Hình 1.17. Nghiệm pháp Gerber42
Nghiệm pháp trên có nhược điểm là không thể thực hiện khi BN có giới hạn xoay trong cánh tay do đau và chỉ dương tính khi ít nhất tổn thương 75% gân, do đó nó không phải là một test chính xác khi có tổn thương phần trên của gân dưới vai.
Vì vậy để test phần trên của gân dưới vai ta sử dụng Bear Hug test (nghiệm pháp ôm gấu), nghiệm pháp này dương tính khi BN đặt tay vào vai đối diện đã đau, hoặc khi người khám nhấc bàn tay ra khỏi vai thì đau chống lại.
Hình 1.18. Nghiệm pháp ôm gấu46
Nghiệm pháp phát hiện rách lớn gân chóp xoay:
Nghiệm pháp cánh tay rơi: Nghiệm pháp này thường gặp trong rách hoàn toàn và rách lớn của CX.
Có thể bạn quan tâm!
-
Nghiên cứu điều trị rách chóp xoay bằng kỹ thuật nội soi khâu gân Mason-Allen cải biên và tạo vi tổn thương tại diện bám - 2 -
Xác Định Một Số Chỉ Số Giải Phẫu Diện Bám Chóp Xoay Ứng Dụng Trong Phẫu Thuật Nội Soi Khâu Gân Chóp Xoay. -
Nhìn Từ Phía Sau Của Khớp Vai. Bờ Sau Của Diện Bám Gân Trên Gai Bị Bờ Trước -
Hình (A) Trụ Neo Cột Đặt Ở Vị Trí Xa Cột Góc. Hình (B) Trụ Neo Cột Đặt Ở Vị Trí Gần Cột Góc 62. -
Kỹ Thuật Tạo Vi Tổn Thương Trong Liệu Pháp Tế Bào -
(A) Cắt Bỏ Thân Gân Tại Vị Trí Diện Bám. (B) Đánh Dấu Diện Bám Của Từng Gân Cx Và Các Mốc Dùng Để Tham Chiếu
Xem toàn bộ 221 trang tài liệu này.

Hình 1.19. Nghiệm pháp cánh tay rơi 42.
1.3.1.3. Cận lâm sàng
a. Chụp X-quang thường quy47,48
Bao gồm chụp X-quang khớp vai tư thế trước sau, và X-Quang khớp vai nghiêng kiểu Lamy
Dựa trên phim tư thế trước sau ta có thể xác định hình dạng củ lớn xương cánh tay, KC chỏm xương cánh tay và bề mặt dưới của MCV. Việc thu hẹp KC chỉ ra sự di chuyển lên trên của đầu xương cánh tay, điều đó đã được liên kết với rách của gân CX, đặc biệt là cơ trên gai.

Hình 1.20. X-quang khớp vai tư thế trước sau trong rách lớn CX thấy chỏm xương cánh tay ở sát ngay mặt dưới xương MCV.
Nguồn: Theo nguồn AAOS (American Academy of Orthopaedic Surgeons)
X-Quang khớp vai nghiêng kiểu Lamy cho phép thấy hố trên gai và dưới gai, cho thấy gián tiếp toàn bộ CX bao quanh chỏm xương cánh tay, cho phép định vị được khối calci hoá cơ CX, thấy lỗ rách gân CX khi có bơm thuốc cản quang, phân tích được hình dạng của phần xa của mỏm cùng, mỏm quạ và xương bả vai.

Hình 1.21. Minh họa calci hóa gân CX khớp vai nhìn trên tư thế Lamy
Nguồn: Theo nguồn AAOS (American Academy of Orthopaedic Surgeons)
b. Chụp cắt lớp vi tính (CT)
Chụp cắt lớp vi tính có bơm thuốc cản quang: Có độ nhạy là 99%, độ đặc hiệu là 100% cho chẩn đoán rách gân trên gai, đối với gân dưới gai tỉ lệ này lần lượt là 97,44% và 99,52%, đối với gân dưới vai là 64,71% và 98,17%. Cho những tổn thương của phần đầu dài gân nhị đầu là 45,76% và 99,57%49.
c. Chụp cộng hưởng từ (CHT)
Trên các mặt phẳng cắt ta có thể thấy và xác định được sự vôi hoá của dây chằng cùng vai-quạ hoặc sự hiện diện của một chồi xương dưới MCV.
Phim cộng hưởng từ cho thấy các hình ảnh bệnh lý của CX, nó có độ nhạy và độ đặc hiệu lớn hơn 90% đặc biệt khi có tiêm thuốc tương phản từ.
Các dấu hiệu về bệnh lý gân CX trên phim có tiêm thuốc tương phản từ:
Viêm gân cơ CX: hình ảnh gân dày không đều, tăng tín hiệu trên PD fatsat nhưng tăng không cao như tín hiệu dịch. Viêm gân thường đi kèm
với tín hiệu phù hay rách một phần gân cơ. Các tổn thương mô mềm kèm theo: tổn thương dây chằng, bao khớp, bao hoạt dịch…
Rách bán phần gân: Trên phim thấy hình ảnh khuyết bề mặt gân cơ ở phía mặt khớp hoặc mặt bao hoạt dịch 50. Bao khớp không bị rách nên không thấy thoát thuốc đối quang ra ngoài ổ khớp.
Rách hoàn toàn gân: Thấy hình ảnh mất liên tục toàn bộ bề dầy gân cơ từ mặt khớp đến mặt bao hoạt dịch, nếu đứt hoàn toàn có dấu hiệu co rút cơ về phía nguyên ủy. Dấu hiệu gián tiếp trên CHT tiêm thuốc có thể thấy thoát thuốc đối quang ra ngoài bao hoạt dịch dưới MCV và dưới cơ Delta.

Siêu âm.
Hình 1.22. Rách hoàn toàn gân cơ trên gai 51
Có độ nhạy và độ đặc hiệu lớn hơn 90% theo các báo cáo ở nước ngoài.
Chưa có công trình nghiên cứu trong nước công bố độ nhạy và độ đặc hiệu.
Hình ảnh dịch trong khoang dưới MCV và dưới mỏm quạ, hình ảnh viêm túi hoạt dịch dưới MCV, viêm gân CX, rách gân chóp xoay, viêm đầu dài gân nhị đầu.

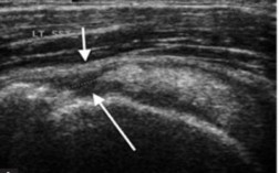
Hình 1.23. Hình minh họa trên siêu âm, mũi tên màu trắng cho thấy hình ảnh rách gân trên gai hoàn toàn52.
1.3.2. Phân loại rách hoàn toàn chóp xoay
Có nhiều cách phân loại khác nhau về RCX, dựa vào phân loại rách có thể tiên lượng và đưa ra hướng xử trí phù hợp với từng loại rách.
Theo hình dạng53
Với rách hoàn toàn:
- Hình C
- Hình U
- Hình L
- Rách rất lớn

Hình 1.24. Các hình dạng rách hoàn toàn CX53.
Theo mức độ co r t gân
Theo phân loại của Patte có 3 mức độ co rút54:
Độ 1: vị trí gân co rút nằm ở ngoài chỏm xương cánh tay.
Độ 2: gân co rút nằm ở đỉnh chỏm xương cánh tay.
Độ 3: gân co rút nằm ở ngang mức ổ chảo xương vai.

Hình 1.25. Phân loại Patte về mức độ co rút gân54.
Theo kích thước của Cofield R.H
Phân loại rách hoàn toàn này dựa theo đường kính lớn nhất55:
- Rách nhỏ <1cm.
- Rách vừa: 1-3cm.
- Rách lớn: 3-5cm.
- Rách rất lớn: >5cm. Rách rất lớn (massive tear) là loại rách có kèm theo co rút nhiều, độ thoái hóa mỡ cao và có thể không thể khâu hồi phục được.
Theo mức độ thoái hóa mỡ trong cơ
Theo Goutallier, có 05 mức độ thoái hóa mỡ trong cơ56.
Độ 0: cơ bình thường
Độ 1: có một vài dải mỡ trong cơ
Độ 2: mỡ chiếm <50% cơ
Độ 3: tỷ lệ mỡ chiếm 50% cơ
Độ 4: tỷ lệ mỡ chiếm >50% cơ

Hình 1.26. Mức độ thoái hóa mỡ trong cơ theo Goutallier 56
1.4. ĐIỀU TRỊ RÁCH CHÓP XOAY
Về việc lựa chọn phương thức điều trị nào thì phải xét trên nhiều yếu tố như: mong muốn về chất lượng cuộc sống của BN, nhu cầu vận động; yếu tố toàn trạng, tuổi cũng như cơ địa cá nhân, có đáp ứng với điều trị bảo tồn không; thậm chí còn phải xét đến vấn đề kinh tế điều trị.
1.4.1. Điều trị không phẫu thuật
1.4.1.1. Chỉ định2,46,57,58
- Khi không có tiền sử chấn thương rõ ràng mà triệu chứng không rầm rộ, trên CHT có tổn thương rách nhỏ.
- Với những BN thể giả liệt hoặc hạn chế vận động quá nhiều cũng nên chỉ định điều trị nội khoa với các bài tập VLTL để cải thiện sức cơ xung quanh cũng như sự linh hoạt của khớp trước khi tiến hành phẫu thuật.
- Rách lớn và rất lớn mà BN chỉ có nhu cầu vận động ít (những sinh hoạt cơ bản) hoặc bệnh lý toàn thân có chống chỉ định với phẫu thuật. Khi này mục tiêu điều trị bảo tồn nhằm giảm đau và cải thiện được chức năng khớp càng nhiều càng tốt.
1.4.1.2. Cách thức2 59
- Chườm lạnh, thuốc NSAIDs, thay đổi thói quen hoạt động (đặc biệt là các động tác đưa tay quá đầu).
- Khi BN đỡ đau sẽ tiến hành các bài tập vật lý trị liệu, phục hồi chức năng bao gồm duy trì tầm vận động, tăng cường sức mạnh cơ Delta, ổn định xương bả vai và cơ CX.
- Nếu các biện pháp trên không mang lại hiệu quả, có thể tiêm steroid trực tiếp vào khoang dưới mỏm cùng. Tuy nhiên steroid có thể gây đứt gân cũng như các tác dụng phụ nên nó không phải là phương pháp điều trị lâu dài cho tình trạng bệnh lý CX cũng như các bệnh lý khác ở vùng vai. Liệu trình 1 số tác giả đề xuất là nếu BN đến với bác sĩ trong tình trạng viêm đau tiến triển thì tiêm 3 mũi corticoid trong 3 tháng đầu, sau đó duy trì 1 mũi 1 năm.
- Một số nghiên cứu gần đây đang đi sâu vào nghiên cứu hiệu quả của tiêm huyết tương giàu tiểu cầu (PRP: Platelet-rich plasma) nhưng kết quả còn chưa thật sự rõ ràng.
1.4.2. Điều trị phẫu thuật
1.4.2.1. Chỉ định2,46,57,58
- BN thất bại sau điều trị bảo tồn: BN đã được điều trị theo phác đồ bảo tồn trong 3-6 tháng mà không đáp ứng điều trị, hoặc đáp ứng điều trị rất chậm kèm theo sự không hài lòng về chất lượng cuộc sống của BN.
- RCX do chấn thương mà trước đó chức năng khớp vai bình thường.
- Rách lớn CX gây yếu vai và hạn chế chức năng khớp vai mà chất lượng gân cơ còn tốt.
1.4.2.2. Phẫu thuật mổ mở
Chỉ định phẫu thuật mổ mở sửa chữa những tổn thương CX là phương pháp kinh điển trong lịch sử điều trị bệnh, khi mà chưa có sự phát triển về kỹ thuật nội soi. Tuy nhiên một điều mà các tác giả đều công nhận là mổ mở thì can thiệp khá lớn vào cơ Delta (tùy mức độ tổn thương CX mà mở rộng hay nhỏ) điều này dẫn đến việc phục hồi cơ Delta mất nhiều thời gian do đó ảnh hưởng đến quá trình phục hồi chức năng khớp vai sau phẫu thuật.
1.4.2.3. Phẫu thuật nội soi
Nội soi khớp vai đã phát triển đáng kể trong vài thập kỷ vừa qua, với nhiều ưu điểm và lợi thế hơn phẫu thuật mổ mở như ít xâm lấn, cho thời gian hồi phục sau mổ nhanh hơn, giảm đau và nguy cơ cứng khớp sau phẫu thuật rất tốt, bảo tồn điểm bám của cơ Delta khắc phục được tình trạng teo cơ Delta của mổ mở. Với những phẫu thuật viên có kinh nghiệm thì kỹ thuật này có thể giúp cho các phẫu thuật viên có thể kiểm tra toàn bộ những bệnh lý của khớp ổ chảo xương cánh tay có liên quan, kèm theo khả năng mô tả đầy đủ các kiểu rách60,61.
Tuy nhiên phương pháp này cũng có những nhược điểm như thời gian mổ lâu hơn và giá thành cao hơn. Kỹ thuật cũng khó hơn đòi hỏi phẫu thuật viên có kinh nghiệm trong lĩnh vực nội soi khớp.
1.5. KỸ THUẬT KHÂU GÂN CHÓP XOAY RÁCH QUA NỘI SOI
1.5.1. Kỹ thuật đóng neo vào xương
1.5.1.1. Lý thuyết về góc trụ neo
Qua quan sát hệ thống hàng rào mới đang được xây dựng tác giả Burkhart đã thấy tại cột góc của hàng rào những người xây dựng đã đặt một






