
Hình 1.2. Hình ảnh của 7 loại kịch phát dạng động kinh trên EEG.
A: gai (nhọn) , B: phức hợp gai và sóng chậm, C: sóng nhọn, D: phức hợp nhọn và sóng chậm, E: phức hợp đa gai, F: phức hợp đa gai và sóng chậm, G: kịch phát đa gai thành nhịp. Nguồn trích dẫn: Chong DJ, Hirsch LJ. J Clin Neurophysiol. 2005;22:79[24]

Hình 1.3. Kịch phát có chu kỳ toàn thể (GPDs)
Nguồn trích dẫn: Chong DJ, Hirsch LJ. J Clin Neurophysiol. 2005;22:79[24]

Hình 1.4. Kịch phát có chu kỳ một bên ở bên phải (LPDs)
Nguồn trích dẫn: Chong DJ, Hirsch LJ. J Clin Neurophysiol. 2005;22:79[24]

Hình 1.5. Điện não trong cơn động kinh co cứng - co giật toàn thể
Nguồn trích dẫn: Chong DJ, Hirsch LJ. J Clin Neurophysiol. 2005;22:79[24]

Hình 1.6. Điện não cơn động kinh cục bộ khởi phát thái dương trán bên phải
Nguồn trích dẫn: Chong DJ, Hirsch LJ. J Clin Neurophysiol. 2005;22:79[24]
1.1.4.2. Các thăm dò hình ảnh học thần kinh dùng trong chẩn đoán động kinh ở phụ nữ có thai
Rất nhiều quốc gia và tổ chức quốc tế đã có các hướng dẫn riêng về chẩn đoán hình ảnh học cho đối tượng bệnh nhân mang thai. Năm 2017, Hiệp hội bác sỹ sản phụ khoa Hoa Kỳ (American College of Obstetricians and Gynecologists (ACOG) đã xuất bản "Các hướng dẫn về thăm dò chẩn đoán hình ảnh học cho phụ nữ trong thai kỳ và giai đoạn cho con bú” [25]. Mặc dù còn một số nghi ngại về tác động không mong muốn của chụp cộng hưởng từ (Magnetic Resonance Imaging-MRI) với sản phụ và thai nhi (do cảm ứng điện trường khu trú và dòng điện từ trong từ trường tĩnh hay từ trường thay đổi theo thời gian; do tác dụng làm nóng mô của bức xạ tần số vô tuyến) nhưng thực tế chưa có báo cáo nào ghi nhận về ảnh hưởng nghiêm trọng do chụp MRI trong thai kỳ [25]. Nghiên cứu được tiến hành trên 1737 lần mang thai có thực hiện MRI trong thai kỳ (có so sánh với nhóm chứng gồm 1.418.451 ca sinh không chụp MRI) cho thấy: chụp MRI cho sản phụ trong ba tháng đầu không gây tăng đáng kể nguy cơ thai chết lưu, tử vong sơ sinh, dị tật bẩm sinh, ung thư, mất thị lực hoặc thính giác ở trẻ (được theo dõi từ lúc sinh ra đến khi trẻ lên bốn tuổi) [26]. Mặt khác, các nghiên cứu về sự an toàn của MRI đối với sản phụ và thai nhi phần lớn mới được thực hiện ở cường độ từ trường ≤ 1,5 Tesla. Nghiên cứu trên động vật
mang thai ở từ trường 3 Tesla, hiệu ứng đốt nóng tăng rõ rệt trong cả nước ối và mô thai nhi [27]. Tuy nhiên, một nghiên cứu hồi cứu của 81 trẻ sơ sinh có mẹ chụp MRI
3 Tesla trong thai kỳ cho thấy không có sự khác biệt đáng kể về trọng lượng sơ sinh trung bình hoặc tỷ lệ suy giảm thính lực khi trẻ 12 tháng tuổi giữa nhóm tiếp xúc và nhóm chứng [28]. Tóm lại, chụp MRI vùng đầu mặt cổ từ trường ≤ 3 Tesla được cho là an toàn cho cả mẹ và thai nhi, mang lại nhiều lợi ích về chất lượng chẩn đoán, tuy vậy chỉ nên thực hiện khi có chỉ định của bác sĩ thần kinh [25].
Chụp MRI não có tính an toàn và độ nhạy cao hơn chụp cắt lớp vi tính não đối với bệnh động kinh. Chụp MRI não giúp phát hiện được hầu hết các tổn thương gây động kinh cũng như cung cấp hình ảnh của cấu trúc não thông thường, ngoài ra còn cho phép dựng hình ảnh não đa chiều và đánh giá chức năng não bộ với nhiều kỹ thuật
chụp khác nhau. Vì vậy, chụp cộng hưởng từ sọ não là thăm dò hình ảnh học thần kinh được ưu tiên lựa chọn cho bệnh nhân mang thai bị động kinh.
Những nguyên nhân động kinh có liên quan đến bất thường cấu trúc não có thể phát hiện trên MRI bao gồm: Xơ hoá hồi hải mã, bất thường phát triển của vỏ não, u não, dị dạng mạch não; nhồi máu não, chảy máu não; huyết khối tĩnh mạch não; chấn thương sọ não; viêm nhiễm hệ thần kinh trung ương bao gồm: viêm não, abcès não, kén sán não [29],[30],[31].
Một vài hình ảnh bất thường được phát hiện trên MRI não
|
Có thể bạn quan tâm!
-
Đặc điểm lâm sàng, cận lâm sàng và một số yếu tố liên quan của động kinh ở phụ nữ có thai - 1 -
Đặc điểm lâm sàng, cận lâm sàng và một số yếu tố liên quan của động kinh ở phụ nữ có thai - 2 -
Định Nghĩa Và Các Khái Niệm Cơ Bản Về Động Kinh -
Tác Động Của Quá Trình Mang Thai Đối Với Cơn Động Kinh -
Các Nghiên Cứu Về Ảnh Hưởng Lâu Dài Của Thuốc Kháng Động Kinh Đối Với Trẻ Bị Phơi Nhiễm Thuốc Thời Kỳ Bào Thai -
Sử Dụng Và Chỉnh Liều Thuốc Kháng Động Kinh Trong Thai Kỳ
Xem toàn bộ 171 trang tài liệu này.
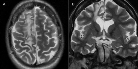
Hình 1.7. Xơ hóa hồi hải mã trái kèm teo thùy thái dương bên trái
Nguồn trích dẫn: Hiba AH, Lawrence JH. Uptodate. 2018; Topic 14040 [29].

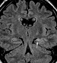
Hình 1.8. Loạn sản vỏ não khu trú hồi cạnh hải mã và hồi chẩm thái dương trái
Nguồn trích dẫn: Hiba AH, Lawrence JH. Uptodate. 2018; Topic 14040 [29].

Hình 1.9. Dị dạng u mạch thể hang tính chất gia đình
Nguồn trích dẫn: Hiba AH, Lawrence JH. Uptodate. 2018; Topic 14040 [29].

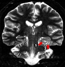
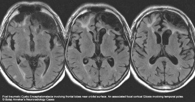
Hình 1.10. Tổn thương não sau chấn thương sọ não dạng nang dịch và tăng sinh thần kinh đệm khu trú
Nguồn trích dẫn: Hiba AH, Lawrence JH. Uptodate. 2018; Topic 14040 [29].

Hình 1.11. Tổn thương thùy trán phải trong viêm não Ramussen
Nguồn trích dẫn: Hiba AH, Lawrence JH. Uptodate. 2018; Topic 14040[29].

Hình 1.12. Các tổn thương não trong xơ cứng củ (Tuberous sclerosis)
Nguồn trích dẫn: Hiba AH, Lawrence JH. Uptodate. 2018; Topic 14040 [29].

Hình 1.13. Tổn thương não trong hội chứng Sturge-Weber
Nguồn trích dẫn: Hiba AH, Lawrence JH. Uptodate. 2018; Topic 14040[29].
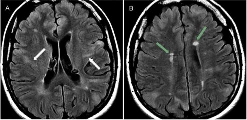
Hình 1.14. Tổn thương não do huyết khối tĩnh mạch não
(Hình ảnh do người viết cung cấp)
1.2. Các nghiên cứu về động kinh ở phụ nữ có thai
1.2.1. Nghiên cứu về các yếu tố nguy cơ của mẹ và con
1.2.1.1. Bệnh tật và tử vong thời kỳ chu sinh
Dựa trên số liệu thu thập tại các bệnh viện Hoa Kỳ (trong khoảng thời gian từ 2007-2011 với nhóm bệnh là 69.383 sản phụ bị động kinh và nhóm chứng là 20 triệu sản phụ không bị động kinh) cũng như kết quả đa phân tích được tổng hợp từ nhiều nghiên cứu khác nhau cho thấy: Phụ nữ bị động kinh có tỷ lệ bệnh tật và tử vong thời kỳ chu sinh cao hơn so với quần thể chung [32],[33],[34],[35]. Các biến cố y khoa từ mức độ trung bình đến nặng xảy ra trong thời kỳ này bao gồm tiền sản giật, đẻ non, chảy máu sau sinh, thai lưu, thai kém phát triển và tử vong mẹ [32],[33],[34],[36]. Thông thường tần số xuất hiện mỗi biến cố tăng gấp 1,1-1,5 lần so với quần thể, đặc biệt tỷ lệ tử vong của sản phụ trong quá trình chuyển dạ cao hơn gấp 10 lần so với quần thể [33],[34]. Các yếu tố nguy cơ tăng cao hơn rõ ràng của sản phụ bị động kinh trong thời kỳ chu sinh bao gồm:
- Tử vong mẹ: có 80 trường hợp tử vong trên 100,000 sản phụ bị động kinh so với 6 trường hợp tử vong trên 100,000 sản phụ không bị động kinh(OR hiệu chỉnh 11,5; 95% CI: 8,6-15,1).
- Tỷ lệ mổ đẻ ở nhóm sản phụ bị động kinh là 41% so với tỷ lệ của quần thể là 33% (OR 2,5).








