Hình ảnh bệnh lý vi thể của chó bị viêm tử cung
Ở chó, tăng sinh bệnh lý qua trung gian progesterone và tăng tuyến nội mạc tử cung và sự hình thành u nang (tức là u nang tăng sản nội mạc tử cung - CEH) được cho rằng có thể là nguyên nhân dẫn đến bệnh viêm tử cung, nhưng hai rối loạn này có thể phát triển độc lập (De Bosschere & cs., 2001; Hagman, 2018). Tương tự nghiên cứu Hagman (2018) đã trình bày các hình ảnh tiêu bản mô học cụ thể trong các trường hợp mắc u nang tăng sản nội mạc tử cung (CEH), viêm tử cung, viêm nội mạc tử cung, teo nội mạc tử cung và kết hợp các các bệnh trên. Về mặt mô học, phần biểu mô và hạ niêm mạc của tử cung thâm nhiễm tế bào viêm nghiêm trọng, chủ yếu là bạch cầu đa nhân trung tính và tế bào lympho cùng tế bào plasma. Một số tế bào biểu mô của tử cung bị thoái hóa (Hình 4.10, hình 4.11, hình 4.12, hình 4.13). Các trường hợp bị viêm tử cung được đặc trưng bởi một dạng tế bào lympho rõ rệt và thâm nhiễm viêm mô kẽ bạch cầu trung tính, với tích tụ bạch cầu trung tính nội tủy và bạch cầu ái toan (Nascimento & Santos, 2021; Santana & cs., 2020). Trong một số trường hợp có thể xác định được vi khuẩn xâm nhập trong phần nhuộm hematoxylin và eosin. Ở đó, phổ biến là hoại tử nội mạc tử cung.
Tương tự nghiên cứu Santana & Santos (2021) đã trình bày hình ảnh các tiêu bản mô học trên chó mắc bệnh viêm tử cung về biểu mô nội mạc tử cung. Viêm nội mạc tử cung với tăng bạch cầu hạt trung tính và tế bào lympho thâm nhiễm tế bào viêm. Thành tử cung bị hoại tử, loét và mất lớp nội mạc tử cung, tích tụ dịch tiết viêm nhiễm trong lòng tử cung. Lớp cơ tử cung với bạch cầu trung tính và tế bào lymphotic khuếch tán thâm nhiễm viêm.
Hình 4.11. Huyết quản tăng sinh, phù nề, chảy máu kèm theo nhiều tế bào viêm lympho bào |
Có thể bạn quan tâm!
-
Tần Suất Xuất Hiện Triệu Chứng Uống Nhiều Nước Ở Chó Bị Viêm Tử Cung -
Tần Suất Xuất Hiện Triệu Chứng Chảy Dịch Viêm Ở Chó Bị Viêm Tử Cung -
Sự Biến Đổi Một Số Chỉ Tiêu Sinh Lý Máu Ở Chó Bị Viêm Tử Cung -
Tần Suất Sử Dụng Phương Pháp Siêu Âm Ở Chó Bị Bênh Viêm Tử Cung -
Cơ Hội Thành Công Điều Trị Các Dạng Viêm Tử Cung Và Áp Dụng Phương Pháp Điều Trị Khác Nhau -
Nghiên cứu một số chỉ tiêu lâm sàng, phi lâm sàng, ứng dụng siêu âm chẩn đoán và điều trị bệnh viêm tử cung trên chó - 17
Xem toàn bộ 167 trang tài liệu này.
Hình 4.12. Lớp biểu mô tử cung thâm nhiễm tế bào viêm nghiêm trọng (Độ phóng đại 200)
Hình 4.13. Hình ảnh tế bào viêm thâm nhiễm chủ yếu là bạch cầu đa nhân trung tính và tế bào lympho (Độ phóng đại 400)
Cùng với các triệu chứng lâm sàng, siêu âm và xét nghiệm các chỉ tiêu phòng thí nghiệm trong chẩn đoán và điều trị bệnh, các tiêu bản bệnh tích đại thể và vi thể ở chó bị viêm tử cung sẽ góp phần cung cấp vào các tài liệu khoa học để hiểu rõ hơn về bệnh viêm tử cung cũng như bệnh lý bệnh viêm tử cung.
4.2. NGHIÊN CỨU ỨNG DỤNG VÀ ĐÁNH GIÁ HIỆU QUẢ CHẨN ĐOÁN HÌNH ẢNH BẰNG SIÊU ÂM BỆNH VIÊM TỬ CUNG Ở CHÓ
Chẩn đoán bệnh viêm tử cung có nhiều phương pháp chẩn đoán khác nhau. Chẩn đoán bằng phương pháp lâm sàng sờ, nắn, gõ, nghe hoặc bằng phương pháp hình ảnh X quang và siêu âm… Hiện nay, phương pháp được ứng dụng chẩn đoán bệnh viêm tử cung một cách chính xác hơn cả là phương pháp chẩn
đoán hình ảnh bằng siêu âm. Để đánh giá được hiệu quả của phương pháp siêu âm, chúng tôi đã tiến hành nghiên cứu và kết quả được trình bày ở bảng 4.14.
Đối với viêm tử cung dạng mở, phần lớn dựa vào các triệu chứng lâm sàng nên không cần sử dụng phương pháp siêu âm để chẩn đoán (78,21%), chỉ có một số trường hợp chưa rõ ràng nên cần sử dụng siêu âm để đưa ra kết quả chính xác hơn (21,79%). Riêng các trường hợp mắc bệnh viêm tử cung dạng đóng, phần lớn đều sử dụng siêu âm trong chẩn đoán bệnh (87,93%). Đánh giá theo chiều hướng tỷ lệ phát hiện dạng đóng và dạng mở trong từng nhóm sử dụng hoặc không sử dụng cũng cho kết luận tương tự. Như vậy, nghiên cứu này đã cho thấy sử dụng phương pháp siêu âm giúp chẩn đoán chính xác hơn các ca bệnh ít có biểu hiện triệu chứng bên ngoài, đặc biệt đối với viêm tử cung dạng đóng. Đây là dạng bệnh có ảnh hưởng nặng hơn đến sức khoẻ của chó, nên sử dụng siêu âm để chẩn đoán bệnh sớm sẽ giúp hạn chế nguy cơ tử vong xảy ra.
Tại phòng khám thú y Gaia, những ca bệnh nghi ngờ viêm tử cung được chẩn đoán bằng phương pháp lâm sàng và kiểm tra bằng kỹ thuật siêu âm ổ bụng để tìm nguyên nhân gây bệnh. Những chó cái nghi ngờ bị viêm tử cung đã được chẩn đoán bằng hai phương pháp, đầu tiên là khám lâm sàng, sau đó là khám bằng siêu âm. Những trường hợp có thể phát hiện bằng khám lâm sàng là những trường hợp có dấu hiệu đặc trưng như chảy dịch âm đạo, uống nhiều nước… dễ chẩn đoán. Còn các trường hợp viêm tử cung nhẹ, chưa có biểu hiện đặc trưng rất khó phát hiện bằng lâm sàng mà phải thông qua siêu âm. Một số trường hợp còn dễ nhầm với các bệnh khác như bệnh u gan, xơ gan, tích nước trong xong bụng, và bệnh về đường tiết niệu... cũng có triệu chứng bụng to, tích dịch trong xoang bụng. Trong những trường hợp này, rất cần thiết phải siêu âm để phân biệt bệnh viêm tử cung với các bệnh khác. Hình ảnh siêu âm sẽ được hiển thị lên màn hình máy tính và dựa vào đó, các bác sĩ dễ dàng phát hiện được những hình ảnh khác lạ ở tử cung, buồng trứng.
Siêu âm đóng vai trò quan trọng trong chẩn đoán viêm tử cung dạng đóng, hình ảnh siêu âm được sử dụng để chẩn đoán viêm tử cung trước khi xuất hiện các dấu hiệu lâm sàng. Trong 58 trường hợp viêm tử cung dạng đóng, có 7 trường hợp không sử dụng phương pháp siêu âm và 51 trường hợp sử dụng siêu

âm mới phát hiện được. Bảy trường hợp chủ yếu phát hiện qua các triệu chứng lâm sàng, bỏ ăn, mệt mỏi, bụng chướng to, nhiều tuổi và chưa cho sinh sản, dựa vào lịch sử bệnh như cho phối giống không có chửa, đã từng sảy thai, chửa bóng nên được kết luận viêm tử cung, và để được chính xác hơn, sử dụng thêm phương pháp siêu âm để khẳng định rõ kết quả.


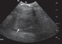
Hình 4.15. Hình ảnh xơ gan (mũi tên) | |
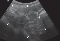
Hình 4.16. Hình ảnh chó bụng báng nước (mũi tên) | Hình 4.17. Hình ảnh siêu âm xoang bụng tích dịch (mũi tên) |
Kết quả theo dõi thấy 51 trường hợp nếu không ứng dụng siêu âm rất khó chẩn đoán bệnh viêm tử cung do không có nhiều các dấu hiệu lâm sàng. Chủ yếu triệu chứng mệt mỏi, bỏ ăn, một số trường hợp uống nhiều nước, đi tiểu nhiều... các trường hợp này dễ nhầm với các bệnh khác như các bệnh về đường tiêu hóa, tiết niệu, mang thai... Hầu hết các trường hợp bỏ ăn, mệt mỏi, nôn mửa thường nghi ngờ mắc bệnh rối loạn tiêu hóa, viêm dạ dày ruột hoặc dị vật trong đường tiêu hóa. Vì vậy, để loại trừ nguyên nhân thường sử dụng phương pháp siêu âm để xác định. Trong 51 trường hợp, khi siêu âm ổ bụng thấy xuất hiện nhiều bọc trống âm bất thường ở vị trí tử cung nên chẩn đoán được bệnh viêm tử cung.
Trong bệnh đường tiêu hóa, khi siêu âm tùy theo lượng dịch và hơi bên trong, có thể thấy các hình ảnh khác nhau như khi lòng ruột chứa nhiều hơi làm cho lòng tăng âm kèm bóng cản và che khuất thành sau, khi chứa nhiều dịch thấy lòng ruột căng phồng và có các khoảng trống âm... Khi lòng ruột xẹp, siêu âm cắt ngang thấy thành ruột áp sát vào nhau, cắt dọc cho hình cấu trúc ống với hai dải giảm âm của thành trước và sau dính vào nhau (có thể có ít dịch giảm âm hoặc ít hơi tăng âm có bóng cản xen kẽ giữa hai thành).

Hình 4.18. Hình ảnh viêm dạ dày (mũi tên)
Nếu tắc ruột cơ học do các dị vật, siêu âm ống tiêu hóa có thể ghi nhận những dấu hiệu sau: đường kính lòng ruột tăng, độ dày thành ruột có sự thay đổi, tắc ruột giai đoạn sớm thì độ dày giảm đi, ở giai đoạn muộn độ dày này tăng lên do hiện tượng viêm phù nề. Siêu âm phát hiện trong lòng ruột chứa nhiều dịch, hơi và các chất tăng âm, nhu động ruột tăng từng lúc ở đoạn ruột tắc, đặc biệt các chất dịch trong lòng ruột di chuyển tiến và di chuyển lùi hoặc xoáy là dấu hiệu để phân biệt tắc ruột với liệt ruột. Đối với liệt ruột, mất hoàn toàn nhu động ruột ở một đoạn trong khi các đoạn khác tăng nhu động, lượng dịch trong ổ bụng tăng nhiều một cách nhanh chóng khi siêu âm nhiều lần liên tiếp.
Một số trường hợp dễ nhầm lẫn với các bệnh đường tiết niệu như viêm đường tiết niệu, sỏi bàng quang, u bàng quang. Trong các trường hợp này khi siêu âm để phân biệt với bệnh viêm tử cung, trên màn hình siêu âm cho thấy: đối với trường hợp viêm bàng quang giai đoạn sớm thường xuất hiện các hình ảnh thành bàng quang bình thường, giai đoạn muộn thấy thành bàng quang dày, bề mặt không đều, khi viêm nặng thường có nhiều hốc cột có dạng tủi giả. Trong trường hợp sỏi bàng quang sẽ thấy các khối sinh âm trong lòng bàng quang với bóng lưng sau, các vùng phản âm kích thước khác nhau tùy vào kích thước sỏi.


Hình 4.20. Hình ảnh dị vật trong ruột (mũi tên) | |
Hình 4.21. Hình ảnh viêm bàng quang (mũi tên) | Hình 4.22. Hình ảnh u bàng quang (mũi tên) |

Hình 4.23. Hình ảnh sỏi bàng quang (mũi tên)
Trong tất cả các trường hợp, kiểm tra siêu âm cho thấy sự hiện diện của các chất tiết từ tử cung như máu, chất nhầy, mủ và hiện tượng tăng sản nội mạc tử cung. Kiểm tra siêu âm tử cung rõ ràng có thể đánh giá được toàn tử cung, sự thay đổi của thành tử cung, độ dày và nội mạc, các u nang tử cung (Bigliardi & cs., 2004). Thông qua siêu âm bác sỹ còn biết được mức độ bệnh lý của bệnh cũng như phác đồ điều trị hiệu quả nhất. Phương pháp siêu âm đã hỗ trợ đáng kể phương pháp chẩn đoán lâm sàng, phát hiện chính xác khi mới viêm tử cung mà bằng phương pháp lâm sàng thông thường chưa phát hiện được bệnh.
Cũng theo kết quả từ bảng 4.14 cho thấy, trong trường hợp viêm tử cung dạng đóng, do dịch không chảy ra ngoài nên rất khó phát hiện dựa vào các biểu hiện lâm sàng, lịch sử bệnh nên siêu âm chiếm tỷ lệ cao trong chẩn đoán. Còn trong trường hợp dạng mở do dịch chảy ra ngoài âm đạo nên thường phát hiện rất nhanh bệnh viêm tử cung mà chưa cần áp dụng phương pháp siêu âm.
Siêu âm đóng vai trò quan trọng trong chẩn đoán bệnh viêm tử cung, các phát hiện siêu âm điển hình phù hợp với viêm tử cung bao gồm chứng to tử cung, thành tử cung dày lên, thay đổi tăng sinh nội mạc tử cung, sừng tử cung hình ống xoắn do chất lỏng gây ra, và giảm âm vang trong lòng tử cung chứa dịch. Siêu âm có thể phân biệt viêm tử cung với các mô mềm khác, khiến tử cung căng lên và là điều bắt buộc để đánh giá về sự hiện diện của tăng sản nội mạc tử cung và sự nguyên vẹn của nội mạc tử cung (Nyland & Mattoon, 2002; Wallace & Casal, 2018). Tương tự nghiên cứu Hagman (2018) khi sử dụng siêu âm để chẩn đoán bệnh viêm tử cung và tăng sản nội mạc tử cung, trên chó mắc tăng sản nội mạc tử cung quan sát thấy thành tử cung dày lên và có các cấu trúc nang không cản âm và không có dịch trong tử cung, trong khi đó với trường hợp chó vừa bị viêm tử cung và tăng sản nội mạc tử cung quan sát thấy thấy thành tử cung dày lên và có các cấu trúc nang không cản âm và quan sát dịch trong tử cung. Tương tự nghiên cứu Mattei & cs. (2018) khi thực hiện chẩn đoán trên một chó Labrador Retriever 7 tuổi chưa sinh sản được đưa đi viện vì tiền sử nôn mửa, chán ăn trong 1 ngày, đi tiểu nhiều, khát nước nhẹ và có dấu hiệu mệt mỏi, sưng âm hộ với một ít lượng dịch màu vàng. Chụp X quang bụng cho thấy một khối giãn nở chủ yếu chứa đầy khí, ban đầu nghi ngờ có tắc ruột non. Sau khi kiểm tra siêu âm phát hiện một bên sừng tử cung có vách giảm âm đồng nhất và chứa khí và chất lỏng có độ
vang trong lòng ống và chẩn đoán viêm tử cung. Siêu âm có thể được sử dụng như một phương pháp chẩn đoán không đưa vào bên trong cơ thể để phân biệt tắc ruột và tử viêm cung khí thũng.
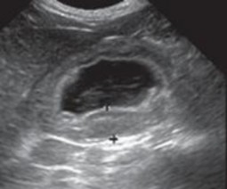
Hình 4.24. Hình ảnh siêu âm tử cung bị viêm của giống Corgi 6 tuổi
(mũi tên)
Hình 4.25. Hình ảnh siêu âm tử cung bị viêm của giống Poodle 5 tuổi
(mũi tên)
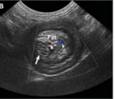
Hình 4.26. Hình ảnh siêu âm về thai (mũi tên)






