2.2.3. Các bước tiến hành nghiên cứu
2.2.3.1. Phương pháp chẩn đoán
Dựa vào các biểu hiện lâm sàng của hở van hai lá mạn, cận lâm sàng bao gồm X-quang ngực, điện tâm đồ, siêu âm tim, và đặc biệt là siêu âm tim qua thực quản.
Siêu âm tim cho hình ảnh về mô van hai lá, và bộ máy dưới van bao gồm dây chằng và trụ cơ. Trong van tim hai lá thoái hóa, ghi nhận trên siêu âm tim hình ảnh lá van trong suốt, mỏng, và chiều cao lá van bình thường, vòng van dãn. Đối với bộ máy dưới van: dây chằng dãn, dài, mỏng manh, dễ đứt; và trụ cơ có kích thước bình thường, chắc khỏe.
Máy siêu âm tim sử dụng trong nghiên cứu:
PHILIPS AFFINITY 50

Có thể bạn quan tâm!
-
Các Kỹ Thuật Sửa Van Loại Ii (Sa Van) Theo Alain Carpentier [13],[25],[59] -
Dây Chằng Nhân Tạo Và Các Nghiên Cứu Áp Dụng Phương Pháp Này Trong Sửa Van Hai Lá Trên Thế Giới Và Việt Nam -
Những Kỹ Thuật Mới Trong Phẫu Thuật Sửa Van Hai Lá Có Sử Dụng Dây Chằng Nhân Tạo -
Công Cụ Đo Lường, Thu Thập Số Liệu -
Thời Gian Kẹp Động Mạch Chủ, Tuần Hoàn Ngoài Cơ Thể, Bảo Vệ Cơ Tim Và Các Thông Số Khác Của Phẫu Thuật -
Các Thông Số Hồi Sức Sau Phẫu Thuật
Xem toàn bộ 182 trang tài liệu này.
Máy siêu âm tim 4D: ACUSON S2000 HELX, SIEMEN


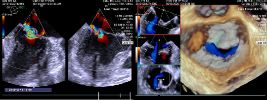
Hình 2.1: Bệnh lý hở van hai lá trên siêu âm 4D

Hình 2.2: Siêu âm hở van 2 lá Doppler màu và 4D.
2.2.3.2. Chỉ định phẫu thuật: dựa vào tiêu chuẩn của Hội Tim Hoa Kỳ (bảng 1.3).
2.2.3.3. Chuẩn bị tiền phẫu
Khi người bệnh đã có chỉ định phẫu thuật, sẽ thực hiện các xét nghiệm tiền phẫu cho phẫu thuật.
- Các xét nghiệm tiền phẫu bao gồm:
• Huyết học:
o Công thức máu
o Đông máu toàn bộ.
o Nhóm máu, Coomb’s test TT-GT.
• Sinh hóa:
o Glucose, Ure, Creatinin, AST, ALT
o Điện giải đồ, Mg
o Albumin máu
o Bilan mỡ máu
• Miễn dịch:
o TSH, fT3, fT4
o HBsAg, HBeAg, anti HCV, HIV ELISA
o RPR
• Tổng phân tích nước tiểu
• XQuang ngực thẳng.
• Điện tâm đồ
• Siêu âm bụng
- Chụp mạch vành tiền phẫu đối với các trường hợp người bệnh có một trong các tiêu chuẩn sau:
• Tiền căn bệnh mạch vành.
• Triệu chứng đau ngực.
• Bằng chứng thiếu máu cơ tim: Thay đổi đoạn ST – T trên điện tâm đồ, có rối loạn vận động vùng trên siêu âm tim.
• Giảm chức năng tâm thu thất trái.
• Hở van hai lá thứ phát mạn tính nặng.
- Chụp MSCT mạch vành đối với Nam trên 40 tuổi hoặc nữ sau mãn kinh hoặc người bệnh có yếu tố nguy cơ mạch vành (Hút thuốc lá, tăng huyết áp, đái tháo đường, rối loạn lipid máu, béo phì).
2.2.3.4. Các kỹ thuật sửa van
Từ những năm 60 đến nay, đã có nhiều phương pháp sửa van tùy từng trường hợp để sửa lá van, và dây chằng, cụ thể là rút ngắn dây chằng, cắt một phần lá van hình tứ giác hoặc tam giác, chuyển vị dây chằng.
2.2.3.5. Phẫu thuật sửa sa van hai lá sử dụng dây chằng nhân tạo
Tái tạo dây chằng bằng chỉ PTFE được thực hiện trong sửa sa lá van
do:
* Sa lá trước: do dây chằng dài hoặc đứt (Bảng 1.5)
* Lá sau: do dây chằng dài hoặc đứt (Bảng 1.6)
* Trụ cơ: sa van diện rộng do trụ cơ bị dài hoặc đứt (Bảng 1.4)
* Sa mép van: do dây chằng dài hoặc đứt
Tất cả các trường hợp phẫu thuật được thực hiện bởi một bác sỹ phẫu thuật viên chính và các bác sỹ phụ khác.
- Bệnh nhân được đặt nằm ngửa

Hình 2.3: Tư thế bệnh nhân nằm ngửa trong phẫu thuật tim
- Mê nội khí quản
- Đường mổ hở dọc giữa xương ức.

Hình 2.4: Mở ngực đường giữa
- Phẫu thuật tim hở với sự trợ giúp của máy tim – phổi nhân tạo.

Hình 2.5: Máy Tim Phổi nhân tạo Terumo System 1
- Kỹ thuật bảo vệ cơ tim là hạ thân nhiệt toàn thân (28- 32oC) và dung dịch liệt tim truyền qua ngã động mạch chủ
- Phương pháp mổ: Sử dụng dây chằng nhân tạo thay thế dây chằng bị hư do sa lá van trước hoặc lá van sau. Loại dây chằng nhân tạo được sử dụng là: chỉ PTFE (polytetrafluoroethylene) có 2 đầu kim.
Các bước gắn dây chằng nhân tạo tại Viện Tim Tp. Hồ Chí Minh:
Bước 1: Xác định dây chằng bị tổn thương và vùng lá van bị sa.
Bước 2: Trên vùng van bình thường kề bên vùng sa van, gắn một sợi chỉ 5.0 vào bờ tự do của hai lá van.
Bước 3: Tiến hành gắn chỉ PTFE vào đầu trụ cơ (hai vòng), rồi gắn lên vùng lá van bị sa.
Bước 4: Căng sợi chỉ 5.0 lên để làm chuẩn.
Bước 5: Cột chỉ PTFE theo chiều dài chuẩn, và cột chỉ một lần nữa ở mặt thất của lá van.
theo.
Bước 6: Kiểm tra độ kín van bằng cách bơm nước vào thất trái. Bước 7: Đặt vòng van.
Các trường hợp hở van ba lá nặng hoặc rất nặng được sửa van 3 lá kèm
Những trường hợp rung nhĩ được kết hợp phẫu thuật Cox-Maze IV khi
có rung nhĩ trong vòng 1 năm, đường kính nhĩ trái < 60mm. Phương tiện: máy Cardioblate 68000, Medtronic, đốt sóng cao tần đơn cực (monopolar) và lưỡng cực (bipolar): 220V (100 – 240V), đầu đơn cực: 25W (1 – 50W), đầu lưỡng cực: 15-40 W đốt trong 15 giây, và máy tự điều chỉnh công suất. Vận tốc đầu đốt đơn cực: 1mm/giây. Vị trí đốt: monopolar đốt nội tâm mạc Nhĩ phải, Nhĩ trái ở nơi tiếp nối với các tĩnh mạch phổi, và các đường nối; bipolar đốt ở vùng Nhĩ phải, ở vùng tiếp nối của Nhĩ trái với các tĩnh mạch phổi.
- Đóng nhĩ trái, đuổi khí qua đường mở nhĩ trái và gốc động mạch chủ.
- Nhả kẹp động mạch chủ, chờ tim tự đập lại. Làm đầy tim, cai máy tim phổi nhân tạo. Kiểm tra kết quả sửa van bằng siêu âm tim qua thực quản (trang 20).
- Nếu kết quả siêu âm tim tốt, kiểm tra cầm máu. Dùng Protamin trung hòa Heparin. Rút các ống thông tĩnh mạch và động mạch.
- Đặt dẫn lưu màng tim và sau xương ức. Đóng ngực theo lớp.
2.3. Đánh giá kết quả
2.3.1. Thời gian đánh giá kết quả
Ngắn hạn: trong vòng 30 ngày sau mổ Trung hạn: 3 năm theo dòi sau mổ
2.3.2. Tiêu chuẩn đánh giá kết quả
Đánh giá kết quả phẫu thuật được dựa vào hai tiêu chuẩn chính:
- Tiêu chuẩn lâm sàng: dựa theo phân loại suy tim NYHA [35].
- Tiêu chuẩn cận lâm sàng: dựa theo đánh giá độ nặng hở van hai lá bằng siêu âm tim của tác giả Phạm Nguyễn Vinh [12] (Bảng 1.1).
Kết quả tốt: Nhóm hở van độ 1, áp lực động mạch phổi về bình thường, đường kính thất trái bình thường, không có triệu chứng lâm sàng (NYHA I).
Kết quả trung bình: Nhóm hở van độ 2, không có dấu hiệu lâm sàng, áp lực động mạch phổi và đường kính thất trái bình thường.
Kết quả xấu: Nhóm hở van độ 3 hoặc độ 4, có dấu hiệu suy tim (NYHA III), còn cao áp động mạch phổi và đường kính thất trái còn lớn.
Dùng siêu âm Doppler màu để đánh giá mức độ hở van hai lá. Cụ thể là:
+ Tính tỉ lệ diện tích dòng hở (cm2) trên diện tích nhĩ trái.
Hở nhẹ độ 1 khi tỉ lệ là 20%
Hở vừa độ 2 khi tỉ lệ là 21% - 40% Hở nặng và rất nặng khi tỉ lệ trên 40%
+ Dựa vào Vena contracta (VC): Đo độ rộng tại gốc của dòng hở (mm) Hở nhẹ độ 1 : < 3 mm
Hở vừa độ 2 : 3-6 mm Hở nặng và rất nặng: > 6 mm
+ Đôi khi dựa trên lượng máu phụt ngược: Là hiệu số của lượng máu qua van hai lá kỳ tâm trương (QM) với lượng máu qua van động mạch chủ kỳ tâm thu (QA) so với chụp buồng thất có cản quang, phương pháp này có hệ số tương quan từ 0,82-0,91, còn có thể tính phân suất tống máu:
Phân suất tống máu = (QM – QA) / QM
2.4. Phương pháp thu thập số liệu
2.4.1. Thời gian
Thời gian nghiên cứu bắt đầu từ tháng 02/2015 đến tháng 12/2018.

![Các Kỹ Thuật Sửa Van Loại Ii (Sa Van) Theo Alain Carpentier [13],[25],[59]](https://tailieuthamkhao.com/uploads/2022/06/10/nghien-cuu-ap-dung-phuong-phap-sua-van-su-dung-day-chang-nhan-tao-trong-benh-5-120x90.jpg)




