Cảm giác choáng váng khi đứng lâu | |||||
16 | Ngất (trong vòng 6 tháng vừa qua) | ||||
Triệu chứng điều hoà nhiệt – mồ hôi | |||||
17 | Toát mồ hôi nhiều trong ngày | ||||
18 | Toát mồ hôi nhiều trong đêm | ||||
19 | Không chịu được lạnh | ||||
20 | Không chịu được nóng | ||||
Triệu chứng đồng tử | |||||
21 | Mắt nhạy cảm quá mức với ánh sáng đèn | ||||
Triệu chứng sinh dục (cho nam) | |||||
22 | Cảm giác bất lực (rối loạn cương) | ||||
23 | Không thể xuất tinh | ||||
23a | Có sử dụng thuốc điều trị rối loạn cương (nếu có, ghi tên thuốc) | ||||
Triệu chứng sinh dục (cho nữ) | |||||
24 | Khô âm đạo trong hoạt động tình dục | ||||
25 | Không đạt cực khoái | ||||
Thuốc sử dụng | |||||
26 | Có sử dụng thuốc điều trị (nếu có, ghi tên thuốc) Táo bón Rối loạn tiểu Huyết áp Triệu chứng khác (không liên quan đến bệnh Parkinson) | ||||
Có thể bạn quan tâm!
-
Các Thông Số Test Đánh Giá Chức Năng Thần Kinh Tự Chủ: -
Kiểm Tra Hồ Sơ: Đối Chiếu Hồ Sơ Bệnh Án Và Người Bệnh -
Đánh giá mức độ rối loạn thần kinh tự chủ trên bệnh Parkinson và teo đa hệ thống - 22 -
Té Ngã (Không Liên Quan Với Chứng Đông Cứng - Freezing) -
Đánh giá mức độ rối loạn thần kinh tự chủ trên bệnh Parkinson và teo đa hệ thống - 25 -
Đánh giá mức độ rối loạn thần kinh tự chủ trên bệnh Parkinson và teo đa hệ thống - 26
Xem toàn bộ 217 trang tài liệu này.
Non – Motor Symptoms Questionnaire NMSQuest
(Bảng câu hỏi triệu chứng không vận động)
Có | Không | ||
1 | Tăng tiết nước bọt trong ngày | ||
2 | Mất hoặc giảm khả năng nhận biết mùi vị | ||
3 | Khó nuốt hoặc bị nghẹn | ||
4 | Nôn hoặc buồn nôn | ||
5 | Táo bón (đi tiêu < 3 lần/ tuần) hoặc phải gắng sức khi đi tiêu | ||
6 | Tiêu không tự chủ | ||
7 | Cảm giác tiêu không hết | ||
8 | Tiểu gấp | ||
9 | Tiểu đêm nhiều lần | ||
10 | Cảm giác đau không giải thích được (không phải do bệnh kèm theo, ví dụ như đau khớp) | ||
11 | Thay đổi cân nặng không giải thích được (không phải do chế độ ăn) | ||
12 | Khó nhớ lại các sự việc mới xảy ra | ||
13 | Mất hứng thú trong công việc hoặc với các sự việc đang xảy ra | ||
14 | Ảo giác hoặc ảo thính | ||
15 | Khó tập trung | ||
16 | Cảm giác chán nản, buồn bã | ||
17 | Cảm giác lo âu, hoảng sợ, hoặc hoảng loạn | ||
18 | Giảm hứng thú hoặc hứng thú quá mức trong tình dục |
Khó khăn trong hoạt động tình dục | |||
20 | Cảm giác choáng váng hoặc không thể đứng khi thay đổi tư thế từ ngồi hoặc nằm sang đứng | ||
21 | Té ngã | ||
22 | Không tỉnh táo trong các hoạt động hàng ngày, ví dụ như làm việc, lái xe hoặc ăn uống | ||
23 | Khó ngủ | ||
24 | Ác mộng | ||
25 | Mộng du | ||
26 | Chân không yên | ||
27 | Phù chân | ||
28 | Đổ mồ hôi nhiều | ||
29 | Nhìn đôi | ||
30 | Ảo tưởng |
Phụ lục 7
Hành chánh
Bệnh nhân Nguyễn Thị H. Giới: nữ
Năm sinh 1954
BỆNH ÁN MINH HỌA
Địa chỉ: Thành phố Hồ Chí Minh
Lý do nhập viện
Đi lại khó
Bệnh sử
Bệnh khởi phát cách đây 4 năm với cử động chậm và run cả hai tay. Cộng hưởng từ (MRI) tại thời điểm này cho thấy teo nhẹ tiểu não. Bệnh nhân được chẩn đoán bệnh Parkinson, nhưng hoàn toàn không đáp ứng với liệu pháp dopaminergic (Levodopa).
Cách nhập viện 1 năm, bệnh nhân xuất hiện thêm các triệu chứng chóng mặt, nuốt nghẹn. Sáu tháng gần đây, bệnh nhân rối loạn đi tiểu với tiểu gấp, có lúc tiểu không tự chủ. Một tháng nay, bệnh nhân cử động khó khăn hơn và không tự đi lại được.
Lúc nhập viện, bệnh nhân gần như không thể đi lại được mặc dù đã có người trợ giúp, kèm theo tiểu không tự chủ phải đặt thông tiểu.
Khám lâm sàng
Bệnh nhân tỉnh, tiếp xúc tốt
Vẻ mặt “mặt nạ” ít biểu lộ cảm xúc. Cử động chậm cả hai bên.
Tăng trương lực cơ tứ chi kiểu ngoại tháp. Thất điều chi.
Bàn luận
Bệnh nhân với bệnh tiến triển chậm khởi phát sau 30 tuổi, kèm hội chứng Parkinson 2 bên không đáp ứng với Levodopa, không có các yếu tố nguy cơ tim mạch kèm theo, không có bệnh lý đái tháo đường, các xét nghiệm sinh hóa máu đều trong giới hạn bình thường. Do đó, chúng tôi nghĩ đến nhóm hội chứng Parkinson không điển hình.
Chúng tôi loại trừ sa sút trí tuệ thể Lewy, thoái hóa vỏ não-hạch nền và liệt trên nhân tiến triển, bởi vì tương ứng bệnh nhân không có biểu hiện sa sút trí tuệ, không có teo vỏ não không đối xứng trên MRI hoặc mất thực dụng động tác (apraxia) và vận nhãn hoàn toàn bình thường.
Cận lâm sàng
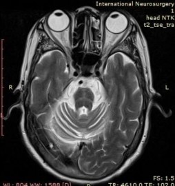
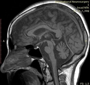
MRI chụp lại lần thứ 2 lúc nhập viện ghi nhận teo cầu não và tiểu não, với dấu hiệu “bánh ngọt chữ thập”.
|
MRI não ghi nhận teo cầu não và tiểu não với dấu “bánh ngọt chữ thập”
Test khảo sát thần kinh tự chủ ghi nhận bất thường nặng chức năng thần kinh tự chủ cả hệ giao cảm và đối giao cảm. Bệnh nhân có biến thiên huyết áp với test thụ thể lạnh va test co cơ đẳng trường. Tuy nhiên, bệnh nhân biểu hiện tụt
huyết áp tư thế rõ, và biến thiên nhịp tim rất ít với test hít thở sâu, test Valsalva, và theo tư thế. Bệnh nhân cũng không có sóng đáp ứng giao cảm da khi kích thích điện ở tay và chân.
B | |
C |
D |
Test chức năng thần kinh tự chủ
(A) không có sóng đáp ứng giao cảm da, (B) tỷ số 30:15 = 1,02,
(C) biến thiên nhịp tim ít với hít thở sâu, 2 nhịp/phút, (D) tỷ số Valsava = 1,12
Kết luận
Bệnh nhân được chẩn đoán “rất có thể MSA-C” theo tiêu chuần đồng thuận chẩn đoán MSA năm 2008
Điểm UMSARS là 56, trong đó phần II (vận động) là 25 điểm.

THANG ĐIỂM THỐNG NHẤT ĐÁNH GIÁ BỆNH PARKINSON
(UNIFIED PARKINSON'S DISEASE RATING SCALE)
I. TÂM TRẠNG, HÀNH VI VÀ TÍNH KHÍ
1. Suy giảm trí tuệ
0 = Không có.
1 = Nhẹ. Thường xuyên hay quên nhưng có nhớ lại được từng phần của các sự kiện, và không kèm theo khó khăn nào khác.
2 = Mất trí nhớ ở mức độ trung bình, với rối lọan định hướng và khó khăn ở mức vừa phải khi cần xử lý vấn đề có tính phức tạp. Giảm nhẹ nhưng rõ rệt chức năng ở trong nhà, thỉnh thoảng cần được nhắc.
3 = Mất trí nhớ nặng với mất định hướng về thời gian và thường cả về không gian. Suy giảm nặng về khả năng xử lý các vấn đề.
4 = Mất trí nhớ nặng và chỉ còn định hướng với bản thân. Không thể đánh giá suy xét hay giải quyết vấn đề. Cần trợ giúp nhiều trong chăm sóc bản thân, hoàn toàn không thể thiếu người chăm nom.
2. Rối loạn tư duy (Do sa sút trí tuệ hay do ngộ độc thuốc) 0 = Không có.
1 = Mơ mộng một cách sống động.
2 = Ảo giác “lành tính” nhưng vẫn còn hiểu được thực chất.
3 = Ảo giác hoặc ảo tưởng, thỉnh thoảng hay thường xuyên bị, không nhận thức được thực chất của nó, và có thể ảnh hưởng tới các hoạt động sống hàng ngày.
4 = Ảo giác và ảo tưởng dai dẳng, hoặc lọan thần nặng nề. Không thể tự chăm sóc bản thân.
3. Trầm cảm
1 = Những giai đọan buồn bã hay mặc cảm tội lỗi lớn hơn bình thường, nhưng không bao giờ liên tục vài ngày hay vài tuần.
2 = Trầm cảm liên tục (từ 1 tuần trở lên).
3 = Trầm cảm liên tục có kèm các triệu chứng tự chủ (mất ngủ, chán ăn, giảm cân, mất hứng thú). 4 = Trầm cảm liên tục có kèm các triệu chứng tự chủ và có ý định hoặc cố gắng tự sát.
4. Động lực/sáng kiến (chủ động)
0 = Bình thường.
1 = Kém quả quyết hơn so với bình thường, trở nên thụ động hơn.
2 = Mất chủ động hoặc mất hứng thú đối với các hoạt động chọn lọc (không thông thường).
3 = Mất chủ động hoặc mất hứng thú đối với các hoạt động trong các họat động hàng ngày thông thường. 4 = lãnh đạm, mất hoàn toàn các động lực.
II. HỌAT ĐỘNG SỐNG HÀNG NGÀY (cho cả “bật” và “tắt”)












