các tuyến nội mạc tử cung (Dow, 1958). CEH có thể đi kèm với dịch viêm lỏng vô trùng trong lòng tử cung (Dow, 1958). Khái niệm "tăng sản nội mạc tử cung dạng nang - phức hợp pyometra" trong đó CEH bắt đầu một quá trình bệnh lý phát triển, dần tiến triển thành viêm tử cung và là giai đoạn nghiêm trọng nhất của bệnh (Dow, 1957). Theo nghiên cứu của De Bosschere & cs. (2001) sự tăng sản nội mạc tử cung được cho là một trong những nguyên nhân gây ra bệnh viêm tử cung, và trong nghiên cứu này tác giả cũng chỉ ra rằng CEH và pyometra có thể phát triển độc lập với nhau. Dịch lỏng tích tụ trong lòng tử cung khi không bị nhiễm khuẩn thường có dấu hiệu lâm sàng nhẹ (Fransson & cs., 2004).

Hình 2.1. Nguyên nhân gây bệnh viêm tử cung trên chó
Nguồn: Hagman (2014)
Vai trò của nội tiết
Rối loạn chức năng nội tiết là nguyên nhân quan trọng nhất của viêm tử cung (Lesboyries & Berthelon, 1935). Một số nghiên cứu cho thấy viêm tử cung chủ yếu xuất hiện trong giai đoạn động dục và có thể mắc bệnh bằng cách tiêm progesterone thử nghiệm, việc tiết progesterone tăng lên hoặc kéo dài là nguyên nhân khởi phát bệnh viêm tử cung (Dow, 1958, 1959a). Tử cung nhạy cảm với progesterone, progesterone không chỉ thích hợp cho việc mang thai mà còn nhạy cảm với vi khuẩn vì progesterone kích thích sự phát triển và bài tiết của tuyến nội mạc tử cung, cũng như đóng cổ tử cung và ức chế các cơn co thắt cơ tử cung (Cox, 1970). Ngoài ra, progesterone đã được chứng minh là làm giảm sức đề kháng của tử cung đối với nhiễm vi khuẩn ở các loài động vật khác (Ganjam & cs., 1982).
Bảng 2.1. Loài vi khuẩn phân lập từ tử cung chó cái mắc viêm tử cung
Tỷ lệ trên chó cái (%) | |
Escherichia coli | 65-90 |
Staphylococcus spp. | 2-15 |
Streptococcus spp. | 4-243 |
Pseudomonas spp. | 1-8 |
Proteus spp. | 1-4 |
Enterobacter spp. | 1-3 |
Nocardia spp. | 1 |
Pasteurella spp. | 1-2 |
Klebsiella spp. | 2-14 |
Từ 2 vi khuẩn trở lên | 4-16 |
Không có vi khuẩn | 10-26 |
Mycoplasma spp., Enterococcus spp., Clostridium perfringens, Corynebacterium spp., Citrobacter spp., Moraxella spp., Edwardsiella spp.,… | <1 |
Có thể bạn quan tâm!
-
Nghiên cứu một số chỉ tiêu lâm sàng, phi lâm sàng, ứng dụng siêu âm chẩn đoán và điều trị bệnh viêm tử cung trên chó - 1 -
Nghiên cứu một số chỉ tiêu lâm sàng, phi lâm sàng, ứng dụng siêu âm chẩn đoán và điều trị bệnh viêm tử cung trên chó - 2 -
Nguyên Nhân Và Tiến Trình Sinh Bệnh Viêm Tử Cung Ở Chó -
Những Thuật Ngữ Sử Dụng Trong Siêu Âm -
Đường Sinh Dục Con Cái Bình Thường, Bên Trái Là Một Sơ Đồ Biểu Diễn Giải Phẫu Của Đường Sinh Dục Con Cái -
Tình Hình Nghiên Cứu Bệnh Viêm Tử Cung Ở Chó Trong Và Ngoài Nước
Xem toàn bộ 167 trang tài liệu này.
Nguồn: Hagman (2018)
E.coli là mầm bệnh chủ yếu được phân lập từ những tử cung bị viêm, nhưng có thể có các chủng vi khuẩn khác (Fransson & cs., 1997; Coggan & cs., 2008) (bảng 2.1). Nguyên nhân có thể do E. coli là vi sinh vật tự nhiên của âm đạo và xâm nhập vào tử cung trong thời kỳ trước động dục và động dục (Watts & cs., 1996).
Có thể có nhiều hơn một chủng vi khuẩn trong bệnh viêm tử cung nhưng trong môi trường nuôi cấy đôi khi cho kết quả âm tính, bệnh viêm tử cung chủ yếu gây ra bởi vi khuẩn có khả năng sản xuất khí. Tử cung khỏe mạnh sẽ loại bỏ vi khuẩn khi xâm nhập trong quá trình mở cổ tử cung, khả năng loại bỏ vi khuẩn tùy thuộc vào giai đoạn chu kỳ động dục (Fransson & cs., 1997). Thử nghiệm gây nhiễm E.coli trong giai đoạn thể vàng thường dẫn đến viêm tử cung so với các giai đoạn chu kỳ động dục khác. Nhiễm trùng rất có thể tăng lên vì các chủng tương tự có trong đường tiêu hóa và theo đường máu lây lan cũng có thể xảy ra (Agostinho & cs., 2014).
Vi khuẩn và các sản phẩm của vi khuẩn là những chất gây phản ứng mạnh của quá trình viêm tại chỗ và toàn thân. Các thành phần nội độc tố, lipopolysacarit của vi khuẩn gram âm, chẳng hạn như E.coli, được giải phóng vào tuần hoàn trong quá trình phân rã của vi khuẩn và gây ra chứng ho, lờ đờ, thở gấp và rối loạn nhịp tim. Nồng độ nội độc tố cao có thể gây sốc, gây chết, đông máu nội mạch lan tỏa và suy nhược cơ quan (Okano & cs., 1998). Bệnh viêm tử cung liên quan đến nhiễm độc nội bào, nhiễm khuẩn huyết và nhiễm trùng lan tỏa có thể ảnh hưởng đến các cơ quan khác nhau (Karlsson & cs., 2013). Khoảng 60% chó cái mắc bệnh viêm tử cung bị nhiễm trùng huyết (Singer, 2016).

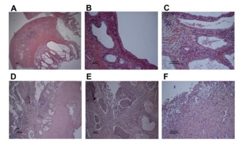
Hình 2.2. Hình ảnh về các phát hiện kiểm tra mô học trong các mô tử cung bị viêm
Chú thích: Ở chó bị viêm nội mạc tử cung/viêm tử cung .(A) CEH; (B) độ phóng đại lớn hơn (A); (C) CEH- viêm nội mạc tử cung; (D) bệnh viêm tử cung;(E) độ phóng đại lớn hơn D; (F) bệnh viêm tử cung - teo nội mạc tử cung.
Nguồn: Hagman (2018)
2.2.3. Dấu hiệu lâm sàng bệnh viêm tử cung ở chó
Những giống chó có nguy cơ mắc bệnh viêm tử cung cao là những giống Collie lông dài, Rottweiler, Tây Ban Nha, chó Mountain Bernese và Golden. Chó lai có nguy cơ thấp hơn. Nguy cơ mắc bệnh viêm tử cung tăng có liên quan đến liệu pháp điều trị bằng hormone, và những chó cái vô sinh có nguy cơ phát triển viêm tử cung cao hơn. Chó cái có tiền sử mang thai giả không có nguy cơ gia tăng phát triển viêm tử cung (Stephen & cs., 2010).
Bệnh viêm tử cung thường được chẩn đoán trong giai đoạn thể vàng (do progesterone chi phối) của chu kỳ động dục, mặc dù một số con chó cái không biểu hiện động dục có thể có viêm tử cung. Bệnh viêm tử cung là một rối loạn nghiêm trọng, có thể đe dọa tính mạng bởi vì nhiễm trùng huyết và nội độc tố có thể phát triển rất nhanh chóng và bất kỳ lúc nào (Stephen & cs., 2010).
Các dấu hiệu lâm sàng trở nên rõ ràng trong giai đoạn động dục, các triệu chứng khác không đặc hiệu cho viêm tử cung bao gồm mệt mỏi, chán ăn và nôn mửa, nhịp tim, nhịp thở nhanh, mạch yếu, khó chịu. Uống nhiều nước, đa niệu là một triệu chứng phổ biến ở chó cái. Khi khám kiểm tra lâm sàng phần lớn dịch âm hộ có mủ, thường có máu được tìm thấy (85%) chó cái với bệnh viêm tử cung. Bệnh viêm tử cung được phân loại là dạng mở hoặc dạng đóng tùy thuộc vào việc có tiết dịch âm hộ hay không. Kích thước tử cung có thể thay đổi, mất nước là một triệu chứng phổ biến (Richard & Couto, 2009).
Các triệu chứng thay đổi tùy theo mức độ nghiêm trọng của nhiễm trùng huyết hoặc nội độc tố, hầu hết con vật bị ảnh hưởng là hôn mê. Nhiệt độ trực tràng thường không sốt. Sốt là triệu chứng được báo cáo chỉ có 20% đến 30% chó cái viêm tử cung. Nhiệt độ bất thường có thể được tìm thấy trong những nhiễm trùng hoặc sốc nội độc tố (Richard & Couto, 2009).
2.2.4. Chẩn đoán bệnh viêm tử cung ở chó
Bệnh viêm tử cung phát hiện chủ yếu khi xuất hiện các dấu hiệu lâm sàng ở chó trưởng thành trong hoặc ngay sau khi động dục hoặc sau khi sử dụng progestin. Dấu hiệu của bệnh là có sự chảy dịch ở âm đạo và sự thay đổi kích thước ở tử cung, kết hợp với một số các triệu chứng lâm sàng như: mệt mỏi, bỏ ăn, uống nhiều nước, sốt... (Stephen & cs., 2017).
Chụp x quang có thể nhìn thấy được sự mở rộng tử cung. X quang một bên vách bụng có thể được sử dụng để xác định, là cơ quan hình ống chứa khối chất lỏng nằm giữa đại tràng xuống và bàng quang (Stephen & cs., 2010).
Siêu âm phát hiện được dịch trong tử cung, ngay cả khi đường kính tử cung bình thường và cho thấy những thay đổi bệnh lý của mô tử cung và buồng trứng, như u nang buồng trứng hoặc tăng sản nội mạc tử cung (Stephen & cs., 2010).
Xét nghiệm sinh lý máu cho thấy: Bạch cầu trung tính, bạch cầu đơn nhân, và bằng chứng về độc tính của bạch cầu là những phát hiện phổ biến trong bệnh viêm tử cung. Bạch cầu trung tính là xét nghiệm nhạy cảm nhất đối với phân biệt viêm tử cung với tử cung tích dịch nhưng không có mủ. Động vật viêm tử cung có thể có tổng số lượng bạch cầu cao từ 100.000 đến 200.000/μl (Richard & Couto, 2009).
Các bất thường về chỉ số sinh hóa là phổ biến, nhưng không đặc hiệu cho viêm tử cung. Chúng bao gồm tăng protein huyết, tăng globulin huyết và tăng ure huyết. Đôi khi, hoạt động của alanin aminotransferase và phosphatase kiềm tăng nhẹ đến vừa phải. Phân tích nước tiểu phát hiện thấy tỷ trọng nước tiểu hoặc protein niệu khoảng 30% những con chó cái với viêm tử cung (Richard & Couto, 2009).
Hầu hết những chó cái mắc bệnh viêm tử cung đều ở tuổi trung niên hoặc tuổi già và có thể có bệnh thận từ trước thường tăng ure huyết. Ngoài ra, tăng ure huyết, protein niệu và tỷ trọng nước tiểu thường là nguyên nhân trực tiếp từ bệnh viêm tử cung và có khả năng hồi phục khi nhiễm trùng tử cung được điều trị khỏi. Cần đánh giá chức năng thận vì bệnh thận và suy thận là những biến chứng thường gặp của viêm tử cung. Tăng ure huyết do mất nước và rối loạn chức năng thận xảy ra ở 18% đến 26% chó mắc bệnh viêm tử cung. Nồng độ nitơ urê và creatinine trong máu thường không tăng, trừ khi tăng ure huyết phát triển do hậu quả của tình trạng mất nước, giải quyết kịp thời sau khi điều trị bằng truyền dịch và phẫu thuật. Tỷ lệ lọc cầu thận giảm ở 75% chó cái với viêm tử cung, ngay cả khi tăng ure huyết không hiện diện (Richard & Couto, 2009).
Kết quả phân tích nước tiểu có thể gợi ý bệnh thận thứ phát, protein niệu có thể có hoặc không, không phụ thuộc vào việc tăng ure huyết. Protein tăng lên khi dùng que thử nước tiểu, nguyên nhân có thể bị nhiễm bẩn do tiết dịch âm đạo tử cung, không nên chọc hút dịch nếu nghi ngờ viêm tử cung, vì có nhiều nguy cơ thủng tử cung do căng phồng. Một số trường hợp viêm tử cung và protein niệu nặng tiến triển đến suy thận. Trọng lượng riêng của nước tiểu thay đổi theo tình trạng mất nước và sự xuất hiện đa niệu (Richard & Couto, 2009).
Tăng phosphatase kiềm trong huyết thanh có trong khoảng 50% đến 75% trường hợp chó mắc viêm tử cung, thỉnh thoảng giảm nồng độ của alanin aminotransferase, và tăng nồng độ của chất partate aminotransferase cũng được phát hiện, gây ra bởi sự ức chế tổng hợp enzyme gan hoặc màng gan tổn thương do nhiễm độc máu. Tăng nồng độ phosphatase kiềm, bilirubin và huyết thanh cholesterol được coi là kết quả của sự ứ mật trong gan hơn là do tổn thương tế bào gan (Stephen & cs., 2010).
2.2.5. Điều trị
Việc điều trị bệnh viêm tử cung nên nhanh chóng và tích cực, phương pháp điều trị chủ yếu là phẫu thuật cắt bỏ tử cung buồng trứng và phương pháp điều trị bảo tồn sử dụng thuốc điều trị hình 2.2.

Hình 2.3. Phương pháp điều trị bệnh viêm tử cung ở chó cái sinh sản. CEH, tăng sản nội mạc tử cung
Nguồn: Stephen & cs. (2017)
Điều trị bệnh viêm tử cung phải nhanh chóng và tích cực vì nhiễm trùng huyết hoặc bị tác động bởi nội độc tố và đôi khi tử cung cũng xảy ra hiện tượng vỡ. Phương pháp truyền dịch qua đường tĩnh mạch được chỉ định để đảm bảo duy trì đầy đủ tưới máu tới mô và cải thiện chức năng thận, điều quan trong là phương pháp truyền dịch sẽ cần thiết cho động vật bị sốc nhiễm trùng, trong và sau phẫu thuật cắt tử cung và buồng trứng. Tỷ lệ chết sau phẫu thuật cao hơn ở chó cái khi có huyết áp và lượng nước tiểu thấp hơn so với những trường hợp được truyền dịch khi đã được điều chỉnh tình trạng hạ huyết áp và tăng lượng nước tiểu. Tiên lượng sống sót sẽ xấu hơn khi không giải quyết được chứng tăng ure huyết khi cắt bỏ tử cung và buồng trứng (Richard & Couto, 2009).
Liệu pháp kháng sinh thích hợp nên được điều trị càng sớm càng tốt, trong quá trình chờ kết quả nuôi cấy, một số loại kháng sinh có thể được coi là hiệu quả điển hình đối với E.coli, được phân lập từ viêm tử cung bao gồm registerfloxacin, trimethoprim-sulfa, và amoxicillin-clavulanate. Cắt tử cung và buồng trứng là phương pháp điều trị được lựa chọn cho viêm tử cung ở chó cái.
Phương pháp phẫu thuật cắt tử cung buồng trứng được chứng minh là an toàn và hiệu quả nhất vì có khả năng loại bỏ nguồn lây nhiễm và các sản phẩm vi khuẩn được loại bỏ và ngăn ngừa tái phát. Các kỹ thuật hỗ trợ như nội soi đã được phát triển nhưng không được sử dụng phổ biến và chỉ sử dụng trong trường hợp nhẹ. Ở những chó mắc bệnh nghiêm trọng hoặc khi có biến chứng như viêm phúc mạc hoặc rối loạn chức năng nội tạng, hoặc cổ tử cung đóng, khi đó điều trị nội khoa không được khuyến khích và phẫu thuật ngoại khoa là lựa chọn điều trị. Các phương án điều trị thú y cần phải được lựa chọn cẩn thận để tiên lượng tốt nhất cho sự phục hồi và khả năng sinh sản tiếp theo. Nuôi cấy vi sinh vật và xét nghiệm độ nhạy là điều kiện tiên quyết để lựa chọn tối ưu liệu pháp kháng khuẩn, trong đó các mẫu được lấy từ âm đạo hoặc sau phẫu thuật tử cung.
Điều trị phẫu thuật
Trước khi phẫu thuật, con vật được ổn định bằng liệu pháp truyền tĩnh mạch để điều chỉnh hạ huyết áp, giảm tưới máu, sốc, mất nước, cân bằng axit- bazơ và rối loạn điện giải, rối loạn đông máu và rối loạn chức năng nội tạng (Fantoni & Shih, 2017). Ở những chó có khối lượng vừa và nặng, nếu xuất hiện nhiễm trùng huyết hoặc biến chứng nghiêm trọng, thuốc kháng sinh diệt khuẩn
trên phổ rộng trong tĩnh mạch được sử dụng để ngăn ngừa nhiễm trùng huyết toàn thân (DeClue, 2016). Kháng sinh được chọn lựa cần có hiệu quả chống lại mầm bệnh E. coli phổ biến nhất. Sau khi nuôi cấy, kiểm tra độ nhạy cảm và thay thế kháng sinh phổ hẹp để điều trị (DeClue, 2016). Thuốc không được gây hại cho thận, và liều lượng cần được điều chỉnh thường xuyên để đạt được hiệu quả tối ưu. Ở một nghiên cứu cho thấy 90% E.coli tìm thấy ở bệnh viêm cổ tử cung nhạy cảm với ampicillin (Hagman & Greko 2005). Tuy nhiên, việc dùng liều lượng kháng sinh có thể khác nhau tùy vào từng khu vực, từng quy định của quốc gia về liều lượng dùng kháng sinh trên thú cưng. Trong trường hợp bị viêm phúc mạc (nhiễm trùng máu hoặc sốc nhiễm trùng), việc dùng kết hợp nhiều loại kháng sinh thường được khuyến cáo để bao phủ được hết các mầm bệnh (DeClue, 2016).
Loại bỏ nhiễm trùng là chìa khóa, không nên trì hoãn việc phẫu thuật một cách không cần thiết do nguy cơ nhiễm độc nội bào và nhiễm trùng huyết khi tử cung vẫn chưa bị loại bỏ. Gây mê và quản lý thời kỳ phẫu thuật (thời kỳ phẫu thuật gồm nhập viện, gây mê, phẫu thuật và phục hồi) cần được chú ý nhằm để duy trì chức năng các cơ quan, bảo vệ các hoạt động của đường tiêu hóa, những cơn đau, oxy hóa tế bào, dinh dưỡng (Devey, 2013). Một số loại thuốc có thể làm giảm bớt phản ứng viêm (Liao & cs., 2014). Tử cung có thể sưng to, dễ vỡ và dễ bị tổn thương, và điều quan trọng là phải xử lý các mô cẩn thận. Xoang bụng phải được bảo vệ khỏi việc bị rò rỉ mủ do rách tử cung. Mủ được loại bỏ hoàn toàn, không bị sót lại. Ổ bụng dưới thường đóng nhưng nếu bị nhiễm mủ thì nên loại bỏ và ổ bụng rửa bằng dung dịch nước muối sinh lý được làm ấm và sử dụng máy hút dịch, các mẫu để nuôi cấy vi khuẩn được lấy trước khi đóng ổ bụng nếu cần (Devey, 2013). Theo dõi hậu phẫu chuyên sâu là cần thiết, và trong các trường hợp không biến chứng 1 ngày đến 2 ngày nhập viện sau phẫu thuật thường là đủ. Nhu cầu tiếp tục chăm sóc hỗ trợ và điều trị kháng sinh được đánh giá nhiều lần mỗi ngày trong từng trường hợp (Jitpean & cs., 2014a). Điều trị kháng sinh được ngừng càng sớm càng tốt. Tình trạng sức khỏe sẽ được cải thiện nhanh chóng sau phẫu thuật và bình thường trong vòng 2 tuần (Dabrowski & cs., 2009; Bartoskova & cs., 2007). Tỷ lệ chết tương đối thấp, 3% đến 20% (Egenvall & cs., 2001; Jitpean & cs., 2014a). Nếu bệnh nặng hơn hoặc các biến chứng toàn thân, chẳng hạn như vỡ tử






