BẢN CAM KẾT
Hà Nội, ngày tháng năm
Cam kết từ phụ huynh/ người giám hộ bệnh nhân: Tôi đã đọc và tìm hiểu về đề tài nghiên cứu này.
Tôi đã được cung cấp đầy đủ thông tin về những nguy cơ và lợi ích của việc tham gia vào nghiên cứu này và tôi đồng ý có đủ thời gian để suy nghĩ về quyết định của mình. Tôi hiểu về mục đích của nghiên cứu và đồng ý tự nguyện tham gia nghiên cứu. Tôi hiểu rằng tôi có thể rút khỏi nghiên cứu bất cứ lúc nào và tôi sẽ được giữ một bản cam kết này để tham khảo.
Họ và tên bênh nhân.............................................................................
Bố/ mẹ hoặc người giám hộ..................................................Chữ ký............
Bác sỹ lấy cam kết................................................................Chữ ký ...........
Người làm chứng...................................................................Chữ ký...........
Phụ lục 2 PHIẾU KHÁM
Số ………
1.HÀNH CHÍNH:
Họ và tên bệnh nhân:………………………..Ngày sinh…….Giới…… Địa chỉ……………………………………….Điện thoại:…………….. Ngày khám…………………
2. HỎI BỆNH:
Tiền sử: - Toàn thân…………………………………………...........….
- RHM……………………………………………………........ Lý do khám bệnh:………………………………………………………
3. KHÁM BỆNH:
Khám răng:
16 | 26 | 36 | 46 | |
Nhai | ||||
Ngoài | ||||
Trong | ||||
Gần | ||||
Xa |
Có thể bạn quan tâm!
-
Hiệu Quả Điều Trị Sâu Răng Hàm Lớn Thứ Nhất Giai Đoạn Sớm Bằng Clinprotm Xt Varnish Ở Nhóm Trẻ 6-12 Tuổi. -
Ekstrand Kr, Ricketts Dnj, Kidd Eam (1997). Reproducibility And Accuracy Of Three Methods For Assessment Of Demineralization Depth On The Occlusal Surface: An In Vitro Examination. Caries Re, 31, -
Hiệu quả điều trị sâu răng hàm vĩnh viễn giai đoạn sớm bằng ClinproTM XT Varnish - 23
Xem toàn bộ 201 trang tài liệu này.
Khám Diagnodent:
16 | 26 | 36 | 46 | |
Nhai | ||||
Ngoài | ||||
Trong | ||||
Gần | ||||
Xa |
Mô tả chi tiết:
4. ĐIỀU TRỊ Clinpro XT Varnish:
Ngày điều trị:
Răng điều trị: : số mặt răng DT
5. THEO DÕI SAU ĐIỀU TRỊ: Sau 03 tháng:
Khám mặt răng:
....................................................................................................................
....................................................................................................................
....................................................................................................................
Đo Diagnodent (Di):
....................................................................................................................
....................................................................................................................
....................................................................................................................
Chọn răng điều trị lần 2: số mặt răng DT Ngày điều trị:
Sau 06 tháng:
Khám mặt răng:
....................................................................................................................
....................................................................................................................
....................................................................................................................
Đo Diagnodent (Di):
....................................................................................................................
....................................................................................................................
....................................................................................................................
Chọn răng điều trị lần 3: số mặt răng DT Ngày điều trị:
Sau 09 tháng:
Khám mặt răng:
....................................................................................................................
....................................................................................................................
....................................................................................................................
Đo Diagnodent (Di):
....................................................................................................................
....................................................................................................................
....................................................................................................................
Chọn răng điều trị lần 4: số mặt răng DT Ngày điều trị:
Sau 12 tháng:
Khám mặt răng:
....................................................................................................................
....................................................................................................................
....................................................................................................................
Đo Diagnodent (Di):
....................................................................................................................
....................................................................................................................
....................................................................................................................
Chọn răng điều trị lần 5: số mặt răng DT Ngày điều trị:
Sau 18 tháng:
Khám mặt răng:
....................................................................................................................
....................................................................................................................
....................................................................................................................
Đo Diagnodent (Di):
....................................................................................................................
....................................................................................................................
....................................................................................................................



MỘT SỐ HÌNH ẢNH MINH HỌA NGHIÊN CỨU THỰC NGHIỆM


Pha chế dung dịch khử khoáng | |
Chuẩn độ pH dung dịch khử khoáng | Răng được ngâm trong môi trường khử khoáng |
Điều trị tổn thương băng CinproTMXT varnish | |






Răng sau khi được cắt | |
Mẫu răng nghiên cứu được mạ phủ vàng | Cố định mầu răng trước kho cho vào soi dưới SEM |
Phân tích tổn thương dưới SEM | Nhóm nghiên cứu thảo luận |
MỘT SÔ HÌNH ẢNH ĐIỀU TRỊ LÂM SÀNG
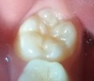
Bệnh nhân: Trần Nguyệt H. 7 tuổi, Răng 46, mã BA 11907/17




Sau sáu tháng. ICDAS: 1; Di: 15 | Sau chín tháng. ICDAS: 0; Di: 13 | Sau 18 tháng. ICDAS 0; Di:7 |
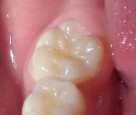
Bệnh nhân: Ng. Bá Tuấn Đ. 6 tuổi, răng 36, mã BA 6320/17




Sau sáu tháng. ICDAS: 2; Di: 21 | Sau chín tháng. ICDAS:1; Di: 19 | Sau 12 tháng. ICDAS: 1; Di: 14 |
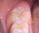
Bệnh nhân: Ng. Minh T. 9 tuổi. Răng 36, mã BA 13519/17




Sau ba tháng. ICDAS:2; Di: 22 | Sau 12 tháng. ICDAS:0; Di: 09 | Sau 18 tháng. ICDAS:0; Di: 05 |
Bệnh nhân: Trần Gia K. 8 tuổi, nam, mã BA 8233/17




Sau ba tháng. ICDAS:2; Di: 21 | Sau sáu tháng. ICDAS:1; Di: 17 | Sau 18 tháng. ICDAS:0; Di: 05 |



