DANH MỤC CÁC BẢNG, BIỂU ĐỒ VÀ HÌNH ẢNH
BẢNG
Tên bảng | Trang | |
Bảng 1.1 | Phân độ CTG theo AAST 2018 | 12 |
Bảng 3.1 | Liên quan giữa nghề nghiệp và tỷ lệ CTG | 27 |
Bảng 3.2 | Thời gian từ khi chấn thương đến lúc vào viện | 27 |
Bảng 3.3 | Tình trạng huyết động khi tới viện | 28 |
Bảng 3.4 | Tri giác khi tới viện | 28 |
Bảng 3.5 | Da niêm mạc khi vào viện | 28 |
Bảng 3.6 | Đau bụng hạ sườn phải | 29 |
Bảng 3.7 | Các triệu chứng thực thể khám bụng | 29 |
Bảng 3.8 | Công thức máu khi vào viện | 30 |
Bảng 3.9 | Tổn thương của CTG ghi nhận trên siêu âm | 30 |
Bảng 3.10 | Hình ảnh tổn thương gan qua CLVT ổ bụng | 31 |
Bảng 3.11 | Vị trí tổn thương trên phim CLVT | 33 |
Bảng 3.12 | Phân độ chấn thương gan theo AAST 2018 | 33 |
Bảng 3.13 | Các tổn thương phối hợp thấy trên phim CLVT | 34 |
Có thể bạn quan tâm!
-
Đặc điểm lâm sàng và hình ảnh chấn thương gan trên phim chụp cắt lớp vi tính - 1 -
Tụ Máu Dưới Bao Gan Có Dạng Hình Liềm (Mũi Tên Dài) Hay Thấu Kính Và Các Khối Máu Tụ Trong Nhu Mô Gan (Mũi Tên Ngắn). -
Xẹp Tĩnh Mạch Chủ Dưới (Mũi Tên), Có Mạch Đang Chảy Máu. -
Thời Gian Từ Khi Chấn Thương Đến Lúc Vào Viện:
Xem toàn bộ 82 trang tài liệu này.
BIỂU ĐỒ
Tên biểu đồ | Trang | |
Biểu đồ 3.1 | Phân bố các nhóm tuổi | 25 |
Biểu đồ 3.2 | Phân bố CTG theo giới tính | 26 |
Biểu đồ 3.3 | Nguyên nhân CTG | 26 |
Biểu đồ 3.4 | So sánh tỷ lệ gặp hình ảnh CTG trên phim CLVT và trên siêu âm | 32 |
HÌNH
Tên Hình | Trang | |
Hình 1.1 | Hình thể ngoài của gan | 2 |
Hình 1.2 | Sự phân chia gan theo Tôn Thất Tùng | 3 |
Hình 1.3 | CLVT HPT II, IV, VIII, VII | 4 |
Hình 1.4 | CLVT HPT III, IVb, V, VI | 4 |
Hình 1.5 | CLVT HPT III, IVb, V, VI | 4 |
Hình 1.6 | Tụ máu trong nhu mô thùy gan phải | 7 |
Hình 1.7 | Tụ máu dưới bao gan có dạng hình liềm hay thấu kính và các khối máu tụ trong nhu mô gan | 10 |
Hình 1.8 | Rách gan và đụng dập – tụ máu nhu mô vùng không có phúc mạc phủ gây tụ máu sau phúc mạc | 10 |
Hình 1.9 | Tụ máu trong nhu mô gan trước và sau tiêm thuốc cản quang | 11 |
Hình 1.10 | Đường rách nhu mô gan trên CLVT | 11 |
Hình 1.11 | CLVT tổn thương mạch máu | 12 |
Hình 1.12 | Tổn thương tĩnh mạch cửa trên phim CLVT | 12 |
Hình 1.13 | Dấu hiệu xẹp tĩnh mạch chủ dưới, nhiều dịch ổ bụng và có mạch đang chảy máu | 13 |
Hình 1.14 | CTG độ I. Rách nhu mô: đường vỡ sâu < 1cm | 14 |
Hình 1.15 | CTG độ II. Rách nhu mô sâu 1-3 cm, dài < 10 cm | 15 |
Hình 1.16 | CTG độ II. Tụ máu dưới bao gan 10–50% diện tích | 15 |
Hình 1.17 | CTG độ III. Tụ máu góc dưới thùy gan phải, đường kính > 10cm | 15 |
CTG độ III. Rách ở nhu mô gan > 3 cm thùy gan phải, có chảy máu | 15 | |
Hình 1.19 | CTG độ IV. Vỡ nhu mô > 50% thùy gan phải, chảy máu thùy gan phải | 15 |
Hình 1.20 | CTG độ IV, nhiều vết rách ở thùy phải gan, vỡ nhu mô > 50% thùy gan phải | 15 |
Hình 1.21 | CTG độ V. khối tụ máu và vết rách gan lớn | 16 |
Hình 1.22 | CTG độ V. Vết rách gan sâu, tổn thương tĩnh mạch | 16 |
Hình 1.23 | Chụp CLVT tiêm thuốc cản quang ban đầu cho thấy nhiều vết rách ở gan và tụ máu nhu mô gan | 16 |
Hình 1.24 | Chụp CLVT tiêm thuốc cản quang thấy khối tụ máu dưới bao mới phát triển do chảy máu muộn | 16 |
Hình 1.25 | Áp xe gan do chấn thương trên phim chụp CLVT | 17 |
Hình 1.26 | Giả phình động mạch gan | 17 |
Hình 1.27a,b | Viêm phúc mạc mật | 18 |
Hình 4.1 | CTG độ III, tổn thương dạng đụng dập nhu mô gan HPT VI – VIII trước (T) và sau tiêm thuốc (P) | 45 |
Hình 4.2 | CTG độ III. Phân thùy sau có đường vỡ kèm tụ máu trong nhu mô gan. Tụ máu dưới bao gan | 46 |
Hình 4.3 | CTG độ III, rách nhu mô hạ phân thùy IV | 47 |
Hình 4.4a | CTG độ IV. HPT VII, VIII tụ máu nhu mô, ổ thoát thuốc | 48 |
Hình 4.4b,c | CTG độ IV. HPT VII, VIII ổ thoát thuốc thì động mạch, thì muộn | 49 |
Hình 1.18
ĐẶT VẤN ĐỀ
Gan với vị trí nằm ngay dưới vòm hoành phải và kích thước lớn là một trong những cơ quan bị tổn thương thường xuyên nhất gặp trong chấn thương bụng kín. Theo các tác giả trong và ngoài nước, trong chấn thương bụng kín có từ 29 – 35% là CTG và tỷ lệ này chỉ xếp sau chấn thương lách [1, 2].
Trước kia, việc chẩn đoán và định hướng xử trí những tổn thương trong ổ bụng gặp nhiều khó khăn. Thăm khám lâm sàng giúp bác sĩ có chẩn đoán sơ bộ ban đầu và điều này đòi hỏi những kỹ năng, kinh nghiệm lâm sàng. Đặc biệt ở những trường hợp tổn thương gan với triệu chứng lâm sàng nghèo nàn, không r rệt thì việc chẩn đoán càng khó khăn và rất dễ bỏ sót. Bên cạnh đó, hầu hết các trường hợp bị CTG trước đây được xử trí bằng phẫu thuật mở ổ bụng thăm dò. Phẫu thuật chấn thương gan là phẫu thuật phức tạp, đòi hỏi sự hiểu biết sâu sắc về giải phẫu, sinh lý của gan, hồi sức, kỹ thuật mổ. Mặc dù vậy tỷ lệ tai biến, biến chứng trong và sau mổ còn khá cao [3].
Ngày nay, nhờ những hiểu biết về giải phẫu, sinh lý, tiếp đó là sự phát triển của khoa học kỹ thuật trong chẩn đoán hình ảnh, thì chụp CLVT đã trở thành phương pháp chẩn đoán hình ảnh vô cùng hiệu quả trong chẩn đoán CTG. Chụp CLVT cho phép chẩn đoán xác định CTG, phân độ tổn thương của gan, cùng các tổn thương phối hợp và chụp CLVT chính là cơ sở quyết định lựa chọn phương pháp điều trị thích hợp [4].
Vì những lý do trên, chúng tôi xin tiến hành nghiên cứu đề tài: “ĐẶC ĐIỂM LÂM SÀNG VÀ HÌNH ẢNH CHẤN THƯƠNG GAN TRÊN PHIM
CHỤP CẮT LỚP VI TÍNH” với mục tiêu:
1. Mô tả đặc điểm lâm sàng của bệnh nhân chấn thương gan.
2. Đánh giá hình ảnh chấn thương gan trên phim chụp cắt lớp vi tính.
CHƯƠNG 1: TỔNG QUAN
1.1. Một số đặc điểm giải phẫu gan
Gan là tạng đặc lớn nhất trong ổ bụng, cấu trúc giải phẫu phức tạp.
1.1.1. Hình thể ngoài của gan:
Gan nằm ở tầng trên mạc treo đại tràng ngang, trong ô dưới hoành phải và phần lớn ô thượng vị, nằm ngay sát bên dưới cơ hoành phải.
Nhìn bên ngoài gan có màu đỏ nâu, nắn có mật độ chắc, dễ bị nghiền nát, dễ vỡ và dễ chảy máu dẫn đến tình trạng sốc mất máu trong CTG [5].

Hình 1.1: Hình thể ngoài của gan.
Nguồn: Theo Frank Netter (1995) [6].
1.1.2. Mạch máu và đường mật của gan:
Gan được cấp máu bằng hai hệ thống: động mạch gan và tĩnh mạch cửa. Đường mật: Tương ứng với mỗi tĩnh mạch phân thuỳ gan có thể có 1 hoặc
2 ống mật hợp lại với nhau ở vùng cửa gan tạo nên ống gan phải và ống gan trái rồi hợp lại để tạo thành ống gan chung.
Tĩnh mạch cửa được hình thành do tĩnh mạch mạc treo tràng trên hợp với tĩnh mạch lách.
Tĩnh mạch gan: 3 tĩnh mạch gan là tĩnh mạch gan phải, tĩnh mạch gan giữa và tĩnh mạch gan trái [7].
1.1.3. Phân chia gan
Hiện nay trên thế giới có nhiều cách phân chia phân thùy gan, Tôn Thất Tùng phối hợp 2 quan điểm Anh- Mỹ và Pháp để chia phân thuỳ gan thống nhất dựa theo các mốc của tĩnh mạch gan và sự phân bố đường mật trong gan [8].
Thuỳ: chỉ nên dùng để gọi các thuỳ cổ điển theo hình thể ngoài của gan, thuỳ phải và thuỳ trái ngăn cách nhau bởi khe dây chằng tròn.
Nửa gan: hai nửa gan phải và trái ngăn cách nhau bởi khe dọc giữa, nửa gan phải được chia thành 2 phân thuỳ trước và sau ngăn cách nhau bởi khe phải, nửa gan trái được chia thành 2 phân thuỳ giữa và bên ngăn cách nhau bởi khe dây chằng tròn. Riêng thuỳ đuôi được gọi là phân thuỳ lưng.
Các phân thuỳ lại được chia nhỏ thành cách hạ phân thuỳ và được đánh số giống các phân thuỳ của Couinaud từ I – VIII [9].

Hình 1.2: Sự phân chia các hạ phân thùy gan theo Tôn Thất Tùng.
Nguồn: Trịnh Hồng Sơn (2016) [10].
1.1.4. Phân chìa thùy và phân thùy gan trên CLVT:
Sự phân chia thuỳ và hạ phân thuỳ gan trên CLVT cũng dựa trên các mốc mạch máu đó là các tĩnh mạch gan và các nhánh phải và trái của tĩnh mạch cửa, các mặt phẳng tưởng tượng đi qua các mạch máu trên giúp phân biệt vị trí các thuỳ và phân thuỳ gan. Mặt phẳng qua TM gan phải chia gan phải thành phân thuỳ trước và sau. Mặt phẳng qua TM gan giữa chia gan thành gan phải và trái. Mặt phẳng qua TM gan trái chia gan trái thành thuỳ vuông và thuỳ đuôi. Mặt
phẳng ngang đi qua nhánh phải và trái phân chia các HPT trên gồm II, IVa, VII, VIII với các HPT dưới gồm III, IVb, V, VI [11].
I
I

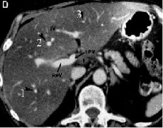
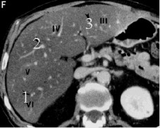
Hình 1.3: Lớp cắt cao phía trên thấy r 3 tĩnh mạch gan (1 TM gan phải, 2 TM gan giữa, 3 TM gan trái) cho phép xác định các HPT II, IV, VIII, VII [11].


Hình 1.4: Lớp cắt ngang qua nhánh trái và nhánh phải của TMC. Phía trên là HPT II, IVa, VII, VIII. Phía dưới các nhánh này là HPT III, IVb, V, VI [11].


Hình 1.5: Lớp cắt qua phần thấp của gan qua các HPT III, IVb, V, VI [11].




