


Phim MRI và bệnh phẩm bướu tuyến vỏ thượng thận bên phải
[BN Lương Thị Thu T., 51 tuổi, SNV: 2170021376]
Bệnh nhân hội chứng Cushing do bướu TTT
[Lương Thị Thu T., 51 tuổi, SNV: 2170021376]
Có thể bạn quan tâm!
-
Nghiên cứu chẩn đoán và điều trị phẫu thuật bướu tuyến thượng thận phát hiện tình cờ - 17 -
Nghiên cứu chẩn đoán và điều trị phẫu thuật bướu tuyến thượng thận phát hiện tình cờ - 18 -
Nghiên cứu chẩn đoán và điều trị phẫu thuật bướu tuyến thượng thận phát hiện tình cờ - 19
Xem toàn bộ 169 trang tài liệu này.
Ghi chú: hình bên trái: trước phẫu thuật; hình bên phải: sau phẫu thuật 08 tuần, triệu chứng có cải thiện sau 08 tuần phẫu thuật

Phim CT scan bướu TTT bên trái, không chức năng
[Hồ Đình D., 32 tuổi, SNV: 214114642]


Bệnh phẩm bướu hạch thần kinh bên trái
[Hồ Đình D., 32 tuổi, SNV: 214114642]

Phim CT scan bướu TTT bên phải có chồi bướu trong TM chủ dưới
[Trần Thị L., 66 tuổi, SNV: 2170095304]

Bệnh phẩm bướu sắc bào tủy TTT ác tính bên phải và chồi bướu
[Trần Thị L., 66 tuổi, SNV: 2170095304]

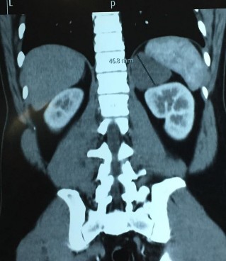
Phim CT scan bướu TTT bên trái có chồi bướu trong TM chủ dưới
[Nguyễn Thị N., 36 tuổi, SNV: 2160102149]

Bệnh phẩm ung thư biểu mô vỏ TTT, thận trái và chồi bướu
Ghi chú: mô tả TM chủ dưới và TM thận 2 bên sau khi cắt thận trái và bướu TTT trái thành 1 khối.
[Nguyễn Thị N., 36 tuổi, SNV: 2160102149]


Phim MRI bướu tuyến thượng thận 2 bên


Bệnh phẩm bướu sắc bào tủy TTT bên trái

Phim MRI sau phẫu thuật cắt bướu TTT bên trái
[Nguyễn P., 37 tuổi, SNV: 214061952]

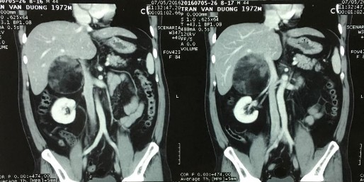
Phim CT scan bướu mỡ tủy thượng thận bên phải
[Trần Văn D., 44 tuổi, SNV: 2160063310]


Bệnh phẩm bướu mỡ tủy thượng thận bên phải
[Trần Văn D., 44 tuổi, SNV: 2160063310]
Phẫu tích tĩnh mạch chủ dưới đoạn có chồi bướu
[BN Nguyễn Thị N., 36 tuổi, SNV: 2160102149]
Ghi chú: Mũi tên chỉ chồi bướu trong TM chủ dưới, hình bên trái: TM chủ dưới và TM thận 2 bên; hình bên phải: TM chủ dưới và TM thận phải.



