
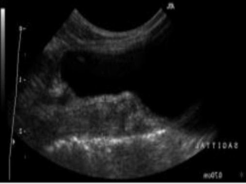
Hình 2.13. Ảnh mặt cắt thẳng đứng ở chính giữa
của thân tử cung trong giai đoạn sau động dục (con trỏ)
Chú thích: Dưới tác động của progesterone, niêm mạc tử cung dày lên, phản ánh sự phát triển của tuyến, ít chất lỏng có mặt trong lòng tử cung. Tử cung sẽ dày nhất trong thời gian không động dục.
Nguồn: Rachel Pollard & Silke Hecht (2015)
2.5. TÌNH HÌNH NGHIÊN CỨU BỆNH VIÊM TỬ CUNG Ở CHÓ TRONG VÀ NGOÀI NƯỚC
2.5.1. Tình hình nghiên cứu về bệnh viêm tử cung chó trên thế giới
Siêu âm đường sinh dục được ứng dụng chẩn đoán như bệnh viêm nội mạc tử cung, viêm tử cung có mủ, số lượng và kích thước của thai, phát hiện thai còn sống hay đã chết trước khi sinh qua hình ảnh tim thai, ước định tuổi thai, phát hiện các trường hợp thai giả...
Có thể bạn quan tâm!
-
Loài Vi Khuẩn Phân Lập Từ Tử Cung Chó Cái Mắc Viêm Tử Cung -
Những Thuật Ngữ Sử Dụng Trong Siêu Âm -
Đường Sinh Dục Con Cái Bình Thường, Bên Trái Là Một Sơ Đồ Biểu Diễn Giải Phẫu Của Đường Sinh Dục Con Cái -
Phương Pháp Chẩn Đoán Viêm Tử Cung Bằng Siêu Âm -
Thực Trạng Bệnh Viêm Tử Cung Trên Chó Mang Đến Khám Và Điều Trị Tại Phòng Khám -
Thực Trạng Chó Đến Khám Bị Viêm Tử Cung Theo Lứa Đẻ
Xem toàn bộ 167 trang tài liệu này.
Hui & cs. (2017) đã thực hiện nghiên cứu hồi cứu để phân tích các trường hợp bệnh viêm tử cung trên chó tại bệnh viện Thú y Segar, Kuala Lumpur, Malaysia từ tháng 5 năm 2012 đến tháng 5 năm 2016 và để điều tra mối quan hệ giữa viêm tử cung với giống và tuổi của chó. Nghiên cứu được thực hiện thông qua việc thu thập dữ liệu từ những ca bệnh được chẩn đoán dựa trên tiền sử bệnh,
kiểm tra lâm sàng và siêu âm và / hoặc chụp X-quang. Dữ liệu thu thập về giống chó được chia thành 3 nhóm (nhỏ, trung bình và lớn) còn tuổi chó được phân thành chó con, chó trưởng thành và chó già. Kết quả nghiên cứu cho thấy tỷ lệ mắc bệnh cao nhất ở nhóm chó nhỏ (72,5%, n=58) và nhóm chó già (62,5%, n=50). Các giống chó như Mongreal, Becgie Đức, Silky Terrier, Toy Poodle, Beagle, Chow Chow, Golden Retriever, Rottweiler, Cocker Spaniel, White Terrier, Siberian Husky và Bắc Kinh trên 5,5 tuổi có tỷ lệ 100% (n=37) chó mắc viêm tử cung dạng mở. Các giống chó nhỏ và chó ở lửa tuổi già có tỷ lệ mắc viêm tử cung dạng mở cao hơn, trong khi các giống chó cỡ vừa hoặc lớn và chó trưởng thành có tỷ lệ mắc viêm tử cung dạng đóng cao hơn. Theo nghiên cứu của Johnston & cs. (2001a), viêm tử cung xuất hiện ở chó trưởng thành khoảng từ 4 tuổi đến 16 tuổi, tuy nhiên bệnh xuất hiện phổ biến nhất nhất ở 7,5 năm tuổi với chu kỳ động dục bình thường. Gần đây, tỷ lệ xuất hiện bệnh được báo cáo là 19% ở nhóm chó cái dưới 10 tuổi và 20% ở nhóm chó già hơn (Jitpean & cs., 2014b). Khả năng mắc bệnh theo giống chó cũng khác nhau (Smith, 2006). Jitpean & cs. (2012) nhận định rằng, hệ gen của giống chó đóng vai trò quan trọng trong việc tăng hay giảm nguy cơ mắc bệnh.
Maharathi & cs. (2020) tiến hành đánh giá những thay đổi về huyết học cũng như sinh hóa ở những chó cái mắc viêm tử cung. Tổng số 20 chó cái trong độ tuổi từ 6-10 tuổi không phân biệt giống chó đã được kiểm tra lâm sàng và chẩn đoán bệnh viêm tử cung. Kết quả đánh giá huyết học cho thấy số lượng PCV, HGB, tế bào lympho và bạch cầu đơn nhân thấp hơn (P<0,05), còn số lượng bạch cầu trung tính cao hơn đáng kể (P<0,05) ở những chó mắc viêm tử cung so với bình thường. Ngoài ra, các chỉ số sinh hóa cho thấy sự gia tăng đáng kể (P<0,05) nồng độ glucose huyết thanh, cholesterol, tổng số protein, globulin ở chó mắc viêm tử cung. Nồng độ albumin không có sự khác biệt giữa 2 nhóm chó trong nghiên cứu này. Hơn nữa, Jitpean & cs. (2014b) chỉ ra rằng xét nghiệm sinh hóa cho thấy sự gia tăng đáng kể BUN, creatinine, GOT, GPT, ALP và globulin, còn nồng độ albumin giảm nhiều làm tăng tỷ lệ globulin / albumin ở những chó mắc viêm tử cung.
Nhiều nghiên cứu trên thế giới đánh giá hiệu quả điều trị viêm tử cung trên chó bằng nhiều phương pháp khác nhau. Cắt tử cung buồng trứng được đánh giá
có hiệu quả vượt bậc so với những phương pháp bộc lộ tử cung thông thường (Adamovic-Rippe & cs., 2013; Wallace & cs., 2015). Ngoài ra, nhiều phác đồ điều trị bảo tồn cũng được áp dụng, như sử dụng PGF2alpha (Myhre, 2016), các chất kháng progesterone khác là mifepristone (Hoffman & Schuler, 2000) cho kết quả điều trị tốt hơn. Ngoài ra, Contri & cs. (2015) đã thành công áp dụng phác đồ aglepristone kết hợp kháng sinh trong thời gian ngắn (6 ngày) và cho hiệu quả điều trị cao.
Jitpean & cs. (2014b) kết luận trong 356 chó cái chẩn đoán bị viêm tử cung có 315 trường hợp đã được phẫu thuật điều trị bằng cắt tử cung buồng trứng, 9 trường hợp đã được điều trị bảo tồn và 32 trường hợp chết trước điều trị. Trong phẫu thuật điều trị chó cái, nguy cơ nhập viện kéo dài (≥ 3 ngày) hoặc có dấu hiệu viêm phúc mạc. Các biến chứng thường gặp nhất trong phẫu thuật điều trị chó cái là viêm phúc mạc (40 chó cái), tiếp theo là nhiễm trùng đường tiết niệu (19 chó cái), nhiễm trùng vết mổ (8 chó cái) và rối loạn nhịp tim (5 chó cái). Giảm bạch cầu là điểm đánh dấu quan trọng nhất, kết hợp với tăng nguy cơ viêm phúc mạc và tăng nguy cơ nằm viện kéo dài. Sốt hoặc hạ thân nhiệt, mệt mỏi và niêm mạc nhợt nhạt có liên quan với tăng nguy cơ viêm phúc mạc hoặc nhập viện kéo dài.
Ros & cs. (2014) nghiên cứu, ghi nhận tại bệnh viện thú y của trường đại học Khoa học Nông nghiệp Thụy Điển trong khoảng thời gian 9 năm, đã nghiên cứu hồi cứu và theo dõi các cuộc phỏng vấn qua điện thoại với các chủ chó cái đã được điều trị bằng aglepristone và tất cả chó cái cũng đã được điều trị bằng thuốc kháng sinh trong thời gian trung bình 23 ngày, thường xuyên được sử dụng nhất là enrofloxacin. Escherichia coli là vi khuẩn phổ biến nhất được phân lập từ âm đạo. Các kết quả được đánh giá lên đến 6 năm sau khi điều trị. Tỷ lệ thành công được xác định là phục hồi trạng thái khỏe mạnh về mặt lâm sàng, lần lượt là 75,0% (21/28 chó cái), và tỷ lệ tái phát của bệnh là 48,0% (10/21 chó cái). Thời gian trung bình cho đến khi tái phát là 10,5 tháng sau khi kết thúc điều trị. Sau khi điều trị có 69,0% (9/13) chó cái giao phối sinh được chó con. Trong kết luận, điều trị với aglepristone kết hợp với liệu pháp kháng sinh đã cho kết quả thành công trong 75,0% của chó cái nghiên cứu và tỷ lệ tái phát là 48,0%.
Basessar & cs. (2013) đã phân lập vi khuẩn từ dịch âm đạo của 20 chó cái được chẩn đoán bị bệnh viêm tử cung. Trong đó, kết quả có 9 mẫu là vi khuẩn Escherichia. Coli, 4 mẫu là vi khuẩn Salmonella spp, 2 mẫu là Pseudomonas spp, 3 mẫu là Staphylococcus spp, và 2 mẫu là kết hợp giữa 2 vi khuẩn Escherichia. Coli và Staphylococcus spp. Tiến hành lập kháng sinh đồ cho 20 mẫu kết quả cho thấy Gentamicin là kháng sinh nhạy cảm nhất (85%). Kháng sinh tiếp theo Enrofloxacin, Ciprofloxacin và Amoxicillin (65%, 65% và 55%) tương ứng. Các chủng kháng nhất Oxytetracycline (85%), tiếp theo Tetracycline, Ampicillin, Chloramphenicol, Erythromycin và cloxacillin (80%, 80%, 75%, 70% và 70%), tương ứng. Gentamicin được tìm thấy là kháng sinh hiệu quả nhất chống lại các loài vi khuẩn phân lập từ bệnh viêm tử cung tích mủ ở chó.
2.5.2. Tình hình nghiên cứu về bệnh viêm tử cung chó ở Việt Nam
Trước đây do nhu cầu nuôi chó để làm cảnh chưa phát triển nên các đề tài nghiên cứu về các bệnh trên chó còn ít. Mãi đến những năm gần đây, nhu cầu nuôi chó làm thú cưng phát triển mạnh, nên các bệnh về thú cưng mới được quan tâm. Nhưng các đề tài nghiên cứu về các bệnh trên chó còn ít đặc biệt bệnh viêm tử cung. Một vài nghiên cứu của một số tác giả như Sử Thanh Long & Trần Lê Thu Hằng (2015) kết luận cho rằng trong các bệnh sinh sản thường gặp ở chó thì bệnh viêm tử cung chiếm tỷ lệ cao nhất là 43,61%. Bệnh gặp nhiều ở những chó không cho đẻ hoặc đẻ không thường xuyên, chó đã đẻ nhiều lứa, chó có tuổi cao, tỷ lệ mắc bệnh giống chó ngoại cao hơn nhiều so với giống chó nội và sử dụng phác đồ phẫu thuật ngoại khoa thú y hiệu quả hơn hẳn khi sử dụng phác đồ điều trị bảo tồn trong bệnh viêm tử cung ở chó, đồng thời bằng phương pháp siêu âm trong chẩn đoán hình ảnh đã cho kết quả chẩn đoán bệnh viêm tử cung ở chó cao hơn hẳn phương pháp khám lâm sàng thông thường. Cũng cùng tương tự với nghiên cứu của tác giả Nguyễn Văn Dương (2012) và tác giả Lê Văn Thọ & cs. (2008).
Khi nghiên cứu về các triệu chứng lâm sàng của bệnh viêm tử cung thì các triệu chứng uống nhiều nước, chảy dịch âm đạo, bụng to bất thường hay liếm âm hộ là những dấu hiệu bệnh lý lâm sàng khá tin cậy để định hướng chẩn đoán bệnh viêm tử cung ở chó (Nguyễn Phi Bằng & Nguyễn Thị Hạnh Chi, 2019; Lê Văn Thọ & cs., 2008).
Theo Trần Ngọc Bích & cs. (2020) những chó cái có tiền sử tiêm thuốc ngừa thai có tỷ lệ mắc bệnh (16,26%) cao hơn chó không tiêm ngừa thai (6,64%). Nguyễn Phi Bằng & Nguyễn Thị Hạnh Chi (2019) nghiên cứu lâm sàng bệnh viêm tử cung trên chó và ảnh hưởng của thuốc ngừa thai bằng hormone medroxyprogesterone acetate (MPA), kết quả nghiên cứu cho thấy chó mắc bệnh viêm tử cung tại địa bàn khảo sát là 12,76%, trong đó tỷ lệ chó mắc bệnh có tiêm ngừa thai bằng hormone MPA là 60,22%. Trong tổng số ca mắc bệnh có tiêm ngừa thai bằng hormone MPA, tỷ lệ chó đã tiêm ngừa thai 1 lần là 23,21%, 2 lần 26,79% và hơn hai lần có sự gia tăng đột biến về tỷ lệ mắc bệnh viêm tử cung là 50%. Kết quả về mô tả sự tương quan của yếu tố nguy cơ dựa vào nghiên cứu bệnh, bằng tỷ suất chênh OR cũng cho thấy có sự tương quan chặt chẽ giữa yếu tố nguy cơ và sự xuất hiện bệnh, nguy cơ mắc bệnh của chó có tiêm ngừa thai bằng hormone progesterone cao gấp 4,29 lần so với chó không tiêm ngừa thai.
Nguyễn Văn Thanh & Nguyễn Thị Thanh Hà (2018) nghiên cứu được tiến hành trên 396 chó cái giống Berger Đức tại một số tỉnh phía Bắc, Việt Nam (Hà Nội, Hải Phòng và Hải Dương). Kết quả nghiên cứu cho thấy tỷ lệ mắc bệnh viêm tử cung của giống chó Berger Đức nuôi tại các địa phương nói trên là khá cao, trung bình là 16,42%, biến động từ 13,54% đến 29,63%, tùy theo khu vực khảo sát. Ngoài ra, độ tuổi của chó cũng ảnh hưởng đến tỷ lệ mắc bệnh, thấp nhất là ở chó nhỏ hơn 2 năm tuổi (10,78%) và cao nhất là ở chó trên 6 năm tuổi (23,91%). Bên cạnh đó, tỷ lệ chó bị mắc bệnh cũng chịu ảnh hưởng bởi các yếu tố thời tiết, tỷ lệ mắc bệnh cao vào mùa hạ và mùa xuân (23,95% và 21,42%), ở mùa đông và mùa thu thì tỷ lệ mắc bệnh thấp hơn (11,0% và 8,82%). Các bệnh sản khoa như đẻ khó, sát nhau và sảy thai là những nguyên nhân chính gây ra bệnh viêm tử cung ở chó. Điều trị bệnh viêm tử cung ở chó bằng phác đồ dùng Ovulprost tiêm bắp, dùng Lugol 0,1% thụt rửa tử cung, dùng cephachlor 5mg/kg thể trọng pha với 50ml nước cất bơm vào tử cung và kết hợp trợ sức, trợ lực bằng vitamin ADE, B.complex cho kết quả cao.
Ở Việt Nam các công trình nghiên cứu về bệnh viêm tử cung cũng đã được nghiên cứu nhưng chưa nhiều. Đặc biệt, chưa có nhiều các công trình nghiên cứu ứng dụng chẩn đoán hình ảnh để chẩn đoán và điều bệnh viêm tử cung.
PHẦN 3. NỘI DUNG VÀ PHƯƠNG PHÁP NGHIÊN CỨU
3.1. VẬT LIỆU NGHIÊN CỨU
Dụng cụ dùng để chẩn đoán lâm sàng: nhiệt kế, ống nghe, bàn khám, cân nặng, găng tay.
Dụng cụ dùng để chẩn đoán phi lâm sàng: Máy siêu âm xách tay Chison Eco1vet, gel siêu âm, tông đơ cắt lông.
Dụng cụ phẫu thuật ngoại khoa: dao mổ, kéo, nhíp, kim, chỉ, pank, găng tay, khẩu trang, mũ đội, xăng mổ, bàn mổ, khay, gạc, bông, dây buộc, dây truyền, xi lanh.
Thuốc gây mê, thuốc gây tê và sát trùng cồn iod 5%, cồn 70oC
Các loại dược phẩm sử dụng trong điều trị:
Prostaglandin F2alpha, Atrophin, Zoletil, Ketamin, Amoxicillin, Vitamin K Marbofloxaxin, Ketovet, Xylazine và ADE.
Thuốc trợ lực, trợ sức: Glucose 5%, Ringerlactac, dung dịch nước muối Nacl 0,9%.
3.2. NỘI DUNG NGHIÊN CỨU
3.2.1. Thực trạng bệnh viêm tử cung trên chó mang đến khám và điều trị tại phòng khám
3.2.1.1. Nghiên cứu thực trạng bệnh viêm tử cung ở chó
Các chỉ tiêu nghiên cứu gồm có:
Tỷ lệ các bệnh sinh sản ở chó
Tỷ lệ mắc bệnh viêm tử cung theo giống, mùa vụ, lứa đẻ, tuổi
Tần suất xuất hiện các triệu chứng biếng ăn, uống nhiều nước, sốt, chảy dịch viêm, bụng to, nôn mửa, ở chó bị viêm tử cung
Biến đổi một số chỉ tiêu sinh lý máu ở chó mắc bệnh viêm tử cung
Biến đổi một số chỉ tiêu sinh hóa máu ở chó bị viêm tử cung
Một số bệnh tích đại thể và vi thể ở chó bị viêm tử cung.
3.2.2. Nghiên cứu ứng dụng và đánh giá hiệu quả chẩn đoán hình ảnh bằng siêu âm bệnh viêm tử cung ở chó
Trong quá trình chẩn đoán bằng siêu âm cần phân biệt viêm tử cung với các bệnh nội khoa khác như sỏi bàng quang, lồng tắc ruột, thai lưu, có chửa...
3.2.3. Kết quả điều trị bệnh viêm tử cung ở chó
Kết quả điều trị viêm tử cung ở các phương pháp khác nhau
Cơ hội thành công điều trị các dạng viêm tử cung và áp dụng phương pháp điều trị khác nhau.
3.3. PHƯƠNG PHÁP NGHIÊN CỨU
3.3.1. Phương pháp chẩn đoán lâm sàng bệnh viêm tử cung
Chẩn đoán lâm sàng bệnh viêm tử cung ở chó bằng phương pháp thu thập thông tin từ chủ gia súc và quan sát các triệu chứng. Các dấu hiệu nhận thấy gồm chó mệt mỏi, ủ rũ và uống nhiều nước và chưa triệt sản (cắt buồng trứng và tử cung), chó không cho đẻ, không cho giao phối và thường hay gặp ở chó hơn 4 tuổi. Nhiều trường hợp thời gian đầu cho đẻ thường xuyên, nhưng sau đó không cho đẻ và cũng không triệt sản thì đó thường là dấu hiệu nghi viêm tử cung. Tiếp theo kiểm tra cơ quan sinh dục xem có dịch chảy không, nếu viêm dạng mở thì mủ sẽ chảy từ tử cung ra bên ngoài, thường chảy dịch vào thời điểm động dục, khi đó cổ tử cung mở và dịch chảy ra ngoài. Nếu cổ tử cung đóng, không có dịch chảy ra gọi là viêm tử cung dạng đóng. Trong trường hợp này thường thấy bụng con vật có thể to, sờ nắn vùng bụng con vật cảm thấy khó chịu.
3.3.2. Phương pháp phân loại các dạng viêm tử cung
Viêm tử cung ở chó được chia làm 2 dạng: Dạng đóng và dạng mở
Viêm tử cung dạng đóng
Viêm tử cung dạng đóng là trường hợp chó bị viêm tử cung có mủ trong lòng tử cung, cổ tử cung đóng kín, dịch không chảy ra ngoài, khó quan sát bằng phương pháp chẩn đoán lâm sàng.
Viêm tử cung dạng mở
Viêm tử cung dạng mở là trường hợp viêm tử cung khi dịch viêm, mủ chứa trong lòng tử cung, cổ tử cung mở và dịch viêm, mủ chảy ra ngoài âm đạo nên dễ chẩn đoán bằng phương pháp lâm sàng.
3.3.3. Phương pháp phân loại giống chó nội và giống chó ngoại
Giống chó nội là những giống chó của Việt Nam gồm Dingo Đông Dương, H’Mong cộc đuôi, Bắc Hà, Phú Quốc… đã nuôi lâu đời tại Việt Nam.
Giống chó ngoại những chó du nhập từ nước ngoài vào Việt Nam như giống chó Tây Ban Nha, Béc-giê (GSD), Rottweiler, Bull Pháp… nhưng cũng có thể được sinh sản tại Việt Nam.
Giống chó lai chủ yếu là giống chó ngoại lai với giống chó nội. Ngoài ra, còn có các giống chó ngoại khác giống lai với nhau.
3.3.4. Phương pháp phân chia mùa vụ
Tiến hành chia mùa vụ trong năm thành bốn mùa Xuân, Hạ, Thu và Đông. Mỗi mùa có thời tiết khí hậu khác nhau đặc biệt thay đổi nhiều về nhiệt độ và độ ẩm.
Mùa Xuân từ tháng 2 đến tháng 4, mùa Hạ từ tháng 5 đến tháng 7, mùa Thu từ tháng 8 đến tháng 10 và mùa Đông từ tháng 11 năm nay đến tháng 1 năm sau.
3.3.5. Phương pháp tính lứa đẻ
Sau khi đến tuổi trưởng thành cả về giới tính và thể vóc, mỗi lần cho giao phối có chửa và đẻ con được tính là một lứa đẻ. Tuy nhiên, nhiều chó có chửa nhưng sau 35 ngày trở đi mà xảy thai thì cũng được tính là một lứa đẻ.
3.3.6. Phương pháp phân theo lứa tuổi
Giai đoạn 1 (dưới 2 năm tuổi): Từ khi con vật bắt đầu trưởng thành giới tính và thể vóc.
Giai đoạn 2 (2-5 năm tuổi): Từ khi con vật bước vào giai đoạn sinh sản mạnh. Giai đoạn 3 (Trên 5 tuổi): Từ lúc con vật có xu hướng già.
3.3.7. Phương pháp tiến hành làm tiêu bản vi thể
Đối với chó bị viêm tử cung, sau khi tiến hành phẫu thuật cắt bỏ tử cung buồng trứng sẽ thu mẫu để làm tiêu bản bệnh lý. Cũng tương tự đối với chó khỏe, mẫu tử cung được thu nhận sau khi triệt sản để làm tiêu bản sinh lý. Các mẫu tử cung thu được sẽ gửi về bệnh viện Medlatec, địa chỉ: 42-44 phố Nghĩa Dũng, Phúc Xá, Ba Đình, Hà Nội để làm tiêu bản vi thể. Hoặc gửi về bộ môn Bệnh lý, khoa Thú y, Học viện Nông nghiệp Việt Nam làm tiêu bản.






