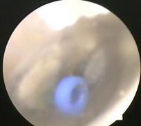
Ảnh 14 MN thủng MSBA. 1906298068 |
Có thể bạn quan tâm!
-
Đánh giá chức năng tai giữa trên bệnh nhân khe hở vòm miệng - 19 -
Đánh giá chức năng tai giữa trên bệnh nhân khe hở vòm miệng - 20 -
Đánh giá chức năng tai giữa trên bệnh nhân khe hở vòm miệng - 21 -
Đánh giá chức năng tai giữa trên bệnh nhân khe hở vòm miệng - 23
Xem toàn bộ 188 trang tài liệu này.
Một số biến chứng
Ảnh 16 Màng nhĩ vôi hóa MSBA. 1806217639 | |
Ảnh 17 Nụ hạt trên màng nhĩ MSBA. 1811254229 |
Ảnh 18 Còn lỗ thủng MSBA. 1904282172 |
BỆNH ÁN MẪU
Đề tài: “ĐÁNH GIÁ CHỨC NĂNG TAI GIỮA TRÊN BỆNH NHÂN KHE HỞ VÒM MIỆNG”
I. TIỀN PHẪU
1. Hành chính 1.1a Số bệnh án:................ 1.1b Mã số OS:…...
1.2 Họ và tên: ........................................................1.3 Giới: Nam □ Nữ □
1.4 Ngày sinh: ........................................................1.5 Tuổi:…………...
1.6 Địa chỉ: ..........................................................................................
1.7 Điện thoại ..........................................................................................
1.8 Ngày vào viện: ……/……/…… 1.9 Ngày phẫu thuật: ……/……/……
2. Tiền sử: Có│Không│Không rõ:
2.1 Lần thăm khám trong nghiên cứu: ..............................................................
2.2 Các phẫu thuật đã được thực hiện:
2.2.1 Đặt OTK: Phải Trái 2.2.2 Thời gian PT: ......... 2.2.3 Chỉnh hình môi: 2.2.4 Thời gian PT: ........................ 2.2.5 Tạo hình vòm miệng: 2.2.6 Thời gian PT: ........................ 2.2.7 Tạo hình thì 2, xương hàm 2.2.8 Thời gian PT: ........................ 2.2.9 Chỉnh hình tai giữa 2.2.10 Thời gian PT: ...................... 2.3 Chậm nói 2.3.1 Tháng thứ: .............................
2.4 Tiền sử viêm tai giữa 2.4.1 Số lần: 1 lần 2 lần >2 lần
2.5 Tiền sử viêm mũi họng
2.5.1 Tần suất 1 tháng/lần 3 tháng/lần Khác ….
2.5 Mẹ
2.5.1 Bị khe hở môi – vòm miệng
2.5.2 Tiếp xúc thuốc lá
2.5.3 Bị cúm trong thời kỳ mang thai
2.5.4 Dùng thuốc trong thời kỳ mang thai
2.5.5 Thuốc gì nếu có ..............................................................................
1
2.6 Bố
2.6.1 Bị khe hở môi – vòm miệng
3. Cơ năng: Có│Không│Không rõ:
| 3.2 Lắc đầu | | 3.3 Giụi tai | | |
3.4 Cảm giác đầy tai | | 3.5 Ù tai | | 3.6Chóng mặt | |
3.7 Tự vang | | 3.8 Đau tai | | 3.9 Nôn, trớ | |
4. Khám thực thể Có│Không│Không rõ:
x.1Tai phải | x.2Tai trái | |
4.1.1 Vị trí | Lõm Phồng Bình thường | Lõm Phồng Bình thường |
4.1.2 Màu sắc | Trắng Vàng Xanh Bóng xám | Trắng Vàng Xanh Bóng xám |
4.1.3 Bọt khí, mức dịch | | |
4.1.4 Xẹp nhĩ toàn bộ | | |
4.1.4.2 Độ xẹp | 1 2 3 4 | 1 2 3 4 |
4.1.5 Túi co kéo | | |
4.1.5.2 Độ túi co kéo | 1 2 3 4 | 1 2 3 4 |
4.1.6 Sung huyết | | |
4.1.7 Độ trong | Dày đục Trong suốt | Dày đục Trong suốt |
4.1.8 Nón sáng | | |
4.1.9 Vôi hóa | | |
4.1.10 Thủng | | |
4.1.11 Di động | | |
2
4.2 Tình trạng OTK (Nếu 2.2.1 = X>1)
4.2.1 Tai P: Còn, thông, khô Còn, tắc Còn, chảy dịch Rơi Vào trong
4.2.2 Tai T: Còn, thông, khô Còn, tắc Còn, chảy dịch Rơi Vào trong
4.3 Khám bộ phận liên quan Có│Không│Không rõ:
Viêm | Quá phát | Độ: ……….. | |
4.3.2 Amidan | Viêm | Quá phát | Độ: ……….. |
4.3.3 Mũi xoang | Viêm | Khác: ………………………….. | |
4.3.4 Vách ngăn | Thiểu sản | Dị hình | Bình thường |
4.3.5 Khối u vùng mũi họng | | ||
4.3.6 Khe hở vòm | Phải | Trái | |
Toàn bộ Không TB | Toàn bộ Không TB | ||
4.3.7 Loại KHVM
|
| ||
4.3.6 Khe hở môi | Phải | Trái | |
Toàn bộ Không TB | Toàn bộ Không TB | ||
4.3.9 Dị tật kèm theo | Rò luân nhĩ: Ngắn hãm lưỡi: Khác: …………………………………………….. | ||
3
5. Cận lâm sàng
5.1 Nhĩ lượng đồ
x.1Tai phải | x.2 Tai trái | |
5.1.1 Thể tích ống tai ngoài (ml) | ||
5.1.2 Độ thông thuận (ml) | ||
5.1.3 Áp lực đỉnh (daPa) | ||
5.1.4 Dạng nhĩ đồ |
5.2 Áp lực mở vòi daPa
Mở | Đóng | |
Dương | ||
Âm |
5.3 Thính lực đồ
5.3.1 Nghiệm pháp đo:
Đo TL Đơn âm tại ngưỡng □ Đo TL tại trường tự do □
TS (Hz) | 500 | 1000 | 2000 | 4000 | 8000 | |
ĐK (dB) | ||||||
ĐX (dB) | ||||||
Tai T | TS (Hz) | 500 | 1000 | 2000 | 4000 | 8000 |
ĐK (dB) | ||||||
ĐX (dB) |
4
6. Chẩn đoán: Có│Không│Không rõ:
x.1Tai phải | x.2 Tai trái | |
Viêm tai giữa cấp | | |
Viêm tai giữa ứ dịch | | |
Túi co kéo | 1 2 3 4 | 1 2 3 4 |
Xẹp nhĩ | 1 2 3 4 | 1 2 3 4 |
Viêm tai giữa mạn tính | | |
Xơ nhĩ | | |
Đã phẫu thuật | | |
Khác | ………….. | ………….. |
6.2.x Khe hở vòm | Phải | Trái |
Toàn bộ Không TB | Toàn bộ Không TB | |
Thông mũi miệng | ||
6.3 Phân loại | A B C D | |
Hà Nội, ngày … tháng … năm ……
Người làm bệnh án
Khiếu Hữu Thanh
5
II. PHẪU THUẬT
1. Hành chính 1.1a Số bệnh án:................ 1.1b Mã số OS:…...
1.2 Họ và tên: ........................................................1.3 Giới: Nam □ Nữ □
1.4 Ngày sinh: ........................................................1.5 Tuổi:…………...
1.6 Địa chỉ: ................................. 1.7 Ngày phẫu thuật: ……/……/……
7: Chẩn đoán trước phẫu thuật: ……………………………………………….
…………………………………………………………………………………….
8: Chẩn đoán sau phẫu thuật: ………………………………………………….
…………………………………………………………………………………….
9. Phẫu thuật tai
x.1Tai phải | x.2 Tai trái | |
9.1.x Phẫu thuật lần | 1 2 Khác … | 1 2 Khác … |
9.2.x Kỹ thuật | Đặt OTK Chích nhĩ Khác Không | Đặt OTK Chích nhĩ Khác Không |
9.3.x Loại ống | Suốt chỉ Chữ T Khác……. | Suốt chỉ Chữ T Khác ……… |
9.4.x Chất liệu | Fluorplastic Silicone Khác …….. | Fluorplastic Silicone Khác……… |
9.5.x Đường kính | 0,76mm 1,02mm 1,14mm Khác ……... | 0,76mm 1,02mm 1,14mm Khác ……... |
9.6.x Dịch tai trong phẫu thuật | Trắng đục Keo nhày Trong loãng Không có Khác ………. | Trắng đục Keo nhày Trong loãng Không có Khác ………. |
1
10. Phẫu thuật vòm
1 2 | Khác ……. | |
10.2 Kỹ thuật | Von Langebeck | VY |
Z-Furlow | Hai vạt | |
Đóng lỗ thông | Khác……………….. |
11. Theo dõi sau phẫu thuật trước khi ra viện
x.1Tai phải | x.2 Tai trái | |
10.1.x Lượng dịch tai | 5 ngày còn dịch 5 ngày hết dịch 1 ngày hết dịch Khác ………. | 5 ngày còn dịch 5 ngày hết dịch 1 ngày hết dịch Khác ………. |
10.2.x Tình trạng dịch | Trắng đục Keo nhày Trong loãng Không có Lẫn máu | Trắng đục Keo nhày Trong loãng Không có Lẫn máu |
10.3.x Tình trạng OTK trước khi ra viện | Đúng vị trí Được đặt lại Khác …… | Đúng vị trí Được đặt lại Khác …… |
10.4 Tình trạng vòm | Đóng kín Bục Chảy máu/nhiễm trùng, không bục | |
Hà Nội, ngày … tháng … năm ……
Người làm bệnh án
Khiếu Hữu Thanh
2












