
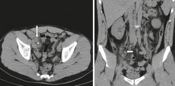
Hình 1.5: CLVT không cản quang ở bệnh nhân VRTC
(Dấu sao). Hình ảnh dày thành (mũi tên) và biến đổi các mô xung quanh trên mặt cắt ngang. Hình ảnh hạch viêm ở hố chậu phải trên mặt cắt dọc [35].
Chụp CLVT có tiêm thuốc cản quang thường được khuyến khích mặc dù CLVT không tiêm thuốc là một lựa chọn thay thế có thể chấp nhận được khi bệnh nhân có chống chỉ định tiêm thuốc cản quang đường tĩnh mạch [42].
Chống chỉ định tiêm thuốc cản quang gồm có:
- Suy thận
- Có tiền sử dị ứng với thuốc cản quang có i-ốt
- Cường giáp không được điều trị
- Đa u tủy xương
Có thể bạn quan tâm!
-
Nghiên cứu đặc điểm hình ảnh và giá trị của cắt lớp vi tính đa dãy trong chẩn đoán viêm ruột thừa cấp - 1 -
Nghiên cứu đặc điểm hình ảnh và giá trị của cắt lớp vi tính đa dãy trong chẩn đoán viêm ruột thừa cấp - 2 -
Sử Dụng Thang Điểm Alvarado Trong Chẩn Đoán Vrtc -
Ruột Thừa Ở Vị Trí Sau Manh Tràng, Trong Lòng Có Sỏi Phân -
Giá Trị Của Thang Điểm Alvarado Trong Chẩn Đoán Vrtc -
Giá Trị Của Clvt Trong Chẩn Đoán Vị Trí Ruột Thừa
Xem toàn bộ 86 trang tài liệu này.
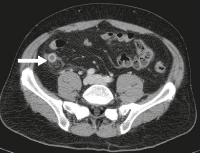
Thì tĩnh mạch trong quá trình tiêm thuốc cản quang (khoảng 110 giây sau khi tiêm 130ml thuốc cản quang vào tĩnh mạch) rất thích hợp để chẩn đoán viêm ruột thừa vì các dấu hiệu viêm ruột thừa ở thời điểm này có thể được đánh giá một cách tốt nhất. Ngoài các tiêu chuẩn trên của CLVT không tiêm thuốc, hình ảnh trên CLVT có tiêm thuốc cản quang cho thấy ruột thừa dày thành và tăng tỷ trọng hình vòng. Đây là một yếu tố để chẩn đoán. Một ưu điểm nữa là có thể hình dung chính xác các biến chứng. Do đó, ví dụ như trong trường hợp thủng ruột thừa, một ổ áp xe cản quang ở vùng hố chậu phải có thể được đánh giá tốt hơn so với CLVT không cản quang [35].

Hình 1.6: CLVT có tiêm thuốc cản quang trên bệnh nhân VRTC [35]

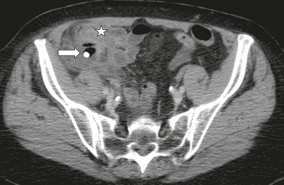
Hình 1.7: Hình ảnh VRTC có vôi hóa, hình thành ổ áp xe [35]
Theo nhiều nghiên cứu, độ nhạy của chụp cắt lớp vi tính vào khoảng 95% và độ đặc hiệu lên tới 94% [22].
Có thể thấy chụp cắt lớp vi tính góp phần quan trọng trong chẩn đoán xác định viêm ruột thừa và chẩn đoán phân biệt với các nguyên nhân gây đau bụng khác. Ưu thế của chụp CLVT là có kết quả nhanh, chính xác và có giá trị cao trong chẩn đoán. Ở các cơ sở y tế tuyến dưới, chụp CLVT dễ thực hiện và sẵn có hơn so với CHT. Tuy nhiên bên cạnh đó chụp CLVT có một số các nhược điểm là người bệnh sẽ phải chịu bức xạ ion hóa trong quá trình chụp,
chi phí phải trả cao hơn so với siêu âm và hạn chế khi sử dụng với phụ nữ mang thai và trẻ em.
1.4.3. Chụp cộng hưởng từ (MRI)
Chụp cộng hưởng từ (MRI) được chỉ định ở những bệnh nhân có yêu cầu bảo vệ bức xạ đặc biệt, gồm [42]:
- Phụ nữ có thai, phụ nữ chưa loại trừ khả năng có thai
- Trẻ em (trẻ có thể hợp tác khám)
- Phụ nữ trẻ
Tiêu chuẩn hình ảnh của viêm ruột thừa trên phim chụp CHT bao gồm:
- Đường kính ruột thừa to hơn 7mm
- Có phù nề, chèn ép xung quanh, thâm nhiễm mỡ
- Thành ruột thừa dày lên và có thể hình thành áp xe ở hố chậu phải Xác suất viêm ruột thừa nếu chỉ phát hiện 1/3 dấu hiệu là 88%, có 2/3
dấu hiệu là 94% và 95% trong trường hợp có kết hợp cả ba dấu hiệu trên [35].
Tỷ lệ khám nhưng không chẩn đoán được của cộng hưởng từ cao hơn so với CLVT nhưng thấp hơn so với siêu âm. Tương tự như CLVT, chụp cộng hưởng từ ngoài có khả năng giúp chẩn đoán xác định viêm ruột thừa cấp còn giúp chẩn đoán phân biệt với các nguyên nhân khác [42].
Nhược điểm của CHT là chi phí lớn, yêu cầu trang thiết bị máy móc kỹ thuật hiện đại, bác sĩ chẩn đoán hình ảnh có trình độ cao. Hơn thế nữa, thời gian thực hiện chụp khá lâu nên trong các trường hợp cấp cứu thường ít được sử dụng. Những người mắc chứng sợ không gian hẹp, có vật liệu kim loại trong cơ thể và các bệnh lý về tâm thần thường không thực hiện được việc chụp cộng hưởng từ.
1.5. ĐIỀU TRỊ VIÊM RUỘT THỪA CẤP
Hầu hết các trường hợp viêm ruột thừa cấp ở người lớn đều được điều trị bằng phương pháp mổ mở hoặc phẫu thuật nội soi. Hiệp hội Phẫu thuật Nội soi Châu Âu và Hiệp hội Phẫu thuật Cấp cứu Thế giới đều khuyến nghị cắt ruột thừa như một phương pháp điều trị ưu tiên cho bệnh nhân là người trưởng thành bị viêm ruột thừa cấp. Tuy nhiên, báo cáo lâm sàng cho thấy ở
một số trường hợp người ta cũng có thể sử dụng thuốc kháng sinh để điều trị viêm ruột thừa [25].
Mổ mở:
Trước đây tất cả các trường hợp được chẩn đoán viêm ruột thừa cấp đều được tiến hành phẫu thuật cắt ruột thừa. Hiện nay, nhờ có phẫu thuật nội soi, chỉ định mổ mở ở bệnh nhân viêm ruột thừa cấp cũng ít đi. Bệnh nhân thường được chỉ định mổ mở khi có tình trạng viêm phúc mạc do viêm ruột thừa. Đường mổ là đường McBurney, đường trắng cạnh rốn bên phải hoặc đường mổ giữa dưới rốn. Cho dù chọn đường mổ nào thì cũng phải đủ rộng để có thể cắt ruột thừa dễ dàng, tránh làm tổn thương thanh mạc ruột, hơn nữa là để lau sạch ổ bụng và kiểm tra các thương tổn có thể kèm theo [3, 11].
Mổ nội soi:
Phẫu thuật nội soi là phương pháp được sử dụng phổ biến để điều trị viêm ruột thừa cấp hiện nay ở những bệnh nhân đến sớm trong vòng 24h, chưa vỡ hoặc qua đánh giá lâm sàng đủ điều kiện tiến hành. Mổ nội soi mang lại nhiều ưu việt, có tính thẩm mỹ cao hơn, thời gian hồi sức hậu phẫu ngắn hơn, tránh được nhiễm trùng vết mổ, thời gian nằm viện ngắn hơn so với mổ mở. Theo các nghiên cứu được báo cáo, tỷ lệ áp xe trong ổ bụng sau mổ nội soi thấp hơn, thời gian phẫu thuật cũng ngắn hơn. Đặc biệt, trong một số trường hợp viêm ruột thừa cấp khó chẩn đoán, hoặc ruột thừa ở vị trí bất thường, phẫu thuật nội soi càng nổi bật là một phương pháp có nhiều ưu điểm [3, 25].
Điều trị nội khoa:
Một số thử nghiệm lâm sàng cho thấy hầu hết bệnh nhân được điều trị bằng kháng sinh đều đáp ứng lâm sàng, số lượng bạch cầu giảm, giảm tỷ lệ viêm phúc mạc và giảm các triệu chứng. Bệnh nhân được điều trị bằng kháng sinh có điểm đau thấp hơn hoặc tương đương bệnh nhân điều trị phẫu thuật. Khoảng 90% bệnh nhân được điều trị bằng thuốc kháng sinh có thể tránh được phẫu thuật trong lần nhập viện đầu tiên. 10% còn lại không đáp ứng với thuốc cần phẫu thuật. Tuy nhiên không có biện pháp nào dự đoán chính xác bệnh nhân nào sẽ không đáp ứng với kháng sinh [25].
Liệu pháp kháng sinh chỉ dành cho những bệnh nhân bị viêm ruột thừa cấp không có biến chứng. Tuy nhiên các phương pháp chẩn đoán trên lâm sàng không thể phân biệt một cách chắc chắn viêm ruột thừa không biến chứng và viêm ruột thừa có biến chứng phức tạp [25]. Vì vậy cần phải cân nhắc kỹ lưỡng khi lựa chọn phương pháp điều trị cho bệnh nhân.
1.6. TÌNH HÌNH NGHIÊN CỨU VRT TRONG VÀ NGOÀI NƯỚC
Viêm ruột thừa cấp là một bệnh phổ biến, đã được nghiên cứu từ nhiều năm qua. Có rất nhiều các nghiên cứu về những triệu chứng lâm sàng, cận lâm sàng ở những đối tượng khác khau như trẻ em, phụ nữ có thai, người trưởng thành và người lớn tuổi,… Gần đây, dưới sự phát triển về các biện pháp chẩn đoán hình ảnh, việc chẩn đoán viêm ruột thừa cấp đã tiến bộ hơn so với những năm trước đó.
Trong những năm qua, có khá nhiều các nghiên cứu trên thế giới về bệnh viêm ruột thừa cấp. Từ thế kỷ XX, đã có các nghiên cứu về dấu hiệu lâm sàng và chẩn đoán hình ảnh của viêm ruột thừa cấp. Các nghiên nghiên cứu cũng được thực hiện trên nhiều đối tượng khác nhau như trẻ em [23], phụ nữ có thai [31, 48],… Những năm gần đây, các nghiên cứu về phương pháp chẩn đoán hình ảnh ứng dụng trong viêm ruột thừa cấp cũng được thực hiện nhiều, ví dụ như nghiên cứu về kỹ thuật CLVT bụng để chẩn đoán VRTC của Abidin Kilincer và các cộng sự, nghiên cứu kết quả của chụp CLVT để chẩn đoán VRTC ở người lớn của Bo Rud hay nghiên cứu của Sippola Suvi và cộng sự về độ chính xác của chụp CLVT liều thấp ở bệnh nhân nghi ngờ VRTC [16, 22, 45]. Các nghiên cứu này được thực hiện nhằm mục đích đánh giá được giá trị của các triệu chứng lâm sàng cũng như hình ảnh trong công tác chẩn đoán viêm ruột thừa cấp. Tuy nhiên, vẫn còn nhiều tranh cãi về giá trị của từng phương pháp trong chẩn đoán.
Ở Việt Nam cũng đã có nhiều nghiên cứu được thực hiện trên cả nước về viêm ruột thừa nhằm nghiên cứu kỹ hơn về bệnh VRTC ở Việt Nam. Các nghiên cứu cũng tập trung vào các triệu chứng lâm sàng, cận lâm sàng của bệnh viêm ruột thừa cấp và đánh giá giá trị chẩn đoán. Các vấn đề lâm sàng vẫn được thực hiện nghiên cứu như của Trần Thị Hoàng Ngâu (2017) về liên quan giữa vị trí ruột thừa và bệnh cảnh lâm sàng VRTC [9] hay nghiên cứu
của Trần Thị Giang (2018) về các đặc điểm lâm sàng nói chung của viêm ruột thừa cấp [4]. Cùng với các nghiên cứu về mặt lâm sàng, các nghiên cứu về cận lâm sàng và chẩn đoán hình ảnh sử dụng trong chẩn đoán cũng được chú ý tới. Có khá nhiều các nghiên cứu về giá trị của siêu âm, CLVT và các kết quả xét nghiệm của các tác giả Tôn Thanh Trà (2011) [14], Nguyễn Thuận Hòa (2012) [6], Mai Công Sao (2018) [12], và rất nhiều tác giả khác. Nghiên cứu của Nguyễn Thuận Hòa (2012) trên 151 bệnh nhân kết luận rằng giá trị của siêu âm trong chẩn đoán viêm ruột thừa ở các trường hợp triệu chứng lâm sàng không điển hình là rất thấp với độ nhạy 26%, độ đặc hiệu 5,5 %, ngược lại, CLVT cho kết quả rất cao với độ nhạy 94,3% và độ đặc hiệu 88% [6]. Trong khi đó nghiên cứu của Mai Công Sao (2018) chỉ ra rằng độ nhạy và độ đặc hiệu của siêu âm lần lượt là 81,4% và 96,2%, đối với CLVT, các chỉ số đó lần lượt là 97,6% và 95,2% [12]. Tuy nhiên, các nghiên cứu trước đây thường được thực hiện trên CLVT 2-4 dãy. Hiện nay máy CLVT đa dãy (từ 64 dãy trở lên) được trang bị rộng khắp tại các bệnh viện – đặc biệt các bệnh viện tuyến trung ương – thay thế các thế hệ máy 2-4 dãy cũ, phát huy hiệu quả chẩn đoán chính xác không chỉ các bệnh lý tim mạch mà cả trong các bệnh lý cấp cứu bụng, trong đó có viêm ruột thừa cấp, do có khả năng dựng hình tái tạo MPR theo 3 mặt phẳng.
Chính vì vậy, chúng tôi thực hiện đề tài này với mong muốn tìm hiểu đặc điểm hình ảnh và đánh giá giá trị của CLVT đa dãy trong chẩn đoán viêm ruột thừa cấp, có so sánh, đối chiếu với kết quả phẫu thuật và giải phẫu bệnh.
Chương 2
ĐỐI TƯỢNG VÀ PHƯƠNG PHÁP NGHIÊN CỨU
2.1. ĐỐI TƯỢNG NGHIÊN CỨU
Bệnh nhân không phân biệt tuổi tác, giới tính, nghề nghiệp, nơi cư trú có bệnh án đầy đủ được lưu trữ tại kho lưu trữ hồ sơ của bệnh viện E từ tháng 2 đến tháng 11 năm 2021.
2.1.1. Tiêu chuẩn lựa chọn
- Chẩn đoán lâm sàng trước mổ là VRTC
- Được chụp CLVT trước mổ. Kết quả CLVT được đọc bởi các bác sĩ giàu kinh nghiệm.
- Có kết quả giải phẫu bệnh
2.1.2. Tiêu chuẩn loại trừ
- Các trường hợp không đủ tiêu chuẩn lựa chọn
- Hồ sơ bệnh án không đủ thông tin theo yêu cầu của bệnh án nghiên cứu
2.1.3. Tiêu chuẩn chẩn đoán ruột thừa viêm trên CLVT
- Tiêu chuẩn chính: có thâm nhiễm mỡ quanh ruột thừa
- Các tiêu chuẩn phụ: đường kính ≥7mm, thành dày ≥3mm, tụ dịch trong lòng ruột thừa, sỏi phân, dịch quanh ruột thừa.
- Các trường hợp đau hố chậu phải, có thâm nhiễm mỡ không rõ ràng được chẩn đoán theo dõi viêm ruột thừa.
2.1.4. Tiêu chuẩn chuyên gia đọc phim
- Bác sĩ chẩn đoán hình ảnh có từ 3 năm kinh nghiệm trở lên.
2.2. PHƯƠNG PHÁP NGHIÊN CỨU
2.2.1. Thiết kế nghiên cứu
Mô tả cắt ngang, hồi cứu
2.2.2. Chọn mẫu
Chọn mẫu toàn bộ, chọn tất cả các đối tượng đủ tiêu chuẩn nghiên cứu tại bệnh viện E trong khoảng thời gian từ tháng 2 đến tháng 11 năm 2021.
2.2.3. Phương tiện nghiên cứu
- Hệ thống chụp cắt lớp 64 lát cắt/vòng quay SOMATOM Perspective của Siemens, Đức
- Hồ sơ bệnh án lưu trữ tại kho hồ sơ bệnh viện E
2.2.4. Các biến số nghiên cứu
- Đặc điểm chung:
Tuổi: Phân bố theo nhóm tuổi: <15; 15-30; 31-50; >50
Giới tính: Phân bố theo giới tính: Nam/Nữ
- Đặc điểm hình ảnh chụp CLVT:
Vị trí của ruột thừa trên CLVT: Hố chậu phải, sau manh tràng, dưới gan, tiểu khung, vị trí khác.
Kích thước đường kính ruột thừa: <7mm, ≥7mm
Mức độ dày thành ruột thừa: <3mm, ≥3mm
Thâm nhiễm mỡ quanh ruột thừa: Tăng tỷ trọng của mô mỡ xung quanh.
Các đặc điểm khác: Sỏi phân, dịch quanh ruột thừa, dịch Douglas, áp xe ở HCP
- Giá trị của CLVT trong chẩn đoán VRT:
Giá trị của siêu âm
Giá trị của thang điểm Alvarado
Giá trị của CLVT: Chẩn đoán vị trí ruột thừa, chẩn đoán vỡ ruột thừa, chẩn đoán đường kính ruột thừa, chẩn đoán xác định VRTC.
2.3. PHƯƠNG PHÁP XỬ LÝ SỐ LIỆU
- Thu thập số liệu theo mẫu bệnh án nghiên cứu
- Thu thập thông tin hình ảnh chụp cắt lớp vi tính.
- Xử lý các số liệu thu được bằng phần mềm Stata 14.2
- Tính các giá trị của CLVT trong chẩn đoán VRTC: độ nhạy, độ đặc hiệu, độ chính xác, giá trị dự báo dương tính, giá trị dự báo âm tính theo bảng:






