
Hình 3.7: Biến chứng vỡ ruột thừa trên CLVT
3.2. GIÁ TRỊ CHẨN ĐOÁN CỦA CHỤP CLVT
3.2.1. So sánh CLVT với thang điểm Alvarado
Bảng 3.7: So sánh CLVT với thang điểm Alvarado
VRT | TD VRT | Không VRT | Tổng | |
VRT | 26 | 26 | 5 | 57 |
TD VRT | 26 | 20 | 11 | 57 |
Không VRT | 1 | 1 | 1 | 3 |
Tổng | 53 | 47 | 17 | 117 |
Có thể bạn quan tâm!
-
Sử Dụng Thang Điểm Alvarado Trong Chẩn Đoán Vrtc -
Clvt Có Tiêm Thuốc Cản Quang Trên Bệnh Nhân Vrtc [35] -
Ruột Thừa Ở Vị Trí Sau Manh Tràng, Trong Lòng Có Sỏi Phân -
Giá Trị Của Clvt Trong Chẩn Đoán Vị Trí Ruột Thừa -
Nghiên cứu đặc điểm hình ảnh và giá trị của cắt lớp vi tính đa dãy trong chẩn đoán viêm ruột thừa cấp - 8 -
Nghiên cứu đặc điểm hình ảnh và giá trị của cắt lớp vi tính đa dãy trong chẩn đoán viêm ruột thừa cấp - 9
Xem toàn bộ 86 trang tài liệu này.
Nhận xét:
- Có 114 trường hợp được chẩn đoán và theo dõi VRTC trên CLVT. Trong đó:
16 bệnh nhân có điểm Alvarado 1-4
46 bệnh nhân điểm Alvarado 5-6
52 bệnh nhân điểm Alvarado 7-10
Bảng 3.8: Giá trị của thang điểm Alvarado trong chẩn đoán VRTC
VRT | Không VRT | Tổng | |
Dương tính | 100 | 0 | 100 |
Âm tính | 16 | 1 | 17 |
Tổng | 116 | 1 | 117 |
Nhận xét: Giá trị của thang điểm Alvarado trong chẩn đoán VRTC là: Độ nhạy Se = 100/116 = 86,2%
Độ đặc hiệu Sp = 1/1
Độ chính xác Acc = 101/117 = 86,3%
3.2.2. So sánh CLVT với siêu âm
Bảng 3.9: So sánh chụp CLVT với siêu âm
VRT | TD VRT | Không VRT | Tổng | |
VRT | 0 | 38 | 16 | 54 |
TD VRT | 0 | 40 | 14 | 54 |
Không VRT | 0 | 1 | 2 | 3 |
Tổng | 0 | 79 | 32 | 111 |
Nhận xét: Trong 111 trường hợp có kết quả siêu âm được nghiên cứu:
- Không có trường hợp nào kết luận VRTC trên siêu âm
- Trong 54 bệnh nhân chẩn đoán VRTC trên CLVT, có 16 bệnh nhân có kết quả siêu âm bình thường
- 54 trường hợp TD VRTC trên CLVT có 14 ca chẩn đoán bình thường trên siêu âm.
Bảng 3.10: Giá trị của siêu âm trong chẩn đoán VRTC
VRT | Không VRT | Tổng | |
Dương tính | 79 | 0 | 79 |
Âm tính | 32 | 0 | 32 |
Tổng | 111 | 0 | 111 |
Nhận xét: Có 79 bệnh nhân có kết quả theo dõi VRT, 32 bệnh nhân có kết quả siêu âm bình thường. 111 người đều có GPB VRTC. Giá trị của siêu âm trong chẩn đoán VRTC:
Độ nhạy Se = 79/111 = 71,2%
Độ chính xác Acc = 79/111 = 71,2%
3.2.3. Giá trị chẩn đoán của chụp CLVT
3.2.3.1. Kết luận của CLVT
Bảng 3.11: Kết luận của CLVT
Bệnh nhân | Tỉ lệ (%) | |
VRTC | 114 | 97,4 |
Bình thường | 3 | 2,6 |
Tổng | 117 | 100 |
Nhận xét: Tỉ lệ bệnh nhân được chẩn đoán viêm ruột thừa cấp cao, chiếm tới 97,4%. Còn lại 2,6% không xác định được VRT trên phim cắt lớp vi tính.
Vị trí ruột thừa | Bệnh nhân | Tỉ lệ (%) |
Đúng vị trí | 98 | 83,8 |
Sai vị trí | 19 | 16,2 |
Tổng | 117 | 100 |
3.2.3.2. Giá trị của CLVT trong chẩn đoán vị trí ruột thừa Bảng 3.12: Đánh giá vị trí của ruột thừa
Nhận xét: Tỉ lệ chẩn đoán đúng vị trí ruột thừa của CLVT khá cao với 98 bệnh nhân, tức có 83,8% được chẩn đoán đúng với kết quả phẫu thuật.
GPB CLVT | RT tăng KT | RT không tăng KT | Tổng |
Dương tính | 90 | 22 | 112 |
Âm tính | 3 | 2 | 5 |
Tổng | 93 | 24 | 117 |
3.2.3.3. Giá trị của CLVT trong chẩn đoán đường kính ruột thừa Bảng 3.13: Giá trị của CLVT trong chẩn đoán đường kính ruột thừa
Nhận xét: Trên CLVT có 112 bệnh nhân được chẩn đoán có tăng kích thước đường kính ruột thừa. Trong đó:
- Đường kính ≥7mm có 90 bệnh nhân được xác định trên giải phẫu bệnh
- Đường kính ruột thừa <7mm có 22 bệnh nhân
Trong 5 bệnh nhân không có tăng kích thước ruột thừa trên CLVT, có 3 bệnh nhân có kết quả GPB ≥7mm.
Giá trị dự báo dương tính: PPV = 90/112 = 80,4% Giá trị dự báo âm tính: NPV = 2/5
Độ nhạy Se = 90/93 = 96,8% Độ đặc hiệu Sp = 2/24
Độ chính xác Acc = 92/117 = 78,6%
Phẫu thuật CLVT | Có vỡ RT | Không vỡ RT | Tổng |
Dương tính | 4 | 1 | 5 |
Âm tính | 7 | 105 | 112 |
Tổng | 11 | 106 | 117 |
3.2.3.4. Giá trị của CLVT trong chẩn đoán biến chứng vỡ RT Bảng 3.14: Giá trị của CLVT trong chẩn đoán biến chứng vỡ RT
Nhận xét: Có 5 trường hợp được chẩn đoán vỡ ruột thừa trên CLVT, tuy nhiên chỉ 4 trường hợp có vỡ thực sự. Có 7 bệnh nhân vỡ ruột thừa trên thực tế nhưng không phát hiện được trên CLVT.
Giá trị dự báo dương tính: PPV = 4/5
Giá trị dự báo âm tính: NPV = 105/112 = 93,8% Độ nhạy Se = 4/11
Độ đặc hiệu Sp = 105/106 = 99,1% Độ chính xác Acc = 93,2%
3.2.3.5. Giá trị của CLVT trong chẩn đoán VRTC
Bảng 3.15: Giá trị của CLVT trong chẩn đoán VRTC
VRT | Không VRT | Tổng | |
Dương tính | 113 | 1 | 114 |
Âm tính | 3 | 0 | 3 |
Tổng | 116 | 1 | 117 |
Nhận xét: Trong 117 trường hợp nghiên cứu, có 114 bệnh nhân có chẩn đoán trên CLVT là VRTC hoặc theo dõi VRTC. 1 bệnh nhân có kết luận CLVT là VRTC nhưng GPB không tương ứng. Có 3 bệnh nhân được kết luận không VRT nhưng GPB xác nhận có VRTC. Do đó tính được:
Giá trị dự báo dương tính: PPV = 113/114 = 99,1% Độ nhạy: Se = 113/116 = 97,4%
Độ chính xác Acc = 113/117 = 96,6%

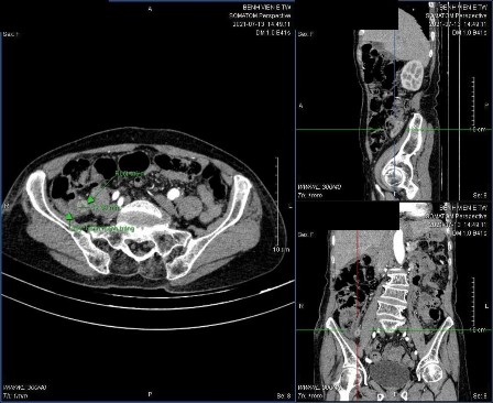
Hình 3.8: BN Nguyễn Thị X. được chẩn đoán VRTC trên CLVT
Bệnh nhân Nguyễn Thị X. 72 tuổi, mã BA 2115246. Kết quả GPB ung thư manh tràng.
Chương 4 BÀN LUẬN
4.1. BÀN LUẬN VỀ ĐẶC ĐIỂM HÌNH ẢNH CLVT Ở BỆNH NHÂN VRTC
4.1.1. Đặc điểm chung
4.1.1.1. Phân bố bệnh theo tuổi
Theo các nghiên cứu trước đó, VRTC có thể gặp ở mọi lứa tuổi. Trong nghiên cứu này, bệnh nhân nhỏ tuổi nhất là 5, lớn tuổi nhất là 86, tuổi trung bình là 40,1±20,8. Nhóm tuổi có tỉ lệ VRTC cao nhất là trên 50 tuổi (32,5%), nhóm có tỉ lệ VRT thấp nhất là nhóm dưới 15 tuổi (12,8%).
Trong nghiên cứu của Trần Thị Giang tuổi trung bình VRTC là 35,03, độ tuổi thường gặp nhất là 15-30 tuổi chiếm 52,5% [4]. Một nghiên cứu khác của Nguyễn Thị Thiên Kim cho thấy nhóm tuổi chiếm tỉ lệ cao nhất là 30-50 tuổi với 56,8%[7].
Sự khác biệt giữa độ tuổi phát hiện VRTC trong nghiên cứu của chúng tôi và các nghiên cứu trên do sự khác biệt về tiêu chuẩn chọn mẫu, số lượng mẫu được chọn, địa điểm thực hiện nghiên cứu.
Tuy có sự khác biệt về phân bố nhóm tuổi nhưng các nghiên cứu có chung kết quả nhóm tuổi ít có VRTC nhất là <15 tuổi. Trong nghiên cứu của chúng tôi tỉ lệ này là 12,8%. Nguyên nhân dẫn đến điều này có thể do ở lứa tuổi nhỏ, các nang bạch huyết chưa phát triển, ruột thừa viêm thường do nguyên nhân nhiễm khuẩn. Mặt khác, ở tuổi trưởng thành, các nang bạch huyết đã phát triển đầy đủ và nguyên nhân chính dẫn đến VRTC ở lứa tuổi này là do tắc nghẽn trong lòng ruột thừa. Ở những người già (>50 tuổi) các triệu chứng lâm sàng thường không rõ ràng, kết hợp với kết quả siêu âm không khẳng định được do khó khảo sát ở những người có thể trạng béo, thừa cân dẫn đến việc cần chụp cắt lớp vi tính để khẳng định chẩn đoán. Do vậy nhóm tuổi có tỉ lệ viêm ruột thừa cấp cao nhất trong nghiên cứu của chúng tôi là trên 50 tuổi.
4.1.1.2. Phân bố bệnh nhân theo giới tính
Theo Trần Thị Giang, VRTC ở nam chiếm 52,5%, nữ chiếm 47,5%[4]. Theo Nguyễn Thị Thiên Kim: nam 65,4%, nữ 34,6%, tỉ lệ nam/nữ = 1,5/1[7]. Nghiên cứu của Mohamad Tufail Sheikh cho kết quả: nam 55%, nữ 45%, tỉ lệ nam/nữ = 1,2/1 [36]. Một nghiên cứu khác của John B. Harringa chỉ ra nam chiếm 45%, nữ chiếm 55%, tỉ lệ nam/nữ = 1/1,2 [30].
Nghiên cứu của chúng tôi có 52 nam (44,4%) và 65 nữ (55,6%), tỉ lệ nam/nữ = 1/1,25. Sự khác biệt giữa tỉ lệ nam và nữ ở nghiên cứu của chúng tôi và các nghiên cứu ở trên có thể do sự khác nhau về tiêu chuẩn lựa chọn và số lượng đối tượng nghiên cứu.
Từ các kết quả trên có thể thấy rằng VRTC không phụ thuộc vào giới tính của bệnh nhân.
4.1.2. Đặc điểm vị trí ruột thừa trên CLVT
Kết quả nghiên cứu của chúng tôi cho thấy ruột thừa ở vị trí bình thường có (HCP) 81/117 bệnh nhân, chiếm 69,2%, ruột thừa ở vị trí sau manh tràng có 19 bệnh nhân tương đương 16,2%. Ruột thừa ở tiểu khung có tỉ lệ 12% (14 người). Hiếm gặp các trường hợp ruột thừa ở vị trí dưới gan hay ở các vị trí khác trong ổ bụng.
Theo nghiên cứu của Dương Văn Hải và Trần Vĩnh Hưng (2016), ruột thừa ở vị trí hố chậu phải chiếm 38,9%, sau manh tràng là 19,1%, sau hồi tràng chiếm 19,7% [5]. Một nghiên cứu khác của Trần Thị Hoàng Ngâu và Nguyễn Văn Hải vào năm 2017 cho thấy vị trí ruột thừa thường gặp ở dưới manh tràng với 45,5%, tiếp theo là ở hố chậu phải với 18,5%, ruột thừa ở sau manh tràng chiếm 9,7% [9].
Sự khác biệt giữa nghiên cứu của chúng tôi và các nghiên cứu vừa nêu có thể do sự khác nhau về tiêu chuẩn lựa chọn, tiêu chuẩn đánh giá và số lượng các đối tượng nghiên cứu.
Như vậy, trong nghiên cứu của chúng tôi tỉ lệ RT ở vị trí bất bình thường chiếm 31,8%, ruột thừa ở vị trí sau manh tràng, tiểu khung, dưới gan và vị trí khác trong ổ bụng gây khó khăn trong chẩn đoán. Có thể thấy rằng,


![Clvt Có Tiêm Thuốc Cản Quang Trên Bệnh Nhân Vrtc [35]](https://tailieuthamkhao.com/uploads/2024/03/19/nghien-cuu-dac-diem-hinh-anh-va-gia-tri-cua-cat-lop-vi-tinh-da-day-trong-4-1-120x90.jpg)



