82
Tiên Lãng- HP | |||||||
106 | Nguyễn Thị C. | 71 | 48401/19 | 1047232 | 23/7/2019 | 2/8/2019 | Cầu Tre- Ngô Quyền- HP |
107 | Đinh Xuân T. | 48 | 57187/19 | 613184 | 28/8/2019 | 3/9/2019 | Bắc Sơn- Kiến An- HP |
108 | Phạm Ngọc B. | 64 | 65866/19 | 1083142 | 2/10/2019 | 8/10/2019 | Hồ Nam- Lê Chân- HP |
Có thể bạn quan tâm!
-
Phân Loại Sức Cơ Của Hội Đồng Nghiên Cứu Y Khoa Anh (Mrc). -
Khảo Sát Điện Cơ Sử Dụng Điện Cực Kim (Điện Cơ Đồ). -
Tỷ Lệ Mất Chức Năng Cột Sống Được Chia Làm 5 Mức : -
Nghiên cứu đặc điểm lâm sàng, chẩn đoán điện và cộng hưởng từ ở bệnh nhân thoát vị đĩa đệm cột sống thắt lưng, cùng - 27
Xem toàn bộ 224 trang tài liệu này.
XÁC NHẬN CỦA
THẦY HƯỚNG DẪN KHOA HỌC
PGS.TS. Nguyễn Hữu Công
PGS.TS. Nguyễn Văn Liệu
XÁC NHẬN CỦA PHÒNG KHTH BỆNH VIỆN HỮU NGHỊ VIỆT TIỆP
PHỤ LỤC 5
1. Hình ảnh khảo sát dẫn truyền thần kinh, điện cơ đồ và MRI (thực hiện trên mẫu nghiên cứu: bệnh nhân Nguyễn Văn H., mã số bệnh nhân 731711).
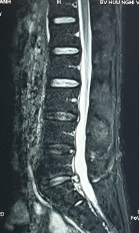
Bệnh nhân H., khi khám lâm sàng có biểu hiện tổn thương rễ thần kinh L3, L4, L5. Kết quả xét nghiệm điện cơ thấy: dẫn truyền thần kinh bình thường, nhưng kết quả khi điện cơ kim có biểu hiện tổn thương rễ thần kinh L4 . Kết quả chụp cộng hưởng từ là tổn thương thoát vị L4 – L5 . Như vậy, trên bệnh nhân này vị trí tổn thương thực tế khi kết hợp phối hợp giữa khám lâm sàng, chẩn đoán hình ảnh và chẩn đoán chức năng là vị trí rễ thần kinh L4.


Hình ảnh dẫn truyền vận động của dây thần kinh chày.
Hình ảnh sóng F của dây thần kinh mác sâu.


Hình ảnh dẫn truyền vận động của dây thần kinh mác nông.
Hình ảnh dẫn truyền cảm giác của dây thần kinh bắp chân.


Hình ảnh phản xạ H. Hình ảnh điện thế đơn vị vận động có biên độ, thời khoảng bình thường.


Hình ảnh điện thế tự phát sóng nhọn dương tại cơ chày trước.
Hình ảnh điện thế tự phát co giật sợi cơ tại cơ cạnh sống chi phối bởi rễ thần kinh L4.




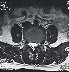
Hình ảnh thoát vị đĩa đệm trên phim chụp MRI.
2. Hình ảnh khảo sát dẫn truyền thần kinh, điện cơ đồ và MRI (thực hiện trên mẫu nghiên cứu: bệnh nhân Hoàng Đình H., mã số bệnh nhân 1010320).
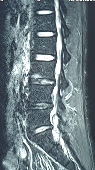
Bệnh nhân H., khi khám lâm sàng có biểu hiện tổn thương rễ thần kinh L4, L5, S1. Kết quả xét nghiệm điện cơ thấy: dẫn truyền thần kinh thấy mất phản xạ H, nhưng kết quả khi điện cơ kim có biểu hiện tổn thương rễ thần kinh L5 . Kết quả chụp cộng hưởng từ là tổn thương thoát vị L4 – L5, L5 – S1. Như vậy, trên bệnh nhân này vị trí tổn thương thực tế khi kết hợp phối hợp giữa khám lâm sàng, chẩn đoán hình ảnh và chẩn đoán chức năng là vị trí rễ thần kinh L5.


Hình ảnh phản xạ H bị mất. Hình ảnh sóng F của dây thần kinh
mác nông.


Hình ảnh không có điện thế tự phát tại vị trí cơ chày trước bên phải.
Hình ảnh điện thế tự phát sóng nhọn dương tại cơ chày sau bên trái.


Hình ảnh điện thế tự phát sóng nhọn dương tại cơ cạnh sống chi phối bởi rễ thần kinh L5 (bên trái). Hình ảnh điện thế đơn vị vận động thấp, hẹp và đa pha.
Hình ảnh kết tập bình thường.




Hình ảnh thoát vị đĩa đệm trên phim chụp MRI.




