Bảng 2.1: Đối chiếu kết quả CLVT với kết quả GPB
VRT | Không VRT | Tổng | |
Dương tính | a | b | a+b |
Âm tính | c | d | c+d |
Tổng | a+c | b+d | a+b+c+d |
Có thể bạn quan tâm!
-
Nghiên cứu đặc điểm hình ảnh và giá trị của cắt lớp vi tính đa dãy trong chẩn đoán viêm ruột thừa cấp - 2 -
Sử Dụng Thang Điểm Alvarado Trong Chẩn Đoán Vrtc -
Clvt Có Tiêm Thuốc Cản Quang Trên Bệnh Nhân Vrtc [35] -
Giá Trị Của Thang Điểm Alvarado Trong Chẩn Đoán Vrtc -
Giá Trị Của Clvt Trong Chẩn Đoán Vị Trí Ruột Thừa -
Nghiên cứu đặc điểm hình ảnh và giá trị của cắt lớp vi tính đa dãy trong chẩn đoán viêm ruột thừa cấp - 8
Xem toàn bộ 86 trang tài liệu này.
Trong đó:
a: dương tính thật (có VRT trên CLVT và GPB)
b: dương tính giả (có VRT trên CLVT nhưng không có VRT trên GPB) c: âm tính giả (không có VRT trên CLVT nhưng có VRT trên GPB)
d: âm tính thật (không có VRT trên CLVT và GPB)
Độ nhạy: Se = a/(a+c)
Độ đặc hiệu: Sp = d/(b+d)
Độ chính xác Acc = (a+d)/(a+b+c+d)
Giá trị dự báo dương tính: PPV = a/(a+b)
Giá trị dự báo âm tính: NPV = d/(c+d)
2.4. ĐẠO ĐỨC TRONG NGHIÊN CỨU
- Nghiên cứu được sự đồng ý của ban Lãnh đạo bệnh viện E Trung ương và hội đồng đạo đức Đại học Quốc gia Hà Nội.
- Nghiên cứu không làm ảnh hưởng tới hoạt động của bệnh viện, chỉ phục vụ cho mục đích nghiên cứu.
- Các hoạt động tiến hành trong nghiên cứu này đều tuân thủ các quy định và nguyên tắc chuẩn mực về đạo đức nghiên cứu y sinh học của Việt Nam và quốc tế.
- Các thông tin về bệnh nhân được mã hóa, nhập vào máy tính và được giữ bí mật.
Chương 3
KẾT QUẢ NGHIÊN CỨU
3.1. ĐẶC ĐIỂM HÌNH ẢNH CLVT Ở BỆNH NHÂN VRTC
Từ tháng 2 năm 2021 đến tháng 11 năm 2021, tại bệnh viện E chúng tôi đã chọn được 117 bệnh nhân có đủ tiêu chuẩn lựa chọn, trong đó 116 bệnh nhân có kết quả GPB chẩn đoán là VRTC, 1 bệnh nhân có chẩn đoán GPB là ung thư manh tràng.
3.1.1. Đặc điểm chung
- Tuổi
PHÂN BỐ BỆNH NHÂN VRTC THEO TUỔI
<15 15-30 31-50 >50
32.5
29.9
24.8
12.8
< 1 5
15 - 30
31 - 50
> 5 0
Hình 3.1: Phân bố bệnh nhân VRTC theo tuổi
Nhận xét: Bệnh nhân nhỏ tuổi nhất là 5, lớn tuổi nhất là 86, tuổi trung trung bình là 40,1±20,8. Nhóm tuổi có tỉ lệ cao nhất là trên 50 (32,5%), nhóm có tỉ lệ VRT thấp nhất là dưới 15 tuổi (12,8%).
- Giới tính
Phân bố bệnh nhân VRTC theo giới
44,4%
56,6%
Nam Nữ
![]()
![]()
Hình 3.2: Phân bố bệnh nhân VRTC theo giới
Nhận xét: Trong 117 bệnh nhân, có 52 bệnh nhân nam (44,4%), 65 bệnh nhân nữ (56,6 %). Tỉ lệ nam/nữ là 1/1,25.
3.1.2. Vị trí ruột thừa trên CLVT
Bảng 3.1: Vị trí ruột thừa trên CLVT
Số bệnh nhân | Tỉ lệ (%) | |
Hố chậu phải | 81 | 69,2 |
Sau manh tràng | 19 | 16,2 |
Dưới gan | 1 | 0,9 |
Tiểu khung | 14 | 12 |
Các vị trí khác | 2 | 1,7 |
Tổng | 117 | 100 |
Nhận xét:
- Vị trí ruột thừa ở hố chậu phải hay gặp nhất, chiếm 69,2%.
- Ruột thừa sau manh tràng và tiểu khung chiếm tỉ lệ lần lượt là 16,2% và 12%. Ruột thừa vị trí dưới gan chỉ chiếm 0,9.

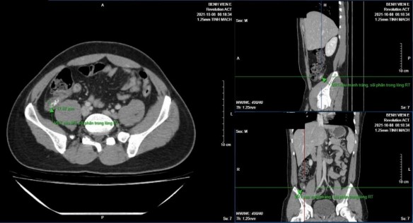
Hình 3.3: Ruột thừa ở vị trí sau manh tràng, trong lòng có sỏi phân
Bệnh nhân Hoàng Công M. 27 tuổi, mã bệnh án 2120143. GPB VRTC.

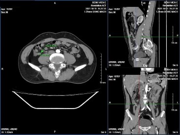
Hình 3.4: Ruột thừa nằm ở vị trí tiểu khung, trong lòng có sỏi phân.
BN Chu Tuệ M. 10 tuổi, mã bệnh án 2104324. Phẫu thuật thấy ruột thừa chạy chếch xuống tiểu khung, kết quả giải phẫu bệnh ruột thừa viêm mủ.
3.1.3. Kích thước đường kính ruột thừa
Bảng 3.2: Kích thước đường kính ruột thừa trên CLVT
Số bệnh nhân | Tỉ lệ (%) | |
<7 | 5 | 4,3 |
≥7 | 112 | 95,7 |
Tổng | 117 | 100 |
Nhận xét: Đường kính ruột thừa trung bình 10,48±2,5mm nhỏ nhất trên CLVT là 5mm, lớn nhất là 18mm.


Hình 3.5: Ruột thừa tăng kích thước
BN Trần Văn D. 45 tuổi, mã bệnh án 2120430. Kết quả GPB VRT mủ. Hình ảnh phẫu thuật nội soi ruột thừa tăng kích thước, căng to, xung huyết.
3.1.4. Độ dày thành ruột thừa trên CLVT
Bảng 3.3: Đánh giá độ dày thành RT trên CLVT
Số bệnh nhân | Tỉ lệ (%) | |
Có | 98 | 83,8 |
Không | 19 | 16,2 |
Tổng | 117 | 100 |
Nhận xét: Đa số các bệnh nhân viêm ruột thừa có dấu hiệu dày thành ruột thừa trên CLVT, chiếm tới 83,8%. Chỉ có 16,2% không có dấu hiệu này.
3.1.5. Dấu hiệu thâm nhiễm mỡ
Bảng 3.4: Đánh giá dấu hiệu thâm nhiễm mỡ trên CLVT
Số bệnh nhân | Tỉ lệ (%) | |
Có thâm nhiễm | 103 | 88 |
Không thâm nhiễm | 11 | 9,4 |
Không xác định | 3 | 2,6 |
Tổng | 117 | 100 |
Nhận xét: Trong 117 trường hợp được nghiên cứu, có 103 trường hợp (chiếm 88%) có dấu hiệu thâm nhiễm mỡ trên CLVT, chỉ 9,4% trường hợp VRTC không mô tả có thâm nhiễm mỡ. Có 2,6% không xác định được có thâm nhiễm mỡ hay không.


Hình 3.6: Hình ảnh thâm nhiễm mỡ xung quanh RT.
BN Dương Thị Kim A. 30 tuổi, mã bệnh án 2107075. Kết quả GPB viêm ruột thừa mủ. Phẫu thuật nội soi thấy ruột thừa viêm mủ sưng to, xung huyết, có thâm nhiễm mỡ.
3.1.6. Các dấu hiệu khác
Bảng 3.5: Các dấu hiệu khác trên CLVT
Số bệnh nhân | Tỉ lệ (%) | |
Sỏi phân | 41 | 35 |
Dịch quanh ruột thừa | 9 | 7,7 |
Dịch Douglas | 4 | 3,4 |
Dịch HCP | 4 | 3,4 |
Áp xe ở HCP | 5 | 4,3 |
Hạch mạc treo | 30 | 25,7 |
Nhận xét: Trong 117 trường hợp VRTC được nghiên cứu, trên CLVT chủ yếu thấy được dấu hiệu sỏi phân (35%) và hạch mạc treo (25,7%). Các dấu hiệu dịch Douglas, Dịch HCP và áp xe HCP ít gặp.
3.1.7. Chẩn đoán biến chứng vỡ ruột thừa trên CLVT
Bảng 3.6: Chẩn đoán biến chứng vỡ ruột thừa trên CLVT
Số bệnh nhân | Tỉ lệ (%) | |
Có | 5 | 4,3 |
Không | 112 | 95,7 |
Tổng | 117 | 100 |
Nhận xét: Trong tổng số 117 bệnh nhân VRTC có chụp CLVT, đa số các bệnh nhân (chiếm tới 95,7%) không có biến chứng vỡ ruột thừa được quan sát thấy trên phim chụp. Chỉ có 5 bệnh nhân (chiếm 4,3%) được kết luận có vỡ ruột thừa.



![Clvt Có Tiêm Thuốc Cản Quang Trên Bệnh Nhân Vrtc [35]](https://tailieuthamkhao.com/uploads/2024/03/19/nghien-cuu-dac-diem-hinh-anh-va-gia-tri-cua-cat-lop-vi-tinh-da-day-trong-4-1-120x90.jpg)


