Các phản ứng bất thường khi thăm khám lâm sàng:
Phản ứng thành bụng: khám nhẹ nhàng vùng hố chậu phải thấy cơ thành bụng vùng này căng hơn những vùng khác. Càng ấn sâu xuống, cảm giác co cơ càng tăng lên. Bệnh nhân đau, nhăn mặt và gạt hay đẩy tay thầy thuốc ra [11].
Dấu hiệu co cứng thành bụng: bệnh nhân co cứng cơ bụng khi bác sĩ thực hiện động tác khám ấn vào vùng hố chậu phải [11].
Dấu hiệu Blumberg: dấu hiệu Blumberg (+) là bệnh nhân cảm thấy đau tăng lên khi thầy thuốc đột ngột bỏ tay đang đè ở vùng hố chậu phải [11].
Dấu hiệu Rovsing: bệnh nhân đau ¼ dưới phải khi đẩy dồn hơi trong đại tràng từ bên trái sang bằng cách ép vào vùng hố chậu trái [11]. Dấu hiệu này còn được gọi là đau gián tiếp [41].
Dấu hiệu Psoas: được biểu hiện bởi cơn đau hạ sườn phải khi duỗi thụ động khớp hông phải do làm căng cơ thắt lưng chậu [41].
Dấu cơ bịt: bệnh nhân đau khi bác sĩ điều trị gập hông và đầu gối phải của bệnh nhân, sau đó xoay trong hông phải. Dấu hiệu này phụ thuộc vào vị trí của ruột thừa so với các cơ và mức độ viêm của ruột thừa [19, 41].

Hình 1.3: Thăm khám các dấu hiệu VRTC [36]
Cần khám kỹ các dấu hiệu để có thể chẩn đoán chính xác bệnh. Ở các bệnh nhân có thay đổi về giải phẫu như phụ nữ có thai cần thăm khám kỹ hơn và đánh giá đúng các dấu hiệu. Cần phân biệt với các nguyên nhân gây đau bụng cấp khác. Chú ý khi thăm khám cần yêu cầu bệnh nhân nằm đúng tư thế để đánh giá đúng triệu chứng.
1.3.2. Xét nghiệm
1.3.2.1. Xét nghiệm công thức máu
Bạch cầu: Số lượng bạch cầu tăng trên 10000/mm3, khoảng 80% bệnh nhân có tăng bạch cầu và chủ yếu là bạch cầu đa nhân trung tính. Ở một số bệnh nhân, đặc biệt là người già, hoặc viêm ruột thừa ở giai đoạn sớm, số lượng bạch cầu có thể hoàn toàn bình thường [41].
1.3.2.2. Xét nghiệm sinh hóa máu
Nồng độ CRP máu có giá trị trong chẩn đoán viêm ruột thừa cấp. Nghiên cứu về mức C-Reactive Protein(CRP) cao trên 536 bệnh nhân tại Bệnh viện Y khoa đại học Istinye của Ömer Vefik Özozan và Veli Vural kết luận rằng CRP là dấu hiệu chính xác nhất để phân biệt nhóm có thủng và không có thủng [37].
Nhờ vào các kết quả xét nghiệm máu, cùng với thăm khám lâm sàng và bệnh sử, người ta xây dựng thang chấm điểm lâm sàng chẩn đoán viêm ruột thừa.
1.3.3. Sử dụng thang điểm Alvarado trong chẩn đoán VRTC
Thang điểm Alvarado là thang điểm được quan tâm rộng rãi nhất, được sử dụng nhiều trên lâm sàng và có lịch sử lâu đời. Thang Alvarado có thể được sử dụng để phân loại những bệnh nhân có các triệu chứng của viêm ruột thừa [40].
Bảng 1.1: Thang điểm Alvarado [40, 42]
Các tiêu chuẩn | Điểm |
Sự di chuyển của đau | 1 |
Chán ăn | 1 |
Buồn nôn-nôn | 1 |
Phản ứng thành bụng ở HCP | 2 |
Đau khi ấn vào | 1 |
Tăng thân nhiệt >37,5℃ | 1 |
Tăng bạch cầu >10000/mm3 | 2 |
Tăng tỷ lệ bạch cầu đa nhân trung tính | 1 |
Tổng | 10 |
Có thể bạn quan tâm!
-
Nghiên cứu đặc điểm hình ảnh và giá trị của cắt lớp vi tính đa dãy trong chẩn đoán viêm ruột thừa cấp - 1 -
Nghiên cứu đặc điểm hình ảnh và giá trị của cắt lớp vi tính đa dãy trong chẩn đoán viêm ruột thừa cấp - 2 -
Clvt Có Tiêm Thuốc Cản Quang Trên Bệnh Nhân Vrtc [35] -
Ruột Thừa Ở Vị Trí Sau Manh Tràng, Trong Lòng Có Sỏi Phân -
Giá Trị Của Thang Điểm Alvarado Trong Chẩn Đoán Vrtc
Xem toàn bộ 86 trang tài liệu này.
Thái độ xử trí | Dự đoán tỷ lệ VRT | |
1-4 | Xuất viện | 30% |
5-6 | Theo dõi/nhập viện | 66% |
7-10 | Phẫu thuật | 93% |
Thang điểm Alvarado là phương pháp hỗ trợ chẩn đoán có giá trị khi nghi ngờ nguyên nhân đau bụng cấp là do viêm ruột thừa ở những nơi có nguồn lực thấp, trang thiết bị y tế không đầy đủ, thiếu các thiết bị chẩn đoán hình ảnh [40].
Bảng điểm thực hành Alvarado dễ áp dụng, đơn giản để chẩn đoán bệnh viêm ruột thừa cấp với độ nhạy 82,8% và độ đặc hiệu 56% [15].
Ở trẻ em, thang điểm Alvarado có độ nhạy cao nhưng độ đặc hiệu thấp và không phù hợp để chẩn đoán viêm ruột thừa cấp ở trẻ em [33].
1.4. CHẨN ĐOÁN HÌNH ẢNH VIÊM RUỘT THỪA CẤP
Chẩn đoán viêm ruột thừa cấp dựa trên đánh giá lâm sàng, xét nghiệm máu và các thang điểm ở những trường hợp biểu hiện lâm sàng không điển hình vẫn là một khó khăn trong chẩn đoán tại khoa cấp cứu [14, 22].
Các biện pháp chẩn đoán hình ảnh được sử dụng chủ yếu để tăng độ đặc hiệu của việc đánh giá chẩn đoán viêm ruột thừa và giảm tỷ lệ phẫu thuật cắt ruột thừa âm tính [42].
Việc lựa chọn phương pháp chẩn đoán hình ảnh nào cần được cân nhắc dựa trên tình trạng cụ thể của từng bệnh nhân.
1.4.1. Siêu âm
Siêu âm ổ bụng là phương pháp chẩn đoán cơ bản trong trường hợp nghi ngờ VRT và được thực hiện ngay sau khi thăm khám lâm sàng. Đây là một phương pháp chẩn đoán hình ảnh có chi phí thấp, luôn sẵn sàng trong các tình huống khẩn cấp [35]. Siêu âm ổ bụng tập trung vào hố chậu phải là phương pháp chẩn đoán hình ảnh ưu tiên ở trẻ em và phụ nữ có thai [42].
Tiêu chuẩn chẩn đoán của ruột thừa bị viêm là hình ảnh trực tiếp cho thấy sự thay đổi về kích thước của ruột thừa. Dấu hiệu siêu âm có giá trị nhất là thấy đường kính của ruột thừa to hơn bình thường, trên 7mm [35].
Kết quả siêu âm chính xác nhất của viêm ruột thừa cấp tính là đường kính ngoài của ruột thừa >6mm và ấn không xẹp [41]. Ngoài ra còn có một số các đặc điểm hình ảnh khác như: thành dày >3mm, dấu hiệu bia bắn bao gồm các lớp đồng tâm ở mặt cắt ngang và dấu hiệu ngón tay ở mặt cắt dọc [35].

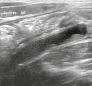
Hình 1.4: Viêm ruột thừa điển hình
Với thành dày và đường kính mặt cắt 9mm [35]
Ngoài chẩn đoán viêm ruột thừa dựa vào các dấu hiệu trực tiếp trên còn có thể chẩn đoán viêm ruột thừa dựa trên các hình ảnh gián tiếp trên siêu âm. Trên thực tế, đôi khi việc tìm các dấu hiệu trực tiếp là khá khó khăn, vì vậy cần kết hợp giữa các dấu hiệu trực tiếp và các dấu hiệu gián tiếp để chẩn đoán.
Các dấu hiệu gián tiếp thường thấy trên siêu âm:
Qua siêu âm có thể thấy có dịch quanh ruột thừa, dịch tự do trong ổ bụng hoặc dịch hố chậu phải [10, 35].
Một hình ảnh tắc nghẽn trong lòng ruột thừa với bóng cản âm ở phía sau có thể được chẩn đoán là nguyên nhân gây viêm [35].
Hình ảnh tăng âm của mô xung quanh là dấu hiệu cho thấy sự xâm nhập của mô mỡ xung quanh ruột thừa [35].
Các hạch bạch huyết tăng kích thước, khu trú, có phản ứng hạch [35].
Trong một số trường hợp có thể thấy dày thành manh tràng bên cạnh và cuối hồi tràng. Các quai hỗng tràng gần góc hồi manh tràng tăng giãn rộng, chứa dịch, tăng nhu động [4, 35].
Một nghiên cứu được báo cáo trên Tạp chí trường Cao đẳng Khoa học Y tế Nepal cho thấy siêu âm là một phương thức rất hữu ích và cần thiết trong chẩn đoán viêm ruột thừa cấp tính với độ nhạy 93,93%, độ đặc hiệu 100% [39]. Kết quả siêu âm dương tính cho thấy nên bắt đầu điều trị VRT, trong khi kết quả âm tính cho thấy hình ảnh RT bình thường và khó để chẩn đoán VRT. Tuy nhiên kết quả âm tính vẫn chưa thể loại trừ bệnh nên bệnh nhân cần được tiếp tục theo dõi, đánh giá để đảm bảo sự chính xác của chẩn đoán được đưa ra [42].
Ngoài siêu âm đen trắng cổ điển, hiện nay siêu âm màu Doppler cũng là một phương pháp chẩn đoán hình ảnh được sử dụng trên lâm sàng giúp hỗ trợ chẩn đoán. Siêu âm màu có thể phát hiện tăng tưới máu thành ruột thừa [35].
1.4.2. Chụp CLVT
Nếu kết quả sau khi hỏi bệnh sử, khám lâm sàng, các chỉ số xét nghiệm (Bạch cầu/CRP) và siêu âm ổ bụng không thể chẩn đoán xác định viêm ruột
thừa, sau khi loại trừ trường hợp bệnh nhân có thai, nên tiến hành chụp CLVT ổ bụng, đặc biệt là trong trường hợp siêu âm có hạn chế, đánh giá thang điểm lâm sàng ở mức gây phân vân, những bệnh nhân viêm ruột thừa có triệu chứng không điển hình hoặc nghi ngờ thủng ruột thừa.
1.4.2.1. Quy trình chụp CLVT ổ bụng [1]
Trước khi tiến hành chụp CLVT cần chuẩn bị phương tiện, nhân lực, vật tư. Người thực hiện chụp gồm có bác sĩ chuyên khoa, kỹ thuật viên điện quang và điều dưỡng. Cần chuẩn bị phương tiện như máy chụp CLVT, máy bơm điện, phim, máy in phim hoặc hệ thống lưu trữ hình ảnh thay cho phim cũng như các vật tư y tế cần thiết.
- Chuẩn bị người bệnh:
o Người bệnh được giải thích kỹ về thủ thuật để phối hợp với thầy thuốc.
o Người bệnh tháo bỏ khuyên tai, vòng cổ, cặp tóc nếu có.
o Người bệnh cần nhịn ăn chất đặc, nên uống sữa hoặc nước hoa quả với thể tích không quá 100ml.
o Cần cho thuốc an thần đối với các bệnh nhân kích thích, không nằm yên.
Các bước tiến hành chụp cắt lớp vi tính:
- Kỹ thuật thăm khám:
o Người bệnh nằm ngửa, hai tay giơ lên đầu, tránh làm nhiễu ảnh.
o Người bệnh bỏ dị vật bằng kim loại, bộc lộ vùng thăm khám.
o Hướng dẫn người bệnh nhịn thở để tránh các nhiễu ảnh do di động khi thở.
o Chụp cắt lớp vi tính với các lớp cắt ngang trên toàn bộ bụng – tiểu khung từ vòm hoành tới khớp mu, bề dày lớp cắt phải phù hợp với mục tiêu cần đánh giá (thông thường 5-7mm, cắt mỏng 3mm trong trường hợp cần tập trung vào tổn thương nhỏ).
o Thay đổi trường nhìn tùy theo độ lớn của mỗi cá thể cho phù hợp.
o Thay đổi độ rộng cửa sổ để đánh giá được toàn bộ mô mềm, khí, mỡ và xương.
o Nếu chụp CLVT có tiêm thuốc cản quang: dùng loại tan trong nước với liều 1,5-2ml/kg cân nặng.
o Kỹ thuật tiêm thuốc cản quang: Tiêm nhanh, tốc độ tiêm tối thiểu 3ml/giây. Tốt nhất là sử dụng máy bơm thuốc để có thể kiểm soát chính xác thì động mạch và thì tĩnh mạch sau tiêm.
- Tiến trình thăm khám:
o Bước đầu định vị tổn thương.
o Đo tỷ trọng vùng nghi ngờ tổn thương để đánh giá xem tổn thương có chứa thành phần mỡ hay không, có vôi hóa hoặc chảy máu hay không.
o Đo tỷ trọng các cấu trúc dịch trong ổ bụng xem là dịch đơn thuần hay có tỷ trọng cao dạng nhiễm trùng chảy máu.
o Với chụp CLVT có tiêm thuốc, các lớp cắt ở thì động mạch được thực hiện ở giây thứ 25-30 tính từ lúc bắt đầu tiêm thuốc. Các lớp cắt ở thì tĩnh mạch thực hiện ở giây thứ 60-70 kể từ lúc bắt đầu tiêm thuốc. Các lớp cắt ở thì muộn được thực hiện sau 5-7 phút tùy từng trường hợp cụ thể.
o Cắt mỏng (2-3mm) vùng hố chậu phải trước và sau tiêm thuốc cản quang tìm ruột thừa.
Sau khi tiến hành chụp phim cắt lớp vi tính cần đánh giá lại kỹ thuật thực hiện có chính xác hay không, các hình ảnh thu được phải đảm bảo chất lượng cho chẩn đoán.
1.4.2.2. Hình ảnh chụp CLVT
Kết quả chụp CLVT giúp chẩn đoán xác định viêm ruột thừa cũng như chẩn đoán phân biệt với các nguyên nhân gây đau bụng cấp khác. Chụp CLVT có giá thành cao hơn siêu âm, đòi hỏi các phương tiện kỹ thuật, trang thiết bị cao hơn so với siêu âm và có liều phóng xạ. Khi chụp CLVT cho bệnh nhân cần phải chú ý cân nhắc trong chỉ định.
Chụp CLVT không tiêm thuốc cản quang là lựa chọn có giá trị cao giúp chẩn đoán xác định viêm ruột thừa cấp, có độ chính xác cao. Trong khi đó CLVT có tiêm thuốc cải thiện các giá trị trong chẩn đoán theo những cách khác [42].
Sau khi tiến hành các bước chụp theo đúng kỹ thuật, các hình ảnh không được xem trực tiếp mà được gửi đến một máy tính, máy tính này sẽ nhanh chóng tái tạo chúng thành hình ảnh 3 chiều đại diện cho một phần cơ thể trong bất kỳ mặt phẳng nào mong muốn [32].
Một điều đặc biệt là, đối với chụp cắt lớp vi tính đa dãy, người ta có thể dựng được hình ảnh 3 chiều của các cơ quan đã chụp, giúp nhìn rõ, xác định chính xác vị trí tổn thương. Các hình ảnh MPR được dựng tái tạo trên cơ sở các lát cắt ngang, đem lại hiệu quả chẩn đoán cao hơn so với các hình ảnh cắt ngang (axial) thông thường [32].
Các tiêu chuẩn hình ảnh học của viêm ruột thừa trên chụp cắt lớp vi tính không tiêm thuốc cản quang gồm có [10, 35, 41]:
- Đường kính ruột thừa to hơn 7mm. Đây là đặc điểm quan trọng nhất trong trường hợp ruột thừa không bị thủng.
- Thành ruột thừa dày hơn 3mm.
- Thâm nhiễm mỡ.
- Sỏi phân.
- Hình thành áp xe ở hố chậu phải.
- Tắc nghẽn trong lòng ruột thừa (gặp ở 25% bệnh nhân).
- Có dịch quanh ruột thừa, dịch Douglas, dịch HCP.
- Có hạch mạc treo.



![Clvt Có Tiêm Thuốc Cản Quang Trên Bệnh Nhân Vrtc [35]](https://tailieuthamkhao.com/uploads/2024/03/19/nghien-cuu-dac-diem-hinh-anh-va-gia-tri-cua-cat-lop-vi-tinh-da-day-trong-4-1-120x90.jpg)

