chi tạo thành vòng xoắn bệnh lý rất khó hồi phục. Ở chi dưới, hội chứng khoang hay gặp nhất là vùng cẳng chân.
1.3. Đặc điểm lâm sàng và cận lâm sàng của tổn thương động mạch lớn trong gãy xương, sai khớp
1.3.1. Đặc điểm lâm sàng
- Triệu chứng của tổn thương động mạch
Các dấu hiệu đặc hiệu của tổn thương động mạch trong chấn thương là mất mạch ngoại vi và dấu hiệu thiếu máu ở phần ngoại vi.
Theo Nguyễn Hữu Ước [39] mất mạch ngoại vi là dấu hiệu rất có giá trị trong chẩn đoán tổn thương động mạch với độ đặc hiệu lên đến 93%. Tuy nhiên trong thực tế, có trường hợp động mạch không bị tổn thương mà cũng không bắt được mạch ngoại vi do tình trạng sốc gây co mạch ngoại vi và tình trạng phù nề lớn ở chi. Có một số trường hợp khó khẳng định là mất hay còn mạch ngoại vi do sự nhầm lẫn của mạch nẩy đầu chi của người khám chưa có kinh nghiệm với mạch ngoại vi của bệnh nhân. Nhưng trong quá trình theo dõi nếu trước đó bắt mạch ngoại vi còn rõ, rồi mạch ngoại vi mờ dần hoặc không sờ thấy thì là dấu hiệu của tổn thương động mạch [28], [37]. Trong các trường hợp nghi ngờ thì các phương pháp cận lâm sàng thăm dò mạch máu như siêu âm Doppler mạch, chụp động mạch là cần thiết để chẩn đoán xác định sớm và xử trí kịp thời.
Schlickewei W. (1992) [93] cho rằng thiếu máu chi phía tổn thương xuất hiện sớm ngay sau khi bị tai nạn trong các trường hợp đứt động mạch ở vị trí dưới vòng nối nghèo nàn. Trường hợp đụng dập động mạch, dấu hiệu thiếu máu không rõ trong giai đoạn đầu nên cần thăm khám bệnh nhân nhiều lần và so sánh với chi đối diện là cần thiết để tránh bỏ sót tổn thương. Nhiều tác giả đã tổng kết có 5 dấu hiệu điển hình của thiếu máu chi là: bàn chân và ngón chân lạnh; da bàn chân nhợt nhạt; tê bì; mất vận động và hồi lưu mao mạch kém [8], [25], [87]. Griffiths D.L.(trích từ [107]) đưa ra bốn dấu hiệu
chắc chắn của thiếu máu ngoại vi sau chấn thương là: mạch ngoại vi không sờ thấy, đau trong bắp cơ, da tái nhợt và mất vận động.
Có thể bạn quan tâm!
-
Nghiên cứu đặc điểm lâm sàng, cận lâm sàng và điều trị tổn thương động mạch lớn trong gãy xương, sai khớp chi dưới - 1 -
Nghiên cứu đặc điểm lâm sàng, cận lâm sàng và điều trị tổn thương động mạch lớn trong gãy xương, sai khớp chi dưới - 2 -
Đặc Điểm Tổn Thương Động Mạch Lớn Trong Gãy Xương, Sai Khớp Chi Dưới -
Điều Trị Tổn Thương Động Mạch Lớn Trong Gãy Xương, Sai Khớp Chi Dưới -
Tình Hình Điều Trị Tổn Thương Mạch Máu Và Tổn Thương Động Mạch Lớn Trong Gãy Xương, Sai Khớp Trên Thế Giới Và Việt Nam -
Nghiên cứu đặc điểm lâm sàng, cận lâm sàng và điều trị tổn thương động mạch lớn trong gãy xương, sai khớp chi dưới - 7
Xem toàn bộ 166 trang tài liệu này.
Kobayashi L., Coimbra R., (2009) [73] nhận xét mất mạch ngoại vi là rất có ý nghĩa để hướng đến chẩn đoán tổn thương động mạch còn dấu hiệu thiếu máu ngoại vi là một yếu tố tiên lượng xấu cho bảo tồn chi.
Trong một số trường hợp dấu hiệu của tổn thương động mạch không xuất hiện rầm rộ mà tiến triển từ từ. Mạch ngoại vi của chi bị thương yếu hơn chi đối diện; dấu hiệu thiếu máu ngoại vi kín đáo dễ bỏ qua như tê hoặc mất vận động đầu chi. Nguyên nhân là khi tổn thương nội mạc giai đoạn đầu mạch vẫn thông nhưng sau đó một thời gian mới hình thành cục máu đông gây hẹp và tắc mạch mới xuất hiện dấu hiệu tổn thương mạch. Ngoài ra, vết thương hay tổn thương động mạch ở dưới chỗ phân chia ra các nhánh nuôi da và lớp cơ nông thì tình trạng thiếu máu ngoại vi đôi khi không rõ ràng [9], [14], [25].
- Đặc điểm của gãy xương, sai khớp chi dưới có tổn thương động mạch
Gãy xương, sai khớp lớn sau một chấn thương mạnh thường có các triệu chứng điển hình như sốc chấn thương, đau, bất lực vận động chi. Tại chỗ chi bị sưng nề bầm tím, biến dạng gấp góc, lệch trục chi có thể che lấp dấu hiệu tổn thương động mạch nếu không được kiểm tra kỹ mạch ngoại vi, khám màu sắc, nhiệt độ, cảm giác, vận động bàn ngón chân.
Theo Dương Đức Hùng (2005), [12] có một số đặc điểm cần lưu ý khi có tổn thương động mạch kèm theo đó là gãy xương quanh gối (gãy 1/3 dưới xương đùi, gãy đầu dưới xương đùi, gãy mâm chày, gãy 1/3 trên xương cẳng chân) và sai khớp gối có nguy cơ chèn ép vào động mạch khoeo (Ảnh 1.1); gãy xương, sai khớp di lệch lớn làm co kéo, căng giãn gây đứt hoặc rách động mạch đi sát xương; gãy xương hở với tổn thương phần mềm lan rộng có thể động mạch cũng bị đụng dập; bầm tím tụ máu lớn tăng dần ở trám khoeo sau gãy xương, sai khớp vùng này là dấu hiệu cần tìm tổn thương động mạch.

Ảnh 1.1: Hình ảnh sai khớp gối trái.
*Nguồn: theo Versier G. (2006)[120]
- Hội chứng khoang
Nguyễn Văn Nhân (2003) [20], Steele H.L.(2012) [95]và Mennétrey J. (1998) [113] cho rằng hội chứng khoang xuất hiện sau chấn thương vùng cẳng chân với các triệu chứng đau dữ dội và căng bắp chân, giai đoạn đầu mạch mu chân và ống gót rõ, khoảng 8 đến 12 giờ sau khi áp lực khoang lớn hơn áp lực của động mạch thì mạch yếu dần và không sờ thấy, bàn chân lạnh, nhợt hoặc tím tái. Chẩn đoán xác định hội chứng khoang dựa vào lâm sàng và áp lực khoang đạt từ 30 mmHg trở lên theo phương pháp Whitesides. Tuy nhiên nếu có tổn thương mạch kết hợp với hội chứng khoang, ngoài các triệu chứng điển hình tại chỗ, dấu hiệu thiếu máu chi cấp tính và mất mạch ngoại vi thường có trước và xảy ra sớmsau khi bị tai nạn. Trong một số trường hợp, khó phân biệt thiếu máu chi do tổn thương động mạch hay do hội chứng khoang. Hai loại tổn thương này lại có cách can thiệp khác nhau và sự nhầm lẫn có thể mất cơ hội cứu chi thể nếu bỏ sót tổn thương động mạch.
-Triệu chứng toàn thân
Sốc chấn thương do đau và mất máu, thường gặp trong trường hợp gãy xương lớn có tổn thương động mạch, tĩnh mạch và phần mềm phức tạp. Ngoài ra người bệnh có thể bị chấn thương sọ não, chấn thương ở vùng ngực bụng…. Triệu chứng lâm sàng của sốc, hôn mê hoặc suy hô hấp có thể che lấp tổn thương mạch. Luke P.H. và cộng sự (2010) [77] nhận thấy những rối loạn toàn thân không những ảnh hưởng đến tính mạng bệnh nhân mà còn có nguy cơ bỏ sót chẩn đoán tổn thương mạch máu. Thống kê của Bilgen S. và cộng sự (2009) [43], trong số 6769 bệnh nhân tử vong do chấn thương thì tổn thương mạch máu chiếm 0,9%.
1.3.2. Đặc điểm cận lâm sàng
- Một số hình ảnh Xquang gãy xương, sai khớp cần lưu ý có tổn thương động mạch
Hình thái: gãy xương, sai khớp di lệch lớn, đầu xương gãy sắc nhọn hướng về phía động mạch (ảnh 1.2. và ảnh 1.3) gợi ý có nguy cơ chèn ép động mạch.

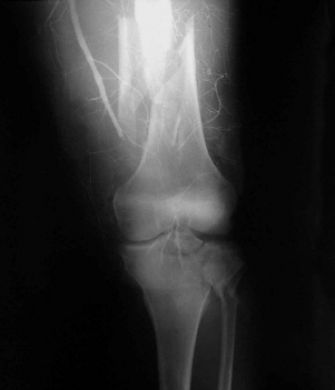
Ảnh 1.2: Hình ảnh Xquang gãy mâm chày ở BN đứt động mạch khoeo.
*Nguồn: theo Trịnh Vũ Nghĩa (2010)[19]

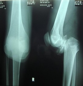
Ảnh 1.3: Hình ảnh Xquang sai khớp gối ở BN tổn thươngđộng mạch khoeo
⃰ Nguồn: theo Perron A.D., Brady W.J., Sing R.F. (2001)[86]
Vị trí: gãy 1/3 dưới xương đùi, gãy đầu dưới xương đùi, sai khớp gối hoặc gãy mâm chày có thể tổn thương động mạch khoeo.
- Đo độ bão hoà oxy máu mao mạch (SpO₂)
Bình thường độ bão hoà oxy máu mao mạch trong khoảng 95 - 100%. Khi có thiếu máu ngoại vi thì dòng chảy trong các mao mạch giảm hoặc mất sẽ làm thay đổi biên độ các sóng đồ thị và giá trị SpO₂. Do đó đo độ bão hoà oxy giúp đánh giá sự thiếu máu ở mô. Trong tổn thương động mạch sẽ có sự chênh lệch độ bão hoà oxy giữa bên tổn thương và bên đối diện.
Ghosh M.M. (2005) [60] và một số tác giả khác [42], [45] cho rằng đo độ bão hòa oxy máu mao mạch cho các bệnh nhân chấn thương chi nhận thấy có nhiều ưu điểm là kỹ thuật rất đơn giản; thời gian tiến hành nhanh; có thể thực hiện nhiều lần hoặc liên tục và không gây tai biến. Khi có có sự chênh lệch độ bão hoà oxy giữa bên chấn thương và bên đối diện thì cần phải tiến hành các xét nghiệm thăm dò mạch để chẩn đoán tổn thương động mạch.Tuy nhiên các tác giả cũng cho rằng phương pháp này chỉ cho biết sự thiếu máu ở mô không cho biết vị trí tổn thương. Một số trường hợp độ bão hoà oxy giảm
không có tổn thương động mạch mà do sốc trụy mạch hoặc dùng các thuốc co mạch. Ngược lại khi tổn thương động mạch ở vị trí dưới các vòng nối cấp máu ngoại vi thì độ bão hòa oxy máu mao mạch có thể không thay đổi dẫn đến bỏ sót tổn thương.
- Chỉ số huyết áp cánh tay - cổ chân (ABPI: Ankle Brachial Pressure
Index)
Chỉ số này được xác định bằng huyết áp tâm thu của động mạch chày
sau ở cổ chân chi bị tổn thương chia cho huyết áp tâm thu động mạch cánh tay không bị tổn thương với sự trợ giúp của siêu âm Doppler.
Bình thường ABPI = 1 đến 1,3. Nếu ABPI < 0,9 thì có giá trị chẩn đoán thiếu máu chi do tổn thương động mạch.
Kobayashi L., Coimbra R., (2009) [73], cho rằng đây là một thăm dò cận lâm sàng dễ làm, thời gian triển khai rất ngắn, dễ áp dụng, độ nhạy và độ đặc hiệu có thể đạt 95% và 100% cho nên cần phối hợp với thăm khám lâm sàng để chẩn đoán sớm tổn thương động mạch ngoại vi do chấn thương kín. Tuy nhiên Kurtoglu M. và cộng sự (2009) [74] nhận thấy đo chỉ số mạch cánh tay – cổ chân chỉ có giá trị chẩn đoán loại trừ tổn thương mạch, không xác định được vị trí và hình thái tổn thương và khó tiến hành trong một số trường hợp như vết thương lớn, tổn thương phần mềm lan rộng, chi sưng nề nhiều.
- Siêu âm Doppler mạch máu
Ngày nay siêu âm Doppler mạch máu được sử dụng rộng rãi để chẩn đoán các tổn thương mạch máu do chấn thương và bệnh lý.
Theo các tác giả nghiên cứu về siêu âm Doppler mạch máu [48],[119] thì từng kiểu siêu âm sẽ có giá trị phân tích kết quả khác nhau: siêu âm hai chiều (2D) cho thấy mặt cắt giải phẫu của lòng mạch; siêu âm Doppler xung đánh giá huyết động của dòng máu qua phân tích phổ và nghe bằng tai; siêu âm Doppler màu thể hiện huyết động của dòng máu bằng màu.
Siêu âm Doppler mạch máu (đặc biệt là siêu âm Doppler màu) là một xét nghiệm để chẩn đoán chấn thương mạch máu thông dụng có thể đưa ra những hình ảnh tổn thương có giá trị như vị trí huyết khối lòng mạch, mất phổ động mạch dạng sóng 3 pha (ảnh 1.4) với độ nhạy và độ đặc hiệu lần lượt là 95% và 99%, được tiến hành nhanh chóng nên không kéo dài thêm nhiều thời gian thiếu máu ngoại vi [49], [91].

Ảnh 1.4: Hình ảnh siêu âm Doppler: mất phổ sóng 3 pha động mạch khoeo
*Nguồn: theo Trịnh Vũ Nghĩa (2010)[19]
Siêu âm cũng là một thăm dò không xâm lấn, không nguy hiểm cho bệnh nhân và thầy thuốc nên có thể làm lại nhiều lần. Nhờ đó siêu âm Doppler mạch máu được chỉ định cho các trường hợp nghi tổn thương mạch cũng như kiểm tra kết quả phục hồi lưu thông mạch sau mổ. Ngày nay, những máy siêu âm nhỏ gọn, có thể thăm khám tại giường đối với những bệnh nhân chấn thương bị sốc nặng không cho phép di chuyển.
Các tác giả cũng nhận thấy siêu âm Doppler có một số nhược điểm là kết quả còn phụ thuộc vào điều kiện máy móc và khả năng người làm, khó có thể tiến hành trong vết thương lớn chảy máu, máu tụ, chi sưng nề nhiều, vướng nẹp cố định gẫy xương, sai khớp. Vì vậy trongnhững trường hợp này có chỉ định chụp động mạch hoặc chụp cắt lớp vi tính động mạch để tìm tổn thương.
- Chụp động mạch
Năm 1953 Sven-Ivar Seldinger (1921-1998) (trích từ [36],[70]) một nhà điện quang Thụy Điển đã báo cáo mô tả kỹ thuật chọc kim qua da để đặt catheter và tiêm chất cản quang vào động mạch qua đó chụp thăm dò tổn thương mạch máu do bệnh lý. Từ đó kỹ thuật này mang tên là Seldinger. Kỹ thuật chụp này sử dụng loại thuốc cản quang chứa Iod không Ion hoá, tan trong nước, rất ít tai biến và có độ nhạy và đặc hiệu cao (94% - 100% và 86%
- 98%) [36],[70] nên chụp động mạch được coi như một tiêu chuẩn vàng để chẩn đoán tổn thương động mạch.
Các hình ảnh tổn thương của chụp động mạch có thể là tắc động mạch (ảnh 1.5), co thắt hoặc khuyết cản quang do đụng dập nội mạc[86].

Ảnh 1.5: Hình ảnh tắc động mạch khoeo kết hợp gãy 1/3dưới xương đùi trên phim chụp động mạch.
⃰ Nguồn: theo Perron A.D. và cộng sự (2001)[86]
Nhược điểm của chụp mạch là có nguy cơ gây máu tụ, nhiễm khuẩn tại chỗ, tắc mạch do huyết khối, kéo dài thời gian thiếu máu chi, phải di chuyển






