lách < tuyến tiền liệt < xoang thận < cấu trúc mỡ - thành mạch máu < xương- hơi- vùng rìa tổ chức.
Máu và dịch chất cho ảnh màu đen vì có độ hồi âm nhỏ. Dịch chất có độ hồi âm tăng lên là do tăng protein, tế bào sợi và mô liên kết.
Đồng hồi âm: Mô tả cấu trúc có độ hồi âm ngang bằng với độ hồi âm của cấu trúc nền xung quanh hoặc hai cấu trúc khác nhau có cùng độ hồi âm.
2.3.7. Ứng dụng siêu âm trong chẩn đoán
Siêu âm giúp chẩn đoán được nhiều loại bệnh khác nhau và tiếp cận được những tổn thương của các cơ quan bị bệnh.
Siêu âm giúp các bác sĩ đánh giá được những triệu chứng: Đau, sưng, phù nề, nhiễm trùng
Siêu âm là cách hữu ích để kiểm tra nhiều cơ quan bên trong cơ thể, bao gồm những cơ quan sau:
Tim và các mạch máu, bao gồm động mạch chủ bụng và những nhánh chính của nó.
Gan, túi mật, lách, tụy, thận, bàng quang, tử cung, buồng trứng và thai ở những chó có chửa, mắt, tuyến giáp và tuyến cận giáp và bìu (dịch hoàn)
Siêu âm cũng được dùng để:
Hướng dẫn thực hiện các thủ thuật như sinh thiết bằng kim, là thủ thuật đưa kim vào để lấy một mẫu tế bào từ một vùng bất thường của cơ thể để xét nghiệm.
Thể hiện hình ảnh của vú để hướng dẫn sinh thiết ung thư vú.
Chẩn đoán nhiều loại bệnh tim và khảo sát những tổn thương sau một cơn đau tim hoặc một bệnh khác.
Siêu âm Doppler giúp các bác sĩ quan sát và đánh giá:
Sự tắc nghẽn của dòng máu (chẳng hạn như huyết khối), hẹp các mạch máu (có thể gây ra do mảng vữa) và những khối u và dị tật bẩm sinh
Với những thông tin về tốc độ và thể tích của dòng máu thu được từ hình ảnh siêu âm Doppler, các bác sĩ thường có thể xác định được bệnh nhân có đủ điều kiện để thực hiện thủ thuật (chẳng hạn như tạo hình mạch máu) hay không.
2.4. KỸ THUẬT SIÊU ÂM TỬ CUNG CHÓ
Siêu âm đã trở thành một thành phần quan trọng của liệu pháp sinh học động vật nhỏ kể từ khi được đưa vào thực hiện năm 1978. Việc sử dụng siêu âm như một phương pháp quan trọng trong đánh giá chẩn đoán sớm và theo dõi quá trình mang thai, không gây ảnh hưởng đến sự phát triển cũng như tần suất xuất hiện các bất thường của thai. Siêu âm còn là phương pháp được sử dụng để đánh giá và phát hiện các bệnh về sinh sản trên chó cái.

Hình 2.4. Đường sinh dục con cái bình thường, bên trái là một sơ đồ biểu diễn giải phẫu của đường sinh dục con cái
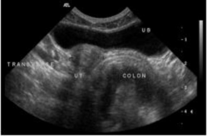
Chú thích: Buồng trứng nằm ở cuối và thường ở bên thận. Cổ tử cung và thân của tử cung được đặt trên mặt lưng bàng quang tiết niệu. Sừng tử cung được bộc lộ ra phía trước bên ngoài từ thân tử cung và có thể nhìn thấy không thường xuyên trong chu kì không động dục. A: Hình ảnh mặt cắt thẳng đứng dọc ở chính giữa của một buồng trứng bên trái bình thường (đầu mũi tên). Thận trái (LK) được sử dụng làm mốc và buồng trứng được xác định là một cấu trúc mô mềm hình trứng có độ vang trung bình đến đuôi của thận. B, C: Hình ảnh ngang (B) và mặt cắt thẳng đứng dọc ở chính giữa (C) của tử cung chó bình thường trong chu kì không động dục. Trên hình ảnh ngang, tử cung (mũi tên đen) được xác định là một cấu trúc vòng tròn giữa bàng quang (UB) và đại tràng, được sử dụng làm mốc. Trên hình ảnh mặt cắt thẳng đứng dọc ở chính giữa, tử cung (mũi tên đen) được xem như một cấu trúc hình ống có độ vang trung bình ở mặt lưng của bàng quang.
Nguồn: Rachel Pollard & Silke Hecht (2015)
Việc kiểm tra được thực hiện với con vật trong tư thế nằm ngửa (Hình 2.4). Một cách tiếp cận trong tư thế nằm nghiêng có thể chứng minh hữu ích trong việc kiểm tra buồng trứng. Đầu dò 5 MHz thường là đủ để hình dung một tử cung phát triển, tử cung chứa đầy dịch, cấu trúc thai, hoặc tổn thương vùng bụng. Tuy nhiên, đầu dò 7,5 hoặc 10 MHz cung cấp chi tiết tốt hơn trong việc kiểm tra các cấu trúc nhỏ hơn và được sử dụng cho hầu hết các chỉ định. Để kiểm tra các tuyến vú, một bộ chuyển đổi độ phân giải cao (7,5 MHz trở lên) được khuyến nghị.
Tử cung không mang thai bình thường là không dễ dàng nhận thấy, thường khó khăn khi xác định ở chó. Kích cỡ và sự xuất hiện của nó phụ thuộc vào kích thước của con vật, lần mang thai trước và giai đoạn của chu kỳ động dục (Bảng 2.2, Hình 2.5, 2.6).
Bảng 2.2. Hình thái siêu âm tử cung chó trong chu kỳ động dục
Hình thái tử cung | |
Thời kỳ sau của gian đoạn yên tĩnh | Giảm âm đồng đều Thành tử cung và lòng tử cung không có đường kính âm vang từ 3-8mm Khó xác định Âm đạo và cổ tử cung khó phân biệt với thân tử cung |
Giai đoạn trước động dục, động dục, sau động dục và thời kỳ đầu của giai đoạn yên tĩnh | Âm vang lòng tử cung giảm âm 1mm và lớp trong của thành tử cung khác nhau theo vị trí Đường kính lớn hơn 1-3mm so với giai đoạn không động dục Tiêu điểm của cổ tử cung mở rộng với hình dạng “mắt bò” ở mặt cắt ngang vì có nhiều lớp |
Có thể bạn quan tâm!
-
Nguyên Nhân Và Tiến Trình Sinh Bệnh Viêm Tử Cung Ở Chó -
Loài Vi Khuẩn Phân Lập Từ Tử Cung Chó Cái Mắc Viêm Tử Cung -
Những Thuật Ngữ Sử Dụng Trong Siêu Âm -
Tình Hình Nghiên Cứu Bệnh Viêm Tử Cung Ở Chó Trong Và Ngoài Nước -
Phương Pháp Chẩn Đoán Viêm Tử Cung Bằng Siêu Âm -
Thực Trạng Bệnh Viêm Tử Cung Trên Chó Mang Đến Khám Và Điều Trị Tại Phòng Khám
Xem toàn bộ 167 trang tài liệu này.
Nguồn: Yeager & Concannon (1995)
Ở chó đã triệt sản, khối u cơ trơn cổ tử cung thường không rõ ràng và có thể nhìn thấy như một cấu trúc hình ống bị mù giữa bàng quang và đại tràng (Hình 2.7).
Bàng quang chứa đầy nước tiểu hoạt động như một cửa sổ âm để cải thiện hình ảnh tử cung. Vì vậy, không nên để cho chó đi tiểu trước khi tiến hành siêu âm. Tử cung bình thường được định vị tốt nhất bằng cách quét ngang giữa bàng quang tiết niệu và đại tràng. Cổ tử cung và thân tử cung được nhìn thấy theo chiều ngang như một cấu trúc hình bầu dục giảm âm liên tục ở mặt lưng đến bàng quang tiết niệu và bụng đến đại tràng hình lưỡi liềm.

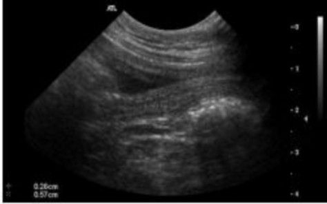
Hình 2.5. Hình ảnh giai đoạn nghỉ ngơi bình thường của giống chó Scottish Terier 6 tuổi
Nguồn: Rachel Pollard & Silke Hecht (2015)

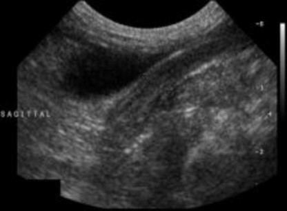
Hình 2.6. Hình ảnh giai đoạn trước động dục ở giống Labrador Retriever 6 tuổi
Nguồn: Rachel Pollard & Silke Hecht (2015)

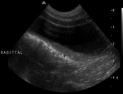
Hình 2.7. Tử cung ở một con chó lai 12 tuổi khỏe mạnh
Chú thích: A: Hình ảnh Sagittal. khối u cơ trơn cơ tử cung xuất hiện như một cấu trúc hình ống giữa bàng quang (UB) và đại tràng. B: Hình ảnh ngang. khối u cơ trơn cơ tử cung (giữa đầu mũi tên)
xuất hiện dưới dạng cấu trúc giảm âm tròn giữa UB và đại tràng.
Nguồn: Rachel Pollard & Silke Hecht (2015)
Nếu coi bàng quang như mặt đồng hồ, thân tử cung sẽ được đặt ở vị trí 5 giờ hoặc 7 giờ, ở một bên hoặc bên còn lại của đại tràng (Hình 2.8). Đặt đầu dò theo chiều ngang, bắt đầu ở giữa bụng và trượt theo chiều dọc cho đến khi hình ảnh ngang của bàng quang tiết niệu xuất hiện.

Hình 2.8. Hình ảnh cắt ngang của thân tử cung vị trí nhìn thấy ở giữa bàng quang tiết niệu (UB) và đại tràng
Nguồn: Rachel Pollard & Silke Hecht (2015)
Cố gắng định vị chính xác đại tràng đầy khí bên dưới bàng quang ở vị trí 6 giờ. Bây giờ hãy hình dung tử cung như một cấu trúc hình trứng nằm giữa bàng quang và đại tràng. Tiếp tục di chuyển cho đến khi hình ảnh của tử cung bị chặn
bởi bóng nhân tạo do xương mu tạo ra, khẳng định đó là thân của tử cung hơn là sừng tử cung. Phép đo (chiều cao, chiều rộng, chiều dày) của thân tử cung trong hình ảnh ngang nên được thực hiện. Thân tử cung nên được đánh giá theo mặt cắt thẳng đứng. Thân tử cung sẽ được định vị theo chiều dọc giữa thành bàng quang và đại tràng đầy khí. Tiếp tục di chuyển theo chiều dọc, hình ảnh tử cung ở vùng tam giác của bàng quang và vùng lưng của niệu đạo. Đánh giá thân tử cung cho sự có mặt hay không có chất lỏng trong lòng tử cung và đặc điểm của thành nội mạc tử cung, thường là mịn và đồng đều. Các phép đo mặt đối xứng dọc của thân tử cung theo hướng dọc và thành nội mạc tử cung nên được tiến hành (Hình 2.9). Các hình ảnh bình thường sẽ thay đổi tùy thuộc vào thời kỳ của chu kỳ động dục, tức là tử cung trong giai đoạn động dục khác với tử cung trong giai đoạn sau động dục.

Hình 2.9. Hình ảnh mặt cắt thẳng đứng dọc ở chính giữa của thân tử cung (con trỏ)
Nguồn: Rachel Pollard & Silke Hecht (2015)
Cổ tử cung nằm ở vị trí hơi hướng lên trên so với vùng tam giác của bàng quang và được nhìn thấy rõ nhất khi dưới nội tiết tố (estrogen hoặc progesterone) thay vì trong quá trình động dục. Cổ tử cung là cấu trúc hình xiên, giảm âm, dài trong quan sát hình ảnh mặt cắt thẳng đứng theo chiều dọc (Hình 2.10). Đường kính của thân tử cung nhỏ hơn so với cổ tử cung và thường kéo dài đến một phần ba của bàng quang.
Sự phân nhánh của tử cung thành hai sừng tử cung đôi khi có thể nhìn thấy được. Sừng tử cung khó được nhìn thấy trừ khi được phát triển bởi tác động của hormone trong chu kỳ động dục, mang thai hoặc từ bệnh lý, tử cung bao gồm 3 lớp: niêm mạc, cơ và thanh mạc.

Hình 2.10. Hình ảnh mặt cắt thẳng đứng ở chính giữa
của cổ tử cung được mô tả bằng một dòng tăng âm (con trỏ)
Nguồn: Rachele & Silke Hecht (2015)
Niêm mạc và cơ tử cung thường không thể phân biệt được ở trạng thái bình thường. Thông thường lòng tử cung thường không được nhìn thấy, mặc dù nó có thể được nhìn thấy như 1 vùng trung tâm sáng, đại diện cho một lượng nhỏ chất nhầy trong lòng ống, hoặc như một chất giảm âm đến vùng không phản xạ nếu có chất lỏng.
Trong giai đoạn nghỉ ngơi, thân tử cung có dạng phẳng không có chất lỏng trong lòng tử cung và không có thay đổi trong nội mạc tử cung (Hình 2.11). Trong thời kỳ tiền động dục và thời kì động dục, tử cung dày hơn do tác động của estrogen, với sự xuất hiện ít dịch trong lòng tử cung (Hình 2.12). Thời kì sau động dục, tử cung dày nhất, với sự phát triển của nội mạc tử cung từ tác động của progesterone (Hình 2.13).

Hình 2.11. Hình ảnh mặt cắt thẳng đứng ở chính giữa của thân tử cung trong giai đoạn nghỉ ngơi (con trỏ)
Chú thích: Tử cung xuất huyết với chất lỏng trong lòng ống.
Nguồn: Rachel Pollard & Silke Hecht (2015)

Hình 2.12. Hình ảnh mặt cắt thẳng đứng ở chính giữa
của thân tử cung trong giai đoạn trước động dục và động dục
Chú thích: Dưới tác động estrogen, chất lỏng được nhìn thấy trong lòng tử cung và tăng nhẹ về kích thước tử cung.
Nguồn: Rachel Pollard & Silke Hecht (2015)






