Phương pháp dùng 2 đồng vị có bất tiện liên quan đến chi phí cao, bệnh nhân chịu liều bức xạ cao và do dùng 2 loại thuốc phóng xạ khác nhau nên khó thực hiện hiệu chỉnh hiệu ứng suy giảm tia và hình ảnh so sánh hơi không tương xứng tốt như cùng dùng 1 loại phóng xạ.

Hình 1. 4 : Xạ hình tưới máu cơ tim kết hợp 2 đồng vị: nghỉ tĩnh với 201Tl và gắng sức với 99mTc-MIBI
“Nguồn: Phuong Kim Huynh. et al., (2016)” [73]
Xạ hình tưới máu cơ tim nối cổng điện tim (Gated SPECT)
XHTMCT nối cổng điện tim với các thuốc phóng xạ nói trên là một kỹ thuật xạ hình cơ tim theo từng phân khoảng chia nhỏ 8 phần hoặc 16 phần của sóng R-R của điện tim. Những nhịp tim không đều sẽ được lọc ra và chương trình sẽ tự động loại bỏ dữ liệu mà đã ghi hình được cho chu kỳ R-R của nhịp tim không đều đó.
Hình ảnh phân bố phóng xạ ở cơ tim theo từng phân khoảng nhỏ tương xứng với một khoảng co bóp của cơ tim, từ đó có thể đánh giá được chức năng co bóp của tâm thất trái.
Nghiệm pháp gắng sức
Trong xạ hình cơ tim pha gắng sức, bệnh nhân cần được gắng sức thể lực (exercise stress) để đánh giá tưới máu cơ tim lúc gắng sức. Trong những trường hợp bệnh nhân không thể gắng sức thể lực tối ưu như người già, bệnh xương khớp …, thì có thể thay thế bằng phương pháp gắng sức bằng thuốc (pharmacologic stress). Hai nhóm thuốc thường được sử dụng thay thế cho nghiệm pháp gắng sức thể lực là thuốc giãn mạch (Dipyridamole và Adenosine) có tác dụng tăng tưới máu động mạch vành và thuốc giống giao cảm (Dobutamine) gây tăng nhu cầu oxygen cho cơ tim. Có những trường hợp kết hợp thuốc giãn mạch và gắng sức thể lực ở mức độ thấp.
Bảng 1.3. Đặc điểm và tác dụng của gắng sức thể lực và nghiệm pháp dùng thuốc
Thảm lăn | Xe đạp | Dipyri- damole | Adenosine | Dobuta- mine | |
Nhịp tim | | | | | |
Huyết áp | | | | | |
Thời gian bán hủy | 30-60 phút | <10 giây | 2 phút | ||
Khởi phát tác dụng | 2 phút | Giây | 1-2 phút | ||
Thời gian trung bình đạt lưu | 6,5 phút | 55 giây | 10 phút |
Có thể bạn quan tâm!
-
Vai trò của xạ hình tưới máu cơ tim bằng kỹ thuật Spect-CT trong đánh giá tính sống còn cơ tim - 2 -
Hậu Quả Của Thiếu Máu Cục Bộ Trên Hoạt Động Cơ Tim -
Siêu Âm Tim Gắng Sức Với Dobutamine Có Chất Tương Phản. Hình Ảnh Cuối Thì Tâm Thu Khi Nghỉ: (A) Liều Thấp, (B) Liều Cao, (C) Và -
Hướng Dẫn Của Hội Tim Mạch Châu Âu (Esc 2013) Xử Trí Bệnh Mạch Vành Ổn Định Về Sử Dụng Nghiệm Pháp Gắng Sức Bằng Thể Lực Hoặc Bằng Thuốc -
Sơ Đồ Qui Trình Xạ Hình Tưới Máu Cơ Tim -
Hình Ảnh Minh Họa Tái Tạo Các Lát Cắt Theo Trục Giải Phẫu Tim
Xem toàn bộ 154 trang tài liệu này.
lượng vành tối đa
Thảm lăn | Xe đạp | Dipyri- damole | Adenosine | Dobuta- mine | |
Tăng lưu lượng vành | 1-3 lần | 1-3 lần | 3-5 lần | 3-5 lần | 3 lần |
Tác dụng phụ yêu cầu can | 16% | 0,6% | 5% |
thiệp thuốc
Xạ hình PET, PET-CT
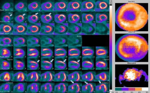
Để đánh giá khả năng sống còn cơ tim, xạ hình PET hoặc PET-CT (với CT giúp hiệu chỉnh cường độ tia phóng xạ) được chỉ định để thực hiện xạ hình lúc nghỉ tĩnh đánh giá tưới máu với thuốc phóng xạ 82Rb Chloride hoặc thuốc 13N-NH3 và đánh giá chuyển hóa glucose của cơ tim với thuốc phóng xạ 18F-FDG.
Ưu điểm của xạ hình PET hoặc PET-CT là cho độ phân giải hình ảnh cao, chất lượng so với hình ảnh SPECT hoặc SPECT-CT. Ngoài ra trong phần mềm chương trình có định lượng được dự trữ mạch vành khi sử dụng các thuốc đánh giá tưới máu.
Phương pháp tốt nhất đánh giá sống còn của cơ tim là hình ảnh PET hoặc PET-CT với thuốc phóng xạ 18F-FDG (khảo sát chuyển hóa glucose của cơ tim), cần được kết hợp thêm với xạ hình tưới máu để đánh giá sự sống còn của cơ tim. Trong điều kiện bình thường, tế bào cơ tim sử dụng phần lớn acid béo (chiếm 2/3) và chỉ một phần glucose (chiếm 1/3) để chuyển hóa nặng lượng hoạt động. Khi nhịn đói, cơ tim chuyển hóa acid béo như là nguồn năng lượng chính để hoạt động và lúc đói thì nồng độ insulin thấp ở trong máu nên chỉ một lượng nhỏ glucose được hấp thu bởi cơ tim. Sau khi ăn, tăng nồng độ insulin làm cho cơ tim tăng hấp thu glucose. Ngoài ra, những vùng cơ tim
thiếu máu thường thích sử dụng glucose để tạo năng lượng hơn. Dựa vào cơ chế này, qui trình xạ hình 18F-FDG sẽ cho bệnh nhân nhịn đói, sau đó cho bệnh nhân sử dụng đường glucose (đường uống hoặc tiêm truyền) sẽ làm tăng tiết insulin, kéo theo hấp thu thuốc phóng xạ 18F-FDG. PET hoặc PET-CT sẽ nhìn thấy hấp thu 18F-FDG ở cơ tim – tương đương cơ tim có chuyển hóa glucose, tức là cơ tim còn sống.
Kết hợp hình ảnh tưới máu và chuyển hóa cho nhiều lợi điểm trong chẩn đoán chính xác tình trạng sống còn cơ tim và đánh giá hiệu quả điều trị ở bệnh nhân thiếu máu cơ tim nặng như cơ tim ngủ đông. Nếu có sự tương xứng bao gồm không có tưới máu và không có hấp thu 18F-FDG sẽ chẩn đoán sẹo cơ tim. Còn nếu có sự bất tương xứng bao gồm không thấy tưới máu, nhưng có hấp thu 18F-FDG, chứng tỏ cơ tim còn sử dụng glucose tức là cơ tim còn sống và có thiếu máu nặng.

Hình 1. 5: Kết quả khảo sát tính sống còn trên xạ hình PET 2 đồng vị gồm xạ hình tưới máu với 13N-NH3 và xạ hình chuyển hóa với 18F-FDG
“Nguồn: Garcia M. J. et al., (2020)” [53]
1.4.4. Cộng hưởng từ tim
Cộng hưởng từ (MRI) tim nêu được đặc trưng của cơ tim ngủ đông bằng sự phối hợp nhiều kĩ thuật: ghi nhận mỏng thành thất trái cuối kì tâm trương, dự trữ chức năng co bóp từng vùng đáp ứng với chất kích thích co bóp cơ tim, và mức độ lan rộng xuyên thành của nhồi máu cơ tim với hình ảnh ngấm thuốc muộn cơ tim.

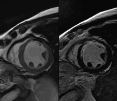
Hình 1.6: Kết quả MRI tim của một bệnh nhân có nhồi máu thành trước mạn tính
(Trái) Những đoạn mỏng, vô động được ghi nhận ở thành trước và trước vách, có nhồi máu xuyên thành.
(Phải) Dấu hiệu ngấm thuốc muộn minh hoạ mức độ lan rộng của nhồi máu xuyên thành khoảng 50% ở những đoạn cơ tim thành trước bên và trước vách.
“Nguồn: Garcia M. J. et al., (2020)” [53]
Những phương pháp khác trên MRI tim, gồm định lượng dữ trữ co bóp vùng với chức năng theo dấu hoặc đánh dấu cơ tim hoặc quang phổ kí
cộng hưởng từ để đánh giá chuyển hoá phosphates năng lượng cao (ví dụ định lượng nồng độ và tỉ lệ ATP/phosphocreatine với quang phổ kí P-31 trong một thể tích nhỏ cơ tim), thường không được dùng trong thực tiễn lâm sàng.
Ở bệnh nhân có bệnh mạch vành mạn, mỏng thành cơ tim thường nhất là hậu quả của sự tái hấp thu nhồi máu và sự co rút sợi, nhưng nó cũng có thể là hậu quả của thiếu máu cục bộ nặng nề. Bởi vậy, một mình dấu mỏng thành tim cuối tâm trương có giá trị tiên đoán giới hạn về hồi phục chức năng sau tái tưới máu. Baer và cs. đã báo cáo với ngưỡng chẩn đoán của mỏng thành tim cuối tâm trương là 5,5mm có độ nhạy 94% nhưng độ chuyên chỉ 52% cho dự báo hồi phục chức năng vùng sau tái tưới máu [20]. Độ chuyên thấp của dấu này có thể xuất phát từ việc dấu hiệu này chỉ là biến về cấu trúc, không phản ánh đáp ứng sinh lý của cơ tim và rằng có sự biến thiên lớn trong dấu này giữa các cá thể và cả giữa các vùng cơ tim trong cùng một bệnh nhân [81]. Như Shah và cs. đã chứng minh, khoảng 20% vùng cơ tim bị mỏng và rối loạn chức năng có vùng sẹo giới hạn; thật vậy, những vùng này còn sống với bằng chứng là có sự cải thiện tính co bóp và tình trạng mỏng thành tim sau tái tưới máu vành [111].
Thuốc tương phản từ Gadolinium làm ngắn thời gian thư giãn của mô xung quanh tỉ lệ với nồng độ gadolinium tại chỗ. Ở tình trạng bình thường, gadolinium, là một chất tỉ trọng cao, phân tử lớn sẵn sàng đi vào khoang ngoại bào sau khi được tiêm tĩnh mạch, nhưng không thể di chuyển qua màng tế bào cơ tim bình thường. Tuy nhiên, khi màng tế bào cơ tim bị tổn tương (ví dụ sau nhồi máu cơ tim cấp) hoặc nếu có tình trạng gia tăng khoang ngoại bào giữa các tế bào cơ tim (ví dụ phù mô kẽ cấp hoặc xơ hoá mạn tính hoặc nhồi máu cơ tim), thuốc tương phản từ Gadolinium tích tụ trong khoang ngoại bào, và bị rửa trôi đi chậm sau khi được tiêm [130]. Do đó, diện tích vùng cơ tim bất thường (ví dụ bị nhồi máu, xơ hoá, viêm hoặc thâm nhiễm) sẽ có nồng độ
thuốc tương phản từ Gadolinium tăng và bởi vậy sẽ có hình ảnh tăng sáng trên pha T1-W tương đối so với vùng cơ tim bình thường xung quanh. Trong thực hành lâm sàng, những quy trình phổ biến nhất dùng liều thuốc tương phản từ Gadolinium là 0,1 mmol/kg và ghi nhận hình ảnh với dấu hiệu ngấm thuốc muộn sau 10 phút tiêm thuốc. Mặc dù vậy, những chất đánh dấu mới nhất cho phép ghi nhận dấu hiệu ngấm thuốc sớm nhất đến 5 phút sau tiêm phút một cách đáng tin cậy và thành công [39]. Khi ghi nhận dấu hiệu ngấm thuốc muộn, tín hiệu từ vùng cơ tim bình thường bị lược bỏ nhờ vào xung chuẩn bị hồi phục đảo ngược [117]. Khi ghi nhận dấu hiệu ngấm thuốc muộn ở bệnh nhân BMV, vùng cơ tim rối loạn chức năng với cường độ tín hiệu bị lược bỏ bình thường cho thấy vùng này có thể là vùng cơ tim choáng váng, ngủ đông hoặc không có nhồi máu. Ở nhồi máu cơ tim mạn tính, dấu hiệu ngấm thuốc muộn đặc trưng liên quan đến vùng dưới nội mạc hoặc tiến triển đến mức độ xuyên thành hoàn toàn ở những đoạn cơ tim được cấp máu bởi vùng chi phối nhánh động mạch tương ứng. Ở những bệnh nhân BMV mạn có rối loạn chức năng thất trái được đánh giá để xem xét lợi ích của tái tưới máu mạch vành, mức độ xuyên thành của dấu hiệu ngấm thuốc muộn cung cấp dự đoán liên quan đến mức độ giảm dần của khả năng cải thiện tính co bóp của đoạn cơ tim sau tái tưới máu mạch vành [82].

Hình 1. 7: Cơ chế giải thích của dấu hiệu ngấm thuốc muộn
“Nguồn: Garcia M. J. et al., (2020)” [53]
Những đoạn vô động không có nhồi máu dưới nội mạc hoặc chỉ mức độ tối thiểu có đến > 90% khả năng hồi phục tính co bóp của đoạn đó nếu mạch vành cấp máu tương ứng được tái thông thành công. Những đoạn có mức độ nhồi máu xuyên thành > 50% lại chỉ có < 10% khả năng hồi phục bất chấp đã được tái thông mạch vành thành công. Ở những vùng có mức độ nhồi máu xuyên thành < 50%, kết quả dự đoán hồi phục chức năng không tốt nếu chỉ dùng các tiêu chuẩn của dấu hiệu ngấm thuốc muộn, trong tình huống này đánh giá bằng dự trữ tính co bóp với chất kích thích co bóp có thể có lợi. Điểm mạnh chính của MRI tim có chất tương phản là khả năng đánh giá sự hiện diện của nhồi máu dưới nội mạc và mô tả chính xác mức độ lan rộng của nhồi máu xuyên thành với độ phân giải cao (điển hình với lát cắt mỏng đến 1
– 3mm) và tỉ lệ tương phản với tín hiệu nhiễu để nhận biết rõ mô cơ tim [128]. Phương pháp đánh giá dấu hiệu ngấm thuốc muộn thông thường với thì máu sáng đôi khi có thể gặp khó khăn trong việc phát hiện sự hiện diện và mức độ lan rộng của vài trường hợp nhồi máu dưới nội mạc do mức độ tương phản kém tối ưu giữa máu và mô nhồi máu, đặc biệt giai đoạn sớm sau tiêm thuốc. Đánh giá hình ảnh thì máu tối ở thì T2 hoặc dùng các phương pháp chuẩn bị khác để đạt được hiệu quả hồ máu tối để cải thiện hình ảnh nhồi máu dưới nội mạc đang ngày càng được sử dụng nhiều hơn, đặc biệt ở những trung tâm nhiều kinh nghiệm [80].
Dự trữ tính co bóp đáp ứng với chất kích thích co bóp với truyền dobutamine liều thấp liên tục (5-10µg/kg.phút) là một phương pháp đánh giá sinh lý đã được nghiên cứu rõ về khả năng đánh giá tính sống còn cơ tim trên hoặc siêu âm tim hoặc MRI tim [19], [131]. So với những phương pháp khác, dự trữ tính co bóp đáp ứng với chất tăng co có khuynh hướng có độ chuyên cao hơn vì phương pháp này xem xét mục tiêu theo dõi tương tự về chức năng co bóp từng đoạn nhưng với độ nhạy thấp hơn. Mặt khác, cũng nên ghi nhận






