3.2.2.4. Đặc điểm xâm nhập mạch của UTBMTBG
Bảng 3.11: Tình trạng xâm nhập mạch trong UTBMTBG
n | % | |
Có | 40 | 58,82 |
Không | 28 | 41,18 |
Tổng | 68 | 100 |
Có thể bạn quan tâm!
-
Tiêu Chuẩn Xác Định, Đánh Giá Biến Số Nghiên Cứu. -
Tình Trạng Xơ Hóa Gan: Phân Độ Giai Đoạn Xơ Hóa Của Gan Theo Metavir Chia Thành Các Mức Độ Xơ Hóa: 0, 1, 2, 3, 4. Trong Đó: -
Đặc Điểm Phân Bố Về Tình Trạng Nhiễm Vi Rút Viêm Gan B, C Của Bệnh Nhân Utbmtbg -
Đặc Điểm Bộc Lộ Khi Nhuộm 3 Dấu Ấn Hmmd (Hsp-70, Gpc-3, Gs) Trong Utbmtbg Biệt Hóa Cao Và Nls Độ Cao. -
Tình Trạng Nhiễm Vi Rút Viêm Gan Ở Nhóm Bệnh Nhân Utbmtbg -
Các Đặc Điểm Mô Bệnh Học Của Utbmtbg
Xem toàn bộ 178 trang tài liệu này.
Nhận xét:
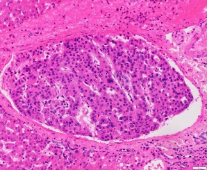
Chúng tôi chỉ NC xâm nhập mạch ở những mẫu mô sau phẫu thuật (68 trường hợp), trong khi mẫu sinh thiết kim khó xác định do mẫu mô quá nhỏ. Tình trạng xâm nhập mạch được phát hiện ở 40 trường hợp (58,82%), không xác định được xâm nhập mạch là 28 trường hợp (41,18%).


B |
Ảnh 3.7. UTBMTBG xâm nhập mạch (A) (HE x 100, mã số: 1073-18);
(B) (HE x 200, mã số: SU 9608).
3.2.2.5. Đặc điểm xơ hóa gan trong UTBMTBG
Bảng 3.12: Phân bố tình trạng xơ hóa gan trong UTBMTBG
n | % | ||
Không xơ hóa | Độ xơ hóa F0 | 25 | 36,76 |
Có xơ hóa | Độ xơ hóa F1 | 0 | 0 |
Độ xơ hóa F2 | 0 | 0 | |
Độ xơ hóa F3 | 17 | 25 | |
Độ xơ hóa F4 | 26 | 38,24 | |
Tổng | 68 | 100 | |
Nhận xét:
Do các mảnh sinh thiết nhỏ đa phần chỉ lấy được vào mô u, nên chúng tôi chỉ đánh giá tình trạng xơ hóa gan phối hợp quanh u trên các mảnh bệnh phẩm mổ (68 trường hợp). Có 43/68 (63,24%) UTBMTBG có xơ hóa gan kèm theo, trong đó chủ yếu mức độ xơ hóa F4 với 26/68 (38,24%) và 17/68 (25%) xơ hóa mức độ F3. Không gặp độ xơ hóa F1 và F2.
3.3. Đối chiếu và tìm mối liên quan của một số yếu tố khác và mô học.
3.3.1. Đối chiếu giữa kích thước u với độ mô học trong UTBMTBG Bảng 3.13. Đối chiếu giữa kích thước u với độ mô học
< 2cm | ≥ 2cm | p | |||
n | % | n | % | ||
Biệt hóa cao (n = 26) | 4 | 28,57 | 22 | 12,50 | 0,105 |
Biệt hóa vừa (n = 108) | 8 | 57,14 | 100 | 56,82 | 1 |
Biệt hóa kém/ không (n = 56) | 2 | 14,29 | 54 | 30,68 | 0,24 |
Tổng | 14 | 176 | |||
Nhận xét:
Đánh giá, đối chiếu kích thước UTBMTBG phân theo mức (UTBMTBG nhỏ <2cm và không nhỏ ≥ 2cm) với độ mô học. Tuy nhiên, NC này không thấy có mối liên quan giữa các nhóm kích thước u < 2cm và ≥ 2cm khi đối chiếu với 3 nhóm biệt hóa cao, biệt hóa vừa và biệt hóa kém/không với p > 0,05.
3.3.2.Đối chiếu giữa nồng độ AFP huyết thanh với độ mô học trong UTBMTBG
Bảng 3.14. Liên quan giữa nồng độ AFP huyết thanh với độ mô học
≥ 20ng/mL | < 20ng/mL | p | |||
n | % | n | % | ||
Biệt hóa cao (n = 26) | 4 | 5,88 | 22 | 18,03 | 0,026 |
Biệt hóa vừa (n = 108) | 37 | 54,41 | 71 | 58,19 | 0,648 |
Biệt hóa kém/ không (n= 56) | 27 | 39,7 | 29 | 23,77 | 0,03 |
Tổng | 68 | 122 | |||
Nhận xét:
Nhóm nồng độ AFP ≥ 20ng/mL có tỷ lệ 35,79% (68 trường hợp) thấp hơn so với nhóm AFP < 20ng/mL 64,21% (122 trường hợp).
Độ biệt hóa càng cao thì nồng độ AFP càng thấp với p = 0,026; độ biệt hóa càng kém/không thì nồng độ AFP càng cao với p = 0,03.
3.3.3. Đối chiếu giữa típ MBH với độ mô học trong UTBMTBG
Bảng 3.15. Liên quan giữa típ MBH với ĐMH của UTBMTBG
Biệt hóa cao | Biệt hóa vừa | Biệt hóa kém/không | Tổng | |||||
n | % | n | % | n | % | |||
Bè | Có | 26 | 14,86 | 102 | 58,29 | 47 | 26,86 | 175 (96,2) |
không | 0 | 0 | 1 | 14,29 | 6 | 85,71 | 7 (3,8) | |
p | 0,59 | 0,022 | 0,002 | |||||
Tuyến nang | Có | 5 | 10 | 29 | 58 | 16 | 32 | 50 (27,5) |
không | 21 | 15,91 | 74 | 56,06 | 37 | 28,03 | 132 (72,5) | |
p | 0,35 | 0,87 | 0,59 | |||||
Đặc | Có | 1 | 2,86 | 9 | 25,71 | 25 | 71,43 | 35 (19,2) |
không | 25 | 17 | 94 | 63,95 | 28 | 19,05 | 147 (80,8) | |
p | 0,33 | 0,0001 | 0,0001 | |||||
Tổng | 26 | 103 | 53 | 182 | ||||
Nhận xét:
Có mối liên quan giữa típ bè với độ biệt hóa vừa và biệt hóa kém/không với p lần lượt là 0,02 và 0,002.
Típ tuyến nang ở nhóm biệt hóa cao (10%), ít hơn so với nhóm biệt hóa vừa 58% và biệt hóa kém/ không 32%. Tuy nhiên sự khác biệt này không có ý nghĩa thống kê với giá trị p lần lượt là 0,35; 0,87 và 0,59.
Có mối liên quan giữa típ đặc với hai nhóm biệt hóa vừa và biệt hóa kém/không với giá trị p= 0,00001.
3.3.4. Đối chiếu giữa xâm nhập mạch với độ mô học trong UTBMTBG Bảng 3.16: Đối chiếu tình trạng xâm nhập mạch với độ mô học
Có xâm nhập | Không xâm nhập | p | |||
n | % | n | % | ||
Biệt hóa cao (n = 2) | 0 | 0 | 2 | 7,14 | 0,166 |
Biệt hóa vừa (n = 41) | 24 | 60 | 17 | 60,72 | 1 |
Biệt hóa kém/ không (n = 25) | 16 | 40 | 9 | 32,14 | 0,455 |
Tổng | 40 | 28 | |||
Nhận xét:
Nhóm u có xâm nhập mạch chiếm tỷ lệ 58,82% (40 trường hợp) cao hơn so với nhóm không xâm nhập mạch 41,18% (28 trường hợp).
Tỉ lệ các mức độ biệt hóa vừa, kém/ không ở cả hai nhóm xâm nhập mạch và không xâm nhập mạch không có sự khác biệt với p > 0,05.
Ở độ mô học cao, 2/2 (100%) trường hợp không có biểu hiện xâm nhập mạch.
3.4. Đặc điểm HMMD trong tổn thương tiền ung thư và UTBMTBG
3.4.1. Đặc điểm bộc lộ của các dấu ấn HMMD trong UTTGB
Bảng 3.17: Tình trạng bộc lộ dấu ấn HMMD trong các típ UTTBG
L-FABP | SAA | Β- Catenin | GS | ||||||
+ | - | + | - | + | - | + | - | ||
H-HCA | n | 0 | 4 | 0 | 4 | 0 | 4 | 0 | 4 |
% | 0 | 100 | 0 | 100 | 0 | 100 | 0 | 100 | |
B-HCA | n | 4 | 0 | 0 | 4 | 3 | 1 | 3 | 1 |
% | 100 | 0 | 0 | 100 | 75 | 25 | 75 | 25 | |
I-HCA | n | 9 | 1 | 10 | 0 | 1 | 9 | 5 | 5 |
% | 90 | 10 | 100 | 0 | 10 | 90 | 50 | 50 | |
U-HCA | n | 4 | 0 | 0 | 4 | 0 | 4 | 4 | 0 |
% | 100 | 0 | 0 | 100 | 0 | 100 | 100 | 0 |
Nhận xét:
Nhóm H-HCA, cả 4 trường hợp đều âm tính với L-FABP; SAA và GS (do 2 trường hợp GS chỉ thấy dương tính màng bào tương).
Nhóm B-HCA: tất cả dương tính với L-FABP, duy nhất có 3/4 dương tính với beta catenin và GS. Tất cả âm tính với SAA.
Nhóm I-HCA: 9/10 trường hợp dương tính với L-FABP, 10/10 trường hợp dương tính với SAA, trong khi có 1/10 trường hợp dương tính với Beta- catenin và 5/10 trường hợp dương tính với GS.
Nhóm U-HCA, cả 4/4 trường hợp đều âm tính với SAA, Beta-catenin và GS, nhưng cả 4/4 trường hợp dương tính với L-FABP.
B |
Ảnh 3.8: Mô u tuyến dương tính với dấu ấn β-catenin (A) (x100, mã số: SS7433) và dấu ấn SAA (B) (x 100, mã số: SL1662)
3.4.2. Đặc điểm bộc lộ của các dấu ấn HMMD trong NLS
Bảng 3.18. Tỷ lệ bộc lộ các dấu ấn HMMD trong nốt loạn sản
NLS độ thấp | NLS độ cao | Tổng | |||||
n | % | n | % | n | % | ||
HepPar-1 | + | 11 | 100 | 27 | 93,1 | 38 | 95 |
- | 0 | 0 | 2 | 6,9 | 2 | 5 | |
Arg-1 | + | 10 | 90,9 | 28 | 96,55 | 38 | 95 |
- | 1 | 9,1 | 1 | 3,45 | 2 | 5 | |
CD34 | + | 3 | 27,27 | 14 | 48,27 | 17 | 42,5 |
- | 8 | 72,73 | 15 | 51,73 | 23 | 57,5 | |
CK7 | + | 0 | 0 | 0 | 0 | 0 | 0 |
- | 11 | 100 | 29 | 100 | 40 | 100 | |
CK19 | + | 0 | 0 | 0 | 0 | 0 | 0 |
- | 11 | 100 | 29 | 100 | 40 | 100 | |
GPC-3 | + | 0 | 0 | 1 | 3,44 | 1 | 2,5 |
- | 11 | 100 | 28 | 96,56 | 39 | 97,5 | |
HSP-70 | + | 0 | 0 | 5 | 17,24 | 5 | 12,5 |
- | 11 | 100 | 24 | 82,76 | 35 | 87,5 | |
GS | + | 1 | 9,09 | 5 | 17,24 | 6 | 15 |
- | 10 | 90,91 | 24 | 82,76 | 34 | 85 |
Nhận xét:
Dấu ấn HepPar1 và Arg-1 dương tính với hầu hết các trường hợp NLS độ thấp và NLS độ cao với tỷ lệ hơn 95%.
Dấu ấn CD34 dương tính lan tỏa 27,27% ở NLS độ thấp, 48,27% NLS độ cao.
Các dấu ấn GPC-3, HSP-70 và GS hiếm khi dương tính với các NLS, đặc biệt ở NLS độ thấp, dương tính thấp ở NLS độ cao 3,44%, 17,24% và 17,24%.
3.4.3. Đặc điểm bộc lộ của các dấu ấn HMMD trong UTBMTBG Bảng 3.19. Tỷ lệ bộc lộ các dấu ấn HMMD trong UTBMTBG
Ung thư <2cm | Ung thư ≥2cm | Tổng | |||||
n | % | n | % | n | % | ||
HepPar-1 | + | 13 | 92,86 | 155 | 88,07 | 168 | 88,42 |
- | 1 | 7,14 | 21 | 11,93 | 22 | 11,58 | |
Arg-1 | + | 14 | 100 | 165 | 93,75 | 179 | 94,21 |
- | 0 | 0 | 11 | 6,25 | 11 | 5,79 | |
CD34 | + | 14 | 100 | 168 | 95,45 | 182 | 95,79 |
- | 0 | 0 | 8 | 4,55 | 8 | 4,21 | |
CK7 | + | 2 | 14,29 | 24 | 3,64 | 26 | 13,68 |
- | 12 | 85,71 | 152 | 96,36 | 164 | 86,32 | |
CK19 | + | 0 | 0 | 19 | 10,8 | 19 | 10 |
- | 14 | 100 | 157 | 89,2 | 171 | 90 | |
GPC-3 | + | 12 | 85,71 | 128 | 72,73 | 140 | 73,68 |
- | 2 | 14,29 | 48 | 27,27 | 50 | 26,32 | |
HSP-70 | + | 14 | 100 | 166 | 94,32 | 180 | 94,74 |
- | 0 | 0 | 10 | 5,68 | 10 | 5,26 | |
GS | + | 14 | 100 | 165 | 93,75 | 179 | 94,21 |
- | 0 | 0 | 11 | 6,25 | 11 | 5,79 |






