
Hình 4.4. Điện não đồ ngoài cơn: các kịch phát dạng nhọn-sóng chậm vùng trán thái dương bên phải (bệnh nhân Phạm Thị Mỹ L. trong nghiên cứu)
Về tổng thể, độ đặc hiệu của sóng kịch phát dạng động kinh giữa các cơn trong chẩn đoán động kinh ở người trưởng thành là khá cao, hơn 90% nếu người phân tích điện học não là những bác sỹ có kinh nghiệm. Dạng kịch phát chu kỳ ở các chuyển đạo bên (Lateralized periodic discharges - LPDs) là loại hình thường thấy trong các trường hợp tổn thương não cấp tương đối lớn như đột quỵ, viêm não hoặc các tổn thương ác tính tiến triển nhanh. Điện não của các bệnh nhân có cơn động kinh triệu chứng cấp tính cũng thường gặp kịch phát dạng này.Tuy nhiên, các bệnh nhân được lựa chọn trong nghiên cứu của chúng tôi không có tình trạng bệnh não cấp tính, do đó dạng kịch phát có tính chất chu kỳ này không được thấy trong các bản ghi. Dạng sóng kịch phát bất thường chúng tôi ghi được ngoài cơn là phức hợp nhọn, đa nhọn kèm sóng chậm xuất hiện ngắt quãng khu trú ở 1 vài chuyển đạo, có thể kèm theo hiện tượng đối pha, gợi ý ổ phát sinh cơn động kinh. Như vậy, việc ghi điện não đa số là điện não ngoài cơn tại thời điểm xa cơn co giật gần nhất xuất hiện của người bệnh, thời gian làm điện não ngắn cũng như phần lớn người bệnh đều đang điều trị thuốc sẽ làm giảm khả năng xuất hiện các hoạt động kịch phát dạng sóng động kinh.
Trong nghiên cứu này, xác suất có điện não đồ bình thường ở nhóm động kinh toàn thể cao gấp 1,57 lần so với nhóm cơn cục bộ (RR=1,57; CI 95%=1,13-2,17; p=0,0002), cao gấp 1,46 lần ở nhóm không giật trước mang thai so với nhóm còn giật, cao gấp 1,52 lần ở nhóm không giật thai kỳ so với nhóm còn giật trong thai kỳ; cao gấp 1,53 lần ở nhóm cơn giật ổn định so với nhóm cơn giật tăng cường; cao gấp 1,73 lần ở nhóm có tần suất cơn dưới 2 lần/tháng so với nhóm có tối thiểu 2 cơn
/tháng. Thêm vào đó, xác suất có điện não đồ bất thường ở nhóm động kinh cục bộ không có cơn toàn thể hóa cao gấp 1,9 lần so với nhóm động kinh có co giật co cứng (gồm động kinh toàn thể và động kinh cục bộ toàn thể hóa) (RR=1,9; 95% CI=1,14- 3,47; p=0,023). Như vậy, điện não đồ bất thường có xác suất gặp cao hơn ở các nhóm người bệnh có hoạt động động kinh chưa ổn định. Tuy nhiên, các nghiên cứu lại cho thấy: điện não đồ bình thường không thể loại trừ hoàn toàn động kinh (khoảng 10%- 20% bệnh nhân bị động kinh giai đoạn hoạt động không có sóng kịch phát dạng động kinh giữa các cơn) cũng như độ nhạy trong điện não đồ thường quy giúp phát hiện kịch phát dạng động kinh giữa các cơn (interictal epileptiform discharges-IED) ở bệnh nhân động kinh chỉ là 20%-50% (dù đã ghi điện não nhiều lần, kéo dài thời gian làm, ghi điện não trong giấc ngủ hoặc sử dụng các điện cực đặc biệt giúp tăng độ nhạy này) [151]. Do đó, dù các biểu hiện bất thường dạng sóng động kinh trên điện não đồ là yếu tố tiên lượng nguy cơ cơn giật tái phát có giá trị nhưng việc chỉnh liều thuốc cho bệnh nhân vẫn chủ yếu dựa vào mức độ hoạt động của cơn giật trên lâm sàng [132].
Ngược lại với hoạt động kịch phát dạng động kinh, sóng chậm khu trú hoặc lan tỏa thường không đặc hiệu, nó không chỉ điểm cho tổn thương não tại vị trí tương ứng và không gợi ý động kinh do tính chất phóng điện và lan tỏa kích thích rất nhanh của vùng neuron bị tổn thương đến các vùng khác nhau của vỏ não, trừ một ngoại lệ là những hoạt động delta thành nhịp ngắt quãng khu trú ở thái dương (pattern of temporally-located intermittent rhythmic delta activity - TIRDA) chỉ điểm ổ động kinh xuất phát từ thùy thái dương [24],[151]. Trong nghiên cứu này, chúng tôi cũng phát hiện được vài bản ghi có hoạt động delta thành nhịp ngắt quãng khu trú vùng trán và thái dương, trong đó có hai bệnh nhân có tổn thương não thái dương cùng bên trên phim chụp MRI sọ não (hình 4.3 và 4.5).
Hình 4.5. Điện não đồ ngoài cơn: sóng chậm thành nhịp ngắt quãng tần số 4-5 Hz vùng thái dương bên phải và MRI sọ não: tổn thương teo hồi hải mã và thái dương trong bên phải (bệnh nhân Phạm Thị H. trong nghiên cứu)
4.1.2.2. Cộng hưởng từ não
Tỷ lệ bệnh nhân có hình ảnh MRI sọ não chưa thấy bất thường chiếm cao nhất (68,04%). Trong nhóm có MRI não bất thường, tổn thương nhiều vị trí (đa phần vẫn ở cùng 1 bên bán cầu) hay gặp nhất 13,04%, tổn thương khu trú thái dương và khu trú trán chiếm 10,31% và 8,25%. Các tổn thương thấy được trên cộng hưởng từ bao gồm: các di chứng viêm nhiễm hệ thần kinh trung ương (12,37%), chấn thương sọ não (10,31%); u não, màng não đã phẫu thuật (2,05%) còn lại là các nguyên nhân dị dạng mạch não (4,12%), loạn sản khu trú vỏ não (2,05%) và xơ teo hồi hải mã (1,03%). Như vậy nguyên nhân của động kinh hay gặp nhất trong nghiên cứu là các di chứng chấn thương sọ não và di chứng viêm nhiễm hệ thần kinh (hình 4.7- 4.10). Các tổn thương này có thể là khuyết vỏ não khu trú và/ hoặc teo não vùng vỏ, dưới vỏ.
Nhóm có cơn động kinh cục bộ có xác suất có tổn thương não trên MRI cao gấp 5,7 lần so với nhóm động kinh toàn thể (RR=5,7, CI 95%=2,6-12,6; p=0,001). Ngoài ra, xác suất MRI não bình thường ở nhóm không co giật trước mang thai cao gấp 1,38 lần so với nhóm còn cơn giật (RR=1,38, CI 95%=1,06-1,78; p=0,022), ở nhóm không cơn giật trong thai kỳ cao gấp 1,34 lần so với nhóm còn cơn giật trong thai kỳ (RR=1,34, CI 95%=1,04-1,73; p=0,037), ở nhóm có tần suất cơn dưới 2 lần/tháng cao gấp 1,42 lần so với nhóm có tối thiểu 2 cơn/tháng (RR=1,42; CI 95%=1,06-1,94; p=0,014). Điều này cũng có nghĩa, MRI não bất thường có xác suất gặp cao hơn ở các nhóm người bệnh có hoạt động động kinh chưa ổn định. Chúng tôi cũng nhận thấy một vài bệnh nhân có hình ảnh sóng chậm khu trú trên điện não đồ nhưng hình ảnh MRI não lại bình thường; hay bệnh nhân có cộng hưởng từ bất thường nhưng điện não đồ lại hoàn toàn bình thường. Ngoài ra, khi cả điện não đồ và cộng hưởng từ đều có bất thường khu trú thì vị trí tổn thường đôi khi không hoàn toàn trùng khớp. Như vậy, có thể gặp các tình huống: vùng não khởi phát cơn động kinh nằm ở sâu hơn nên vị trí có sóng bất thường trên điện não thực chất chỉ là vùng vỏ não bị kích thích bởi hiện tượng phóng điện; hoặc bề mặt vỏ não vùng gây động kinh kích thước nhỏ quá nhỏ nên trên điện não thường quy 10/20 không phát hiện được hoạt động bất thường; và có thể vùng não tổn thương thấy được trên cộng hưởng từ không phải là ổ khởi phát cơn động kinh.
Có thể bạn quan tâm!
-
Đặc Điểm Về Hoạt Động Động Kinh Và Việc Kiểm Soát Cơn Trước Mang Thai -
Đặc điểm lâm sàng, cận lâm sàng và một số yếu tố liên quan của động kinh ở phụ nữ có thai - 14 -
Điện Não Đồ Trong Cơn Ngưng Hành Vi: Phức Hợp Kịch Phát Nhọn-Sóng Chậm 2-3 Hz Kéo Dài 10 Giây (Bệnh Nhân Nguyễn Mai L. Trong Nghiên Cứu) -
Các Yếu Tố Ảnh Hưởng Đến Kết Cục Thai Kỳ Các Yếu Tố Ảnh Hưởng Đến Quyết Định Đẻ Mổ -
Đặc điểm lâm sàng, cận lâm sàng và một số yếu tố liên quan của động kinh ở phụ nữ có thai - 18 -
Đặc điểm lâm sàng, cận lâm sàng và một số yếu tố liên quan của động kinh ở phụ nữ có thai - 19
Xem toàn bộ 171 trang tài liệu này.
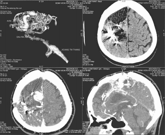
Hình 4.6. Hình ảnh AVM trán trái (bệnh nhân Nguyễn Thị Y. trong nghiên cứu)
Hình 4.7. Khuyết não trán đỉnh bên trái sau chấn thương sọ não (bệnh nhân Lương Lan H. trong nghiên cứu)
Chúng tôi muốn đề cập đến bệnh cảnh của ba trường hợp trong nghiên cứu gồm 01 bệnh nhân sau mổ phẫu thuật u não thái dương trong, 01 bệnh nhân có loạn sản vỏ não thái dương và 01 trường hợp dị dạng mạch não AVM đã can thiệp. Các
bệnh nhân đều được dùng loại thuốc động kinh phù hợp với loại cơn và đủ liều nhưng vẫn còn cơn co giật. Bệnh nhân có phẫu thuật u nang thái dương thuộc nhóm được tư vấn; đã cắt cơn giật trước mang thai 15 tháng, được chỉnh thuốc điều trị trước mang thai 3 tháng, nhưng có cơn giật cục bộ toàn thể hóa tái phát ở quý ba của thai kỳ và khi chuyển dạ nên người bệnh được mổ đẻ cấp cứu. Đối với trường hợp có loạn sản vỏ não thùy thái dương, bệnh nhân còn nhiều cơn cả trước và trong quá trình mang thai, bệnh nhân có cơn động kinh cục bộ phức tạp, hay quên thuốc hoặc tự giảm liều thuốc dù đã được tư vấn trước và trong khi mang thai. Ngược lại, bệnh nhân có tổn thương dị dạng mạch não AVM tuy có nhiều cơn trước mang thai nhưng sau khi được tư vấn chỉnh thuốc, bệnh nhân tuân thủ tốt việc dùng thuốc và thời gian không cơn trước mang thai là 17 tháng. Người bệnh không có cơn giật trong quá trình mang thai và chuyển dạ; đẻ thường đủ tháng an toàn.

Hình 4.8. AVM bán cầu phải sau nút mạch 02 lần (bệnh nhân Nguyễn Thị H. trong nghiên cứu)
Hình 4.9. Loạn sản vỏ não thái dương bên phải (bệnh nhân Nguyễn Thị O. trong nghiên cứu )
Hình 4.10. Khuyết não thái dương bên phải sau phẫu thuật u não (bệnh nhân Nguyễn Thị Ph. trong nghiên cứu)
4.2. Một số yếu tố liên quan đến hoạt động của cơn động kinh trong thai kỳ và kết cục thai kỳ.
4.2.1. Các yếu tố ảnh hưởng đến hoạt động của cơn giật trong thai kỳ
Theo đa số các nghiên cứu, tần suất cơn giật trong thai kỳ tăng lên ở khoảng 17-33% bệnh nhân bị động kinh, cơn giật khó kiểm soát ở khoảng 15-35% và cải thiện ở khoảng 1/3-1/2 số bệnh nhân mà không phụ thuộc vào loại cơn giật và không liên quan đến việc kiểm soát cơn trước mang thai [3],[37],[118]. Tuy nhiên, kết quả trong một vài nghiên cứu khác lại cho rằng yếu tố tiên lượng quan trọng nhất đối với hoạt động của cơn giật trong quá trình mang thai là việc có xuất hiện cơn co giật trong tháng ngay trước khi mang thai, yếu tố tiên lượng độc lập tiếp theo là cơn cục bộ (so với cơn toàn thể) và việc điều trị đa trị liệu [43],[118],[144]. Cụ thể hơn, phụ nữ bị động kinh nếu còn cơn giật ngay trong tháng trước khi có thai sẽ có nguy cơ cao gấp 15 lần về khả năng có cơn co giật trong quá trình mang thai (OR=15, 95% CI 9-25)[43]. Hơn nữa, khi người bệnh không có cơn giật tối thiểu 1 năm trước mang thai thì tỷ lệ không có cơn động kinh trong suốt quá trình mang thai sẽ đạt tới 80-90% [3],[37],[42],[43]. Như vậy, thời gian cắt cơn trước thụ thai của người bệnh càng dài sẽ càng đảm bảo khả năng họ không có cơn trong suốt thai kỳ. Nghiên cứu của chúng tôi cũng cho kết quả gần tương tự: tỷ lệ bệnh nhân không có cơn co giật trong thai kỳ của nhóm không có cơn co giật tối thiểu 1 năm trước khi mang thai là 27/38 bệnh nhân (chiếm 71,1%); đặc biệt tỷ lệ này ở nhóm được tư vấn là 22/27 bệnh nhân (chiếm 80,6%) và nguy cơ bệnh nhân còn cơn giật hoạt động trong thai kỳ cao gấp 3,1 lần ở nhóm còn cơn giật trước mang thai so với nhóm không có cơn tối thiểu 1 năm trước mang thai (RR=3,1; 95% CI=1,87-5,4; OR=21,68; CI 95%=7,24- 64,97; p=0,001).
Đối với cơn giật tái phát trong thai kỳ, các kết quả nghiên cứu hồi cứu cho thấy: tỷ lệ bệnh nhân có cơn giật tái phát sau dừng thuốc 6-12 tháng ở người bệnh không có cơn giật từ 2-5 năm kèm dừng thuốc điều trị 15-30%); phụ thuộc vào hội chứng động kinh của bệnh nhân và một vài yếu tố khác mang tính cá thể [132]. Trong khi đó, tỷ lệ người bệnh có cơn giật tái phát trong thai kỳ ở nhóm đã kiểm soát cơn giật tối thiểu 1 năm trước mang thai nhưng vẫn duy trì thuốc chỉ là 10%, kết quả này phản ánh việc cơn giật trước thai kỳ ổn định kết hợp duy trì thuốc hợp lý sẽ đảm






