- Các triệu chứng toàn thân có thể gặp: gầy sút, xạm da, thiếu máu, mệt mỏi. Thường những tháng đầu có thể mât từ 3-5 kg/tháng
- Các triệu chứng phối hợp cũng có khi là triệu chứng hoặc biến chứng của rò thực – khí phế quản, biểu hiện của tiến triển, xâm lấn:
+ Chảy máu thực quản biểu hiện nôn máu, đi ngoài phân đen
+ Viêm phổi có thể là triệu chứng, song cũng có thể là biến chứng
+ Ho dai dẳng do rò thực – phế quản
+ Khàn tiếng
+ Hội chứng Horner
+ Chèn ép tĩnh mạch chủ trên
+ Chảy máu dữ dội do UTTQ xâm lấn vào động mạch chủ
Các dấu hiệu di căn: tràn dịch màng phổi ác tính, gan to, hạch cổ, đau xương, đái máu,.. [6].
Có thể bạn quan tâm!
-
Nhận xét một số đặc điểm lâm sàng và cận lâm sàng của bệnh nhân ung thư thực quản tại bệnh viện K - 1 -
Nhận xét một số đặc điểm lâm sàng và cận lâm sàng của bệnh nhân ung thư thực quản tại bệnh viện K - 2 -
Các Biến Số, Chỉ Số Trong Nghiên Cứu -
Thời Gian Từ Khi Có Triệu Chứng Cho Đến Khi Vào Viện -
Mối Liên Quan Giữa Mô Bệnh Học Và Tiền Sử Bản Thân
Xem toàn bộ 78 trang tài liệu này.
Triệu chứng lâm sàng không rầm rộ và đặc hiệu riêng của ung thư thực quản và thường xuất hiện ở giai đoạn bệnh đã tiến triển nặng. Như vậy giá trị của lâm sàng trong chẩn đoán là rất ít.
1.3.2. Triệu chứng cận lâm sàng
1.3.2.1. Chụp XQ thực quản có thuốc cản quang
Phương pháp này được sử dụng rộng rãi với kĩ thuật đơn giản, giá thành rẻ và an toàn. Để tăng hiệu quả chẩn đoán cho những u nhỏ, người ta dùng kỹ thuật chụp đối quang kép. Tỷ lệ chính xác đạt 70% tuy nhiên hạn chế của nó là không đánh giá được giai đoạn bệnh.
Trên phim chụp thực quản với baryt tùy theo thể ung thư mà chúng ta có thể thấy các hình ảnh khác nhau:
- Thể thâm nhiễm .
- Thể sùi.
- Thể loét.
1.3.2.2. Chụp cắt lớp vi tính (CT) và cộng hưởng từ (MRI)
Giúp đánh giá mức độ xâm lấn của khối u, các tổn thương di căn…
- Khối u ranh giới không rõ, ngấm thuốc sau tiêm, có thể có hoại tử trung
tâm.
- Xâm lấn khí phế quản, mạch máu hay thần kinh.
- Hạch cứng chắc đứng đơn độc hay nhóm cạnh khối u, có thể hạch di
căn ở xa vị trí khối u.
- Phát hiện được di căn phổi, gan, lách, thận hay não.
1.3.2.3. Ghi hình cắt lớp bằng positron PET/CT
Chụp PET/CT với 18F-FDG trước điều trị để chẩn đoán u nguyên phát, chẩn đoán giai đoạn bệnh; chụp sau điều trị để theo dõi đáp ứng điều trị, đánh giá tái phát và di căn; mô phỏng lập kế hoạch xạ trị.
PET/CT có khả năng đánh giá vị trí khối u đồng thời phát hiện di căn xa với những tổn thương nghi ngờ có kích thước từ 1cm. Bên cạnh đó PET/CT đã được chứng minh là có giá trị tiên lượng cũng như có thể được áp dụng để quản lý bệnh nhân [26].
1.3.2.4. Nội soi thực quản ống mềm
Là phương pháp rất có giá trị trong chẩn đoán, nội soi thực quản ống mềm quan sát trực tiếp hình ảnh khối u.
- Tổn thương: loét, sùi, thâm nhiễm hay kết hợp.
- Vị trí tổn thương: 1/3 trên, 1/3 giữa hay 1/3 dưới.
- Đanh giá tính nhu động của thực quản: nhu động tốt, nhu động hạn chế, mất nhu động.
- Mức độ tổn thương: kéo dài theo lòng thực quản, mức độ choán chỗ gây chít hẹp 1/2 chu vi, 3/4 chu vi, 1/3 chu vi hay toàn bộ chu vi thực quản.
- Bấm sinh thiết xét nghiệm mô bệnh học: thường gặp ung thư biểu mô vảy, ung thư biểu mô tuyến.
1.3.2.5. Siêu âm nội soi thực quản
Giúp đánh giá tổn thương còn khu trú hay đã xâm lấn, di căn hạch cạnh thực quản.
- Tổn thương còn khu trú ở lớp niêm mạc hay dưới niêm mạc: Ổ loét nhỏ bờ có giả mạc, tổ chức sùi khỏi niêm mạch, polyp nhỏ có hoặc không.
- Tổn thương qua lớp cơ tới tổ chức xung quanh: hình khối loét, thâm nhiễm cứng lan rộng vượt qua thành thực quản đến tổ chức xung quanh.
- Hạch xung quanh u kích thước ≥ 1cm, còn vỏ hay mất vỏ.
1.3.2.6. Các xét nghiệm khác
- Xét nghiệm HER – 2: nếu HER2 (+++) trên hóa mô miễn dịch hoặc xét nghiệm FISH hoặc CISH dương tính thì bệnh nhân có thể sử dụng thuốc điều trị đích trastuzumab (Herceptin)
- SCC, Cyfra 21-1, CEA, CA 19-9 nhằm theo dõi đáp ứng điều trị, phát hiện bệnh tái phát và di căn xa
1.4. Đặc điểm giải phẫu bệnh
1.4.1. Phân bố vị trí khối u:
UTTQ 1/3 giữa và 1/3 dưới gặp nhiều nhất. Tỉ lệ thay đổi theo từng nghiên cứu và tùy từng loại ung thư. Nói chung, UTBM vảy hay gặp nhiều nhất ở 1/3 giữa và UTBM tuyến lại thường gặp ở 1/3 dưới thực quản. Theo Phạm Đức Huấn tỷ lệ các vị trí 1/3 trên , giữa, dưới là 4,8 %, 56 % và 39,2 % [4].
1.4.2. Hình ảnh đại thể
Trên 98% UTTQ là ung thư biểu mô, được chia làm 2 loại:
Thể kinh điển
- Dạng sùi: chiếm trên 60% các trường hợp.
- Dạng loét: ít gặp hơn, chiếm khoảng 20-30% các trường hợp
- Dạng thâm nhiễm: rất ít gặp, chiếm khoảng 10% [4].
Ung thư thực quản sớm
Các tác giả Nhật bản đưa ra thuật ngữ UTTQ sớm để chỉ các tổn thương ung thư chưa vượt qua lớp niêm mạc tương đương với giai đoạn Tis và T1 trong phân loại TNM của UICC. UTTQ sớm có tiên lượng tốt nhưng mới chỉ phát hiện dưới 10% các trường hợp
Về mặt đại thể, UTTQ sớm có 3 hình thái chính theo phân loại của Nhật
Bản:
- Loại 1 (thể lồi): tổn thương lồi nhẹ, có dạng một polyp.
- Loại 2 (thể phẳng): thể này lại được chia làm 3 loại (nhô nông: 2a,
phẳng: 2b, lõm nông: 2c).
- Loại 3 (thể loét): tổn thương loét rõ ràng.
1.4.3. Hình ảnh vi thể
Hình ảnh vi thể của UTTQ rất đa dạng và có nhiều cách xếp loại khác nhau, trong đó cách xếp loại của Tổ chức Y tế thế giới (WHO) đưa ra năm 2000 chia thành hai nhóm chính là ung thư tế bào biểu mô và ung thư tế bào không phải biểu mô
Ung thư biểu mô
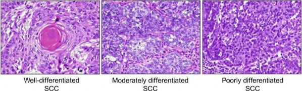
Ung thư biểu mô vảy chiếm trên 90% ác trường hợp. Khối u có cấu trúc thùy, đôi khi xếp lại thành bè hoặc dải. Theo mức độ biệt hóa của tế bào, UTBMV được chia thành 3 loại:
- Loại biệt hóa cao
- Loại biệt hóa thấp.
- Loại biệt hóa vừa.

Hình 1.2. Hình ảnh vi thể UTBM vảy [35]
Ung thư biểu mô tuyến chiếm khoảng 9%, ung thư xuất phát từ biểu mô tuyến lạc chỗ và có các loại vi thể theo mức độ biệt hóa:
- Ung thư biểu mô dạng tuyến.
- Ung thư biểu mô tuyến biểu bì nhầy.
- Ung thư biểu mô tuyến vẩy.
- Ung thư biểu mô tế bào nhỏ
Ung thư không phải biểu mô: chiếm khoảng 1%
1.5. Chẩn đoán ung thư thực quản
1.5.1. Chẩn đoán xác định:
Để chẩn đoán UTTQ cần phải kết hợp nhiều phương pháp như hỏi bệnh sử, thăm khám lâm sàng, phối hợp với các phương pháp cận lâm sàng, đặc biệt là nội soi sinh thiết để làm chẩn đoán mô bệnh học.
1.5.2. Chẩn đoán phân biệt
- Một số bệnh của thực quản:
+ Co thắt tâm vị
+ Túi thừa thực quản
+ Viêm hẹp thực quản do trào ngược dạ dày
+ Sẹo hẹp thực quản
- Bệnh ở cơ quan lân cận
+ Ung thư tâm vị dạ dày
+ Ung thư hầu - thanh quản
+ U trung thất
1.5.3. Chẩn đoán giai đoạn
UTTQ được phân gia đoạn theo sổ tay chẩn đoán giai đoạn ung thư phiên bản thứ 8 của Ủy ban Liên hiệp Ung thư Hoa Kỳ (AJCC) năm 2017 [10] (Phụ lục 1)
- Giai đoạn lâm sàng
GĐ 0 TisN0M0
GĐ I T1N0M0 GĐ IIA T1N1M0 GĐ IIB T2N0M0
GĐ III T2N1M0; T3,4aN0,1M0
GĐ IVA T1-4aN2M0; T4bN0-2M0; Tbất kỳN3M0
GĐ IVB Tbất kỳNbất kỳM1
1.6. Tình hình nghiên cứu về ung thư thực quản trong và ngoài nước
1.6.1. Một số nghiên cứu về UTTQ trên thế giới
Trên thế giới có rất nhiều nghiên cứu về lâm sàng và cận lâm sàng UTTQ. Chủ yếu tập trung vào tỷ lệ mắc bệnh ở hai giới, mối liên quan giữa các yếu tố nguy cơ và mô bệnh học, vị trí thường gặp của khối u. Theo nghiên cứu “Sự khác biệt về giới tính trong ung thư thực quản nói chung và theo phân loại mô bệnh học” của tác giả Nickolas Stabellini và cộng sự, UTTQ chủ yếu gặp ở nam giới với tỷ lệ 3:1 và có sự khác biệt về các yếu tố nguy cơ với tình trạng hút thuốc (p<0,05) [36].
Theo nghiên cứu của Ali Al – Kaabi và cộng sự thực hiện trên 59.584 bệnh nhân tại Hà Lan chỉ ra rằng UTTQ gặp chủ yếu ở nhóm tuổi 50 – 74 (63%), tỷ lệ mắc ung thư biểu mô tuyến tăng gấp 3 lần, trong khi đó tỷ lệ mặc ESCC có xu hướng giảm [9].
1.6.2. Một số nghiên cứu về UTTQ tại Việt Nam
Nghiên cứu của Nguyễn Xuân Hòa “Nghiên cứu ứng dụng phẫu thuật nội soi cắt thực quản và nạo vét hạch rộng hai vùng (ngực-bụng) trong điều trị ung thư thực quản), cho thấy UTTQ chủ yếu gặp ở nam giới, triệu chứng lâm sàng thường gặp nhất là nuốt nghẹn (77,7%) thường gặp ở nhóm tuổi 50 -59 [3].
Một nghiên cứu khác của Phạm Văn Bình và cộng sự năm 2021 thực hiện trên 206 bệnh nhân chỉ ra rằng UTTQ chỉ gặp ở nam giới với tỷ lệ nam:nữ là 206:0. Loại mô bệnh học thường gặp là ung thư biểu mô vảy chiếm 97,1% [34].
Chương 2: ĐỐI TƯỢNG VÀ PHƯƠNG PHÁP NGHIÊN CỨU
2.1. Đối tượng nghiên cứu
Các bệnh nhân được chẩn đoán là UTTQ tại Bệnh viện K từ 2019 - 2021
2.1.1. Tiêu chuẩn lựa chọn
- Bệnh nhân được chẩn đoán xác định UTTQ dựa trên kết quả mô bệnh học theo tiêu chuẩn của WHO 2000
- Vị trí UTTQ ở 1/3 trên, 1/3 giữa và 1/3 dưới.
- Bệnh nhân được nội soi thực quản và chụp cắt lớp vi tính
- Các bệnh nhân được chẩn đoán lần đầu.
- Bệnh nhân có đầy đủ thông tin hành chính.
2.1.2. Tiêu chuẩn loại trừ
- Bệnh nhân đã được điều trị UTTQ.
- Bệnh nhân có mắc ung thư khác trước đó.
2.2. Phương pháp nghiên cứu
2.2.1. Thiết kế nghiên cứu
Thiết kế nghiên cứu mô tả, hồi cứu.
2.2.2. Mẫu nghiên cứu
Mẫu nghiên cứu được chọn theo phương pháp chọn mẫu thuận tiện. Nghiên cứu chọn được 86 bệnh nhân ung thư thực quản được chẩn đoán và điều trị tại Bệnh viện K cơ sở Tam Hiệp từ tháng 2 năm 2019 đến tháng 7 năm 2021, đáp ứng tiêu chuẩn lựa chọn và tiêu chuẩn loại trừ.
2.2.3. Thời gian nghiên cứu:
Từ tháng 2 năm 2019 đến tháng 7 năm 2021.
2.2.4. Địa điểm nghiên cứu:
Bệnh viện K cơ sở Tam Hiệp
2.2.5. Các bước thực hiện





