Tài liệu tham khảo tiếng Anh
20. AI B. Benson, Alan P. Venook, Mahmoud M. AI-Hawary, et al (2022), "NCCN Clinical Practice Guidelines in Oncology: Colon cancer", National Comprehensive Cancer Network.
21. Fred T Bosman, Fátima Carneiro, Ralph H Hruban, et al (2017), WHO Classification of Tumours of the Digestive System, International Agency for Research on Cancer.
22. Huolun Feng, Zejian Lyu, Jaiabin Zheng, et al (2021), "Association of tumor size with prognosis in colon cancer: A Surveillance, Epidemiology, and End Results (SEER) database analysis", Surgery, 169(5), 1116-1123.
23. Knut Holtedahl, Lars Borgquist, Gé A. Donker, et al (2021), "Symptoms and signs of colorectal cancer, with differences between proximal and distal colon cancer: a prospective cohort study of diagnostic accuracy in primary care", BMC Family Practice, 22(1), 148.
24. Al B Benson III, Alan P Venook, Mahmoud M Al-Hawary, et al (2018), "NCCN Guidelines Insights: Colon cancer, Version 2.2018", J Natl Compr Canc Netw, 16(4), 1123-1256.
25. Daria Neyroud, Rachel L. NosackaAndrew R. Judge (2019), "Colon 26 Adenocarcinoma (C26)-Induced Cancer Cachexia Impairs Skeletal Muscle Mitochondrial Function and Content", Journal of Muscle Research and cell Motility, 40(2), 59-65.
26. NS Poudyal, S Chaudhary, BK Basnet, et al (2017), "Colorectal Cancer in Different Age Groups in a Tertiary Hospital in Nepal", JNMA, 56(206), 203-206.
27. Rebecca L Siegel, Kimberrly D MillerAnn Goding Sauer (2020), "Colorectal cancer statistics, 2020", ACS Journals, 70(3), 145 - 164.
Có thể bạn quan tâm!
-
Mối Liên Quan Giữa Triệu Chứng Lâm Sàng Với Vị Trí Khối U -
Mối Liên Quan Giữa Di Căn Với Kích Thước Khối U -
Đặc Điểm Về Xét Nghiệm Chất Chỉ Điểm Khối U -
Nhận xét một số đặc điểm lâm sàng và cận lâm sàng ung thư đại tràng loại biểu mô tuyến tại Bệnh viện Bạch Mai - 9
Xem toàn bộ 77 trang tài liệu này.
28. Elena M Stoffel, Caitlin C Murphy (2020), "Epidemiology and Mechanisms of the Increasing Incidence of Colon and Rectal Cancers in Young Adults", HHS Public Access, 158(2), 341 - 353.
29. Andrew Wolf (2018), "Colorectal cancer screening for average-risk adults: 2018 guideline update from the American Cancer Society", ACS Journals, 68(4), 250 - 281.
30. Monjur Ahmed (2020), "Colon Cancer: A Clinician's Perspective in 2019", Gastroenterology Res, 13(1), 1-10.
31. Farin Amersi, Michelle AgustinClifford Y.Ko (2015), "Colorectal cancer: epidemiology, risk factors, and health services", Clin Colon Rectal Surg, 18(3), 40-133.
32. Maria Arcila, Christopher Lau, Khedoudja Nafa, et al (2016), "Detection of KRAS and BRAF mutations in colorectal carcinoma roles for high- sensitivity locked nucleic acid-PCR sequencing and broad-spectrum mass spectrometry genotyping", J Mol Diagn, 13(1), 64-73.
33. Mary Bates (2018), "A New Fight Against Colon Cancer: As Cancer Rates Rise Among Younger Adults, Researchers Look for New Screening and Treatment Options", IEEE Pulse, 9(1), 24-27.
34. Swati Bisht, Firoz Ahmad, Satyakam Sawaimoon, et al (2014), "Molecular spectrum of KRAS, BRAF, and PIK3CA gene mutation: determination of frequency, distribution pattern in Indian colorectal carcinoma", Med Oncol, 31(9), 124.
35. Giovanni Brandi, Simona Tavolari, Francesco De Rosa, et al (2012), "Antitumoral efficacy of the protease inhibitor gabexate mesilate in colon cancer cells harbouring KRAS, BRAF and PIK3CA mutations", PLoS One, 7(7), 41347.
36. Phillipo L Chalya, Mabula D McHembe, Joseph B Mabula, et al (2013), "Clinicopathological patterns and challenges of management of colorectal cancer in a resource-limited setting: a Tanzanian experience", World J Surg Oncol, 11(4), 88.
37. Quingyu Cheng, Yupeng Wu, Honghai Xia, et al (2021), "RGL2 as an age-dependent factor regulates colon cancer progression", Comput Struct Biotechnol J, 19(2), 2190-2201.
38. Suthat Chottanapund, Kanittha Chamroonsawasdi, Pravich Tunyasitthisundhorn, et al (2021), "Modifiable Factors and Colon Cancer Risk in Thai Population", Asian Pac J Cancer Prev, 22(1), 37- 43.
39. Elena De Falco, L. Luca Pacini, Daniela Bastianelli, et al (2021), "Concomitant Mutations G12D and G13D on the Exon 2 of the KRAS Gene: Two Cases of Women with Colon Adenocarcinoma", Diagnostics (Basel), 11(4), 12 -16.
40. Ioannis Kalantzis, Afroditi Nonni, Kitty Pavlakis, et al (2020), "Clinicopathological differences and correlations between right and left colon cancer", World J Clin Cases, 8(8), 1424-1443.
41. Hye Young Koo, Kyu Joo Park, Jae Hwan Oh, et al (2013), "Investigation of clinical manifestations in korean colorectal cancer patients", Ann Coloproctol, 29(4), 43-139.
42. Jun Liu, Sheng Yang, Ming-Jiang Luo, et al (2019), "Association Between Dietary Patterns and Fluorosis in Guizhou, China", Front Nutr, 6(1), 189.
43. Lucia Mangone, Carmine Pinto, Pamela Mancuso, et al (2021), "Colon cancer survival differs from right side to left side and lymph node harvest number matter", BMC Public Health, 21(1), 906.
44. Aurelien Marabelle, Le Thi Dung, Paolo A. Ascierto, et al (2020), "Efficacy of Pembrolizumab in Patients With Noncolorectal High Microsatellite Instability/Mismatch Repair-Deficient Cancer: Results From the Phase II KEYNOTE-158 Study", J Clin Oncol, 38(1), 1-10.
45. Sonja Marinovic, Anita Skrtic, Tina Catela Ivkovic, et al (2021), "Regulation of KRAS protein expression by miR-544a and KRAS-LCS6
polymorphism in wild-type KRAS sporadic colon adenocarcinoma",
Hum Cell, 34(5), 1455-1465.
46. N Normanno, A M Rachiglio, M Lambiase, et al (2015), "Heterogeneity of KRAS, NRAS, BRAF and PIK3CA mutations in metastatic colorectal cancer and potential effects on therapy in the CAPRI GOIM trial", Ann Oncol, 26(8), 1710-1740.
47. Ibrahim Halil Sahin, Mehmet Akce, Olatunji Alese, et al (2019), "Immune checkpoint inhibitors for the treatment of MSI-H/MMR-D colorectal cancer and a perspective on resistance mechanisms", Br J Cancer, 121(10), 809-818.
48. Claudia Santucci, Paolo Boffetta, Fabio Levi, et al (2021), "Colorectal Cancer Mortality in Young Adults Is Rising in the United States, Canada, United Kingdom, and Australia but Not in Europe and Asia", Gastroenterology, 160(5), 1860-1862.
49. Rosa Schmuck, Michael Gerken, Eva Maria Teegen, et al (2020), "Gender comparison of clinical, histopathological, therapeutic and outcome factors in 185,967 colon cancer patients", Langenbecks Arch Surg, 405(1), 71-80.
50. Xu-Qin Shi, Zhen-Hua Zhu, Shi-Jun Yue, et al (2021), "Studies on blood enrichment and anti-tumor effects of combined Danggui Buxue Decoction, Fe and rhEPO based on colon cancer-related anemia model and gut microbiota modulation", Chin J Nat Med, 19(6), 422-431.
51. Gontar Alamsyah Siregar, Henry Sibarani (2019), "Comparison of Carcinoembryonic Antigen Levels Among Degree of Differentiation and Colorectal Cancer's Location in Medan", Open Access Maced J Med Sci, 7(20), 3447-3450.
52. Ghodratollah Soltani, Arash Poursheikhani, Maryam Yassi, et al (2019), "Obesity, diabetes and the risk of colorectal adenoma and cancer", BMC Endocr Disord, 19(1), 113.
53. Yaolin Song, Lili Wang, Wenwen Ran, et al (2020), "Effect of Tumor Location on Clinicopathological and Molecular Markers in Colorectal Cancer in Eastern China Patients: An Analysis of 2,356 Cases", Front Genet, 11(1), 96.
54. Hyuna Sung, Jacques Ferlay, Rebecca L. Siegel, et al (2021), "Global Cancer Statistics 2020: GLOBOCAN Estimates of Incidence and Mortality Worldwide for 36 Cancers in 185 Countries", CA Cancer J Clin, 71(3), 209-249.
55. Juha P. Vayrynen, Anne Tuomisto, Sara A. Vayrynen, et al (2022), "Preoperative anemia in colorectal cancer: relationships with tumor characteristics, systemic inflammation, and survival", Sci Rep, 8(1), 1126.
CA LÂM SÀNG
1. Bệnh nhân: Vũ Văn T. 59 tuổi, giới tính nam. Mã lưu trữ C18/484
2. Lý do vào viện: Đau bụng, bí trung đại tiện
3. Bệnh sử:
Cách vào viện 4 tháng bệnh nhân xuất hiện đau bụng quanh rốn, đau âm ỉ, có cơn đau quặn. Kèm theo rối loạn đại tiện: táo bón và tiêu chảy xen kẽ. Gầy sút 10kg trong 4 tháng → Bệnh nhân đi khám tại Bệnh viện Bạch Mai, nội soi khung đại tràng thấy có polyp vị trí đại tràng lên, sinh thiết cho kết quả u tuyến ống loạn sản độ thấp.
Cách vào viện 5 ngày, bệnh nhân đau bụng tăng lên. Kèm theo chướng bụng nhiều, 5 ngày chưa đi đại tiện → Nhập viện
4. Tiền sử:
- Bản thân: polyp đại tràng đã cắt cách 3 tháng
- Gia đình: không phát hiện bất thường
5. Khám bệnh lúc vào viện
- Khám toàn thân:
+ Chỉ số toàn trạng PS = 1
+ Thể trạng gầy, BMI = 17,2 kg/m²
+ Không có thiếu máu
+ Không có hạch ngoại biên
+ Các chỉ số sinh tồn trong giới hạn bình thường
- Khám bụng:
+ Bụng chướng hơi, gõ vang
+ Không sờ thấy khối u
+ Gan, lách không sờ thấy
6. Cận lâm sàng
- Nội soi đại tràng

Kết quả:
Vị trí đại tràng gần góc gan có khối sùi lớn, kích thước 3x4cm, chiếm gần hết lòng đại tràng. Bề mặt sần sùi.
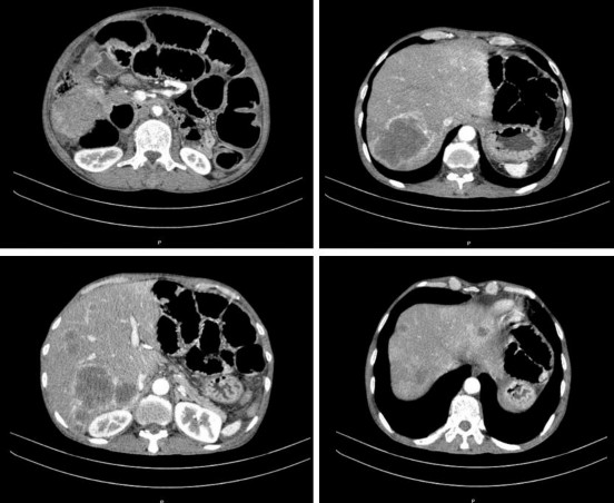
- Cắt lớp vi tính ổ bụng

Kết quả:
Dày thành đại tràng góc gan trên đoạn dài 52mm, vị trí dày nhất ~ 17mm, sau tiêm ngấm thuốc mạnh, giãn đoạn đại tràng lên và ruột non trước tổn thương
Gan: kích thước bình thường, bờ không đều. Nhu mô gan hai bên có các nốt và khối tổn thương, giảm tỷ trọng trước tiêm, sau tiêm ngấm thuốc viền mạnh. Khối lớn kích thước 67 x 70 mm.
Dịch tiểu khung dày nhất 17mm.
- Mô bệnh học: 3 nhân phúc mạc kích thước dưới 0,5cm là ung thư biểu mô tuyến có nguồn gốc từ đại tràng di căn
- Xét nghiệm gen: phát hiện đột biến codon12 gen KRAS, không có đột biến gen BRAF
- Các xét nghiệm máu
+ Tổng phân tích tế bào máu ngoại vi: thiếu máu mức độ nhẹ Hb = 120g/l
+ Sinh hóa máu: chức năng gan trong giới hạn bình thường: hoạt độ AST 32 U/L, hoạt độ ALT 16 U/L
+ Xét nghiệm miễn dịch:
Định lượng CEA: 1000 ng/mL
Định lượng CA 19 – 9: 1000 U/mL
Định lượng AFP: 2,1 ng/mL
7. Chẩn đoán:
- Chẩn đoán xác định: Tắc ruột do u đại tràng phải di căn gan, phúc mạc.
- Chẩn đoán giai đoạn: T4NxM1 (giai đoạn IV)




