Bảng 3-40. Hàm lượng protein toàn phần trong máu chuột ở các lô thí nghiệm
Mẫu
Lô nghiên
Liều
Protein toàn phần (g/dl)
cứu | (g/kg) | Ban đầu | Sau 1 tháng | Sau 2 tháng | |
Cao loại | 1 | 1,85 | 5,14 ± 0,22 | 5,54 ± 0,18 | 6,94 ± 0,80 |
tủy | 2 | 3,70 | 4,90 ± 0,33 | 5,80 ± 0,55 | 7,17 ± 0,46 |
Bột thủy | 3 | 1,84 | 4,92 ± 0,60 | 5,11 ± 0,67 | 6,28 ± 0,65 |
phân | 4 | 3,68 | 4,84 ± 0,42 | 5,36 ± 0,13 | 6,40 ± 0,21 |
Bột dinh | 5 | 1,84 | 5,04 ± 0,39 | 5,80 ± 0,55 | 6,54 ± 1,06 |
dưỡng | 6 | 3,68 | 5,17 ± 0,45 | 5,53 ± 0,69 | 6,67 ± 0,39 |
Đối chứng | 7 | - | 5,17 ± 0,33 | 5,59 ± 0,46 | 6,16 ± 0,58 |
Có thể bạn quan tâm!
-
Ảnh Hưởng Của Nhiệt Độ Không Khí Sấy Đến Hiệu Suất Thu Hồi Chất Khô, Protein Và Đặc Tính Của Bột Sấy Phun -
Mối Tương Quan Giữa Giá Trị Dự Đoán Và Giá Trị Thực Nghiệm -
Hàm Lượng Vi Sinh Trong Các Sản Phẩm Bột Dinh Dưỡng Và Đối Chứng -
Đánh Giá Ảnh Hưởng Của Sản Phẩm Cao Lên Độ Bền Chắc Của Xương Chuột -
Hình Ảnh Một Số Dụng Cụ, Thiết Bị Dùng Trong Đề Tài -
Thống Kê Stagraphic Của Thí Nghiệm 1 Đối Với Dẫn Xuất A, Theo Kiểu Lsd
Xem toàn bộ 224 trang tài liệu này.
Đối với chỉ tiêu protein toàn phần, kết quả phân tích (Bảng 3-40) cho thấy có khác biệt đạt ý nghĩa thống kê (p<0,05) đối với lô 4 cho uống cao sấy phun sau thời gian thử nghiệm hai tháng so với thời điểm ban đầu, nhưng lại không có sự khác biệt với nhóm chứng và các nhóm còn lại. Nhìn chung protein toàn phần trong máu chuột thí nghiệm tăng lên ở tất cả các lô, lớn nhất ở lô 2, sau thời gian 2 tháng so với ban đầu (7,17 mg/dl), nhưng vẫn không khác biệt so với nhóm chứng.
3.6.2.3 Thông số chức năng thận
Kết quả phân tích các thông số đánh giá ảnh hưởng của cao cá sấu và sản phẩm liên quan được liệt kê trong các Bảng 3-41, Bảng 3-42 với chỉ tiêu theo dõi chính là urea và creatinin trong máu chuột thí nghiệm.
Bảng 3-41. Chỉ số urea trong máu chuột ở các lô thí nghiệm
Mẫu
Lô nghiên
Liều
Urea (mg/dl)
(g/kg) | Ban đầu | Sau 1 tháng | Sau 2 tháng | |
Cao loại 1 | 1,85 | 52,92 ± 1,55 | 52,66 ± 2,11 | 50,29 ± 0,16 |
tủy2 | 3,70 | 51,10 ± 2,69 | 52,50 ± 2,37 | 49,71 ± 4,26 |
Bột thủy 3 | 1,84 | 50,73 ± 2,46 | 50,82 ± 1,53 | 48,65 ± 1,05 |
phân 4 | 3,68 | 51,14 ± 3,47 | 49,43 ± 1,17 | 50,22 ± 0,86 |
Bột dinh 5 | 1,84 | 52,06 ± 3,81 | 52,03 ± 3,39 | 50,93 ± 1,51 |
dưỡng 6 | 3,68 | 51,54 ± 4,73 | 51,24 ± 3,01 | 50,38 ± 5,22 |
Đối chứng 7 | - | 53,10 ± 1,60 | 52,69 ± 2,18 | 54,64 ± 2,49 |
Số liệu thống kê cho thấy hàm lượng creatinin và urea sau một tháng, hai tháng không có sự khác biệt đạt ý nghĩa thống kê so với trước thí nghiệm.
Chỉ số creatinin thấp nhất thuộc 2 lô 5 và 6, đạt giá trị 0,56 mg/dl ở liều 1,84 g/kg và 0,58 mg/dl ở liều 3,68 g/kg. Tuy nhiên tại cùng thời điểm, giữa các lô nghiên cứu không có sự khác biệt đạt ý nghĩa thống kê (p>0,05).
Bảng 3-42. Chỉ số Creatinin trong máu chuột ở các lô thí nghiệm
Lô nghiên | Liều | Creatinin (mg/dl) | |||
cứu | cứu | (g/kg) | Ban đầu | Sau 1 tháng | Sau 2 tháng |
Cao loại | 1 | 1,85 | 0,64 ± 0,05 | 0,62 ± 0,05 | 0,61 ± 0,03 |
tủy | 2 | 3,70 | 0,66 ± 0,04 | 0,67 ± 0,03 | 0,60 ± 0,10 |
Bột thủy | 3 | 1,84 | 0,64 ± 0,08 | 0,64 ± 0,09 | 0,62 ± 0,04 |
phân | 4 | 3,68 | 0,66 ± 0,09 | 0,63 ± 0,06 | 0,61 ± 0,08 |
Bột dinh | 5 | 1,84 | 0,62 ± 0,09 | 0,58 ± 0,09 | 0,56 ± 0,02 |
dưỡng | 6 | 3,68 | 0,60 ± 0,07 | 0,59 ± 0,06 | 0,58 ± 0,06 |
Đối chứng | 7 | - | 0,61 ± 0,04 | 0,60 ± 0,03 | 0,65 ± 0,03 |
3.6.2.4 Chỉ tiêu cholesterol và triglycerid trong máu chuột thí nghiệm
Hàm lượng cholesterol trong máu chuột thí nghiệm (Bảng 3-43) ở lô đối chứng và các lô sử dụng sản phẩm bột dinh dưỡng ở các liều khác nhau sau một tháng, hai tháng không có sự khác biệt so với trước thí nghiệm.
Hàm lượng cholesterol cao nhất trong lô cho chuột uống cao loại tủy liều 3,70 g/kg (151,55 mg/dl), thấp nhất trong nhóm chuột cho uống bột dinh dưỡng liều 1,84 g/kg (144,80 mg/dl), tuy nhiên các lô tại các thời điểm không có sự khác biệt đạt ý nghĩa thống kê so với nhóm chứng (p>0,05).
Bảng 3-43. Chỉ số cholesterol trong máu chuột ở các lô thí nghiệm
Lô nghiên | Liều | Cholesterol (mg/dl) | ||
nghiên cứu | cứu | (g/kg) | Ban đầu Sau 1 tháng | Sau 2 tháng |
Cao loại | 1 | 1,85 | 147,66 ±5,84 148,87 ± 5,77 | 148,91 ± 6,86 |
tủy | 2 | 3,70 | 145,54 ± 8,39 149,54 ± 4,29 | 151,55 ± 6,99 |
Bột thủy | 3 | 1,84 | 148,80 ± 3,40 150,98 ±4,84 | 146,77 ± 2,17 |
phân | 4 | 3,68 | 143,10 ± 3,61 143,69 ± 4,61 | 148,21 ± 5,67 |
Bột dinh | 5 | 1,84 | 142,13 ± 3,45 144,21 ± 3,51 | 144,80 ± 5,73 |
dưỡng | 6 | 3,68 | 146,14 ± 11,03 148,87 ± 5,06 | 146,84 ± 9,43 |
Đối chứng | 7 | - | 141,58 ± 5,13 142,58 ± 5,51 | 145,28 ± 0,64 |
Bảng 3-44. Chỉ số Triglycerid trong máu chuột ở các lô thí nghiệm
Mẫu
Lô nghiên
Liều
Triglycerid (mg/dl)
cứu | (g/kg) | Ban đầu | Sau 1 tháng | Sau 2 tháng | |
Cao loại | 1 | 1,85 | 107,40 ± 5,00 | 114,45 ± 8,27 | 121,21 ± 7,78 |
tủy | 2 | 3,70 | 100,84 ± 4,42 | 117,61 ± 8,14 | 125,50 ± 17,58 |
Bột thủy | 3 | 1,84 | 110,69 ± 10,93 | 119,76 ± 3,79 | 119,17 ± 7,41 |
phân | 4 | 3,68 | 104,71 ± 6,30 | 110,39 ± 9,57 | 120,25 ± 12,47 |
Bột dinh | 5 | 1,84 | 107,46 ± 4,32 | 110,02 ± 9,94 | 112,47 ± 8,62 |
dưỡng | 6 | 3,68 | 104,06 ± 2,13 | 101,39 ± 11,53 | 108,76 ± 21,50 |
Đối chứng | 7 | - | 108,99 ± 6,57 | 117,44 ± 9,10 | 122,10 ± 11,57 |
Phân tích thống kê hàm lượng triglycerid của các lô thí nghiệm (Bảng 3-44) cho thấy ở lô đối chứng và các lô thí nghiệm không có sự khác biệt hàm lượng triglycerid tại các thời điểm sau một tháng và hai tháng so với thời điểm ban đầu. Hàm lượng triglycerid cao nhất ở nhóm chuột sử dụng cao loại tủy liều 3,70 g/kg, thấp nhất trong nhóm chuột sử dụng bột dinh dưỡng liều 3,68 g/kg. Tuy nhiên các giá trị này không có khác biệt so với các nhóm còn lại (p>0,05).
3.6.2.5 Khối lượng tim, gan, thận và khảo sát vi thể
Bảng 3-45. Tỉ trọng gan, tim, thận so với khối lượng cơ thể chuột ở các lô thí nghiệm
Mẫu
Lô nghiên
Liều
Khối lượng tương đối/cơ thể (%)
cứu | (g/kg) | Gan | Tim | Thận | |
Cao loại | 1 | 1,85 | 4,71 ±0,26 | 0,44 ± 0,03 | 1,21 ± 0,08 |
tủy | 2 | 3,70 | 4,64 ± 0,25 | 0,44 ± 0,02 | 1,21 ± 0,05 |
Bột thủy | 3 | 1,84 | 4,60 ± 0,46 | 0,45 ± 0,03 | 1,23 ± 0,17 |
phân | 4 | 3,68 | 4,57 ± 0,49 | 0,44 ± 0,05 | 1,26 ± 0,15 |
Bột dinh | 5 | 1,84 | 4,83 ± 0,27 | 0,47 ± 0,02 | 1,20 ± 0,09 |
dưỡng | 6 | 3,68 | 4,78 ± 0,43 | 0,46 ± 0,02 | 1,24 ± 0,07 |
Đối chứng | 7 | - | 4,81 ± 0,22 | 0,45 ± 0,01 | 1,23 ± 0,07 |
Sau hai tháng cho chuột uống cao cá sấu và các sản phẩm từ cao cá sấu cho thấy khối lượng tương đối của gan, tim, thận ở lô đối chứng và các lô nghiên cứu không có sự khác biệt đạt ý nghĩa thống kê (Bảng 3-45).
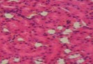
Nhận định ban đầu cho thấy hình dạng, màu sắc bên ngoài của các cơ quan tim, gan, thận không có sự khác biệt giữa các lô sử dụng sản phẩm cao cá sấu và lô đối chứng, tiến hành lấy gan, thận, tim làm tiêu bản để đánh giá vi thể (Hình 3.28).
Kết quả quan sát tiêu bản vi thể gan ở tất cả các lô cho thấy, các bè gan có cấu trúc bình thường, thành mạch máu không có bất thường, không tìm thấy các ổ viêm, các tế bào phân tán đều, không có hiện tượng hủy hoại tế bào gan. Không có sự khác biệt giữa hình ảnh vi thể gan nhóm đối chứng và các nhóm nghiên cứu.
Đối với hình ảnh vi thể thận, cho thấy cấu trúc thận ở trong giới hạn bình thường, không thấy hiện tượng hoại tử, không thấy ổ viêm. Như vậy tiêu bản vi thể thận ở các nhóm nghiên cứu không có khác biệt so với nhóm đối chứng.
Kết quả quan sát tiêu bản vi thể tim cũng có kết quả tương tự, cấu trúc thành mạch, tế bào tim không có sự khác biệt so với nhóm đối chứng.
Mẫu nghiên
Hình 3.28. Tiêu bản vi thể gan, tim, thận chuột ở các lô nghiên cứu
Hình ảnh vi thể (HE - 40X)
Liều
cứu
(g/kg)
Gan Tim Thận
1,85
Cao loại
1,84
Bột
tủy
1,84
Bột
thủy phân
dinh dưỡng
3,70






3,68



3,68
Đối
chứng
-
Nhận xét
Theo hướng dẫn thử nghiệm tiền lâm sàng và lâm sàng thuốc đông y, thuốc từ dược liệu ban hành kèm quyết định 141/QĐ-K2ĐT ngày 27/10/2015, mức liều thử cho thí nghiệm độc tính bán trường diễn phải lựa chọn sao cho có ý nghĩa trong việc đánh giá về khả năng an toàn hay mức độ gây độc của mẫu thử, mức liều thử thường được tính từ các thông tin thu được khi thử nghiệm độc tố cấp tính. Ở đây chúng tôi lựa chọn liều thử ở mức 1/10 và 1/20 so với liều cao nhất có thể cho chuột uống, tính toán được liều dùng trong thử nghiệm độc tính bán trường diễn đối với cao loại tủy là 3,7 g/kg và 1,85 g/kg, 3,68 g/kg và 1,84 g/kg đối với sản phẩm dạng sấy phun.
So với liều khuyến cáo sử dụng cao xương cá sấu và cao một số động vật cho thấy, liều 3,7 g/kg và 1,85 g/kg trên chuột nhắt trắng khi suy liều sang người nặng 50 kg được lần lượt hai liều tương ứng 15,73 g/kg và 7,86 g/kg, với dạng sản phẩm sấy phun khi chuyển liều sang người khối lượng trung bình 50 kg cũng được hai liều tương ứng 15,64 g/kg và 7,82 g/kg, như vậy các liều lựa chọn nằm trong khoảng giữa và cao hơn liều dự kiến dùng trên người, phù hợp theo tiêu chí đánh giá độc tính bán trường diễn, liều này cũng phù hợp với một số nghiên cứu.
Chuột sau khi uống cao cá sấu và các sản phẩm từ cao cá sấu vẫn hoạt động ăn uống bài tiết bình thường, mức độ tăng khối lượng giữa các lô không có sự khác biệt.
Xét nghiệm công thức máu chuột ở các lô thí nghiệm cho thấy, các chỉ số nhóm hồng cầu như số lượng hồng cầu, hemoglubin, hematocrit đều tăng nhẹ, không có sự khác biệt so với nhóm chứng. Số lượng bạch cầu và tiểu cầu ở tất cả các lô đều ở mức bình thường so với nhóm chứng.
Để tìm hiểu sâu hơn ảnh hưởng của cao cá sấu và các sản phẩm liên quan lên các chức năng gan, thận, thành tim mạch, các chỉ tiêu huyết học được xét nghiệm thêm. Kết quả cho thấy, các chỉ tiêu nhóm chức năng gan như bilirubin, GOT, GPT, protein toàn phần thay đổi không khác biệt so với nhóm đối chứng. Các chỉ tiêu sinh hóa thận như urea, creatinin và nhóm cholesterol, triglycerid sau thời gian một tháng, hai tháng cũng không có sự khác biệt với thời điểm ban đầu thí nghiệm. Tiến hành phẫu thuật các nhóm chuột thí nghiệm, quan sát ngoại quan và vi thể cho thấy không
có sự khác biệt về hình dạng và cấu trúc gan, thận, tim giữa nhóm đối chứng và các nhóm thí nghiệm. Như vậy cao cá sấu và các sản phẩm bột dinh dưỡng từ cao cá sấu không có tác động lên chức năng gan, thận, không làm tăng lipid và cholesterol trong máu chuột nghiên cứu.
Tóm lại, cao cá sấu liều 1,85 g/kg, 3,70 g/kg, bột thủy phân và bột dinh dưỡng liều 1,84 g/kg, 3,68 g/kg không thể hiện độc tính bán trường diễn trên chuột nhắt trắng.
3.7 Nghiên cứu tác dụng hỗ trợ sức khỏe của sản phẩm cao xương cá sấu
3.7.1 Đánh giá khả năng tăng lực (mô hình chuột bơi kiệt sức Brekhman)
Thời điểm T1/T0: tỉ lệ % thời gian bơi ở lô uống cao cá sấu và các sản phẩm bột thủy phân từ cá sấu không có sự khác biệt đạt ý nghĩa thống kê (p>0,05). Như vậy cao cá sấu và các sản phẩm liên quan ở các liều khác nhau không thể hiện tác dụng tăng lực tức thời.

Hình 3.29. Tỉ lệ % thời gian bơi ở các thời điểm T1giờ, T 7 ngày, T 14 ngày so với T0 ở các lô thử nghiệm
Thời điểm T7/T0: Tỉ lệ % thời gian bơi ở các lô uống cao cá sấu và sản phẩm từ cao cá sấu tăng cao so với lô chứng và đạt ý nghĩa thống kê (p<0,05). Tỉ lệ % thời gian bơi sau 7 ngày cao nhất ở lô chuột thí nghiệm sử dụng cao loại tủy liều 3,70 g/kg (192,35%), tiếp theo đó là nhóm chuột sử dụng bột dinh dưỡng liều 3,68 g/kg
(180,10%). Không có sự khác biệt đạt ý nghĩa thống kê giữa các lô chuột thí nghiệm cho uống cao loại tủy liều 3,70 g/kg, bột thủy phân liều 3,68 g/kg, bột dinh dưỡng 3,68 g/kg (p>0,05). Như vậy, cao cá sấu và các sản phẩm có tác dụng tăng lực sau 7 ngày sử dụng.
Thời điểm T14/T0: Tỉ lệ % thời gian bơi ở các lô uống cao cá sấu và sản phẩm từ cao cá sấu tăng cao so với lô chứng và đạt ý nghĩa thống kê (p<0,05). Tỉ lệ tăng cao nhất vẫn ở lô chuột thí nghiệm sử dụng cao loại tủy liều 3,70 g/kg (225,85%), và không có sự khác biệt với tỉ lệ % thời gian bơi ở lô chuột sử dụng bột dinh dưỡng liều 3,68 g/kg (217 %). Như vậy, cao cá sấu và các sản phẩm thể hiện tác dụng tăng lực sau 14 ngày sử dụng.
3.7.2 Đánh giá khối lượng chuột và chiều dài cơ thể chuột
Về tình trạng chung, ở các lô sử dụng cao cá sấu và sản phẩm bổ sung cao cá sấu, chuột hoạt động, ăn uống, bài tiết bình thường, không có sự khác biệt nào so với lô đối chứng sử dụng nước cất.

Hình 3.30. Biến đổi khối lượng các nhóm chuột trong quá trình uống cao và thực phẩm bổ sung cao cá sấu






