
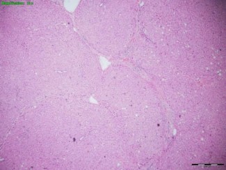
Hình 2.9. Tổn thương gan 3/6 theo Ishak (BN N20-0204706)

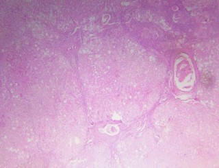
Hình 2.10. Tổn thương gan 4/6 theo Ishak (BN A10-0047088)

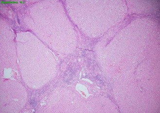
Hình 2.11. Tổn thương gan 5/6 theo Ishak (BN N18-0396611)

Hình 2.12. Tổn thương gan 6/6 theo Ishak (BN N19-0208006)
2.6.4 Thu thập số liệu
Các số liệu được thu thập theo bệnh án mẫu (Phụ lục).
Độ thanh lọc ICG và thể tích gan bảo tồn được đo đạc và tính toán bởi cùng một nhóm và theo một quy trình thống nhất.
2.7 Quy trình nghiên cứu
Thu thập số liệu: từ tháng 10 năm 2016 đến hết tháng 3 năm 2021, trong đó, số liệu thứ cấp được thu thập từ tháng 10 năm 2016 đến trước ngày 09/07/2019, số liệu sơ cấp được thu thập từ 09/07/2019 đến khi hết tháng 3 năm 2021.
Xử lý số liệu: từ tháng 4 năm 2021 đến hết tháng 6 năm 2021.
Viết luận án và hai bài báo liên quan luận án: tháng 7 năm 2021 đến hết tháng 12 năm 2021.
2.8 Phương pháp trình bày và phân tích số liệu
Các số liệu được xử lý bằng phần mềm IBM SPSS 26.0 và R 4.0.5.
Các biến liên tục sẽ được trình bày bằng tứ phân vị với Q1 là bách phân vị 25, Q2 là trung vị, Q3 là bách phân vị 75, giá trị nhỏ nhất và lớn nhất: tuổi,
diện tích cơ thể (BSA), ICG-R15, ICG-PDR, albumin máu, bilirubin máu, INR, RLV/SLV, RLV/P, số ngày nằm viện. Khi so sánh giữa các nhóm, các biến sẽ được trình bày bằng tứ phân vị dạng Q2 (Q1 - Q3).
- Nếu biến số có phân phối chuẩn, sẽ được kiểm định sự khác biệt giữa hai nhóm bằng T-test, giữa nhiều nhóm bằng One-Way ANOVA test và phân tích hậu định bằng phương pháp Tukey’s HSD.
- Nếu biến số phân phối không chuẩn nhưng logarithm có phân phối chuẩn thì sẽ được kiểm định sự khác biệt giữa hai nhóm bằng T-test, giữa nhiều nhóm bằng One-Way ANOVA test cho logarithm của biến số. Cách này sẽ tìm được sự khác biệt giữa các nhóm nhiều hơn các kiểm định phi tham số.
- Nếu biến số phân phối không chuẩn và logarithm cũng phân phối không chuẩn, sẽ được kiểm định sự khác biệt giữa hai nhóm bằng Mann-Whitney U test, giữa nhiều nhóm bằng Kruskal-Wallis test.
Các biến định tính hoặc thứ bậc: giới, điểm Child-Pugh, phân độ Child- Pugh, mức độ cắt gan, phương pháp cắt gan, mức độ xơ gan trên giải phẫu bệnh, bản chất u gan trên giải phẫu bệnh, biến chứng phẫu thuật, biến chứng suy gan, phân độ suy gan, sẽ được trình bày bằng tỉ lệ, kiểm định sự khác biệt bằng Chi- Square test hoặc Fisher’s Exact test.
Ở mục tiêu nghiên cứu thứ nhất, chúng tôi tìm mối tương quan giữa biến liên tục là độ thanh lọc ICG (ICG-R15) và biến thứ bậc là mức độ xơ gan theo thang điểm Ishak bằng tương quan Spearman.
Ở mục tiêu nghiên cứu thứ hai, chúng tôi so sánh độ thanh lọc ICG và thang điểm Child-Pugh trong đánh giá chức năng gan trước phẫu thuật cắt gan dựa trên hai tiêu chuẩn:
- Tiêu chuẩn thứ nhất: so sánh độ thanh lọc ICG với thang điểm Child- Pugh trong tiên lượng mức độ xơ gan trên giải phẫu bệnh theo thang điểm Ishak.
- Tiêu chuẩn thứ hai: so sánh độ thanh lọc ICG với thang điểm Child- Pugh trong tiên lượng biến chứng suy gan sau phẫu thuật cắt gan.
Ở mục tiêu nghiên cứu thứ ba, chúng tôi tìm mối liên quan giữa hai phương tiện đánh giá chức năng gan trước mổ là độ thanh lọc ICG (ICG-R15) và thể tích gan bảo tồn (RLV/SLV) với biến chứng suy chức năng gan sau phẫu thuật cắt gan lớn. Từ đó, chúng tôi xây dựng mô hình ước tính nguy cơ suy gan sau phẫu thuật cắt gan lớn được dựa trên mô hình hồi quy logistic (logistic regression model).
Trong nghiên cứu, chúng tôi đã xây dựng hai mô hình tiên lượng để ước tính hai biến kết cuộc là mức độ xơ gan trên giải phẫu bệnh theo thang điểm Ishak và tỉ lệ suy chức năng gan sau phẫu thuật cắt gan lớn.
- Các biến số độc lập được lựa chọn để đưa vào mô hình tiên lượng dựa vào thực tế lâm sàng về sự ứng dụng của các biến số này trong tiên lượng biến kết cuộc.
- Mô hình ước tính mức độ xơ gan trên giải phẫu bệnh theo thang điểm Ishak:
Mô hình này được xây dựng dựa trên mô hình hồi quy logistic cho biến kết cuộc có thứ bậc (ordinal logistic regression model). Dựa vào hai biến số về dân số học (giới tính, tuổi) và các xét nghiệm chức năng gan trước phẫu thuật (ICG-R15, nồng độ bilirubin máu, INR, số lượng tiểu cầu), ba mô hình giúp ước tính điểm số Ishak được xây dựng như sau:
+ Mô hình đơn biến chỉ dựa vào giá trị ICG-R15.
+ Mô đa biến dựa vào cả 6 biến số trên.
+ Mô hình đa biến được rút gọn bằng phương pháp đơn giản hoá tuần tự (backward stepwise variable selection) dựa trên tiêu chuẩn chọn lựa AIC (Akaike Information Createrion: Tiêu chí thông tin Akaike).
- Mô hình ước tính tỉ lệ suy gan sau phẫu thuật cắt gan lớn:
Mô hình này được xây dựng dựa trên mô hình hồi quy logistic. Dựa vào các biến số về dân số học (tuổi, giới tính), độ thanh lọc (ICG-R15), mức độ xơ gan trên giải phẫu bệnh (điểm số Ishak) và thể tích gan bảo tồn (RLV/SLV), hai mô hình giúp ước tính nguy cơ suy gan sau phẫu thuật cắt gan được xây dựng như sau:
+ Mô hình đa biến dựa vào cả 5 biến số trên.
+ Mô hình đa biến được rút gọn bằng phương pháp đơn giản hoá tuần tự (backward stepwise variable selection) dựa trên tiêu chuẩn chọn lựa AIC (Akaike Information Createrion: Tiêu chí thông tin Akaike).
- Mô hình đa biến rút gọn được xây dựng nhằm mục đích làm cho mô hình được ứng dụng trên lâm sàng dễ dàng và vẫn giữ được hiệu quả tương đương mô hình đa biến đầy đủ.
- Các chỉ số thể hiện hiệu quả của mô hình được kiểm chứng (validate) và hiệu chỉnh sai lệch (optimism correction) bằng phương pháp lấy mẫu có hoàn lại (bootstrap resampling) lặp lại 1000 lần.
2.9 Đạo đức trong nghiên cứu
ICG đã được Bộ Y tế Việt Nam cho phép sử dụng trên bệnh nhân từ tháng 5 năm 2016 (Phụ lục). Bệnh viện Đại học Y Dược thành phố Hồ Chí Minh là bệnh viện duy nhất trong cả nước được phép sử dụng ICG trong đánh giá chức năng gan trước phẫu thuật cắt gan.
Tất cả các bệnh nhân đều được giải thích lợi ích của độ thanh lọc ICG trong đánh giá chức năng gan, phản ứng phụ và phản ứng dị ứng có thể xảy ra, cũng như chi phí thực hiện. Khi bệnh nhân đồng ý, xét nghiệm mới được tiến hành. Các thông tin của bệnh nhân chỉ được ghi nhận và đưa vào nghiên cứu khi được sự đồng ý của bệnh nhân.
Đề tài đã được Hội đồng Đạo đức trong nghiên cứu Y sinh học Đại học Y Dược thành phố Hồ Chí Minh thông qua vào ngày 09/07/2019, mã số 316/ĐHYD-HĐĐĐ (Phụ lục).
Chương 3. KẾT QUẢ
Trong thời gian từ tháng 10 năm 2016 đến hết tháng 3 năm 2021, có 340 bệnh nhân thỏa tiêu chuẩn chọn bệnh được đưa vào nghiên cứu.
3.1 Đặc điểm dân số mẫu
3.1.1 Giới tính, tuổi, diện tích da
Tỉ lệ nam: nữ là 4,6 (279:61).
Tuổi bệnh nhân có phân phối chuẩn, trung vị là 59 tuổi, Q1 là 51 tuổi, Q3 là 66 tuổi, nhỏ nhất là 17 tuổi, lớn nhất là 86 tuổi.
Diện tích da có phân phối chuẩn, trung vị là 1,66m2, Q1 là 1,56, Q3 là 1,75, nhỏ nhất là 1,18, lớn nhất là 2,03.
3.1.2 Tình trạng viêm gan
Bảng 3.1. Tình trạng viêm gan của các bệnh nhân
Số lượng | % | |
Viêm gan B | 206 | 60,6 |
Viêm gan C | 51 | 15,0 |
Đồng nhiễm viêm gan B và C | 1 | 0,3 |
Không viêm gan | 82 | 24,1 |
Tổng | 340 | 100 |
Có thể bạn quan tâm!
-
Liên Quan Giữa Độ Thanh Lọc Icg Và Tăng Áp Lực Tĩnh Mạch Cửa -
Tỉ Lệ Suy Chức Năng Gan Sau Mổ Theo Isgls Của Các Tác Giả (%) -
Phương Pháp Và Công Cụ Đo Lường, Thu Thập Số Liệu -
Biến Chứng Sau Phẫu Thuật Và Thời Gian Nằm Viện -
Tương Quan Giữa Nồng Độ Albumin Máu Trước Phẫu Thuật Và Điểm Số Ishak -
Các Tham Số Được Ước Tính Từ Mô Hình Đa Biến Rút Gọn
Xem toàn bộ 138 trang tài liệu này.
3.1.3 Chức năng gan trước phẫu thuật
3.1.3.1 Chức năng gan theo thang điểm Child-Pugh
Albumin máu có phân phối chuẩn.
Bilirubin máu có phân phối lệch phải, logarithm có phân phối chuẩn. INR có phân phối lệch phải, logarithm có phân phối không chuẩn.
Bảng 3.2. Các xét nghiệm chức năng gan trong thang điểm Child-Pugh
Trung vị | Q1 | Q3 | Nhỏ nhất | Lớn nhất | |
Albumin (g/L) | 40,60 | 37,80 | 42,90 | 28,40 | 49,70 |
Bilirubin (mmol/L) | 12,20 | 9,50 | 14,74 | 3,59 | 35,00 |
INR | 1,05 | 1,00 | 1,11 | 0,89 | 1,79 |
Bảng 3.3. Chức năng gan theo thang điểm Child-Pugh
Điểm | Số lượng | % | |
A | 5 | 306 | 90,0 |
6 | 31 | 9,1 | |
B | 7 | 3 | 0,9 |
Tổng | 340 | 100 | |
3.1.3.2 Số lượng tiểu cầu
Số lượng tiểu cầu có phân phối lệnh phải, logarithm có phân phối chuẩn, trung vị là 214 G/L, Q1 là 164 G/L, Q3 là 275 G/L, nhỏ nhất là 46 G/L, lớn nhất là 719 G/L.
3.1.3.3 Độ thanh lọc ICG
ICG-PDR có phân phối chuẩn.
ICG-R15 có phân phối lệch phải, logarithm có phân phối chuẩn.
Bảng 3.4. Độ thanh lọc ICG
Trung vị | Q1 | Q3 | Nhỏ nhất | Lớn nhất | |
ICG-PDR (%) | 19,50 | 16,60 | 19,50 | 4,20 | 43,80 |
ICG-R15 (%) | 5,40 | 3,30 | 8,30 | 0,10 | 53,30 |






