Không có sự khác biệt nhiều về tần xuất giữa u vỏ và u tủy. Nang tuyến thượng thận có tần xuất thấp nhất 11%.
Q2656

Hình 3.16: Đại thể u vỏ (Hội chứng Conn); Bệnh nhân số 85
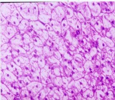
Hình 3.17: Vi thể u vỏ (Hội chứng Conn); Bệnh nhân số 85
N0372
M2109
M4757

Hình 3.18: Đại thể u vỏ (Hội chứng Cushing) Bệnh nhân số 24
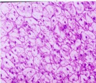
Hình 3.21: Vi thể u vỏ (Hội chứng Cushing); Bệnh nhân số 24
Hình 3.19: Đại thể pheochromocytome Bệnh nhân số:33

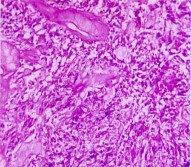
Hình 3.22: Vi thể pheochromocytome Bệnh nhân số33
Hình 3.20: Đại thể nang; Bệnh nhân số 41

Hình 3.23: Vi thể nang
Bệnh nhân số 41
3.5. Kết quả khám kiểm tra sau mổ
Thời gian theo dõi trung bình 36 tháng (10-62 tháng).
3.5.1. Tỷ lệ bệnh nhân kiểm tra
Bảng 3.30: Tỷ lệ bệnh nhân các u tuyến thượng thận kiểm tra sau mổ
U vá | U tủ | không bài tiết | Nang | Tỉng sè | |
Số bệnh nhân gọi kiểm tra | 26/33 | 28/40 | 8/12 | 5/10 | 67/95 |
Tỷ lệ % | 78,79 | 70 | 66,67 | 50 | 70,5 |
Có thể bạn quan tâm!
-
Đặc Điểm Lâm Sμng Vμ Cận Lâm Sμng U Tuyến Thượng Thận Lμnh Tính -
Biểu Hiện Lâm Sàng Ở 40 Bệnh Nhân Pheochromocytome -
Đặc Điểm Hoại Tử, Chảy Máu, Vôi Hoá, Đè Đẩy Và Xâm Lấn -
Đặc Điểm Lâm Sμng Vμ Cận Lâm Sμng Các U Tuyến Thượng Thận -
Đặc Điểm Của Siêu Âm Vμ Chụp Cắt Lớp Vi Tính Trong Chẩn -
Bμn Luận Về Ứng Dụng Của Phẫu Thuật Nội Soi Đường Qua Phúc Mạc Trong Điều Trị Các U Tuyến Thượng Thận
Xem toàn bộ 169 trang tài liệu này.
Bảng 3.30 cho thấy: Có 67 bệnh nhân được gọi đến kiểm tra lại sau mổ, chiếm 70,5%.
3.5.2. Lâm sàng
* Hội chứng Cushing: Có 12 bệnh nhân kiểm tra, với thời gian ngắn nhất là 10 tháng, dài nhất là 47 tháng và trung bình là 31 tháng
Bảng 3.31: Kết quả lâm sàng sau mổ hội chứng Cushing
Tr−íc mỉ | Sau mỉ | p | |||
n=15 | Tỷ lệ% | n=12 | Tỷ lệ% | ||
Rạn da | 12 | 80 | 5 | 41,6 | <0,01 |
Rậm lông | 12 | 80 | 2 | 16,7 | |
Yếu cơ | 6 | 40 | 1 | 16,7 | |
Rối loạn kinh nguyệt | 12 | 80 | 0 | 0 | |
Mặt tròn đỏ | 15 | 100 | 0 | 0 | |
U mỡ sau gáy | 13 | 86 | 0 | 0 | |
Trứng cá | 13 | 86 | 0 | 0 | |
Trầm cảm | 7 | 47 | 0 | 0 |
sÑo mæ
Hình 3.24: Cushing (trước mổ) bệnh nhân số 18.
Hình 3.25: Cushing (sau mổ) bệnh nhân số 18
Hình 3.26: Cushing (trước mổ) bệnh nhân số 44
Hình 3.27: Cushing (sau mổ) bệnh nhân số 44
Bảng 3.31 cho thấy : Các dấu hiệu lâm sàng của hội chứng Cushing thay đổi rõ trước và sau mổ, mặt đỏ cổ trâu hết sớm. Rậm lông và các dấu hiệu khác một thời gian lâu sau mới hết. ë phụ nữ kinh nguyệt sớm trở lại bình thường. Có 2 bệnh nhân trước mổ có xảy thai, sau mổ sinh con bình
thường (bệnh nhân số 32 và 34). Có 1 bệnh nhân chết sau mổ 2 tháng, bệnh nhân nhảy lầu tự sát do hoang tưởng (bệnh nhân số 26). Sự khác biệt dấu hiệu lâm sàng trước và sau mổ có ý nghĩa thống kê với p<0,01.
* Hội chứng Conn:
Có 13/17 bệnh nhân (76,47%) được gọi kiểm tra. Thời gian theo dõi trung bình là 37,5 tháng (12-62 tháng).
Bảng 3.32: Kết quả lâm sàng sau mổ hội chứng Conn
Tr−íc mỉ | Sau mỉ | p | |||
n=17 | Tỷ lệ % | n=13 | Tỷ lệ % | ||
Cao huyết áp | 17 | 100 | 2 | 15,3 | <0,01 |
Rối loạn nhịp tim | 6 | 35 | 0 | 0 | |
Suy nhược cơ thể | 15 | 88 | 1 | 7,6 | |
Co rút cơ | 12 | 70 | 0 | 0 | |
Đái nhiều | 10 | 59 | 0 | 0 | |
Khát nhiều | 8 | 47 | 0 | 0 |
Bảng 3.32 cho thấy : có 2 bệnh nhân huyết áp còn cao sau mổ (160/90mmHg). Các dấu hiệu lâm sàng khác trở về bình thường. Các dấu hiệu lâm sàng của hội chứng Conn thay đổi rõ trước và sau mổ, sự khác biệt này có ý nghĩa thống kê với độ tin cậy p<0,01.
* Hội chứng Apert-Gallais
Có 1 trường hợp được gọi khám kiểm tra, bệnh nhi đã được mổ tạo hình khẳng định giới tính là nữ. Khám kiểm tra siêu âm xuất hiện u bên
đối diện 35 mm. Cortisol máu lúc 8h là 55,59 và 20h là 106,0 nmol/l. Bệnh nhân được chuyển lại chuyên khoa nội tiết theo dõi điều trị tiếp.
* Pheochromocytome
Có 28 bệnh nhân pheochromocytome được kiểm tra (70%). Thời gian theo dõi trung bình 35,2 tháng (13 tháng - 59 tháng).
Bảng 3.33: Kết quả lâm sàng sau mổ pheochromocytome
Tr−íc mỉ | Sau mỉ | P | |||
n=40 | Tỷ lệ % | n=40 | Tỷ lệ % | ||
- Cao huyết áp thường xuyên | 25 | 62 | 2 | 7,14 | <0,01 |
- Cao huyết áp kịch phát | 15 | 38 | 2 | 7,14 | |
- Đau đầu | 30 | 75 | 1 | 3,57 | |
- Ra mồ hôi | 36 | 90 | 0 | 0 | |
- Nhịp nhanh | 38 | 95 | 1 | 3,57 | |
- Run chân tay | 22 | 55 | 0 | 0 | |
- MƯt mái, suy nh−ỵc | 37 | 92 | 1 | 3,57 | |
- Khó thở | 28 | 70 | 0 | 0 | |
- Thay đổi thị lực | 16 | 40 | 0 | 0 |
Kết quả bảng 3.33 cho thấy: Các dấu hiệu lâm sàng của bệnh nhân sau mổ được cải thiện rõ, có sự khác biệt so trước mổ với p<0,01. Tuy nhiên có 4 bệnh nhân huyết áp còn cao (14,28%). Có 1 bệnh nhân chết sau mổ 8 tháng nghi ngờ ung thư gan thứ phát (bệnh nhân số 6). 1 trường hợp xuất hiện u tuyến thượng thận bên đối diện (bệnh nhân số 28).
* U không chế tiết và nang tuyến thượng thận
Có 8 trường hợp u không chế tiết và 5 trường hợp nang tuyến thượng thận: kết quả khám kiểm tra lâm sàng bình thường.
3.5.3. Sinh hóa máu
Cortisol máu thực hiện trên tất cả bệnh nhân nhằm phát hiện tái phát u và suy tuyến thượng thận sau mổ. Catecholamine và kali máu được làm chọn lọc trên bệnh nhân u tủy và hội chứng Conn.
Bảng 3.34: Xét nghiệm Cortisol máu kiểm tra sau mổ
Số bệnh nhân | Cortisol ( X -nmol) | ||
8 h | 20h | ||
Hội chứng Cushing | 12 | 377,7 ± 97,4 | 156,3 ± 79,6 |
Hội chứng Conn | 13 | 339 ± 80,9 | 238 ± 85,4 |
Hội chứng Apert-Gallais | 1 | 55,59 | 106,0 |
Pheochromocytome | 28 | 515,4 ± 168,4 | 174,5 ± 75,8 |
U không chế tiết | 8 | 480 ± 111,8 | 267 ± 87,8 |
Nang tuyến thượng thận | 5 | 540 ± 144,8 | 113,1 ± 399 |
Bảng 3.34 cho thấy: Có 2 trường hợp hội chứng Cushing có cortisol máu thấp hơn so giới hạn bình thường (8h: 100 và 98 nmol/l; 24h: 67 và 55 nmol/l). Các trường hợp khác cho kết quả trong giới hạn bình thường.
Bảng 3.35: Kết quả catecholamine và kali máu sau mổ
n | X | ∂ | Dao động | |
Catecholamine(mmol) | 26 | 0,088 | 0,009 | 0,0152 |
Kali(mmol) | 13 | 3,563 | 0,1483 | 0,5345 |
Bảng 3.35 cho thấy: Catecholamine máu có 1 trường hợp tăng cao (0,14mmol/l) đó là bệnh nhân số 28 xuất hiện u tuyến thượng thận bên
đối diện. Kali máu trở về bình thường trong 100% trường hợp.
3.5.4. Kết quả siêu âm và chụp cắt lớp vi tính
Trước khi ra viện, 95 bệnh nhân được làm siêu âm kết quả cho thấy hình ảnh hố tuyến thượng thận bình thường, không có u (100%) .
Bảng 3.36: Kết quả siêu âm và chụp cắt lớp vi tính kiểm tra sau mổ
n | Siêu âm (n=67) | Cắt lớp vi tính (n=12) | |||
Cã u | Không u | Cã u | Không u | ||
Hội chứng Cushing | 12 | 0 | 0 | 0/4 | 4/4 |
Hội chứng Conn | 13 | 0 | 0 | 0/3 | 3/3 |
Hội chứng Apert-Gallais | 1 | 1 | 0 | 1 | 0 |
Pheochromocytome | 28 | 1 | 0 | 1/3 | 2/3 |
U không chế tiết | 8 | 0 | 0 | 0/2 | 2/2 |
Nang tuyến thượng thận | 5 | 0 | 0 | 0 | 0 |
Kết quả bảng 3.36 cho thấy: Siêu âm và cắt lớp vi tính khi gọi kiểm tra có 2 trường hợp có u tuyến thượng thận bên đối diện (2 bệnh nhân này sinh hoá đều tăng): 1 trường hợp đã mổ u tủy bên trái (bệnh nhân số 28) và 1 trường hợp đã mổ u vỏ bên phải (bệnh nhân số 27). Số còn lại siêu
âm và cắt lớp vi tính có kết quả bình thường.
Tỷ lệ kiểm tra sau mổ đạt >70%, kết quả tốt 91%, trung bình 9% và xấu là 0%.
Chương 4
bμn luận
4.1. Đặc điểm dịch tễ học các u tuyến thượng thận
4.1.1. Đặc điểm chung
U tuyến thượng thận là một bệnh lý phức tạp, bệnh cảnh lâm sàng rất
đa dạng. Việc phát hiện bệnh còn gặp nhiều khó khăn. Các nghiên cứu sinh lý học, sinh hóa học từ thế kỷ 19 (Takamine 1901, Swingle, Pfiffner và Hartmann 1930, Simpson 1952) đã sớm tìm ra các hormon đặc trưng từng bệnh lý của u vỏ-tuỷ thượng thận. Chẩn đoán bệnh lâm sàng và sinh hoá đã làm sáng tỏ bệnh lý của trục tuyến yên, tuyến thượng thận và đa tuyến nội tiết rất phong phú.
Nghiên cứu của Gagner. M chỉ tính riêng phẫu thuật u tuyến thượng thận qua nội soi từ năm 1992-1995 có 82 trường hợp[79], Smith. C. D năm 1999 có 28 trường hợp [147], David. G từ năm 1996- 2002 có 100 trường hợp [65] và Gockel. I năm 1993-2004 đã phẫu thuật cho 267 bệnh nhân [72]. Tại Việt Nam, năm 2000 Trần Bình Giang thông báo 30 trường hợp mổ nội soi u tuyến thượng thận tại Bệnh viện Việt Đức[6] trong 2 năm. Điều đó nói lên bệnh lý các u tuyến thượng thận không phải là hiếm gặp, tuy nhiên cho đến nay, ở nước ta chưa có thống kê chi tiết về bệnh này tại các cơ sở chuyên ngành nội tiết cũng như nội khoa. Từ tháng 8 năm 1998 đến tháng 4 năm 2005 tại Bệnh viện Việt Đức có 95 trường hợp u tuyến thượng thận được chẩn
đoán dựa trên bệnh cảnh lâm sàng đặc trưng của từng loại u, kết hợp với một số xét nghiệm sinh hoá chính, đặc biệt chẩn đoán hình ảnh, chủ yếu SA và chụp CLVT đã phát hiện ra bệnh các u tuyến thượng thận không ít so với 10 năm trước đây (1985-1995).






