Bảng 3.3: Kết quả tái phân lập vi khuẩn và phân tích mô học thí nghiệm 1
Công thức TN | Vi khuẩn | Xác định ANHPD theo PP Mô học | |||
Số lượng mẫu | Tái phân lập VK | Số lượng mẫu | Số mẫu (+) | ||
Định kỳ 7 ngày | ĐC | 17 | 0 | 18 | 0 |
CTVK106-06 | 6 | 0 | 6 | 0 | |
CTVK106-12 | 3 | 0 | 3 | 0 | |
CTVK106-24 | 4 | 0 | 3 | 0 | |
Tổng | 30 | 0 | 30 | 0 | |
Định kỳ 14 ngày | ĐC | 18 | 0 | 18 | 0 |
CTVK106-06 | 5 | 0 | 5 | 0 | |
CTVK106-12 | 3 | 0 | 3 | 0 | |
CTVK106-24 | 3 | 0 | 1 | 0 | |
Tổng | 29 | 0 | 27 | 0 | |
Định kỳ 21 ngày | ĐC | 8 | 0 | 8 | 0 |
CTVK106-06 | 4 | 0 | 10 | 0 | |
Tổng | 12 | 0 | 18 | 0 | |
Tổng cộng | 71 | 0 | 75 | 0 | |
Có thể bạn quan tâm!
-
Tình Hình Hội Chứng Gan Tụy Cấp Trên Tôm Nuôi Nước Lợ -
Phân Lập Và Định Danh Vi Khuẩn (Frerichs Và Millar (1983, 1993)) -
Xác Định Sự Có Mặt Của Vi Khuẩn Trên Tôm Bị Ahpnd -
Nghiên cứu khả năng gây bệnh hoại tử gan tụy cấp của một số loài vi khuẩn vibrio trên tôm nuôi nước lợ tại một số tỉnh phía Bắc - 8
Xem toàn bộ 65 trang tài liệu này.
Theo bảng 3.3 thì không có mẫu nào dương tính với AHPND trong số 75 mẫu xét nghiệm bằng phương pháp mô bệnh học. Tuy nhiên, chúng tôi nghi ngờ có thể do tôm chết do bị sốc do nồng độ vi khuẩn quá cao. Vì vậy, để khẳng định rò tác nhân gây bệnh, chúng tôi tiếp tục tiến hành lặp lại thí nghiệm 1 bằng thí nghiệm 2 nhưng ở các nồng độ thấp hơn (104, 105, 106 (cfu/ml)) và thời gian ngâm vi khuẩn là ngắn hơn (1h, 3h, 6h).
* Kết quả thí nhiệm 2:
- Tỷ lệ chết trung bình ở nồng độ 106 là 71%
- Tỷ lệ chết trung bình ở nồng độ 105 là 21%
- Tỷ lệ chết trung bình ở nồng độ 104 là 9%.
- Tỷ lệ tái phân lập lại vi khuẩn 0%.
- Tỷ lệ mẫu được xác định là hoại tử gan tụy cấp theo phương pháp mô bệnh học là: 0%
Số liệu chi tiết được thể hiện ở bảng 3.4:
Bảng 3.4: Kết quả tái phân lập vi khuẩn và phân tích mô học thí nghiệm 2
Công thức TN | Vi khuẩn | Xác định ANHPD theo PP Mô học | |||
Số lượng mẫu | Tái phân lập VK lây nhiễm | Số lượng mẫu | Số mẫu (+) | ||
Định kỳ 7 ngày | ĐC | 9 | 0 | 17 | 0 |
CTVK106 | 8 | 0 | 11 | 0 | |
CTVK105 | 9 | 0 | 16 | 0 | |
CTVK104 | 9 | 0 | 17 | 0 | |
Tổng | 35 | 0 | 30 | 0 | |
Định kỳ 14 ngày | ĐC | 9 | 0 | 18 | 0 |
CTVK106 | 9 | 0 | 9 | 0 | |
CTVK105 | 9 | 0 | 17 | 0 | |
CTVK104 | 9 | 0 | 18 | 0 | |
Tổng | 36 | 0 | 62 | 0 | |
Định kỳ 21 ngày | ĐC | 6 | 0 | 45 | 0 |
CTVK106 | 6 | 0 | 12 | 0 | |
CTVK105 | 6 | 0 | 45 | 0 | |
CTVK104 | 6 | 0 | 45 | 0 | |
Tổng | 36 | 0 | 147 | 0 |
107 | 0 | 239 | 0 |
Kết quả gây cảm nhiễm vi khuẩn V. paraheamolyticus 13-041 trên tôm thẻ ở thí nghiệm trên cho thấy mặc dầu tỉ lệ tôm chết vẫn giữ ở mức tương đối cao so với thí nghiệm 1, nhưng theo kết quả mô bệnh học (0/239 dương tính), vì vậy có thể khẳng định được vi khuẩn V. paraheamolyticus 13-041 không liên quan tới AHPND.
Theo số liệu về báo cáo đề tài “Nghiên cứu xác định nguyên nhân gây bệnh hoại tử gan tụy trên tôm tại các tỉnh phía Bắc năm 2012” do Viện NTTS1 chủ trì, tỷ lệ tôm nhiễm V.parahaemolyticus là rất cao (chiếm 69,5% trong tổng số vi khuẩn Vibrio phân lập được). Được sự đồng ý của đề tài, chúng tôi tiến hành thí nghiệm 3 gây nhiễm chủng V.parahaemolyticus ký kiệu là V.parahaemolyticus (12.020) là vi khuẩn được phân lập trong năm 2012 tại Hải phòng từ ao nuôi tôm được khẳng định chắc chắn là phân lập từ tôm bị AHNPD theo phương pháp mô bệnh học, để xác định có hay không vi khuẩn này là tác nhân gây ra AHNPD. Chúng tôi tiến hành gây nhiễm vi khuẩn này ở 3 nghiệm thức (1)Vi khuẩn + nước muối sinh lý; (2) Vi khuẩn + dịch nuôi cấy; (3) Dịch nuôi cấy vi khuẩn) để bước đầu đánh giá về phase và vấn đề sinh độc tố của vi khuẩn và 1 nghiệm thức đối chứng
* Kết quả thí nghiệm 3:
- Tỷ lệ chết ở tôm là 100% trong thời gian 32h
- Tiến hành thu mẫu phân lập vi khuẩn và xét nghiệm theo phương pháp mô bệnh học chúng tôi thu được kết quả như sau:
Bảng 3.5: Kết quả tái phân lập vi khuẩn thí nghiệm 3
Số lượng mẫu | Kết quả tái phân lập vi khuẩn V.paraheamolyticus | Tỷ lệ | |
3 nghiệm thức (5.107) | 15 | 15 | 100% |
Đối chứng | 5 | 0 | 0% |

Công thức TN | Số lượng mẫu | Biến đổi mô học | ||||
Vi khuẩn | Hoại tử | Bong tróc tế bào | Giảm TB B, R, E | AHPND (+) | ||
VK+ Nacl | 8 | 3/8 | 8/8 | 8/8 | 2/8 | 8/8 |
VK+ dịch nuôi cấy | 5 | 2/5 | 5/5 | 5/5 | 1/5 | 5/5 |
Dịch nuôi cấy | 2 | 2 | 2/2 | 2/2 | - | 2/2 |
Tổng | 15 | 7/15 | 15/15 | 15/15 | 3/15 | 15/15 |
Đối chứng | 5 | 0 | 0 | 0 | 0 | 0/5 |
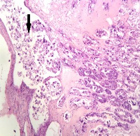
Hình 3.4: Thử sinh hóa V. paraheamolyticus tái phân được Bảng 3.6: Kết quả phân tích mô bệnh học thí nghiệm 3


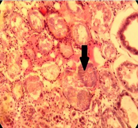
Hình 3.5: Tổ chức mô của tôm bị AHPND
(Mũi tên đen: Các tế bào máu tập hợp ở khoảng giữa ống gan tụy và nhiễm khuẩn)
Kết quả gây nhiễm vi khuẩn V.parahaemolyticus 12.020 trên tôm thẻ chân trắng khỏe với các nghiệm thức khác nhau cho thấy rằng vi khuẩn này có khả năng gây hoại tử gan tụy cấp. Đặc điểm mô bệnh học tôm mắc phải AHPND theo định nghĩa của Lightner và cộng sự (2012) và hướng dẫn nhận biết dấu AHPND (Cục Thú y, 2012) là cấu trúc mô gan tụy bị biến đổi, có hiện tượng suy giảm tế bào B, F và R, các tế gan thoái hóa rơi vào lòng ống và xuất hiện các cụm vi khuẩn trong vùng bị hoại tử (Hình 3.5). Trong nghiên cứu của Nguyễn Trọng Nghĩa và cộng sự (2013) khi phân lập và xác định khả năng gây hoại tử cuả vi khuẩn Vibrio parahaemolyticus trên địa bàn tỉnh Bạc Liêu cho thấy vi khuẩn này có khả năng gây hoại tử gan tụy cấp khi gây cảm
nhiễm thực nghiệm trên tôm thẻ chân trắng ở nghiệm thực 105 cfu/g (sau 9
ngày và 106 cfu/g (sau 6 ngày) với dấu hiệu bệnh lý và mô bệnh học tương tự thí nghiệm mà chúng tôi đã thực hiện.
3.3 Thử kháng sinh đồ đối với các chủng Vibrio độc lực xác định được
Do chưa thể tiến hành thí nghiệm xác định độc lực với tất cả các loài
vibrio còn lại mà chúng tôi phân lập được trong thời gian tháng 4 và tháng 5
năm 2013. Vì vậy, ngoài việc thử kháng sinh đồ đối với vi khuẩn V.paraheamolyticus (12.020) mà chúng tôi tái phân lập được, chúng tôi tiến hành song song việc thử kháng sinh đồ đối với một số loài Vibrio mà chúng tôi phân lập được từ thực địa trong thời gian này, đó là: V.vulnificus, V.paraheamolyticus (13.014)
08 loại kháng sinh đã được thử nghiệm, đó là: Do (Doxycyline, 30 µg); Rf (Rifampin, 5 µg); Te (Tetracylin, 30 µg); Ery (Erythromycin, 15 µg); Sm (Streptomycin, 10 µg); Nv (Novobiocin, 5 µg); Am (Ampicilin, 10 µg); Ox (Oxacillin, 1 µg).
Kết quả thu được được trình bày ở bảng 3.7
Bảng 3.7: Tính nhạy, trung bình của một số loài vi khuẩn
đối với một số loại kháng sinh
Kháng sinh (liều lương µg) | Vòng vô khuẩn (mm) | ||||
V.para (12.020) | V.vunificus | V.para (13.041) | Trung bình | ||
1 | Doxycyline (30) | 27,8±1,19 | 25,7±0,73 | 26,5±0,58 | 26,7 |
2 | Rifampin (5) | 26,7±0,86 | 24,1±0,54 | 25,3±0,7 | 25,4 |
3 | Tetracylin (30) | 21,6±0,56 | 17,6±0,45 | 21,5±0,68 | 20,2 |
4 | Erythromycin (15) | 15,7±0,74 | 20,9±0.34 | 14,6±0.92 | 17,1 |
5 | Streptomycin (10) | 16,2±0,49 | 10,8±0,32 | 17,4±0,89 | 14,8 |
6 | Novobiocin (5) | 15,2±0,45 | 14,5±0,62 | 14,9±0,47 | 14,9 |
7 | Ampicilin (10) | 0 | 0 | 0 | 0 |
8 | Oxacillin (1) | 0 | 0 | 0 | 0 |
21,6 mm
27,8 mm
Hình 3.6: Kháng sinh đồ V.paraheamolyticus (12.020)
17,6 mm
26,5 mm
Hình 3.7: Kháng sinh đồ V. vulnificus và V.paraheamolyticus (13.014)
Qua bảng 3.7, chúng ta có thể thấy rằng Doxycylin và Rifampin là hai loại kháng sinh có vòng vô khuẩn rộng cho cả ba loại vi khuẩn, với con số trung bình tương ứng là (26,7 và 25,4 mm). Hơn nữa, 2 loại kháng sinh này cũng cho vòng vô khuẩn cao nhất đối với loại V. paraheamolyticus (12.020)




