van Động Mạch Chủ Và Chỗ Nối Xoang Ống Thời Kỳ Tâm Thu Và Tâm Trương. Aa: Đường Kính Chỗ Nối Xoang-Ống; Bb: -
Hình Thái Thương Tổn Giải Phẫu Van Động Mạch Chủ . “Nguồn: Baumgartner H 2009” . 44 -
Khuyến Cáo Điều Trị Đối Với Hẹp Van Động Mạch Chủ . 10 Vmax: Vận Tốc Tối Đa Của Dòng Máu Qua Van Đmc, ∆P: Chênh Áp Trung Bình Qua Đmc, Lvef -
Phương Tiện Dụng Cụ Sử Dụng Trong Phẫu Thuật. -
A: Đánh Dấu Vị Trí Mở Động Mạchc Hủ. B: Cắt Bỏ Van Đmc Và Lấy Vôi. C: Đo Kích Thước Các Cánh Van (Khoảng Cách Giữa 2 Mép Van). (Nguồn: Trung Tâm -
Phân Loại Hẹp Van Động Mạch Chủ Theo Hội Tim Mạch Học Hoa Kỳ (Aha 2017). 10
Xem toàn bộ 201 trang tài liệu này.
Sho A và cs, báo cáo kết quả phẫu thuật tái tạo van ĐMC bằng MNT tự thân trên nhóm bệnh nhân có vòng van ĐMC nhỏ (< 20 mm). Kết quả từ tháng 02/2011 đến tháng 05 năm 2017, tổng số 34 bệnh nhân với đường kính vòng van ĐMC là 18,4 mm đã được phẫu thuật. Tỷ lệ sống sau mổ tại 1 năm và 5 năm là 91,2% và 76,8%. Tỷ lệ mổ lại sau 1 năm và 5 năm là 5,9% và 9,2%. Với thời gian theo dòi trung bình 28 tháng, các tác giả nhận thấy diện tích hiệu dụng của van tăng khi so sánh kết quả trung hạn và kết quả sớm (Hình 1.21).60

Hình 1.21. Biểu đồ so sánh diện tích hiệu dụng của van động mạch chủ trước mổ, sau mổ 1 tuần và trung hạn sau mổ.
“Nguồn: Sho A 2020”.60
Rosseikin và cs, báo cáo kết quả phẫu thuật tái tạo van ĐMC bằng MNT tự thân từ tháng 10 năm 2015 tới tháng 12 năm 2017 trên 142 bệnh nhân. Trong đó có 30 bệnh nhân được tiến hành phẫu thuật qua đường mở ½ trên xương ức (Hình chữ J). Kết quả cho thấy tỷ lệ tử vong sớm (30 ngày đầu sau mổ) không có sự khác biệt giữa nhóm phẫu thuật ít xâm lấn và nhóm được phẫu thuật qua đường mở toàn bộ xương ức. Tuy nhiên, tổng lượng máu mất ở nhóm phẫu thuật ít xâm lấn ít hơn so với nhóm phẫu thuật qua đường mở toàn bộ xương ức. Từ nghiên cứu này cho thấy phương pháp tái tạo van ĐMC bằng MNT tự thân có thể thực hiện được qua đường mở ngực ít xâm lấn.68
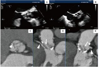
Năm 2019, Tada N và cs đã báo cáo trường hợp thay van ĐMC qua đường ống thông đầu tiên trên bệnh nhân sau mổ tái tạo van ĐMC bằng MNT tự thân theo phương pháp Ozaki. Đây là trường hợp bệnh nhân nam 80 tuổi, được phẫu thuật tái tạo van ĐMC bằng MNT tự thân theo phương pháp Ozaki cách 5 năm. Bệnh nhân được chẩn đoán hẹp van ĐMC đã tái tạo bằng MNT do lá van dài, dày và vôi hoá mép van (Hình 1.22). Bệnh nhân đã được tiến hành thành công thay van ĐMC qua đường ống thông (Hình1.23), kết quả
theo dòi sau 1 năm diện tích hiệu dụng của van 1,89 cm² và chênh áp trung bình qua van là 8 mmHg.69

Hình 1.22. Hình ảnh siêu âm tim (A, B) và chụp cắt lớp vi tính của bệnh nhân sau mổ tái tạo van động mạch chủ 5 năm.69

Hình 1.23. Hình ảnh thay van động mạch chủ qua đường ống thông (A, B) và kết quả siêu âm tim (C, D) của bệnh nhân sau phẫu thuật tái tạo van động mạch chủ theo phương pháp Ozaki.69
“Nguồn: Tada 2019”.69
1.3.5.3. Tình hình phẫu thuật tái tạo van động mạch chủ bằng phương pháp Ozaki tại Việt Nam
Tại Việt Nam, phương pháp phẫu thuật tái tạo van ĐMC bằng MNT tự thân theo phương pháp Ozaki vẫn còn là một phương pháp mới. Phương pháp này mới được áp dụng một cách thường quy tại Bệnh viện E, Bệnh viện Đại học Y Dược Thành Phố Hồ Chí Minh. Tại Việt Nam, cũng chưa có nhiều báo cáo liên quan đến phương pháp này.
Nguyễn Công Hựu và cs, đã báo cáo kết quả trung hạn trường hợp đầu tiên được phẫu thuật tái tạo van ĐMC bằng MNT tự thân theo phương pháp Ozaki tại Việt Nam. Kết quả theo dòi trung hạn sau 5 năm, triệu chứng lâm sàng cải thiện rò, NYHA I, không đau tức ngực, mọi sinh hoạt bình thường. Kết quả siêu âm tim qua thành ngực cho thấy van ĐMC không hở, không hẹp.19
Nguyễn Hoàng Định và cs, báo cáo kết quả thành công phẫu thuật tái tạo van ĐMC bằng MNT tự thân theo phương pháp Ozaki trên 9 bệnh nhân qua đường mở ngực nhỏ nửa trên xương ức. Các tác giả đã tiến hành lấy MNT qua hệ thống nội soi với 3 lỗ trocart trên thành ngực hoặc qua đường mở nhỏ xương ức sau khi thiết lập tuần hoàn ngoài cơ thể. Với thành công này, các tác giả đưa ra kết luận cho rằng đây là phương pháp an toàn, khả thi và có thể áp dụng cả với nhóm bệnh nhân trẻ.20
Nguyễn Thị Thu Trang và cs, báo cáo kết quả phẫu thuật tái tạo van ĐMC bằng MNT tự thân theo phương pháp Ozaki, trong số 30 bệnh nhân được phẫu thuật, kết quả 03 bệnh nhân phải chuyển thay van ĐMC sau khi tái tạo van. Các tác giả đánh giá vai trò quan trọng của siêu âm tim và chụp cắt lớp vi tính thăm dò gốc ĐMC trước mổ.21
Chương 2
ĐỐI TƯỢNG VÀ PHƯƠNG PHÁP NGHIÊN CỨU
2.1. Đối tượng nghiên cứu
Nghiên cứu bao gồm tất cả các bệnh nhân được chẩn đoán bệnh van ĐMC đơn thuần là những trường hợp phẫu thuật chỉ can thiệp trên van ĐMC và được phẫu thuật tái tạo van ĐMC bằng MNT tự thân theo phương pháp Ozaki tại Trung tâm Tim mạch - Bệnh viện E từ tháng 06 năm 2017 đến tháng 12 năm 2019.
2.1.1. Tiêu chuẩn lựa chọn bệnh nhân
Tất cả các bệnh nhân hồi cứu và tiến cứu đều được tiến hành theo một quy trình thống nhất từ khám, chẩn đoán trước mổ, chỉ định mổ, quy trình phẫu thuật, theo dòi và khám lại do đó không có sự khác biệt về tiêu chuẩn lựa chọn giữa nhóm hồi cứu và tiến cứu.
Bệnh nhân được lựa chọn vào nghiên cứu khi đáp ứng các tiêu chí sau:
o Được phẫu thuật tái tạo van ĐMC bằng MNT tự thân theo phương pháp Ozaki, bao gồm cả những bệnh nhân phải chuyển sang thay van ĐMC trong cùng một thì mổ sau khi phẫu thuật tái tạo van bằng MNT thất bại.
o Hồ sơ nghiên cứu đầy đủ.
o Đồng ý tham gia vào nghiên cứu.
o Khám và theo dòi định kỳ theo đúng quy trình nghiên cứu.
2.1.2. Tiêu chuẩn loại trừ
Các bệnh nhân có ít nhất một trong các điểm sau bị loại khỏi nghiên cứu:
Bệnh nhân được phẫu thuật tái tạo van ĐMC bằng MNT tự thân theo phương pháp Ozaki kết hợp với các phẫu thuật khác ở tim như bắc cầu ĐMC- ĐMV, sửa hoặc thay van hai lá, thay đoạn ĐMC lên….
Mất liên lạc với bệnh nhân trong quá trình nghiên cứu.
Phẫu thuật sửa chữa van ĐMC theo kỹ thuật khác.
Bệnh nhân được phẫu thuật tái tạo van ĐMC theo phương pháp Ozaki
nhưng sử dụng vật liệu nhân tạo (Màng tim bò).
2.2. Phương pháp nghiên cứu
2.2.1. Thiết kế nghiên cứu
Nghiên cứu mô tả, số liệu hồi cứu và tiến cứu. Nhóm bệnh nhân hồi cứu được phẫu thuật từ tháng 06 năm 2017 đến tháng 12 năm 2018, nhóm bệnh nhân tiến cứu được phẫu thuật từ tháng 12 năm 2018 đến hết tháng 12 năm 2019. Thời gian theo dòi tối thiểu của một bệnh nhân là 12 tháng.
Cỡ mẫu nghiên cứu
o Tính theo công thức

o Trong đó:
n: Số bệnh nhân dự kiến.
p: Tỉ lệ tử vong trong vòng 30 ngày đầu sau mổ. Theo nghiên cứu của Reuthebuch Oliver được tiến hành tại Thuỵ sỹ, trên 30 bệnh nhân được phẫu thuật tái tạo van ĐMC bằng MNT tự thân theo phương pháp Ozaki, có tỷ lệ tử vong p = 3,33%.64
ɛ: Phương sai chuẩn, với khoảng tin cậy 95%, ɛ = 2,5%.
Thay các giá trị vào công thức
n > 51,5
𝑛 =
3,33 x (100 − 3,33)
2,5²
Như vậy, cỡ mẫu tối thiểu cần thực hiện là 52 bệnh nhân.
2.2.2. Các bước tiến hành nghiên cứu
Thu thập số liệu vào nghiên cứu
Công cụ thu thập dữ liệu: Bệnh án nghiên cứu.
Sử dụng mẫu “Bệnh án nghiên cứu” được thiết kế dành riêng cho
nghiên cứu để thu thập các thông số về đặc điểm lâm sàng và cận lâm sàng trước mổ, thông số trong quá trình mổ và nằm viện sau mổ, cũng như các thông số khi theo dòi người bệnh và khám lại.
2.2.2.1. Đối với nhóm bệnh nhân tiến cứu.
Nhóm bệnh nhân tiến cứu được tính từ khi thông qua hội đồng đề cương và được sự chấp thuận của Hội đồng đạo đức trong nghiên cứu y sinh học của Trường Đại học Y Hà Nội chấp thuận nghiên cứu (Từ tháng 12 năm 2018).
Khám và chẩn đoán bệnh van ĐMC đơn thuần.
Chỉ định phẫu thuật tái tạo van ĐMC bằng MNT tự thân theo phương pháp Ozaki.
Tiến hành phẫu thuật tái tạo van ĐMC bằng MNT tự thân theo phương pháp Ozaki.
Tiến hành theo dòi và điều trị sau mổ trong quá trình nằm viện. Đánh giá kết quả sớm bao gồm tỷ lệ thành công, tỷ lệ tử vong sớm, tỷ lệ các biến chứng (nếu có).
Khám lại theo đúng thời gian quy định của nghiên cứu, sau mổ 1 tháng và mỗi 6 tháng. Đánh giá kết quả theo dòi trung hạn dựa trên tỷ lệ tử vong, tỷ lệ mổ lại, tỷ lệ hở van ĐMC.
Nhập các số liệu vào bệnh án nghiên cứu và phần mềm Excel quản lý số liệu.
2.2.2.2. Đối với nhóm bệnh nhân hồi cứu.
Việc thu thập dữ liệu hồi cứu được đảm bảo không ảnh hưởng số liệu vì phẫu thuật tái tạo van ĐMC bằng MNT tự thân theo phương pháp Ozaki được áp dụng bởi quy trình thống nhất, không có thay đổi lớn từ khi mới bắt đầu triển khai cho tới khi tiến hành nghiên cứu.
Lập danh sách các bệnh nhân đã được phẫu thuật (Thành công hay thất bại) van ĐMC bằng MNT tự thân theo phương pháp Ozaki tại Trung tâm Tim






