Với mục tiêu 1 và 2, cỡ mẫu được ước tính theo công thức so sánh với hệ số tương quan cho trước:
N = (
2
Z1−α/2 + Z1−β
0,5 ln 1+r ) + 3
1−r
Trong nghiên cứu trước của chúng tôi [10], r là 0,285 (p < 0,05), tính ra được N = 125,33. Vậy cỡ mẫu cần ít nhất 126 bệnh nhân cho mục tiêu 1 và 2. Cỡ mẫu này cho phép xây dựng mô hình đơn giản ước tính mức độ xơ gan trên giải phẫu bệnh dựa trên các xét nghiệm chức năng gan trước phẫu thuật cắt gan.
Với mục tiêu 3, cỡ mẫu được tính theo công thức so sánh với tỉ lệ cho trước với sai số cho phép là 10%.
Có thể bạn quan tâm!
-
Đánh Giá Chức Năng Gan Trước Phẫu Thuật Cắt Gan -
Liên Quan Giữa Độ Thanh Lọc Icg Và Tăng Áp Lực Tĩnh Mạch Cửa -
Tỉ Lệ Suy Chức Năng Gan Sau Mổ Theo Isgls Của Các Tác Giả (%) -
Các Xét Nghiệm Chức Năng Gan Trong Thang Điểm Child-Pugh -
Biến Chứng Sau Phẫu Thuật Và Thời Gian Nằm Viện -
Tương Quan Giữa Nồng Độ Albumin Máu Trước Phẫu Thuật Và Điểm Số Ishak
Xem toàn bộ 138 trang tài liệu này.
1−𝛼/2
Z2 (1-p)p
N = d2
Theo tổng quan Y văn, tỉ lệ suy gan rất thay đổi giữa các tác giả từ 2,38% cho đến rất cao 41% nên chúng tôi chọn tỉ lệ suy gan p = 0,41 để cỡ mẫu được lớn nhất. Với sai số ước tính là 0,1, tính ra được N = 92,93. Vậy cỡ mẫu cần ít nhất 93 bệnh nhân cắt gan lớn cho mục tiêu 3.
Trong nghiên cứu trước của chúng tôi [10], tỉ lệ cắt gan lớn chiếm 30,2% các trường hợp cắt gan nên cỡ mẫu nghiên cứu cần có ít nhất 308 bệnh nhân phẫu thuật cắt gan.
Vậy, cỡ mẫu cần ít nhất 308 bệnh nhân cho cả 3 mục tiêu nghiên cứu.
2.5 Các biến số nghiên cứu
Họ tên: biến chuỗi, phục vụ việc xác định bệnh nhân. Địa chỉ: biến chuỗi, phục vụ việc xác định bệnh nhân.
Số điện thoại: biến chuỗi, phục vụ việc xác định bệnh nhân. Số nhập viện: biến chuỗi, phục vụ việc xác định bệnh nhân.
Tuổi: biến liên tục, tính bằng năm phẫu thuật trừ năm sinh bệnh nhân. Giới: biến nhị giá, nhận hai giá trị: Nam, Nữ.
Chiều cao: biến liên tục, tính bằng cm. Cân nặng: biến liên tục, tính bằng kg.
Diện tích da (body surface area: BSA): biến liên tục, tính bằng m2 Các xét nhiệm chức năng gan:
- Albumin máu: biến liên tục, đơn vị g/L.
- Bilirubin máu toàn phần máu: biến liên tục, đơn vị mmol/L.
- Men gan: AST, ALT: biến liên tục, đơn vị U/L.
- INR: biến liên tục, không có đơn vị.
- Điểm Child-Pugh: biến thứ bậc, nhận 3 giá trị 5, 6, 7.
- Phân độ Child-Pugh: biến thứ bậc, nhận 2 giá trị A, B.
Số lượng tiểu cầu: biến liên tục, được lấy từ xét nghiệm công thức máu trước phẫu thuật cắt gan, đơn vị G/L
Độ thanh lọc ICG: được đo từ máy theo phương pháp LiMON:
- ICG-PDR (tỉ lệ ICG thải trừ huyết tương trong một phút đầu): biến liên tục, đơn vị %.
- ICG-R15 (tỉ lệ ICG còn lại sau 15 phút): biến liên tục, đơn vị %.
Thể tích gan bảo tồn: được tính bằng phần mềm singo.via của Siemens theo phương pháp thủ công, sau đó dựa vào chiều cao, cân nặng của bệnh nhân tính ra được hai thông số:
- RLV/SLV (thể tích gan bảo tồn so với thể tích gan chuẩn): biến liên tục, đơn vị %.
- RLV/P (thể tích gan bảo tồn so với cân nặng bệnh nhân): biến liên tục, đơn vị %.
Phẫu thuật cắt gan:
- Mức độ phẫu thuật cắt gan: biến định tính
- Phương pháp cắt gan: biến định tính
- Thời gian phẫu thuật: biến liên tục, đơn vị tính bằng phút
- Số lượng máu mất: biến liên tục, đơn vị tính bằng mL
- Tai biến, biến chứng của phẫu thuật: biến định tính
Xét nghiệm ngày hậu phẫu thứ 5: các biến này phục vụ việc xác định biến chứng suy chức năng gan và phân độ suy gan:
- Albumin máu: biến liên tục, đơn vị g/L
- Bilirubin TP máu: biến liên tục, đơn vị mmol/L
- Men gan: AST, ALT: biến liên tục, đơn vị U/L
- INR: biến liên tục, không có đơn vị
Suy chức năng gan sau phẫu thuật cắt gan (PHLF): biến nhị giá, nhận hai giá trị: Không, Có
Các bệnh nhân được chẩn đoán có hoặc không suy gan dựa vào xét nghiệm bilirubin máu và INR vào hoặc sau ngày hậu phẫu thứ năm [77].
Độ nặng suy chức năng gan sau phẫu thuật cắt gan: biến thứ bậc, nhận 4 giá trị: Không, A, B, C, được phân độ theo bảng 1.3.
Mức độ xơ gan trên giải phẫu bệnh theo thang điểm Ishak (điểm số Ishak): 0, 1, 2, 3, 4, 5, 6 [46]: dựa trên mức độ xơ gan trên giải phẫu bệnh của bệnh phẩm sau phẫu thuật cắt gan. Kết quả này đã được Khoa Giải phẫu bệnh
- Bệnh viện Đại học Y Dược TP.HCM đọc theo thang điểm Ishak.
Các biến số khác:
- Tác dụng không mong muốn của ICG: biến định tính
- Bản chất u gan trên giải phẫu bệnh: biến định tính, được xác định bằng
kết quả giải phẫu bệnh sau phẫu thuật
- Số ngày nằm viện: biến liên tục, tính từ ngày phẫu thuật đến ngày bệnh nhân ra viện, đơn vị tính bằng ngày
2.6 Phương pháp và công cụ đo lường, thu thập số liệu
2.6.1 Đo độ thanh lọc ICG
Trong nghiên cứu này, độ thanh lọc ICG được đo bằng phương pháp LiMON theo các bước sau:
- Nhập các thông số của bệnh nhân vào máy. Máy sẽ dựa vào cân nặng bệnh nhân để tính toán liều ICG cần tiêm (0,5mg/kg).
- Sưởi ấm tay bệnh nhân và lấy đường truyền tĩnh mạch.
- Gắn thiết bị cảm biến vào đầu ngón tay của bệnh nhân. Cùng lúc này nên gắng một cảm biến đo SpO2 ở ngón tay khác của cùng một bàn tay để đảm bảo rằng tưới máu đầu ngón tay tốt (Hình 2.1)
Hình 2.1. Sưởi ấm tay bệnh nhân và gắn cảm biến của máy và cảm biến SpO2 (Nguồn: Bệnh viện Đại học Y Dược TP.HCM)
- Khi máy có tín hiệu tiêm ICG, điều dưỡng sẽ tiêm tĩnh mạch nhanh ICG vào đường truyền tĩnh mạch có sẵn.
- Máy sẽ nhận biết và vẽ đường cong nồng độ - thời gian và cho ra kết quả độ thanh lọc ICG với hai thông số: ICG-PDR và ICG-R15 (Hình 2.2).

Hình 2.2. Bảng kết quả độ thanh lọc ICG (Nguồn: Bệnh viện Đại học Y Dược TP.HCM)
2.6.2 Đo thể tích gan bảo tồn
Việc đo thể tích gan bằng phương pháp chụp X quang cắt lớp vi tính/cộng hưởng từ thực hiện tuần tự theo các bước sau [1]:
- Xác định các mốc giải phẫu gan trên phim chụp X quang cắt lớp vi tính/cộng hưởng từ: tĩnh mạch chủ dưới, tĩnh mạch gan phải, giữa và trái, tĩnh mạch cửa phải và trái.
- Xác định vị trí u gan.
- Đo diện tích riêng phần của phần gan cần tính thể tích bằng cách vẽ giới hạn theo giải phẫu gan trong từng lát cắt.
- Đo thể tích gan cần tính bằng tổng toàn bộ các thể tích riêng phần đo được tại từng lát cắt bằng phần mềm công nghệ trong máy.
Thể tích gan được đo ở thì tĩnh mạch sau tiêm thuốc cản quang, các thì khác chủ yếu để đối chiếu trong các trường hợp khó xác định ranh giới giữa các phân thùy gan. Phần thể tích gan được đánh giá thường nhất là thể tích gan trái bảo tồn sau cắt gan phải bao gồm các bước sau:
- Xác định tĩnh mạch gan giữa và tĩnh mạch chủ dưới trên phim X quang cắt lớp vi tính hoặc cộng hưởng từ.
- Đo diện tích riêng phần của gan trái trên từng lát cắt: giới hạn bên phải là đường thẳng nối từ tĩnh mạch gan giữa đến tĩnh mạch chủ dưới, giới hạn còn lại là chu vi gan trái.
- Thể tích gan trái chính là tổng toàn bộ các thể tích riêng phần đo được tại từng lát cắt tính được nhờ phần mềm cài đặt trên máy tính.

Hình 2.3. Cách xác định ranh giới gan trái khi đánh giá thể tích gan (Nguồn: Bệnh viện Đại học Y Dược TP.HCM)
Sau khi có thể tích gan bảo tồn, phẫu thuật viên có thể tính RLV/SLV (thể tích gan bảo tồn so với thể tích gan chuẩn) và RLV/P (thể tích gan bảo tồn so với cân nặng bệnh nhân) với thể tích gan chuẩn (standard liver volume: SLV) được tính toán dựa vào công thức Urata [95] (SLV = 706,2 × BSA + 2,4 (mL)).
Khi thể tích gan bảo tồn không đủ để cắt gan lớn, các bệnh nhân sẽ được thực hiện phì đại gan bằng thủ thuật thuyên tắc tĩnh mạch cửa hoặc phẫu thuật ALPPS thì một. Sau đó, thể tích gan bảo tồn sẽ được đo lại trước khi quyết định phẫu thuật cắt gan.

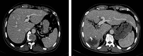
Hình 2.4. Gan trái trước (24/03/2020) và sau PVE (09/04/2020) (BN A08-0021732)

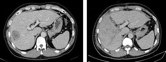
Hình 2.5. Gan trái trước (21/03/2019) và sau ALPPS thì một (09/04/2019) (BN N19-0079221)
2.6.3 Mức độ xơ gan trên giải phẫu bệnh
Mức độ xơ gan trên giải phẫu bệnh được đánh giá dựa trên kết quả giải phẫu bệnh phần nhu mô gan lành (bên cạnh kết quả bản chất u gan) theo thang điểm Ishak [46]. Kết quả này đã được kiểm tra và xác nhận bởi cùng một Bác sĩ Giải phẫu bệnh

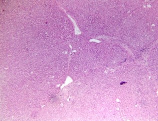
Hình 2.6. Tổn thương gan 0/6 theo Ishak (BN N20-0227326)

Hình 2.7. Tổn thương gan 1/6 theo Ishak (BN N20-0180354)

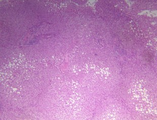
Hình 2.8. Tổn thương gan 2/6 theo Ishak (BN N20-0194345)






