3.2.3. Hội chứng tăng tiết androgène (Apert – Gallais)
- Có 1 trường hợp bệnh nhi nữ 10 tuổi, đặc trưng bởi sự thay đổi đặc thù hình dáng bộ phận sinh dục ngoài: âm vật phì đại giống như dương vật, hai bên sát môi lớn phì đại to giống như vùng bìu ở trẻ nam.
- Xét nghiệm hormon hướng sinh dục:
LH : 4 UI/L (bình thường <5 UI/L)
FSH : 5 UI/L (bình thường <5 UI/L )
Estradiol : 12ng/100ml (bình thường 13ng/100ml)
Testosterone : 0,025g/100ml (bình thường 0,03g/100ml)
Siêu âm và chụp CLVT phát hiện u tuyến thương thận bên trái, kích thước 40x45mm. Trong lúc mổ kiểm tra tử cung và hai phần phụ thấy phát triển tương ứng với tuổi bệnh nhân. Kết quả giải phẫu bệnh trả lời u vỏ thượng thận lành tính.
3.2.4. Pheochromocytome:
3.2.4.1. Lâm sàng
Bảng 3.10: Biểu hiện lâm sàng ở 40 bệnh nhân Pheochromocytome
Số bệnh nhân (n=40) | Tỷ lệ % | |
Tăng huyết áp thường xuyên | 25 | 62,50 |
- Tăng huyết áp kịch phát | 15 | 37,50 |
- Đau đầu | 30 | 75,00 |
- Ra mồ hôi | 29 | 72,50 |
- Nhịp nhanh lo lắng | 28 | 70,00 |
- Run chân tay | 22 | 55,00 |
- MƯt mái, suy nh−ỵc | 12 | 30,00 |
- Khó thở | 10 | 25,00 |
- Thay đổi thị lực | 6 | 15,00 |
- Gày sút | 4 | 10,00 |
Có thể bạn quan tâm!
-
Nghiên cứu chẩn đoán và điều trị phẫu thuật nội soi các u tuyến thượng thận lành tính tại bệnh viện Việt Đức giai đoạn 1998 - 2005 - 7 -
Nghiên cứu chẩn đoán và điều trị phẫu thuật nội soi các u tuyến thượng thận lành tính tại bệnh viện Việt Đức giai đoạn 1998 - 2005 - 8 -
Đặc Điểm Lâm Sμng Vμ Cận Lâm Sμng U Tuyến Thượng Thận Lμnh Tính -
Đặc Điểm Hoại Tử, Chảy Máu, Vôi Hoá, Đè Đẩy Và Xâm Lấn -
Đại Thể U Vỏ (Hội Chứng Conn); Bệnh Nhân Số 85 -
Đặc Điểm Lâm Sμng Vμ Cận Lâm Sμng Các U Tuyến Thượng Thận
Xem toàn bộ 169 trang tài liệu này.
Bảng 3.10 cho thấy: Cao huyết áp là dấu hiệu gợi ý bệnh nhân đi khám bệnh, gặp 100% các trường hợp, trong đó: cao huyết áp thường xuyên chiếm 62,5%, cao huyết áp kịch phát (110-140/200-300mmHg) chiếm 37,5%.
Bảng 3.11:Đặc điểm cận lâm sàng ở 40 bệnh nhân Pheochromocytome
n | Kết quả | Tỷ lệ % | ||
- Doppler động mạch | thận | 35 | 35/35 bình thường | 100 |
- Điện tim | 40 | 40/40 dày thất trái | 100 | |
- Siêu âm tim | 40 | 40/40 dày thất trái | 100 | |
- Siêu âm bụng | 40 | 38/40 Cã u | 95 | |
- Chôp CLVT bông | 40 | 39/40 Cã u | 97,5 |
Bảng 3.11 cho kết quả: Doppler động mạch thận không có hẹp ở 100% trường hợp, siêu âm tim và điện tâm đồ 100% có dày thất trái.
3.2.4.2. Sinh hoá
Bảng 3.12: Catecholamine máu ở 34 bệnh nhân pheochromocytome
Số bệnh nhân | ⎯X | ∂ | Dao động | |
Catecholamine | 34 | 0,151(mmol /L) | 0,009 | 0,0568 |
Bảng 3.12 cho kết quả: Catecholamine tăng cao đều ở 34 bệnh nhân được làm xét nghiệm, với trị số trung bình 0,151 mmol/l.
3.2.4.3. Các thăm khám cận lâm sàng
Bảng 3.11 cho thấy: Điện tâm đồ và SA tim có 100% trường hợp dày thất trái. Siêu âm bụng phát hiện u ở 95% trường hợp; chụp CLVT chẩn đoán đúng 39/40 trường hợp, chiếm 97,5% (1 bệnh nhân chẩn
đoán nhầm u cực trên thận trái).
3.2.5. U tuyến thượng thận không chế tiết
- U tuyến thượng thận không chế tiết trong nhóm nghiên cứu có 12/95 bệnh nhân (12,63%) gồm: Có 6 nữ, 6 nam, có 5 bệnh nhân đến khám vì dấu hiệu đau mỏi vùng thắt lưng đơn thuần, có 7 bệnh nhân được phát hiện u tuyến thượng thận tình cờ khi khám siêu âm và CLVT. Sinh hoá: kết quả cortisol trong huyết thanh bình thường ở 9/9 trường hợp (8h: 203,07±258,71nmol/l; 20h: 108,15±162,85nmol/l) và catecholamine máu bình thường ở 7/7 trường hợp: (0,082 ± 0,0152 mmol/l ). Siêu âm và chụp CLVT phát hiện được: 7 u ở bên phải 5 u ở bên trái. Kích thước u nhỏ nhất 50mm, lớn nhất là 100mm. Giải phẫu bệnh: 4 u có nguồn gốc từ tủy tuyến thượng thận và 8 u có nguồn gốc từ vỏ tuyến thượng thận.
3.2.6. Nang tuyến thượng thận
- Trong nhóm nghiên cứu phát hiện 10 bệnh nhân nang tuyến thượng thận (10,5%), gồm có 7 nữ và 3 nam. Lâm sàng: có 6/10 trường hợp (60%) đến khám vì đau mỏi vùng thắt lưng, 4/10 trường hợp (40%)
được phát hiện qua SA và CLVT khi thăm khám vì triệu chứng một bệnh lý khác. Cortisol máu có kết quả bình thường ở 6/6 trường hợp, (8h:520,20 ± 142,56; 20h: 113,12 ± 39,93 nmol/l), catecholamine cũng cho kết quả bình thường ở 5/5 trường hợp (50%) (0,081 ± 0,00152mmol/l). Siêu
âm phát hiện có nang ở 10/10 trường hợp. Chụp CLVT phát hiện có nang 8/10 trường hợp (2 trường hợp xác định nhầm nang gan bên phải). Kích thước trung bình của nang là 59,7mm (45-90mm). Giải phẫu bệnh có 10/10 nang có nguồn gốc tuyến thượng thận .
3.3. đặc điểm của siêu âm vμ chụp cắt lớp vi tính u tuyến thượng thận lμnh tính
3.3.1. Siêu âm
3.3.1.1. Khả năng phát hiện u tuyến thượng thận của siêu âm
Bảng 3.13: Khả năng phát hiện u tuyến thượng thận của SA
Có u tuyến thượng thận | |
Có u tuyến thượng thận | 90 |
Không có u tuyến thượng thận | 5 |
Tỉng sè | 95 |
Bảng 3.13 cho thấy siêu âm chẩn đoán đúng so với giải phẫu bệnh là 90/95 bệnh nhân, với độ nhạy 94,7%. Siờu õm không chẩn đoán được ở 5 trường hợp; trong đó có 3 trường hợp không phát hiện u (u< 20mm) và 2 trường hợp chẩn đoán nhầm là u sau phúc mạc.
Hình 3.5: U vỏ không chế tiết; Bệnh nhân số 76
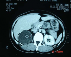
Hình 3.6: Pheochrmocytome
đè đẩy tạng; Bệnh nhân số 12
Hình 3.7: U tủy không chế tiết; Bệnh nhân só 29
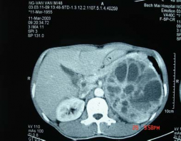
Hình 3.8: U tủy có kích thước lớn
(10,8cm); Bệnh nhân số 6
Hình 3.9: U vỏ chế tiết kích thước nhỏ
(1,4cm); Bệnh nhân số 80
3.3.1.2. Một số đặc điểm siêu âm của u tuyến thượng thận lành tính
Trong phần này chúng tôi chỉ chọn 92/95 bệnh nhân, đã được mổ cắt bỏ u tuyến thượng thận nội soi, có kết quả giải phẫu bệnh chẩn đoán là u tuyến thượng thận mà SA đã mô tả trước mổ (90 trường hợp đúng giải phẫu bệnh, 2 trường hợp chẩn đoán nhầm u sau phúc mạc).
* Đặc điểm kích thước u
Bảng 3.14: Đặc điểm kích thước các u tuyến thượng thận qua siêu âm
≤ 50mm | >50-100mm | Tỉng sè | ||||
n | % | n | % | n | % | |
U vá | 29 | 31,52 | 2 | 2,17 | 31 | 33,70 |
U tđy | 26 | 28,26 | 13 | 14,13 | 39 | 42,39 |
U không bài tiết | 9 | 9,78 | 3 | 3,26 | 12 | 13,04 |
Nang | 4 | 4,35 | 6 | 6,52 | 10 | 10,87 |
Tỉng sè | 68 | 73,91 | 24 | 26,09 | 92 | 100 |
Bảng 3.14 cho thấy: Nhóm u có kích thước ≤ 50mm (73,91%), chiếm tỷ lệ cao hơn nhóm u có kích thước>50-100mm. Với p<0,01
* Đặc điểm âm học u tuyến thượng thận
Bảng 3.15: Đặc điểm âm học liên quan các u tuyến thượng thận
Tăng âm | Giảm âm | Hỗn hợp âm | Tỉng sè | |||||
n | % | n | % | n | % | n | % | |
U vá | 9 | 9,78 | 13 | 14,13 | 9 | 9,78 | 31 | 33,70 |
U tđy | 12 | 13,04 | 15 | 16,30 | 12 | 13,04 | 39 | 42,39 |
U không bài tiết | 4 | 4,35 | 5 | 5,43 | 3 | 3,26 | 12 | 13,04 |
Nang | 0 | 0 | 0 | 0 | 0 | 0 | 10 | 10,87 |
Tỉng sè | 25 | 27,18 | 33 | 35,88 | 24 | 26,09 | 92 | 100 |
Bảng 3.15 cho kết quả: Tăng õm có 27,18% trường hợp, hỗn hợp
âm chiếm tỷ lệ 26,09% và giảm âm chiếm tỷ lệ cao nhất 35,88%. Nang tuyến thượng thận trên SA có cấu trúc rỗng âm.
* Các dấu hiệu siêu âm cuả u tuyến thượng thận
Bảng 3.16: Các dấu hiệu siêu âm của u tuyến thượng thận
Cã | Tỷ lệ (%) | |
Hoại tử | 23/92 | 25 |
Vôi hóa | 2/92 | 2,17 |
Hạch ổ bụng | 2/92 | 2,17 |
Đè đẩy | 14/92 | 15,21 |
Xâm lấn | 4/92 | 4,35 |
Bảng 3.16 cho thấy: các dấu hiệu trên chiếm tỷ lệ thấp đối với u tuyến thượng thận lành tính. Dấu hiệu đè đẩy chủ yếu gặp ở u >50mm-100mm.
3.3.2. Chụp cắt lớp vi tính:
3.3.2.1. Khả năng phát hiện u tuyến thượng thận chụp cắt lớp vi tính
Bảng 3.17: Khả năng phát hiện u TTT của chụp cắt lớp vi tính
Có u tuyến thượng thận | |
Có u tuyến thượng thận | 92 |
Không có u tuyến thượng thận | 3 |
Tỉng sè | 95 |
Bảng 3.17 cho thấy: Trong 95 u tuyến thượng thận, được mổ và có kết quả giải phẫu bệnh thì cắt lớp vi tính chẩn đoán đúng 92/95 trường hợp, với độ nhạy 96,8%, có 3 trường hợp sai với giải phẫu

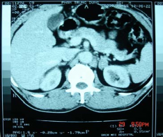
Hình 3.10: Pheochromocytome
Bệnh nhân số 38

Hình 3.12: U không chế tiết có
đè đẩy; Bệnh nhân số 31
Hình 3.11: U vỏ có kíchthước nhỏ (2cm); Bệnh nhân số 14

Hình 3.13: Nang tuyến thượng thận; Bệnh nhân số 19
.
3.3.2.2. Một số đặc điểm cắt lớp vi tính của u tuyến thượng thận
Trong phần này chúng tôi chọn cả 95 bệnh nhân đã được mổ cắt bỏ u tuyến thượng thận nội soi, có kết quả chẩn đoán giải phẫu bệnh bởi vì: 3 trường hợp mà CLVT chẩn đoán không phải u TTT (2 nang gan và 1 u cực trên thận) thì giải phẫu bệnh đã khẳng định là dương tính giả. Vì thế phần mô tả đặc điểm thực chất đó là đặc điểm của u tuyến thượng thận .
* Đặc điểm kích thước u
Bảng 3.18: Đặc điểm kích thước các u tuyến thượng thận qua CLVT
≤ 50mm | > 50-100mm | Tỉng sè | |||
n | % | n | % | ||
U vá | 31 | 32,63 | 2 | 2,11 | 33 |
U tđy | 27 | 28,42 | 13 | 13,68 | 40 |
U không bài tiết | 7 | 7,6 | 5 | 5,26 | 12 |
Nang | 4 | 4,35 | 6 | 6,32 | 10 |
Tỉng sè | 69 | 72,63 | 26 | 27,37 | 95 |
Bảng 3.18 cho thấy: Các u tuyến thượng thận lành tính có kích thước ≤ 50mm chiếm tỷ lệ cao (72,63%) với p<0,01, trong đó u vỏ chiếm tỷ lệ 32,63% và pheochromoctome là 28,42%.

Hình 3.14: U vỏ không chế tiết có nang trong u; Bệnh nhân số 46
Hình 3.15: Pheochromocytome kích thước nhỏ; Bệnh nhân số 15






