Bảng 4.6 Tốc độ tăng trưởng (g/ngày) của cá trê phi theo phương pháp cho cá ăn thức ăn có trộn MT với nồng độ hormon khác nhau.
Thống kê thí nghiệm
Nồng độ MT (mg/kg)
30 60 90 120 Đối chứng
Đợt1
Ban đầu T.Lượng (g/con) 0,04 ± 0,003 0,04 ± 0,003 0,04 ± 0,003 0,04 ± 0,003 0,04 ± 0,003
T.Lượng (g/con) 0,74 ± 0,10a 0,80 ± 0,20a 0,98 ± 0,11a 0,79 ± 0,13a 1,07 ± 0,18a
21 ngày
DWG (g/ngày) 0,03 ± 0,01 a 0,04 ± 0,01 a 0,04 ± 0,01 a 0,03 ± 0,01 a 0,05 ± 0,01 a
T.Lượng (g/con) 47,78 ± 8,24b 52,69 ± 7,67a 52,01 ± 7,89a 54,78 ± 4,33a 37,85 ± 4,58c
100 ngày
DWG (g/ngày) 0,60 ± 0,11ab 0,67 ± 0,10 b 0,66 ± 0,10 b 0,69 ± 0,06 b 0,48 ± 0,06 a
Ban đầu T.Lượng (g/con) | 0,04 ± 0,003 | 0,04 ± 0,003 | 0,04 ± 0,003 | 0,04 ± 0,003 | 0,04 ± 0,003 | |
Đợt 2 | 21 ngày T.Lượng (g/con) DWG (g/ngày) | 1,03 ± 0,20 0,05 ± 0,01 a | 0,91 ± 0,32 0,04 ± 0,02 a | 1,10 ± 0,48 0,05 ± 0,02 a | 4,12 ± 2,17 0,19 ± 0,11a | 0,80 ± 0,31 0,04 ± 0,01 a |
Có thể bạn quan tâm!
-
Nghiên cứu sản xuất cá trê phi Clarias gariepinus (Burchell, 1822) đực bằng Hormone 17-α Methyltestosterone - 2 -
Một Số Kết Quả Nghiên Cứu Chuyển Giới Tính Của Cá -
Khảo Sát Một Số Yếu Tố Môi Trường Nghiên Cứu. -
Các Yếu Tố Môi Trường Trong Nghiên Cứu Sản Xuất Cá Trê Phi Đực -
Tỉ Lệ Sống Của Cá Trê Phi Với Phương Pháp Ăn Mt -
Nghiên cứu sản xuất cá trê phi Clarias gariepinus (Burchell, 1822) đực bằng Hormone 17-α Methyltestosterone - 8
Xem toàn bộ 76 trang tài liệu này.
100 ngày T.Lượng (g/con) 12,19 ± 2,28 10,58 ± 5,56 10,83 ± 4,21 13,81 ± 6,00 8,54 ± 2,97
DWG (g/ngày) 0,15 ± 0,03 a 0,13 ± 0,07 a 0,14 ± 0,06 a 0,17 ± 0,08 a 0,11 ± 0,04 a
Ghi chú: Trong cùng một cột, các giá trị có kí tự khác nhau thì sai khác về thống kê (P<0,05).
Đánh giá chung: Từ sự phân tích và so sánh như trên có thể nhận định rằng 17-α Methyltestosterone đã có tác dụng tới sự sinh trưởng của cá, nhưng tác dụng này chỉ thể hiện rò sau khi cá đã hoàn tất các chức năng sinh lí của cơ thể (hết giai đoạn cá hương). Như vậy MT không những có tác dụng làm cho cá cái sinh trưởng nhanh (do tuyến sinh dục không phát triển) mà còn có tác dụng kích thích sự sinh trưởng của cá ở các nghiệm thức diễn ra nhanh hơn. Tuy nhiên tốc độ tăng trưởng của cá vẫn còn phụ thuộc vào mật độ nuôi.
4.3.3 Tỉ lệ đực hóa của cá sau 100 ngày ương.
Kết quả tỉ lệ cá đực thu được (bảng 4.7) luôn cao hơn cá cái. Nghiệm thức đối chứng có tỉ lệ đực 43,56% (ở đợt 1) và 47,32 (ở đợt 2) gần tương đương với tỉ lệ 1:1 trong tự nhiên. Tế bào sinh dục của cá cái ở các nghiệm thức xử lí MT sau khi nhuộm Aceto - carmin và quan sát đã cho kết quả đực hóa 100%.
Kết quả phân tích cho thấy giá trị χ2 là 1 và mức ý nghĩa quan sát là 0,317 (P>0,05). Do đó có thể chấp nhận giả thiết tỉ lệ đực của cá ở các nghiệm thức là tương đương nhau 100%.
Bảng 4.7 Tỉ lệ đực của cá trê phi thu được sau 100 ngày ương bằng phương pháp trộn MT với nồng độ hormon khác nhau.
Thống kê thí nghiệm
Nồng độ MT (mg/kg)
30 60 90 120 Đối chứng
300 | 300 | 300 | 300 | 300 | |
Tổng số cá thu (con) | 89 | 65 | 61 | 66 | 101 |
Đợt 1 Số cá cái (con) | 3 | 28 | 20 | 20 | 57 |
Số cá cái giải phẫu (con) | 3 | 20 | 20 | 20 | 40 |
Tỉ lệ cá đực (%) | 100a | 100a | 100a | 100a | 43,56b |
Tổng số cá ban đầu (con) | 300 | 300 | 300 | 300 | 300 |
Đợt 2 Tổng số cá thu (con) | 36 | 30 | 24 | 13 | 112 |
Số cá cái (con) | 21 | 14 | 15 | 6 | 59 |
Số cá cái giải phẫu (con) | 21 | 14 | 15 | 6 | 40 |
Tỉ lệ cá đực (%) | 100a | 100a | 100a | 100a | 47,32b |
Ghi chú: Số cá cái là số cá thu được qua phân loại theo dấu hiệu sinh dục phụ.
4.4 Kết quả đực hóa cá trê phi có ngày tuổi khác nhau khi ăn thức ăn có trộn hormon MT.
4.4.1 Tỉ lệ sống của cá sau 21 và 100 ngày nuôi.
Bảng 4.8 Tỉ lệ sống của cá trê phi sau 21 và 100 ngày cho ăn thức ăn có trộn 60mg MT/kg thức ăn.
Ngày tuổi xử lí MT Thời gian nuôi
21 ngày 100 ngày
15,00 ± 2,65 a | 13,67 ± 2,08 a | |
8 ngày | 30,67 ± 9,5ab | 24,00 ± 6,08 ab |
9 ngày | 26,67 ± 11,06 ab | 22,00 ± 8,00 ab |
10 ngày | 39,33 ± 11,68b | 27,33 ± 8,08bc |
Đối Chứng | 59,33 ± 13,05c | 37,67 ± 8,33c |
Ghi chú: Trong cùng một cột, các giá trị có kí tự khác nhau thì sai khác về thống kê (P<0,05).
Kết quả phân tích ANOVA, tỉ lệ sống của cá ở nghiệm thức 1 (7 ngày tuổi) thấp nhất (15%) và sai khác với nghiệm thức 4 (cá 10 ngày tuổi) với giá trị tương ứng (39,33%). Tỉ lệ sống của cá ở nghiệm thức đối chứng cao nhất (59,33%).
Sau 100 ngày nuôi, tỉ lệ sống của cá ở các nghiệm thức đều giảm so với giai đoạn 21 ngày tuổi, và chỉ có sự sai biệt về tỉ lệ sống của cá ở nghiệm thức 1 (7 ngày tuổi) với nghiệm thức 4 (10 ngày tuổi).
Tóm lại: Tỉ lệ sống của cá trong thí nghiệm này tăng dần theo ngày tuổi, điều đó chứng tỏ khả năng thích nghi của cá tăng khi cá phát triển tới một giai đoạn nào đó. Đối với cá trê phi, khi được 10 ngày tuổi thì cơ quan tiêu hóa của cá đã hoàn chỉnh và khả năng thích nghi của cá cũng cao hơn so với cá có ngày tuổi thấp hơn, từ đó khả năng sử dụng thức ăn của cá cũng tốt hơn dẫn đến tỉ lệ sống của cá cao hơn.
4.4.2 Tăng trưởng bình quân g/ngày của cá sau 21 và 100 ngày nuôi.
Bảng 4.9 Tăng trưởng (g/ngày) của cá có ngày tuổi khác nhau ăn MT với nồng độ
60 mg/kg thức ăn.
Thống kê thí nghiệm
Ngày tuổi xử lí MT 7 ngày 8 ngày 9 ngày 10 ngày Đối chứng
Ban đầu Trọng lượng (g/con) 0,04 ± 0,003 0,04 ± 0,003 0,04 ± 0,003 0,04 ± 0,003 0,04 ± 0,003
21 ngày tuổi Trọng lượng (g/con) 4,12 ± 2,17 1,69 ± 0,23 1,05 ± 0,16 1,59 ± 0,21 1,07 ± 0,30
DWG (g/ngày) 0,19 ± 0,11 a 0,08 ± 0,01a 0,05 ± 0,01 a 0,07 ± 0,01 a 0,05 ± 0,02 a
100 ngày tuổi Trọng lượng (g/con) 29,15 ± 4,45 26,32 ± 3,50 21,95 ± 2,88 23,95 ± 6,59 10,58 ± 5,56
DWG (g/ngày) 0,37 ± 0,06 a 0,33 ± 0,05 a 0,28 ± 0,04 a 0,30 ± 0,08 a 0,13 ± 0,07a
Ghi chú: Trong cùng một cột, các giá trị có kí tự khác nhau thì sai khác về thống kê (P<0,05).
Kết quả thí nghiệm đã ghi nhận, tại thời điểm 21 ngày tuổi tốc độ sinh trưởng về khối lượng của cá giảm dần khi ngày tuổi của cá bố trí thí nghiệm tăng dần.Tốc độ sinh trưởng về khối lượng của cá ở nghiệm thức 1 (7 ngày tuổi) nhanh nhất (0,19 g/ngày) và có sự khác biệt so với các nghiệm thức còn lại. Tuy nhiên sinh trưởng nhanh của cá ở nghiệm thức này là do tỉ lệ sống của cá thấp nhất (15,0%).
Tại thời điểm 100 ngày (kết thúc thí nghiệm) thì tốc độ sinh trưởng của cá ở các nghiệm thức diễn ra tương tự như giai đoạn 21 ngày tuổi nhưng lại không có sự sai biệt (p>0,05).
Ở cả hai giai đoạn (21 ngày và 100 ngày tuổi) tốc độ sinh trưởng của cá ở nghiệm thức đối chứng là thấp nhất với các giá trị lần lượt 0,05 – 0,13 (g/ngày).
Mặc dù kết quả thí nghiệm cho kết quả về sinh trưởng của cá giảm dần khi ngày tuổi của cá được xử lí hormon tăng. Nhưng rất có thể tốc độ sinh trưởng của cá ở thí nghiệm này không chịu tác động trực tiếp của MT mà chủ yếu chịu tác động của tỉ lệ sống của cá ở các nghiệm thức, vì khi cùng điều kiện ương nuôi thì tốc
độ sinh trưởng của cá giảm khi mật độ của cá tăng (Nguyễn Văn Kiểm, 2000). Hurk và ctv (1989) cũng cho biết chưa thể xác định một cách chính xác mối liên quan giữa ngày tuổi của cá được xử lí hormon với sự tăng trưởng nhanh hay chậm của cá.
4.4.3 Tỉ lệ đực hóa của cá sau 100 ngày ương.
Tỉ lệ cá cái thu được ở các nghiệm thức thí nghiệm dao động từ (34,1% - 30,5%) so với tổng số cá thu được. Riêng nghiệm thức 3 (cá 9 ngày tuổi) có tỉ lệ cá cái thấp nhất là 7,51%. Nguyên nhân có thể do một số cá cái ở các nghiêm thức thí nghiệm đã bị chết trong quá trình ương nuôi. Còn tỉ lệ cá cái ở nghiệm thức đối chứng là 52,68%, có thể coi tỉ lệ đực/cái như vậy tương đương với qui luật tự nhiên.
Kết quả kiểm tra sự đực hóa của những cá cái này (100% cá giải phẫu) đã cho kết quả tỉ lệ đực khá cao: Tỉ lệ đực của cá 7 ngày tuổi là 92,68%, cá 8 ngày tuổi là 93,06% và 10 ngày tuổi là 96,34%. Tỉ lệ đực của cá trê phi ở thí nghiệm này có thể coi tương đương với kết quả chuyển giới tính cá rô phi của Phạm Minh Truyền và ctv (2006).
Tỉ lệ đực hóa ở cá 9 ngày tuổi là 100%, nhưng kết quả này chưa phản ánh đúng với kết quả chung vì số cá cái còn lại quá ít. Để kết quả khách quan hơn cần phải lập lại nghiên cứu này.
Bảng 4.10 Tỉ lệ đực của cá trê phi thu được sau 100 ngày ương bằng phương pháp cho cá có ngày tuổi khác nhau ăn hormon MT.ng phương pháp cho cá có ngày tuổi khác nhau ăn hormon MT.
Thống kê thí nghiệm
Ngày tuổi xử lí 7 ngày 8 ngày 9 ngày 10 ngày Đối chứng
Tổng số cá ban đầu (con) | 300 | 300 | 300 | 300 | 300 |
Tổng số cá thu (con) | 41 | 72 | 66 | 82 | 112 |
Số cá cái (con) | 14 | 22 | 5 | 25 | 59 |
Số cá cái giải phẫu (con) | 14 | 22 | 5 | 25 | 40 |
Tỉ lệ cá đực (%) | 92,68a | 93,06a | 100a | 96,34a | 47,32b |
4.5 Hình thái và tổ chức học của tuyến sinh dục cá trê phi sau khi xử lí hormon.
Trước khi giải phẩu, toàn bộ cá được phân loại theo dấu hiệu sinh dục phụ (hình 4.4). Cá trê phi đực và cá trê phi cái dễ dàng phân biệt qua dấu hiệu sinh dục phụ như: cá đực có gai sinh dục rò ràng, nằm ngay phía sau hậu môn, cá cái không có gai sinh dục. Kết quả đã ghi nhận: hình thái tuyến sinh dục cá đực và cá cái của cá được xử lý MT tương tự như tuyến sinh dục của cá ở nghiệm thức đối chứng.
Sau khi phân loại theo hình thái bên ngoài, tiến hành giải phẫu và quan sát hình thái tuyến sinh dục một số cá đực và cá cái ở nghiệm thức đối chứng làm cơ sở đối chiếu với tuyến sinh dục cá cái ở nghiệm thức xử lý hormone. Hình thái của
tuyến sinh dục cá đực và cá cái ở nghiệm thức đối chứng và nghiệm thức có xử lí MT tương tự nhau (hình 4.5). Sự khác nhau chỉ thể hiện rò ở mức độ mô học.
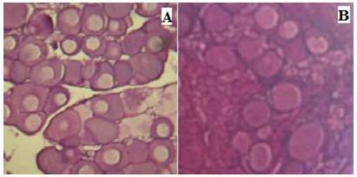
Đối với cá đực : Khi nhuộm Aceto-carmin thì các tế bào sinh dục đực là những chấm nhỏ nằm sát nhau và khó phân biệt đặc điểm của tế bào sinh dục đực có xử lí hormon với tế bào sinh dục đực của cá ở nghiệm thức đối chứng.
Tế bào sinh dục của cá cái ở nghiệm thức thí nghiệm khi nhuộm Aceto-carmin và quan sát dưới kính hiển vi thì phân biệt tương đối rò tế bào sinh dục của cá cái không có tác động của hormone với tế bào sinh dục của cá cái có tác động của hormone: Tế bào sinh dục cái của cá có tác động của hormone cũng có dạng tương tự các tế bào sinh dục cái bình thường của cá nhưng các tế bào này không rò nhân ở giữa hoặc màng nhân rất mờ (hình 4.6B). Còn tế bào trứng của cá ở nghiệm thức đối chứng thì nhân rất rò và có hình tròn, màng nhân cũng rất rò ràng (Hình 4.6A).

Hình 4.4 Tuyến sinh dục cá trê phi của nghiệm thức đối chứng

Hình 4.5 Mô tuyến sinh dục của cá trê đực ở NT đối chứng (A), (B) đặc điểm tế bào trứng của cá trê cái ở NT đối chứng (Quan sát dưới vật kính 40X)

Hình 4.6 (A) tế bào trứng của cá trê phi đối chứng; (B) đặc điểm tế bào trứng của cá trê phi cái đã chịu tác động của MT (quan sát dưới vật kính 40X).
5.1 Kết luận
CHƯƠNG 5
KẾT LUẬN VÀ ĐỀ XUẤT
1. Sản xuất cá trê phi đực bằng phương pháp ngâm cá trong môi trường có MT với nồng độ 3, 5, 7 (mg/kg thức ăn) thời gian ngâm 3 ngày và 100 ngày ương (2 giai đoạn ương). Kết quả tỉ lệ sống của cá giảm dần khi nồng độ hormon MT trong môi trường tăng dần. Tốc độ sinh trưởng về khối lượng (g/ngày) của cá ở các nghiệm thức khác biệt không có ý nghĩa thống kê (P>0,05) và tỉ lệ đực của cá từ 93,85 – 100%.
2. Sản xuất cá trê phi đực bằng phương pháp trộn MT vào trong thức ăn với nồng độ 30, 60, 90, 120 (mg/kg thức ăn) và thời gian cho ăn liên tục 21 ngày. Kết quả tỉ lệ sống của cá (21 và 100 ngày ương) cũng giảm dần khi nồng độ MT trong thức ăn tăng dần. Tốc độ sinh trưởng về khối lượng (g/ngày) của cá giữa các nghiệm thức nồng độ khác biệt không có ý nghĩa thống kê và tỉ lệ đực của cá là 100%.
3. Sản xuất cá trê phi đực với phương pháp cho cá có ngày tuổi khác nhau ăn thức ăn có trộn 60 (mg/kg) (thời gian xử lí 21 ngày). Kết quả sau 100 ngày ương: Tỉ lệ sống của cá tăng dần theo ngày tuổi tăng. Tốc độ sinh trưởng của cá giữa các nghiệm thức khác biệt không có ý nghĩa thống kê và tỉ lệ đực dao động từ 92,68 – 96,34%.
4. Hình thái tuyến sinh dục của cá cái Trê phi sau khi xử lí MT tương tự như tuyến sinh dục của cá cái bình thường, nhưng về tổ chức mô học có sự khác biệt. Tế bào trứng không chịu tác động của hormon MT có nhân rò ràng, trong khi đó tế bào trứng của những cá chịu tác động của hormon MT nhân không rò ràng, màng nhân không phân biệt rò với khối tế bào chất bao quanh
5.2 Đề xuất
Tiếp tục lập lại các thí nghiệm của đề tài.
TÀI LIỆU THAM KHẢO
Đặng Khánh Hồng, 2006. Thử nghiệm sản xuất cá rô đồng Anabas testudineus toàn cái. Luận văn tốt nghiệp cao học. Ngành Nuôi Trồng Thủy Sản. Trường Đại Học Cần Thơ.
Huỳnh Văn Dứt, 2005. Nghiên cứu chế biến khô cá trê phi. Khoa Nông Nghiệp – Tài Nguyên Thiên Nhiên. Trường Đại học An Giang.
Lê Hoàn Hảo, 2009. Thử nghiêm sử dụng hormone 17-α Methyltestosterone trong sản xuất cá bảy màu (Poecilia reticulate, Peter 1859) siêu đực. Khoa Khoa học Nông Nghiệp. Trường Đại học Cửu Long.
Lê Thị Bình, 1998. Kết quả bước đầu nghiên cứu ảnh hưởng của 17α - Methyltestosterone lên cá bảy màu (Poecilia sp). Tuyển tập báo cáo khoa học tại hội thảo khoa học toàn quốc về nuôi trồng thủy sản (29 – 30/09/1998). Viện nghiên cứu nghiên cứu nuôi trồng thủy sản I. Bắc Ninh
– 2000.
Lê Văn Thắng và Phạm Anh Tuấn, 1998. Nghiên cứu chuyển giới tính cá rô phi Oreochromis niloticus bằng phương pháp ngâm trong dung dịch hormone 17-α Methyltestosterone. Tuyển tập báo cáo khoa học tại hội thảo khoa học toàn quốc về nuôi trồng thủy sản (29 – 30/09/1998). Viện nghiên cứu nghiên cứu nuôi trồng thủy sản I.Bắc Ninh – 2000.
Liêm, P.T., A.B.Abol-Munafi, M.A.Ambak, S.S.Siraj và Đ.N.Phương, 2008. Khả năng kháng bệnh của cá trê lai (Clarias macrocephalus x Clarias gariepinus) thế hệ F1 và con lai sau F1 với vi khuẩn Aeromonas hydrophila. Tạp chí Khoa học. Trường Đại Học Cần Thơ. Quyển 1:195- 203.
Lương Tuấn Kiệt, 1993. Nghiên cứu bước đầu về khả năng tạo thế hệ con toàn trống ở hai loài cá đá: cá xiêm (Betta splendens) và cá lia thia (Macropodus opercularis). Khoa học Nông Nghiệp. Đại học tổng hợp Tp.HCM.
Ngô Trọng Lư và Thái Bá Hồ, 2003. Kỹ thuật nuôi thủy đặc sản nước ngọt, tập I. Nhà xuất bản Nông Nghiệp Hà Nội.
Nguyễn Thanh Tuyền, 2008. Ảnh hưởng của β - Estradiol đến sinh trưởng, tỷ lệ sống và tỷ lệ đơn tính cái ở cá mè vinh (Barbodes gonionotus). Khoa Thủy Sản, trường Đại học Cần Thơ.
Nguyễn Thị Thanh Thúy, 1997. Ảnh hưởng của Methyltestosterone đến sự chuyển đổi giới tính ở cá xiêm (Betta splendens). Khoa Thủy Sản. Đại học Nông Lâm Tp.HCM.






