Nhận xét:
Theo nhiều nghiên cứu khác nhau, AFP có thể chia thành nhiều mức độ khác nhau. Trong nghiên cứu này, số trường hợp có nồng độ ở ngưỡng bình thường < 20ng/mL có 122 (64,21%) trường hợp; trong khi ngưỡng ≥20ng/mL chỉ có 68 trường hợp 35,79%
3.1.6. Đặc điểm phân bố về tình trạng nhiễm vi rút viêm gan B, C của bệnh nhân UTBMTBG
Bảng 3.5. Phân bố tình trạng nhiễm vi rút viêm gan
n | % | |
B | 151 | 79,47 |
C | 5 | 2,63 |
Phối hợp B-C | 0 | 0 |
Không | 34 | 17,89 |
Tổng | 190 | 100 |
Có thể bạn quan tâm!
-
Phương Tiện Và Kỹ Thuật Được Sử Dụng Trong Nghiên Cứu -
Tiêu Chuẩn Xác Định, Đánh Giá Biến Số Nghiên Cứu. -
Tình Trạng Xơ Hóa Gan: Phân Độ Giai Đoạn Xơ Hóa Của Gan Theo Metavir Chia Thành Các Mức Độ Xơ Hóa: 0, 1, 2, 3, 4. Trong Đó: -
Đối Chiếu Và Tìm Mối Liên Quan Của Một Số Yếu Tố Khác Và Mô Học. -
Đặc Điểm Bộc Lộ Khi Nhuộm 3 Dấu Ấn Hmmd (Hsp-70, Gpc-3, Gs) Trong Utbmtbg Biệt Hóa Cao Và Nls Độ Cao. -
Tình Trạng Nhiễm Vi Rút Viêm Gan Ở Nhóm Bệnh Nhân Utbmtbg
Xem toàn bộ 178 trang tài liệu này.
Nhận xét:
Tình trạng nhiễm vi rút viêm gan khá phổ biến ở UTBMTBG. Trong số 156/190 (82,11%) trường hợp nhiễm vi rút viêm gan, tỷ lệ nhiễm HBV ở BN UTBMTBG là 79,47% (151/190 trường hợp). Tỷ lệ nhiễm HCV chỉ chiếm 2,63% (5/190 trường hợp). Không có trường hợp đồng nhiễm HBV và HCV.
3.2. Đặc điểm tổn thương tiền ung thư gan và UTBMTBG
3.2.1. Tổn thương tiền ung thư gan
3.2.2.1. Số lượng và đặc điểm MBH của tổn thương loạn sản
Bảng 3.6. Phân bố về số lượng và đặc điểm MBH của NLS
NLS độ thấp | NLS độ cao | Tổng | |||||
n | % | n | % | n | % | ||
Động mạch đơn độc | Có | 9 | 81,82 | 28 | 96,55 | 37 | 92,5 |
Không | 2 | 18,18 | 1 | 3,45 | 3 | 7,5 | |
Giả tuyến, nang | Có | 0 | 0 | 0 | 0 | 0 | 0 |
Không | 11 | 100 | 29 | 100 | 40 | 100 | |
Khoảng cửa trong nốt | Có | 1 | 9,09 | 2 | 6,9 | 3 | 7,5 |
Không | 10 | 90,91 | 27 | 93,1 | 37 | 92,5 | |
Xâm nhập mô đệm | Có | 0 | 0 | 0 | 0 | 0 | 0 |
Không | 11 | 100 | 29 | 100 | 40 | 100 | |
Độ dày >2 hàng tế bào | Có | 11 | 100 | 29 | 100 | 40 | 100 |
Không | 0 | 0 | 0 | 0 | 0 | 0 | |
Nhiễm mỡ | Có | 1 | 9,09 | 13 | 44,83 | 14 | 35 |
Không | 10 | 90,91 | 16 | 55,17 | 26 | 65 | |
Nhân không điển hình | Có | 0 | 0 | 2 | 6,9 | 2 | 5 |
Không | 11 | 100 | 27 | 93,1 | 38 | 95 | |
Tổng | 11 | 22,5 | 29 | 77,5 | 40 | 100 | |
Nhận xét:
- 29 trường hợp NLS độ cao, hầu hết đều có các đặc điểm động mạch đơn độc 28 (96,55%), độ dày bè gan > 2 hàng tế bào là 29 (100%). Hiếm gặp những đặc điểm khác như nhân không điển hình, đặc điểm cấu trúc giả tuyến nang và xâm nhập mô đệm.
- 11 trường hợp NLS độ thấp, toàn bộ các trường hợp đều có độ dày bè gan > 2 hàng tế bào là 11/11 (100%), động mạch đơn độc 9/11 (81,82%). Không gặp các đặc điểm mô học như cấu trúc giả tuyến, xâm nhập mô đệm, nhân tế bào u không điển hình.
3.2.1.2. Số lượng và đặc điểm MBH của UTTBG
Bảng 3.7. Phân bố về số lượng và đặc điểm MBH của các típ UTTBG
H-HCA | B-HCA | I-HCA | U-HCA | Tổng | |||||||
n | % | n | % | n | % | n | % | n | % | ||
Thoái hóa mỡ | Có | 3 | 75 | 2 | 50 | 5 | 50 | 1 | 25 | 11 | 50 |
không | 1 | 25 | 2 | 50 | 5 | 50 | 3 | 75 | 11 | 50 | |
Xoang mạch giãn | Có | 4 | 100 | 1 | 25 | 8 | 80 | 3 | 75 | 16 | 72,72 |
không | 0 | 0 | 3 | 75 | 2 | 20 | 1 | 25 | 6 | 27,28 | |
Xâm nhập viêm | Có | 1 | 25 | 0 | 0 | 9 | 90 | 2 | 50 | 12 | 54,54 |
không | 3 | 75 | 4 | 100 | 1 | 10 | 2 | 50 | 10 | 45,46 | |
TB không điển hình | Có | 0 | 0 | 4 | 100 | 2 | 20 | 0 | 0 | 6 | 27,27 |
không | 4 | 100 | 0 | 0 | 8 | 80 | 4 | 100 | 16 | 72,73 | |
Cấu trúc tuyến nang | Có | 0 | 0 | 1 | 25 | 0 | 0 | 0 | 0 | 1 | 4,55 |
không | 4 | 100 | 3 | 75 | 10 | 100 | 4 | 100 | 21 | 95,45 | |
Thành mạch dầy, đơn độc | Có | 1 | 25 | 2 | 50 | 8 | 80 | 3 | 75 | 14 | 63,64 |
không | 3 | 75 | 2 | 50 | 2 | 20 | 1 | 25 | 8 | 36,36 | |
Xoang máu | Có | 0 | 0 | 0 | 0 | 3 | 30 | 0 | 0 | 3 | 13,64 |
không | 4 | 100 | 100 | 7 | 70 | 4 | 100 | 19 | 86,36 |
Nhận xét:
Đặc điểm MBH của UTTBG có thể có hoặc không đầy đủ ở mỗi típ khác nhau. Típ H-HCA, đa phần có các đặc điểm gặp thoái hóa mỡ 3/4 (75%) trường hợp và giãn các xoang mạch 4/4 (100%) trường hợp. Các trường hợp của típ B-HCA đều có biến đổi tế bào gan không điển hình (chiếm 100%). Típ I-HCA có 10 trường hợp, đặc điểm nổi bật là xâm nhập viêm (90%), xoang mạch giãn và thành mạch dày đơn độc (80%). Típ U-HCA, có đầy đủ các đặc điểm, tuy nhiên duy nhất không có đặc điểm tế bào không điển hình và cấu trúc tuyến – nang.
3.2.2. Các đặc điểm của UTBMTBG
3.2.2.1. Đặc điểm mô bệnh học của UTBMTBG
Bảng 3.8. Phân bố tổn thương theo típ MBH của UTBMTBG
n | (%) | ||
Các típ MBH thông thường n=182 | Bè | 101 | 53,15 |
Tuyến nang | 0 | 0 | |
Đặc | 7 | 3,68 | |
Bè – tuyến nang | 46 | 24,21 | |
Bè – đặc | 24 | 12,63 | |
Tuyến nang – đặc | 0 | 0 | |
Hỗn hợp | 4 | 2,1 | |
Các biến thể MBH đặc biệt n=8 | Xơ lát | 5 | 2,63 |
Xơ cứng | 2 | 1,05 | |
Dạng lympho biểu mô | 1 | 0,53 | |
Dạng Sarcoma | 0 | 0 | |
Không biệt hóa | 0 | 0 | |
Tổng | 190 | 100 | |
Nhận xét:
- Típ thông thường chiếm tỷ lệ cao nhất 182/190 (95,79%) trường hợp, thường gặp nhất là cấu trúc bè đơn độc 101/182 (55,49%). Không có trường hợp chỉ có cấu trúc tuyến nang đơn độc và tuyến nang phối hợp đặc.
- Các biến thể đặc biệt của UTBMTBG thường ít gặp, biến thể xơ cứng là 2/190 (1,05%) trường hợp, xơ lát 5/190 (2,63%) trường hợp và 1/190 trường hợp dạng lympho biểu mô.

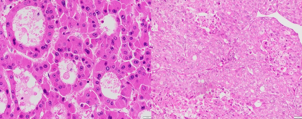
B |
Ảnh 3.1. (A) UTBMTBG thể giả tuyến với các tế bào u sắp xếp dạng giả tuyến hoặc nang (HE x 200, mã số: 3837-18). (B) UTBMTBG thể đặc với các tế bào u đứng thành mảng đặc, không rõ xoang mạch (HE x 100,
mã số: 688)

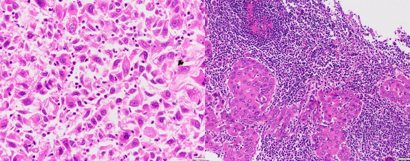
B |
Ảnh 3.2. UTBMTBG đa hình thái, không biệt hóa (A) (HE x 200, mã số: 4257-18), UTBMTBG típ giàu lympho bào (B) (HE x 200 mã số: A87578)
3.2.2.2: Đặc điểm hình thái tế bào của UTBMTBG
Bảng 3.9. Phân bố tổn thương theo hình thái tế bào học của UTBMTBG
n | % | |
Tế bào điển hình | 62 | 32,63 |
Tiết mật | 92 | 48,42 |
Thoái hoá mỡ | 55 | 28,94 |
Đa hình thái | 14 | 7,36 |
Tế bào sáng | 75 | 39,47 |
Tế bào hình thoi | 0 | 0 |
Thể hyaline | 74 | 38,94 |
Thể nhạt màu | 14 | 7,36 |
Thể vùi kính mờ | 8 | 4,21 |
Tổng | 190 | 100 |
Nhận xét:
Mẫu tế bào điển hình chiếm tỷ lệ khá cao với 62 (32,63%) trường hợp, tiết mật 92 (48,42%), thể hyalin 74 (38,94%); trong khi mẫu đa hình thái chỉ có 14 (7,36%) trường hợp và không gặp trường hợp nào là mẫu tế bào thoi.

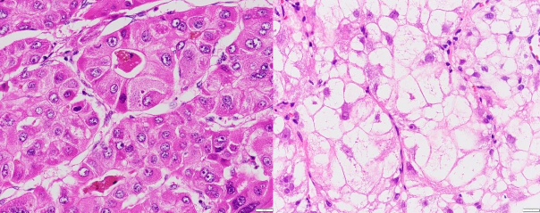
B |
Ảnh 3.3. UTBMTBG thể điển hình với các tế bào hình đa diện, bào tương dạng hạt, ưa toan, trong lòng chứa mật (A) (HE x 400, mã số: 241-19), UTBMTBG thể tế bào sáng với các tế bào u có bào tương rộng, sáng màu (B) (HE x 400, mã số: 5685)
B |
Ảnh 3.4. UTBMTBG thể thoái hóa mỡ với các giọt mỡ hình cầu nằm trong bào tương tế bào u (A) (HE x 100, mã số: 1122-19), UTBMTBG thể chế tiết mật với các giọt mật (màu nâu đỏ) hoặc trong các vi quản mật (B)
(HE x 200, mã số: 654)
B |
Ảnh 3.5. UTBMTBG có thể Mallory (các thể hình cầu), ưa toan trong bào tương (A) (HE x 200, mã số: 4259-18), UTBMTBG với thể vùi kính mờ nằm trong nhân tế bào u (B) (HE x 200, mã số 701)
3.2.2.3: Đặc điểm độ mô học của UTBMTBG
Bảng 3.10. Phân bố tổn thương theo độ mô học của UTBMTBG
n | % | |
Biệt hóa cao | 26 | 13,68 |
Biệt hóa vừa | 108 | 56,84 |
Biệt hóa kém | 55 | 28,95 |
Không biệt hóa | 1 | 0,53 |
Tổng | 190 | 100 |
Nhận xét:
Biệt hóa vừa chiếm ưu thế 108 (56,84%) trường hợp, biệt hóa kém 55 (28,95%), nhóm biệt hóa cao ít gặp hơn 26 (13,76%) và không biệt hóa chỉ có 1 (0,53%) trường hợp.

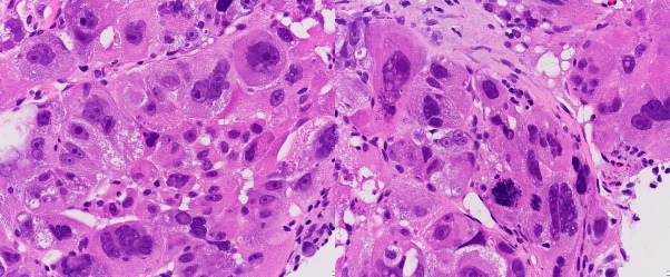
B |
Ảnh 3.6. UTBMTBG thể đa hình với các tế bào u đa dạng về kích thước, có cả tế bào khổng lồ, nhân quái (A, B) (HE x 400, mã số:1107)






