Xuống dưới so với đường ngang bờ mi dưới mắt còn lại? | ………………………mm | ……………………mm | |
111B | Vào trong so với đường giữa sống mũi? | ………………………mm | ……………………mm |
112 | Vận nhãn các hướng | 1. Bình thường 2. Hạn chế | 1. Bình thường 2. Hạn chế |
113 | Khám song thị (bằng lăng kính) | 0. Không 1. Có | 0. Không 1. Có |
114 | Đo độ lồi (Hertel) | …………… | …………… |
115 | Hướng lồi mắt | 0. Không 1.Thẳng trục 2. Lệch trục | 0. Không 1.Thẳng trục 2. Lệch trục |
116 | Sờ nắn tìm khối u | 1.Hết u 2. Còn u (Kích thước ……….) 3. U tái phát (Kích thước…….. ) | 1. Hết u 2. Còn u (Kích thước ……….) 3. U tái phát (Kích thước…….. ) |
117 | Nhãn cầu (NHIỀU LỰA CHỌN) | 0. Bình thường 1. Phù kết mạc 2. Khô giác mạc 3. Loét giác mạc 4. Nếp gấp võng mạc 5. Khác (ghi rõ): ………… | 0. Bình thường 1. Phù kết mạc 2. Khô giác mạc 3. Loét giác mạc 4. Nếp gấp võng mạc 5. Khác (ghi rõ): ………… |
Có thể bạn quan tâm!
-
Đặc Điểm Lâm Sàng Và Cận Lâm Sàng Của U Tuyến Lệ -
Nghiên cứu đặc điểm lâm sàng, cận lâm sàng và kết quả điều trị u tuyến lệ - 22 -
Nghiên cứu đặc điểm lâm sàng, cận lâm sàng và kết quả điều trị u tuyến lệ - 23 -
Nghiên cứu đặc điểm lâm sàng, cận lâm sàng và kết quả điều trị u tuyến lệ - 25 -
Nghiên cứu đặc điểm lâm sàng, cận lâm sàng và kết quả điều trị u tuyến lệ - 26 -
Nghiên cứu đặc điểm lâm sàng, cận lâm sàng và kết quả điều trị u tuyến lệ - 27
Xem toàn bộ 217 trang tài liệu này.
Toàn thân (NHIỀU LỰA CHỌN) | 1. Không hạch 2. Có hạch 3. Tác dụng phụ của hóa chất (ghi rõ …………………) 4. Tác dụng phụ của xạ trị (ghi rõ …………………) 5.Tác dụng phụ của corticoid (ghi rõ…………………….) 6.Tử vong | 1. Không hạch 2. Có hạch 3. Tác dụng phụ của hóa chất (ghi rõ …………………) 4. Tác dụng phụ của xạ trị (ghi rõ …………………) 5.Tác dụng phụ của corticoid (ghi rõ…………………….) 6.Tử vong | |
119 | cắt lớp vi tính (NHIỀU LỰA CHỌN) | 1. Còn u (Kích thước … ………… ) 2. Tái phát u (Kích thước ……….. ) 3. Thâm nhiễm xung quanh 4. Không tái phát u | 1. Còn u (Kích thước …….) 2. Tái phát u (Kích thước ……) 3. Thâm nhiễm xung quanh 4. Không tái phát u |
120 | Xử trí (NHIỀU LỰA CHỌN) | 1.Phẫu thuật 2. Xạ trị 3. Hóa chất 4. Corticoid 5. Nội khoa khác …………… | 1. Phẫu thuật 2. Xạ trị 3. Hóa chất 4. Corticoid 5. Nội khoa khác …………… |
5.1 NĂM | |||
TT | Triệu chứng | MP | MT |
121 | TL không kính | ……………………….. | ……………………….. |
122 | TL có kính | ……………………….. | ……………………….. |
123 | Nhãn áp | ……………………….mmHg | ……………………….mmHg |
124 | Thị trường | 1. Bình thường 2. Hạn chế: → 2.1. Phía trên → 2.2. Dưới → 2.3. Phải → 2.4. Trái | 1. Bình thường 2. Hạn chế: → 2.1. Phía trên → 2.2. Dưới → 2.3. Phải → 2.4. Trái |
125 | Mi mắt (NHIỀU LỰA CHỌN) | 0. Bình thường 1. Sưng nề mi 2. Đỏ mi 3. Mi mắt hình chữ S 4. Hở củng mạc trên 5. Hở củng mạc dưới 6. Nhắm mắt không kín 7. Sờ thấy khối u vùng mi trên ngoài 8. Tê bì vùng mi 9. Sụp mi | 0. Bình thường 1. Sưng nề mi 2. Đỏ mi 3. Mi mắt hình chữ S 4. Hở củng mạc trên 5. Hở củng mạc dưới 6. Nhắm mắt không kín 7. Sờ thấy khối u vùng mi trên ngoài 8. Tê bì vùng mi 9. Sụp mi |
Lệch nhãn cầu (NHIỀU LỰA CHỌN) | 1. Xuống dưới so với đường ngang bờ mi dưới mắt còn lại (mm) 2. Vào trong so với đường giữa sống mũi (mm) 3. Mất tương xứng khuôn mặt 4. Không lệch | 1. Xuống dưới so với đường ngang bờ mi dưới mắt còn lại (mm) 2. Vào trong so với đường giữa sống mũi (mm) 3. Mất tương xứng khuôn mặt 4. Không lệch | |
126A | Xuống dưới so với đường ngang bờ mi dưới mắt còn lại? | ………………………mm | ……………………mm |
126B | Vào trong so với đường giữa sống mũi? | ………………………mm | ……………………mm |
127 | Vận nhãn các hướng | 1. Bình thường 2. Hạn chế | 1. Bình thường 2. Hạn chế |
128 | Khám song thị (bằng lăng kính) | 0. Không 1. Có | 0. Không 1. Có |
129 | Đo độ lồi (Hertel) | …………… | …………… |
130 | Hướng lồi mắt | 0. Không 1. Thẳng trục 2. Lệch trục | 0. Không 1. Thẳng trục 2. Lệch trục |
131 | Sờ nắn tìm khối u | 1. Hết u 2. Còn u (Kích thước ……….) 3. U tái phát | 1. Hết u 2. Còn u (Kích thước ……….) 3. U tái phát |
132 | Nhãn cầu (NHIỀU LỰA CHỌN) | 0. Bình thường 1. Phù kết mạc 2. Khô giác mạc 3. Loét giác mạc 4. Nếp gấp võng mạc 5. Khác (ghi rõ): ………… | 0. Bình thường 1. Phù kết mạc 2. Khô giác mạc 3. Loét giác mạc 4. Nếp gấp võng mạc 5. Khác (ghi rõ): ………… |
Toàn thân (NHIỀU LỰA CHỌN) | 1. Không hạch 2. Có hạch 3. Tác dụng phụ của hóa chất (ghi rõ …………………) 4. Tác dụng phụ của xạ trị (ghi rõ …………………) 5.Tác dụng phụ của corticoid (ghi rõ……………………….) 6.Tử vong | 1. Không hạch 2. Có hạch 3. Tác dụng phụ của hóa chất (ghi rõ …………………) 4. Tác dụng phụ của xạ trị (ghi rõ …………………) 5. Tác dụng phụ của corticoid (ghi rõ……………………….) 6. Tử vong | |
134 | cắt lớp vi tính (NHIỀU LỰA CHỌN) | 1.Còn u (Kích thước ……………) 2. Tái phát u (Kích thước ………..) 3. Thâm nhiễm xung quanh 4. Không tái phát u | 1.Còn u (Kích thước …………… ) 2. Tái phát u (Kích thước ………) 3. Thâm nhiễm xung quanh 4. Không tái phát u |
135 | Xử trí (NHIỀU LỰA CHỌN) | 1. Phẫu thuật 2. Xạ trị 3. Hóa chất 4. Corticoid 5. Nội khoa khác …………… 6. Sinh thiết chẩn đoán | 1. Phẫu thuật 2. Xạ trị 3. Hóa chất 4. Corticoid 5. Nội khoa khác …………… 6. Sinh thiết chẩn đoán |
136 | Năm tham gia nghiên cứu | …………… | …………….. |
137 | Tử vong >1 năm khám bệnh? | 0. Không 1. Có → Năm tử vong: ………. | 0. Không 1. Có → Năm tử vong: ………. |


MỘT SỐ HÌNH ẢNH MINH HỌA
A | B |
| |
C | D |
| |
E | F |

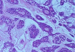
Bệnh nhân nữ, 44 tuổi, MP: đau nhức, lồi mắt, phù kết mạc Chẩn đoán MP: Ung thư biểu mô dạng tuyến nang
Bệnh nhân phù kết mạc khoảng 1 tuần trước vào viện (A). Bệnh nhân có tiền sử cắt u hốc mắt cách vào viện 16 năm, không điều trị bổ sung gì. Hình ảnh cắt lớp vi tính hốc mắt có khối u vùng tuyến lệ tăng giảm tỉ trọng hỗn hợp, bờ không đều, kích thước 26 x 40 mm, đẩy cơ thẳng trên, không quan sát được cơ thẳng ngoài, phá hủy xương (C, D). X-quang ngực đã di căn phổi. Kết quả giải phẫu bệnh là ung thư biểu mô dạng tuyến nang (E: HE x 40, F: HE x 100). Điều trị phẫu thuật cắt bỏ u phối hợp cắt bỏ xương + hóa trị + xạ trị (B).
| |
A | B |
|
|
C | D |
|
|
E | F |
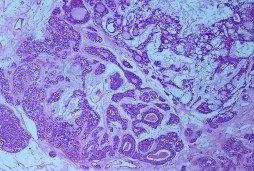
Bệnh nhân nam, 41 tuổi, MP: lồi mắt
Chẩn đoán MP: U hỗn hợp tuyến lệ lành tính
Bệnh nhân lồi mắt xuất hiện 3 năm, tăng nhanh trong vòng 1 năm trước vào viện, đẩy nhãn cầu xuống dưới (A). Hình ảnh cắt lớp vi tính có khối tăng ti trọng, bờ dày đều, kích thước 27 x 38 mm (C, D). Bệnh nhân được phẫu thuật cắt bỏ u cả khối gồm cả vỏ (E). Kết quả giải phẫu bệnh là hình ảnh biểu mô và trung mô của u hỗn hợp tuyến lệ lành tính (F: H&E x 100).
| |
A | B |
|
|
C | D |
|
|
E | F |
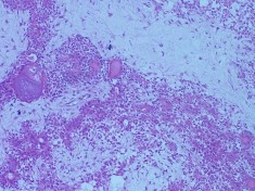
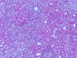
Bệnh nhân nữ, 32 tuổi, 2M: sưng nề mi góc ngoài Chẩn đoán: 2M: Quá sản lympho lành tính
Bệnh nhân sưng nề mi cách vào viện 1 tháng (A). Bệnh nhân đã điều trị nhiều đợt bằng kháng sinh, chống viêm đỡ nhưng tái phát. Hình ảnh cắt lớp vi tính có khối u góc trên ngoài ở cả hai mắt (C, D). Kết quả giải phẫu bệnh là quá sản lympho lành tính (E: HE x 100, F: HE x 200). Bệnh nhân đỡ sưng nề mi mắt rõ sau khi điều trị corticoid uống giảm liều (B).
A | B |
| |
C | D |
|
|
E | F |



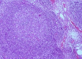
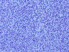
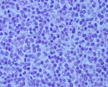
Bệnh nhân nam, 45 tuổi, 2M: sưng nề mi góc ngoài + sờ thấy khối u
Bệnh nhân sờ thấy khối u và sưng nề mi cách vào viện 8 tháng, không đau nhức (A, B). Tiền sử u lympho di căn phổi 1 năm đang điều trị. Hình ảnh cắt lớp vi tính toàn bộ hai tuyến lệ là khối tăng tỉ trọng, bờ đều, kích thước u MP 13 x 30 mm, MT 24 x 30mm, khối u đúc khuôn quanh nhãn cầu (C, D). Kết quả giải phẫu bệnh là u lympho ác tính (u lympho ác tính) (E: HE x 200, F: HE x 400). Bệnh nhân được điều trị bằng hóa trị.
























