Bảng 3.14. Hàm lượng chất khô của 120 dòng F3 bí đỏ
Dòng F3 | Hàm lượng chất khô (%) | TT | Dòng F3 | Hàm lượng chất khô (%) | |
1 | B1 | 10,3 | 61 | B84 | 4,8 |
2 | B3 | 8,4 | 62 | B85 | 4,4 |
3 | B4 | 9,3 | 63 | B86 | 8,3 |
4 | B5 | 9,5 | 64 | B87 | 5,6 |
5 | B8 | 6,5 | 65 | B89 | 5,6 |
6 | B9 | 7,2 | 66 | B90 | 7,4 |
7 | B10 | 7,2 | 67 | B91 | 3,8 |
8 | B11 | 8,8 | 68 | B92 | 6,5 |
9 | B12 | 4,8 | 69 | B95 | 6,9 |
10 | B13 | 3,9 | 70 | B96 | 9,5 |
11 | B14 | 5,8 | 71 | B97 | 5,3 |
12 | B15 | 9,5 | 72 | B98 | 9,4 |
13 | B16 | 9,7 | 73 | B99 | 7,3 |
14 | B17 | 10,2 | 74 | B100 | 8,1 |
15 | B18 | 8,3 | 75 | B101 | 10,5 |
16 | B19 | 7,9 | 76 | B103 | 4,2 |
17 | B20 | 11,3 | 77 | B104 | 9,5 |
18 | B21 | 10,5 | 78 | B106 | 9,8 |
19 | B22 | 7,1 | 79 | B107 | 8,3 |
20 | B23 | 7,7 | 80 | B109 | 7,7 |
21 | B24 | 4,2 | 81 | B110 | 5,7 |
22 | B25 | 6,5 | 82 | B113 | 7,1 |
23 | B26 | 8,5 | 83 | B114 | 8,2 |
24 | B28 | 4 | 84 | B115 | 7,3 |
25 | B29 | 9,5 | 85 | C116 | 5,5 |
26 | B30 | 7,2 | 86 | B117 | 5,4 |
27 | B31 | 7,5 | 87 | B120 | 7,6 |
28 | B33 | 6,5 | 88 | B121 | 7,6 |
29 | B34 | 9,5 | 89 | B122 | 7,9 |
30 | B35 | 7,6 | 90 | B123 | 8,1 |
31 | B36 | 7,5 | 91 | B124 | 8,2 |
32 | B39 | 6,7 | 92 | B125 | 5,5 |
33 | B40 | 7,9 | 93 | B127 | 9 |
Có thể bạn quan tâm!
-
Thông Tin Của 14 Mẫu Giống Bí Đỏ Địa Phương Được Tuyển Chọn -
Hình Ảnh Nhận Dạng Kiểu Gen Của Một Số Mẫu Giống Bí Đỏ Bằng Chỉ Thị Cmtp248 Trên Gel Polyacrylamide 8% -
Các Tổ Hợp Lai Bí Đỏ Tạo Quần Thể Lai Theo Hướng Hàm Lượng Chất Khô Cao -
Qtl Và Chỉ Thi Ḷ Iên Kết Vớ I Qtl Qui Điṇ H Hàm Lươn -
Nghiên cứu ứng dụng chỉ thị phân tử phục vụ chọn tạo giống bí đỏ Cucurbita spp. có hàm lượng chất khô cao - 16 -
Danh Sách Chỉ Thị Adn Sử Dụng Trong Nghiên Cứu ( 300 Chỉ Thị Định Vị Trên Hệ Gen Bí Đỏ).
Xem toàn bộ 201 trang tài liệu này.
Dòng F3 | Hàm lượng chất khô (%) | TT | Dòng F3 | Hàm lượng chất khô (%) | |
34 | B42 | 4,2 | 94 | B128 | 5,9 |
35 | B45 | 8 | 95 | B130 | 7,6 |
36 | B46 | 9,8 | 96 | B131 | 4,3 |
37 | B49 | 5,7 | 97 | B133 | 6,8 |
38 | B50 | 6,9 | 98 | B134 | 7,5 |
39 | B51 | 7,9 | 99 | B136 | 8,1 |
40 | B53 | 6,4 | 100 | B142 | 4,4 |
41 | B54 | 8,3 | 101 | B147 | 4,2 |
42 | B55 | 8,9 | 102 | B149 | 7,3 |
43 | B59 | 3,7 | 103 | B150 | 6,7 |
44 | B60 | 4,5 | 104 | B151 | 6,5 |
45 | B61 | 9,1 | 105 | B158 | 7,2 |
46 | B62 | 4,2 | 106 | B160 | 8,5 |
47 | B63 | 8,7 | 107 | B161 | 7,7 |
48 | B64 | 7,9 | 108 | B162 | 9,1 |
49 | B65 | 4,1 | 109 | B165 | 9 |
50 | B67 | 5,2 | 110 | B170 | 7,7 |
51 | B68 | 9,4 | 111 | B176 | 6,9 |
52 | B69 | 7,6 | 112 | B178 | 4,5 |
53 | B70 | 5 | 113 | B179 | 9,3 |
54 | B72 | 8,7 | 114 | B180 | 5,8 |
55 | B74 | 7,7 | 115 | B186 | 9,6 |
56 | B75 | 5,3 | 116 | B188 | 8,5 |
57 | B80 | 4,9 | 117 | B194 | 7,5 |
58 | B81 | 8,9 | 118 | B195 | 7,8 |
59 | B82 | 10 | 119 | B197 | 8,1 |
60 | B83 | 5,1 | 120 | B199 | 8,3 |
Giống me ̣ (SĐK3630) | 13,3 | ||||
Giống bố (SĐK8571) | 4 | ||||
Giá trị nhỏ nhất | 3,7 | ||||
Giá trị lớn nhất | 11,3 | ||||
3.3.3. Đánh giá kiểu gen của giống bố mẹ và quần thể F2
3.3.3.1. Nhận dạng ADN của bố mẹ để xác định chỉ thị cho đa hình
Nghiên cứu đã tiến hành chọn lọc những cặp mồi SSR từ cơ sở dữ liệu cây bí đỏ, các bản đồ liên kết di truyền cây bí đỏ đã công bố để sàng lọc những cặp mồi cho đa hình giữa hai giống bố mẹ SĐK 3630 và SĐK 8571. Tổng số 300 chỉ thị SSR đã được sử dụng để xác điṇ h chỉ thị phân tử đa hình giữa các giống bố, me ̣nói trên.
Sau khi phân tích kết quả thu được từ 300 chỉ thị SSR khảo sát đa hình
giữa hai giống bí đỏ (SĐK 3630 và SĐK 8571) nghiên cứu có 69 chỉ thị SSR cho đa hình (tương đương tỷ lệ 23%), chúng tôi nhận thấy các chỉ thị cho đa hình giữa hai giống bí đỏ bố mẹ là chỉ thị đồng trội với một alen đặc hiệu.



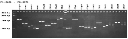
Hình 3.26. Hình ảnh nhận dan
g ADN để xá c điṇ h chỉ thi c̣ ho đa hinh
giữa hai giống bí đỏ bố, me ̣(SĐK 3630 và SĐK 8571) bằng các cặp mồi SSR
Chú thích: Hai giống bố mẹ SĐK 3630 (P1) và SĐ K8571(P2) được phân tích với 300 cặp mồi SSR. Sản phẩm PCR được điện di trên gel polyacrylamide 8% để chọn lọc những cặp mồi cho đa hình. Từ trái sang phải: thang ADN chuẩn 50bp, tiếp theo là cặp P1, P2 với các chỉ thị SSR.
3.3.3.2. Nhận dạng ADN của các cá thể F2 sử dụng chỉ thị cho đa hình giữa giống bí đỏ bố, mẹ
Mẫu lá non của các cá thể trong quần thể F2 (SĐK3630 x SĐK8571) được thu ở gia đoạn cây con 15 ngày tuổi để tách chiết ADN tổng số, sau đó được điện di để kiểm tra chất lượng và nồng độ trên gel agarose 0,8%. Nồng độ chính xác của các mẫu ADN được đo bằng máy quang phổ nanodrop dao động từ 210- 980 ng/µl. ADN sử dụng cho các phản ứng PCR được pha loãng từ nồng độ gốc xuống 20 ng/µl và đưa vào đĩa giữ mẫu 96 giếng.



Hình 3.27. Nhân
dan
g ADN của cá c cá thể con lai F2 (SĐK3630 x
SĐK8571) với chỉ thị CMTp210, CMTm164 và CMTp26
(Ghi chú: Từ trái qua phải: L50: 50bp ladder, P1: 3630; P: 8571, F2-1 đến F2-40: là các cá thể F2)
Toàn bộ 69 chỉ thị SSR cho đa hình giữa hai giống bố mẹ SĐK3630 và SĐK8571 được sử dụng cho phân tích kiểu gen quần thể con lai F2 (SĐK3630 x SĐK8571). Phân tích kết quả thu được trên quần thể F2 nhận thấy các chỉ thị SSR với alen đặc thù và đồng trội, có nghĩa là alen đó có mặt ở cả hai giống bố và mẹ, con lai F2 sẽ có thể dị hợp tử với 2 alen của cả bố và mẹ (hình 3.31)
Số liệu phân tích phân ly di truyền quần thể con lai F2 (SĐK 3630 x SĐK 8571) được đọc và nhập vào Excel theo nguyên tắc cá thể mang gen giống mẹ (SĐK3630) được mã là A, cá thể mang kiểu gen giống bố (SĐK8571) là B; dị hợp tử (trung gian giữa SĐK 3630 và SĐK 8571) ghi nhận là H, trường hợp cá thể nào không có sản phẩm PCR, hoặc không rõ ràng sẽ được ghi nhận "-". Bảng dữ liệu được đưa vào bảng Excel sau đó được chuyển dang phần mềm MAPMAKER/EXP3.0 để xây dựng bản đồ liên kết di truyền.
3.3.4. Xây dựng bản đồ liên kết di truyền ở cây bí đỏ và xá c điṇ h
chỉ thi ḷ iên kết vớ i tính tran
g hàm lươn
g chấ t khô
SSR
3.3.4.1. Xây dựng bản đồ liên kết di truyền ở cây bí đỏ sử dụng chỉ thị
Số liệu phân tích kiểu gen trên dữ liệu 69 chỉ thị SSR của 120 cá thể
thuộc quần thể con lai F2 của cặp lai (SĐK3630 x SĐK8571) đã được xử lý bằng phần mềm MAPMAKER/EXP3.0 để xây dựng bản đồ di truyền nhóm liên kết chỉ thị phân tử cây bí đỏ. Nguyên lý xác định nhóm liên kết của phần mềm là các chỉ thị liên kết với nhau với khoảng cách <50 cM sẽ được đưa về 1 nhóm, những chỉ thị không liên kết vào nhóm nào sẽ được liệt kê riêng. Số liệu phân tích trên 69 chỉ thị SSR của quần thể con lai F2 (SĐK3630 x SĐK8571) đã thu được 10 nhóm liên kết (LG1
đến LG10), mỗi nhóm có từ 5 đến 9 chỉ thị (Hình 3.28).


Hình 3.28. Hình ảnh bản đồ liên kết di truyền cây bí đỏ xây dựng từ quần thể con lai F2 (SĐK3630 x SĐK8571) với 69 chỉ thị SSR
Ghi chú: Bản đồ liên kết di truyền gồm 69 chỉ thị phân bố trên 26 nhóm liên kết với hệ gen cây bông tứ bội. Tổng chiều dài là 887,9 cM, khoảng cách trung bình giữa hai chỉ thị ~ 12,5cM. LG: Nhóm liên kết; đơn vị bản đồ cM. Bản đồ được xây dựng bằng phần mềm MAPMAKER/EXP version 3.0b và vẽ bằng phần mềm MapChart v2.2.
Bảng 3.16. Đặc điểm các nhóm liên kết trong bản đồ liên kết di truyền của quần thể con lai F2 (SĐK 3630 x SĐK 8571)
Số lượng chỉ thị | Tổng chiều dài (cM) | Khoảng cách trung bình giữa 2 chỉ thị (cM) | Khoảng cách gần nhất giữa 2 chỉ thị liền kề (cM) | Khoảng cách xa nhất giữa 2 chỉ thị liền kề (cM) | |
1 | 8 | 83,5 | 10,44 | 8.5 | 14.8 |
2 | 6 | 78,3 | 13,05 | 14 | 19.7 |
3 | 9 | 140,9 | 15,66 | 13,1 | 23,6 |
4 | 9 | 133,3 | 14,81 | 14,7 | 19,7 |
5 | 6 | 81,9 | 13,65 | 13,9 | 18,6 |
6 | 8 | 125,3 | 15,66 | 15.6 | 21.9 |
7 | 6 | 70,3 | 11,72 | 7,8 | 20,3 |
8 | 5 | 35,2 | 7,04 | 6,4 | 11,2 |
9 | 5 | 53,6 | 10,72 | 12,4 | 14,5 |
10 | 7 | 85,6 | 12,23 | 11,6 | 19,6 |
Tổng | 69 | 887,9 | |||
Min | 5 | 35,2 | 7,0 | 6,4 | |
Max | 9 | 140,9 | 15,7 | 23,6 | |
Trung bình | 6,9 | 12,5 |
Qua Bảng 3.16 cho thấy Chiều dài bản đồ được lập đối với từng nhóm liên kết dao động khá lớn, ngắn nhất ở nhóm liên kết LG8 với 5 chỉ thị, chiều dài 35,2 cM và dài nhất ở nhóm liên kết LG3 với 9 chỉ thị, chiều dài 140,9 cM. Tổng chiều dài bản đồ liên kết được lập là 887,9cM, với khoảng cách trung bình giữa hai chỉ thị ~ 12,5cM. Khoảng cách gần nhất giữa hai chỉ thị liền kề là 6,4cM giữa hai chỉ thị CMTm48 và CMTp252 trên nhóm liên kết LG8. Khoảng cách xa nhất giữa hai chỉ thị là 23,6 cM thể hiện giữa hai chỉ thị CMTm217 và CMTm192 trên nhóm liên kết LG3.
3.3.4.2. Xá c điṇ h các QTL chất khô và các chỉ thi ̣SSR liên kết gần với các QTL
Số liệu phân tích kiểu gen với 69 chỉ thị SSR và số liệu phân tích
hàm lượng chất khô của 120 cá thể con lai F2 thuộc quần thể (SĐK3630
x SĐK 8571) đươc
sử dun
g xây dựng bản đồ QTL hàm lượng chất khô bằng
phần mềm WinQTLCart 2.5_011. Số liệu đầu vào bao gồm: bộ dữ liệu về bản đồ liên kết, bao gồm tên và vị trí các chỉ thị SSR trên nhóm liên kết gồm: bộ dữ liệu phân tích kiểu gen với chỉ thị SSR và bộ số liệu phân tích kiểu hình về hàm lượng chất khô của các cá thể của quần thể con lai F2.
Trong nghiên cứu này, mỗi vị trí được xác định có mặt QTL hàm lượng chất khô khi giá trị LOD ở vị trí đó 2,0 và giá trị LOD càng lớn thì càng khẳng định chắc chắn sự có mặt của QTL tại nhóm liên két tương ứng. Các dữ liệu về LOD, R2 % và cặp chỉ thị SSR liền kề hai phía QTL được thu nhận từ phần mềm để phục vụ cho việc phân tích QTL và xác định các chỉ thị SSR liên kết gần với QTL.
Kết quả phân tích quần thể F2 (SĐK 3630 x SĐK 8571) đã thu nhận được 2 QTL liên quan đến tính trạng chất khô Bảng 3.17). Các QTL được chúng tôi đặt tên dựa trên tên viết tắt của tính trạng và nhóm liên kết mà QTL định vị là qCK1 và qCK4 nằm trên nhóm liên kết tương ứng là LG- CK1 và LG-CK4, với giá trị LOD tương ứng 18,21 và 14,34 và tỷ lệ các QTL này quy định kiểu hình (giá trị R2 %) dao động trong khoảng từ 55,7% đến 58,5 %. Hai chỉ thi ̣PU026252 và CMTp133 liên kết vớ i QTL trên nhó m
liên kết LG-CK1 vớ i khoảng cách tương ứ ng là 8 và 3,2cM và hai chỉ thi ̣
CMTp230 và CMTm236 liên kết vớ i QTL trên nhó m liên kết LG-CK4 ở khoảng cách tương ứ ng là 10 và 4,7 cM.






