Âu và 30-50% trên bệnh nhân ở châu Á, thường tập trung ở nữ giới, nhóm người không hút thuốc, độ tuổi thấp [6]…
Việc xác định tình trạng đột biến genEGFR ảnh hưởng đến mô thức điều trị ở những bệnh nhân UTPKTBN giai đoạn tiến triển [39]. Hầu hết bệnh nhân có đột biến gen EGFR sẽ có đáp ứng mạnh với khối u khi được điều trị với thuốc ức chế tyrosine kinase EGFR (EGFR-TKI). Trong vài năm qua, một số thử nghiệm ngẫu nhiên pha III đã cho thấy khả năng sống sót cao hơn ở những bệnh nhân được điều trị EGFR- TKI khi so sánh với những bệnh nhân được điều trị theo phác đồ hóa chất thường quy [35,41,43,54,58]. Mặc dù đột biến gen EGFR chủ yếu xảy ra với thể UTBM tuyến, nhưng một số nhóm nghiên cứu cũng đã xác định có xảy ra đột biến với một nhóm nhỏ những thể mô bệnh học khác như UTBM vảy [19,45].
Ý nghĩa của việc phân tích tình trạng đột biến gen EGFR đang được tập trung nghiên cứu, tuy nhiên ở Việt Nam có rất ít dữ liệu về tình trạng đột biến gen EGFR trên bệnh nhân ung thư phổi loại biểu mô vảy. Xác định tình trạng đột biến gen EGFR là cần thiết để bác sĩ lâm sàng có thể tiên lượng, lựa chọn phác đồ điều trị phù hợp cho bệnh nhân UTPKTBN. Do đó, đề tài nghiên cứu “Nhận xét tình trạng đột biến gen EGFR trên bệnh nhân ung thư phổi loại biểu mô vảy tại Bệnh viện Bạch Mai” được thực hiện với hai mục tiêu sau:
1. Mô tả một số đặc điểm lâm sàng, cận lâm sàng và đột biến gen EGFR ở bệnh nhân ung thư phổi loại biểu mô vảy.
2. Nhận xét một số yếu tố liên quan của đột biến gen EGFR với một số đặc điểm lâm sàng và cận lâm sàng.
CHƯƠNG 1 – TỔNG QUAN TÀI LIỆU
1.1. UNG THƯ PHỔI BIỂU MÔ VẢY (UTPBMV)
Ung thư phổi (UTP) hay ung thư phế quản là thuật ngữ để chỉ bệnh lý ác tính của phổi xuất phát từ biểu mô niêm mạc phế quản, tiểu phế quản, phế nang, từ các tuyến của phế quản, hoặc từ các thành phần khác của phổi [3] .Theo GLOBOCAN 2020, trên thế giới, ung thư phổi đứng hàng thứ nhất với hơn 2 triệu trường hợp mới mắc, chiếm 11,4% và tỷ lệ tử vong trên 1,7 triệu người, chiếm 18,0% tổng số trường hợp tử vong do ung thư [49].
UTP được chia thành 2 nhóm chính theo mô bệnh học bao gồm ung thư phổi tế bào nhỏ (10 – 20%) và ung thư phổi không tế bào nhỏ (UTPKTBN) (80 – 85%). UTPKTBN có tiên lượng tốt hơn và có nhiều lựa chọn điều trị hơn [6]. UTPKTBN bao gồm nhiều týp: ung thư biểu mô (UTBM) tuyến, UTBM vảy, UTBM tế bào lớn, UTBM tuyến vảy, UTBM dạng sarcoma, u carcinoid…[51]. Trong đó, UTBM tuyến và UTBM vảy chiếm phần lớn [7]. Cả UTBM vảy và UTBM tuyến chiếm đa số các trường hợp tử vong do ung thư, với tỉ lệ sống sau 5 năm khoảng 18% [57]. Mặc dù thường được phân nhóm dưới tên ‘Ung thư phổi không tế bào nhỏ’ (UTPKTBN), hai thể này có những biểu hiện lâm sàng cơ bản và các đặc điểm sinh học phân tử khác nhau. UTBM tuyến là loại thường gặp ở những bệnh nhân chưa từng hút thuốc, xuất hiện ở ngoại vi phổi và thường đáp ứng với điều trị đích [47]. UTBM vảy thường xuất hiện ở phần trung tâm phổi như chỗ chia của khí quản và các phế quản chính, chưa có biện pháp điều trị đích thường quy nào được sử dụng cho đến hiện tại [32,50].
Điều trị UTPKTBN là tổng hợp của các phương pháp bao gồm: phẫu thuật, xạ trị, liệu pháp toàn thân (hóa trị, điều trị đích, điều trị miễn dịch), chăm sóc triệu chứng. Việc điều trị này tùy thuộc vào các giai đoạn, đặc điểm mô bệnh học, sinh học phân tử, miễn dịch và thể trạng chung của người bệnh [21].
Có thể bạn quan tâm!
-
Nhận xét tình trạng đột biến gen EGFR trên bệnh nhân ung thư phổi loại biểu mô vảy tại Bệnh viện Bạch Mai - 1 -
Các Con Đường Truyền Tín Hiệu Nội Bào Khởi Nguồn Từ Egfr -
Đặc Điểm Lâm Sàng Và Cận Lâm Sàng Của Bệnh Nhân Utpbmv -
Đặc Điểm Vị Trí Và Phương Pháp Lấy Mẫu Bệnh Phẩm
Xem toàn bộ 67 trang tài liệu này.
1.1.1. Yếu tố nguy cơ
Hút thuốc lá là yếu tố nguy cơ quan trọng nhất gây UTP, khoảng 90% bệnh nhân bị UTP nguyên nhân do hút thuốc lá. Nguy cơ phát triển thành UTP ở người hút thuốc lá 1 bao/ ngày trong 40 năm cao gấp 20 lần người không hút thuốc lá [3].
Các yếu tố nguy cơ từ môi trường bao gồm phơi nhiễm với hút thuốc lá thụ động, asbestos, radon, kim loại (arsenic, chromium, nickel), phóng xạ ion hóa, hydrocarbon thơm đa vòng làm tăng nguy cơ phát triển UTP [6].
Nhiều nghiên cứu đã nhận thấy có sự liên quan giữa yếu tố gia đình và UTP. Yếu tố nguy cơ này được cho là lớn nhất ở những bệnh nhân trẻ mắc UTP có tiền sử gia đình bị ung thư [25].
1.1.2. Triệu chứng
1.1.2.1. Triệu chứng lâm sàng
Giai đoạn sớm bệnh phát triển âm thầm, triệu chứng nghèo nàn hoặc không có triệu chứng. Dấu hiệu gợi ý thường là nam giới trên 40 tuổi, nghiện thuốc lá, thuốc lào, ho khan kéo dài, có thể có đờm lẫn máu, điều trị kháng sinh không có kết quả.
Giai đoạn tiến triển triệu chứng đa dạng tuỳ theo vị trí u, mức độ lan rộng tổn thương. Các triệu chứng bao gồm:
- Đau ngực, đau dai dẳng, cố định một vị trí.
- Khó thở khi khối u to, chèn ép, bít tắc đường hô hấp.
- Hội chứng trung thất.
- Tràn dịch màng tim, rối loạn nhịp tim.
- Tràn dịch màng phổi.
- Toàn thân: Mệt mỏi, gầy sút, sốt.
- Các dấu hiệu do di căn.
- Các hội chứng cận ung thư thường gặp trong UTP tế bào nhỏ [8].
1.1.2.2. Triệu chứng cận lâm sàng
+ Chẩn đoán hình ảnh
X – quang phổi: xác định vị trí kích thước, hình thái u, hạch rốn phổi trung thất; hình ảnh hay gặp: bóng mờ nham nhở, bờ tua gai, bóng mờ nhiều vòng cung…
Chụp cắt lớp vi tính: xác định đặc điểm u, đánh giá giai đoạn, tình trạng hạch, hướng dẫn sinh thiết xuyên thành ngực…
Siêu âm ổ bụng: đánh giá di căn gan, tuyến thượng thận, hạch ổ bụng…
Chụp MRI não: đánh giá di căn não
Xạ hình xương: đánh giá di căn xương
Chụp PET/CT: đánh giá giai đoạn di căn xa.
Nội soi chẩn đoán
Nội soi phế quản: thường chỉ định trong các trường hợp u trung tâm, giúp xác định tổn thương và sinh thiết làm mô bệnh học.
Nội soi màng phổi: chỉ định trong trường hợp theo dõi di căn màng phổi
Nội soi trung thất: chỉ định trong trường hợp có hạch trung thất bất thường, kết hợp làm sinh thiết hạch.
Mô bệnh học
- Tế bào học khi lấy bệnh phẩm bằng bàn chải và dịch rửa phế quản qua nội soi, kỹ thuật "khối tế bào" (cells block) từ dịch màng phổi, dịch phế quản.
- Kết quả mô bệnh học là tiêu chuẩn vàng chẩn đoán xác định bệnh, thể mô bệnh học từ đó lựa chọn phác đồ điều trị phù hợp. Bệnh phẩm lấy từ sinh thiết khối u xuyên thành ngực, nội soi sinh thiết, hoặc bệnh phẩm từ các tổn thương di căn. Các tiêu chuẩn chẩn đoán và phân loại của các type mô học UTPKPTBN theo WHO 2004 bao gồm: ung thư biểu mô vảy; ung thư biểu mô tuyến; ung thư biểu
mô tuyến vảy; ung thư biểu mô tế bào lớn; ung thư biểu mô tế bào sáng; ung thư biểu mô tế bào khổng lồ [51]…


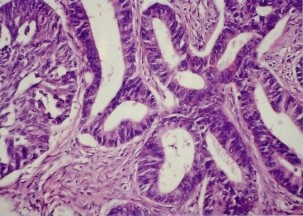
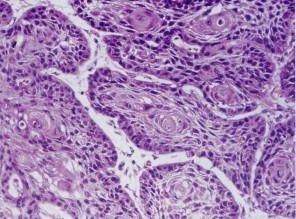
A B
Hình 1.1 Vi thể ung thư biểu mô phổi
Hình ảnh vi thể ung thư biểu mô phổi nhuộm H&E dưới kính hiển vi quang học độ phóng đại 400. A: Ung thư phổi biểu mô tuyến: Tế bào ung thư có nguồn gốc là những tế bào trụ của biểu mô phế quản, có khi ung thư xuất phát từ những sẹo cũ trong phổi. Các tế bào xếp thành hình ống tuyến, to nhỏ không đều, chỗ 1 hàng tế bào, chỗ nhiều hàng tế bào. B: Ung thư phổi biểu mô vảy: Tế bào biểu mô trụ bị dị sản vảy, các tế bào ung thư hình đa diện, đứng thành đám, thành dải.
+ Hóa mô miễn dịch
Kỹ thuật nhuộm hóa mô miễn dịch giúp phân biệt xác định rõ týp mô bệnh học trong một số trường hợp tổn thương không điển hình hoặc khó xác định týp [1]. Ngoài ra hóa mô miễn dịch thường được sử dụng để chẩn đoán phân biệt UTP với những loại ung thư biệt hóa kém khác [34]. Trong UTP sử dụng một số loại dấu ấn sau:
- UTBM tuyến: Dương tính với TTF-1, napsin-A, CK7, mucicarmin, PSA-D.
- UTBM tế bào vảy: Dương tính với p40, p63, CK5/6, desmoglein. Âm tính với CK7 [51].
- Phát hiện chất gắn đặc hiệu ức chế điểm kiểm soát miễn dịch tế bào PD -1 là PD- L1, PD - L2 của tế bào ung thư [30].
Các xét nghiệm khác
- Các chất chỉ điểm sinh học: CEA (Carcino Embryonic Antigen), SCC (Squamous Cell Carcinoma), Cyfra 21 – 1 có giá trị trong tiên lượng, theo dõi đáp ứng điều trị và đánh giá tái phát [56].
- Sinh học phân tử: đột biến gen EGFR (Epidermal growth factor receptor) và đột biến gen ALK (Anaplastic lymphoma kinase). UTBM tuyến hoặc tế bào lớn xác định đột biến gen EGFR có tỷ lệ dương tính ≥ 50% từ 25 - 62%. UTBM vảy tỷ lệ đột biến gen EGFR thấp khoảng 5,4%. Đột biến gen ALK có tỷ lệ thấp khoảng 5 - 8% [44]. Xét nghiệm chẩn đoán các loại đột biến gen khác: BRAF V600E, HER- 2, MET, PIK3CA.
1.1.3. Chẩn đoán
1.1.3.1. Chẩn đoán xác định
Chẩn đoán UTP cần phải thăm khám lâm sàng một cách tỉ mỉ phối hợp với cận lâm sàng, trong đó lâm sàng có tính chất gợi ý, chụp CLVT, MRI, PET/CT có giá trị định hướng chẩn đoán xác định và chẩn đoán giai đoạn bệnh. Mô bệnh học có ý nghĩa chẩn đoán quyết định (tiêu chuẩn vàng).
1.1.3.2. Chẩn đoán giai đoạn
Chẩn đoán giai đoạn bệnh dựa trên hướng dẫn phân loại TNM cho UTPKTBN của Hiệp hội ung thư Hoa Kỳ (AJCC) năm 2018 [14]:
Phân loại về khối u nguyên phát (T: Tumor)
+ Tx: U nguyên phát không thể đánh giá; có tế bào ác tính trong đờm, dịch rửa phế quản nhưng không thấy hình ảnh khối u trên phim chụp phổi hoặc nội soi phế quản.
+ Tis: Ung thư biểu mô tại chỗ
+ T1: Kích thước lớn nhất của khối u ≤ 3cm, được bao quanh bởi nhu mô phổi hoặc lá tạng màng phổi, không có bằng chứng về xâm lấn vượt quá đoạn gần của phế quản thùy; gồm T1a kích thước u ≤ 1cm, T1b kích thước u > 1cm nhưng ≤ 2cm và T1c kích thước u > 2cm nhưng ≤ 3cm.
+ T2: Kích thước u > 3cm nhưng ≤ 5 cm hoặc kích thước bất kỳ nhưng: xâm lấn phế quản gốc nhưng cách ngã ba khí phế quản ≥ 2cm; xâm lấn lá tạng màng phổi; gây xẹp phổi hoặc viêm phổi tắc nghẽn lan đến rốn phổi nhưng chưa lan toàn bộ phổi; gồm T2a kích thước u > 3cm nhưng ≤ 4cm và T2b kích thước u > 4cm nhưng
≤ 5cm.
+ T3: Kích thước u > 5cm nhưng ≤ 7cm hoặc xâm lấn một trong các thành phần: thành ngực, cơ hoành, thần kinh hoành, màng phổi trung thất, màng ngoài tim, xâm lấn phế quản gốc, cách carina gần hơn 2cm nhưng chưa tới carina, hoặc gây ra xẹp phổi, viêm phổi tắc nghẽn trên toàn bộ phổi hoặc có nhiều nốt tổn thương riêng biệt trên cùng một thùy phổi.
+ T4: Kích thước u > 7cm hoặc bất kỳ nhưng xâm lấn: tim, mạch máu lớn, khí quản, thần kinh quặt ngược thanh quản, thực quản, thân đốt sống, carina, các nốt khối u khác ở thùy phổi khác cùng bên.
Phân loại về hạch vùng (N: Lymph Node)
+ Nx: Không đánh giá được hạch vùng.
+ N0: Không có di căn hạch vùng.
+ N1: Di căn hạch cạnh phế quản và hoặc hạch trong phổi, hạch rốn phổi cùng bên, bao gồm cả sự xâm lấn trực tiếp.
+ N2: Di căn hạch trung thất cùng bên và hạch dưới carina.
+ N3: Di căn hạch rốn phổi đối bên, hạch trung thất đối bên, hạch cơ bậc thang cùng hoặc đối bên, hạch thượng đòn.
Phân loại về di căn xa (M: Metastasis)
+ M0: Không có di căn xa.
+ M1: Có di căn xa, bao gồm M1a (có nốt khối u ở phổi đối bên, u ở màng phổi, tràn dịch màng phổi hoặc màng tim ác tính), M1b (di căn ngoài ngực ở một cơ quan đơn thuần) và M1c (di căn nhiều nơi ngoài ngực chỉ một nốt ở một cơ quan hoặc trong nhiều cơ quan).
1.1.4. Các phương pháp điều trị
1.1.4.1. Hóa chất
Hóa trị có thể phối hợp với phẫu thuật và xạ trị trong điều trị triệt căn UTP giai đoạn IB, IIA, IIB, IIIA, làm giảm tỷ lệ tái phát và kéo dài thời gian sống thêm [40]. Đối với giai đoạn tiến triển tại vùng, di căn xa và tái phát (giai đoạn IIIB, IV) hóa trị vẫn đóng vai trò làm kéo dài thời gian sống và cải thiện chất lượng sống cho bệnh nhân. Các tổ hợp thuốc với platinum cho kết quả khả quan với tỷ lệ đáp ứng toàn bộ khoảng 25 - 35%, sống thêm trung bình 8 - 11 tháng, tỷ lệ sống thêm 1 năm 30 - 40%, tỷ lệ sống thêm 2 năm 10 - 15% [15]. Ở các giai đoạn muộn phẫu thuật không còn được chỉ định, hóa xạ trị có vai trò cơ bản, có thể hóa trị đơn thuần hoặc kết hợp với xạ trị hoặc kết hợp với điều trị đích. Hóa trị có thể điều trị tạm thời, mang tính triệu chứng và chăm sóc giảm nhẹ [16].
1.1.4.2. Phẫu thuật
Là lựa chọn điều trị với các ung thư tại chỗ và các khối u ở giai đoạn III mà không có di căn hạch, tuy nhiên vai trò của phẫu thuật trong trường hợp di căn hạch N2 vẫn còn nhiều tranh cãi [23].
1.1.4.3. Xạ trị
Hiện nay có nhiều kỹ thuật xạ trị như xạ trị 3D- CRT (Three dimesion Conformal Radiation Therapy), xạ trị điều biến liều IMRT (Intensity Modulated Radiation Therapy) với MLC (Multilip Colimator) hoặc với Jaw-Only, xạ trị dưới hướng dẫn hình ảnh IGRT (Image Guided Radiotherapy), xạ trị cung điều biến thể tích VMAT (Volumetric Modulated Arc Therapy) [10].
1.1.4.4. Điều trị đích




