
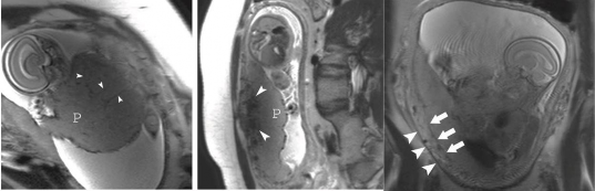
Hình 1.5: MRI rau cài răng lược [32]
* α Fetoprotein: theo B Courbieres, nồng độ αFP và βhCG trong máu tăng có liên quan với RCRL. Trên các bệnh nhân rau tiền đạo, khi nồng độ αFP trong máu tăng 2,5 MOM thì nguy cơ RCRL tăng gấp 8,3 lần, còn khi nồng độ βhCG tăng thì nguy cơ RCRL tăng gấp 3,9 lần. Tuy nhiên, αFP trong máu tăng không phải là chỉ số đặc hiệu để chẩn đoán cũng như tiên lượng các biến chứng của RCRL [33]. Còn tác giả Ophir lại cho rằng, sự tăng creatine kinase trong huyết thanh là một chỉ điểm của sự xâm nhập các gai rau vào cơ tử cung [34].
* Giải phẫu bệnh:
Chẩn đoán giải phẫu bệnh bánh rau sau đẻ: Nhìn thấy được các gai rau ăn trực tiếp vào cơ TC mà không có lớp đệm màng rụng tại đây. Rau cài răng lược thường không đồng nhất trên toàn bộ bề mặt bánh rau nên chẩn đoán mức độ RCRL phụ thuộc vào vị trí ăn sâu nhất của rau vào cơ TC. Chẩn đoán rau bám chặt đặt ra khi mất lớp màng rụng hoặc thấy có mảnh cơ TC dính vào bánh rau.
1.4. Thái độ xử trí
Hướng xử trí của RCRL phụ thuộc vào tình trạng sản phụ, tuổi thai, vị trí rau bám, mức độ xâm lấn vào cơ tử cung (nông hay sâu), diện tích rau bám…Trong điều trị RCRL, vấn đề chăm sóc và quản lý trước và sau mổ đóng vai trò vô cùng quan trọng. Điều này sẽ làm giảm những tai biến cho mẹ và cho con, giảm lượng máu mất trong quá trình mổ.
1.4.1. Trong khi có thai
Có thể bạn quan tâm!
-
Đặc điểm lâm sàng, cận lâm sàng và kết quả phẫu thuật rau cài răng lược tại Bệnh viện phụ sản Hà Nội - 1 -
Đặc điểm lâm sàng, cận lâm sàng và kết quả phẫu thuật rau cài răng lược tại Bệnh viện phụ sản Hà Nội - 2 -
Tỉ Lệ Rcrl Trên Sản Phụ Mổ Đẻ Cũ Có Và Không Có Rtđ [13] -
Đặc Điểm Lâm Sàng, Cận Lâm Sàng Ở Sản Phụ Rau Cài Răng Lược Tại Bệnh Viện Phụ Sản Hà Nội -
Đặc Điểm Nghề Nghiệp Và Địa Dư Của Đối Tượng Nghiên Cứu -
Mức Độ Rau Cài Răng Lược Và Phương Pháp Xử Trí
Xem toàn bộ 93 trang tài liệu này.
Trước hết, RCRL phải được phát hiện trong thai kỳ, càng sớm càng tốt, nhất là trên các thai phụ có nguy cơ cao như rau tiền đạo kèm tiền sử MLT… sau đó, các
bệnh nhân này sẽ được chuyển đến theo dõi tại tuyến y tế có phẫu thuật viên sản - tiết niệu giàu kinh nghiệm, phương tiện hồi sức tốt với ngân hàng máu và có trung tâm sơ sinh chuyên sâu, nhập viên khi thai 33 - 34 tuần [35].
Tại đây, hướng xử trí của RCRL sẽ phụ thuộc vào tuổi thai, nguyện vọng sinh đẻ của bệnh nhân, loại RCRL. Công tác chuẩn bị trước mổ rất quan trọng, việc chuẩn bị tốt sẽ giảm thiểu tai biến cho mẹ và con, bao gồm:
* Bằng siêu âm Doppler màu, xác định chi tiết vị trí rau bám vào tử cung, RCRL ít hay trên diện rộng, có thể sử dụng MRI để xác định mức độ RĐX bàng quang, đánh giá sức khỏe của người mẹ mà chủ yếu là tình trạng thiếu máu có thể đi kèm nếu có rau tiền đạo, đánh giá tuổi thai và tình trạng sức khỏe của thai nhi.
* Giải thích cho sản phụ về nguy cơ phải mổ lấy thai cấp cứu ở bất kỳ tuổi thai nào nếu ra máu âm đạo nhiều, thai nhi có thể non tháng, thậm chí không có khả năng sống độc lập sau khi được lấy ra khỏi cơ thể mẹ. Đối với người mẹ, cuộc mổ sẽ rất khó khăn và nguy hiểm, do RCRL thường gây chảy máu dữ dội khi mổ lấy thai nên nguy cơ phải cắt tử cung để cầm máu là rất cao, rối loạn đông máu, thậm chí có thể tử vong ngay trên bàn mổ. Bên cạnh đó là nguy cơ tổn thương các cơ quan lân cận mà hay gặp nhất là rách bàng quang và tổn thương niệu quản khi phẫu thuật. Khả năng phải mổ lại một hoặc vài lần là hoàn toàn có thể xảy ra. Cũng cần thảo luận với bệnh nhân về nguyện vọng giữ lại tử cung vì chưa đủ con hay cắt tử cung ngay nếu đã đủ con để phẫu thuật viên chủ động khi mổ.
* Đối với những sản phụ nhập viện khi thai chưa đủ tháng, cần cố gắng giữ thai cho tới khi đủ tháng. Nếu thai từ 24 tuần đến dưới 34 tuần thì được dùng glucocorticoid trước khi lấy thai 48 giờ. Việc sử dụng Corticoid có vai trò kích thích sự trưởng thành phổi, làm giảm hội chứng suy hô hấp, giảm nguy cơ viêm ruột hoại tử và giảm tỉ lệ tử vong sơ sinh nếu phải can thiệp ngừng thai nghén sớm [11]. Ở Việt Nam, thường chỉ dùng 1 đợt glucocorticoid đối với thai 24 - 34 tuần. Ở Cộng hoà Pháp, glucocorticoid có thể được dùng tối đa 3 đợt cách nhau 1 tuần. Nếu có dấu hiệu dọa đẻ non, bệnh nhân sẽ được điều trị thuốc giảm cơn co tử cung [36].
* Lên kế hoạch mổ lấy thai:
Một khi đã xác định là RCRL, tất cả các bệnh nhân đều phải mổ lấy thai và cố gắng hạn chế tối đa việc mổ cấp cứu. Quyết định chấm dứt thai kỳ ở tuổi thai nào chủ yếu tùy thuộc vào khả năng nuôi dưỡng sơ sinh non tháng của trung tâm sơ sinh.
Trên thế giới, đa số các bệnh nhân RCRL sẽ được mổ chủ động khi thai được 34 - 35 tuần tuổi do các trung tâm chăm sóc sơ sinh non tháng rất phát triển [37]. Ở Việt Nam, xu hướng chung là cố gắng giữ thai đến hết 38 tuần để hạn chế các biến cố của sơ sinh non tháng. Bệnh nhân sẽ được lên kế hoạch để mổ chủ động với một ê- kíp giàu kinh nghiệm gồm các bác sĩ chuyên ngành sản khoa, phụ khoa ung thư, gây mê, nhi khoa, tiết niệu, X- Quang can thiệp mạch…với đầy đủ các phương tiện kỹ thuật hồi sức, máu, plasma, cryo.., được dự trù trước mổ nhằm kiểm soát tốt chảy máu vùng tiểu khung trong khi mổ, đảm bảo việc hồi sức đối với sản phụ và sơ sinh, giảm thiểu các biến chứng có thể xảy ra [18], [38]. Ở Việt Nam, tuy chưa có sự phối hợp chuẩn bị trước mổ của các chuyên ngành khác như X- Quang, tiết niệu nhưng việc sắp xếp mổ chủ động đối với bệnh nhân RCRL cũng vô cùng cần thiết để chuẩn bị đầy đủ máu, plasma, cryo, sắp xếp e-kíp mổ chuyên sâu - có thể cả phẫu thuật viên chuyên ngành ung thư phụ khoa để thắt động mạch hạ vị nếu cần, bố trí e- kíp gây mê hồi sức mẹ cũng như hồi sức sơ sinh để hạn chế tối đa tai biến mẹ và con khi mổ.
1.4.2. Xử trí khi mổ lấy thai rau cài răng lược
Các phương pháp xử trí khi MLT đối với bệnh nhân RCRL đều nhằm mục đích hạn chế tối đa lượng máu mất, tai biến tổn thương bàng quang, niệu quản và nguy cơ phải mổ lại do chảy máu thứ phát. Để đạt được điều này, từng bước trong phẫu thuật đều phải được cân nhắc kỹ.
* Chọn đường rạch da để mở vào ổ bụng: trước kia, do RCRL thường chỉ được phát hiện khi mổ nên kỹ thuật mổ vẫn là kinh điển với đường rạch da Pfanenstiel. Gần đây, ở nước ngoài và các bệnh viện tuyến đầu của Việt Nam như BVPSTW, cùng với sự tiến bộ của siêu âm Doppler màu và MRI, đa số các trường hợp RCRL đã được chẩn đoán trước mổ, việc phẫu thuật các bệnh nhân này được lên kế hoạch, chuẩn bị kỹ lưỡng tối đa cả về nhân lực và hồi sức, mang lại thế chủ động cho phẫu thuật viên và bác sĩ gây mê. Khi mổ RCRL, các phẫu thuật viên đều thống nhất rằng: nên rạch da đường dọc giữa dưới hoặc mở lên trên rốn nếu cần để bộc lộ phẫu trường tốt hơn, tử cung sẽ được đưa ra ngoài ổ bụng để thuận lợi cho việc rạch cơ tử cung [38],[39]. Tuy nhiên ở Việt Nam, do hầu hết các bệnh nhân RCRL đều có tiền sử mổ lấy thai nên khi mổ lại, các phẫu thuật viên thường rạch da theo đường sẹo mổ cũ, mà đa số là đường rạch ngang trên vệ khiến cho phẫu trường chật chội và phẫu thuật viên thao tác khó khăn.
* Đường rạch cơ tử cung: có nhiều quan điểm về đường rạch cơ tử cung để lấy thai. Đặc trưng của các bệnh nhân RCRL là giải phẫu của vùng tiểu khung thường bị biến dạng do xuất hiện nhiều mạch máu tăng sinh bất thường, đoạn dưới tử cung
cũng bị biến dạng phình to với mạng lưới mạch máu to ngoằn nghèo, nhất là trong trường hợp vết mổ cũ dính, hoặc RCRL kèm RTĐTT mặt trước đoạn dưới tử cung. Trên thế giới, đa số các phẫu thuật viên đều chủ động rạch dọc thân tử cung để lấy thai, mép vết rạch cách bờ trên của mép bánh rau 2 cm, đường rạch tránh đi qua bánh rau và các xoang mạch ở mặt trước đoạn dưới tử cung để hạn chế chảy máu và tránh tổn thương bàng quang vì đa số các bệnh nhân RCRL đều có sẹo MLT một hoặc nhiều lần, có thể dính nhiều hoặc RCRL mặt trước đoạn dưới đâm xuyên vào bàng quang, rạch ngang đoạn dưới tử cung trong các trường hợp này sẽ gây chảy máu dữ dội và xé rách bàng quang [39]. Trong một nghiên cứu ở Nhật Bản của Kotsuji F trên 34 ca RCRL có kèm RTĐ bám mặt trước đoạn dưới tử cung [38], hay trong một nghiên cứu của Jose M Palacios về xử trí phẫu thuật để bảo tồn tử cung trong RCRL ở Argetina [40], các phẫu thuật viên còn sử dụng đường rạch ngang đáy tử cung để không chạm vào bánh rau, và nhận thấy lượng máu mất ít hơn hẳn so với nhóm sử dụng đường rạch ngang đoạn dưới tử cung kinh điển
Tại Việt Nam, từ năm 2012, tại BVPSTW, Vũ Bá Quyết và các cộng sự đã bắt đầu áp dụng đường rạch dọc thân tử cung để lấy thai trong RCRL và thấy lượng máu mất ít hơn, thao tác cũng thuận lợi hơn và tỉ lệ rách bàng quang thấp hơn hẳn so với đường rạch ngang eo tử cung [34].

Hình 1.6: Rạch ngang đáy tử cung lấy thai và khâu bảo tồn tử cung [34]
Tránh bóc rau và thái độ xử trí đối với tử cung:
Khi đã xác định là RCRL, chiến lược điều tri cơ bản vẫn là mổ lấy thai khi gần đủ tháng rồi cắt tử cung luôn mà không bóc rau vì việc bóc rau thô bạo sẽ làm xé rách cơ tử cung vùng RCRL gây chảy máu dữ dội [39]. Anthony Shanks đã nghiên cứu lượng máu mất của 77 bệnh nhân RCRL và nhận thấy rằng, khi siêu âm phát hiện có
RCRL, việc MLT chủ động, không bóc rau mà cắt tử cung luôn sau khi lấy thai sẽ làm giảm lượng máu mất đến 40% [41].
Đối với những sản phụ còn trẻ, chưa có đủ con và RCRL thể đâm xuyên, nhất là RĐX bàng quang không gây chảy máu nhiều, nếu huyết động học ổn định, phương pháp lựa chọn đầu tiên là điều trị bảo tồn tử cung vì phương pháp xử trí này không những đã đem lại hy vọng được làm mẹ thêm một lần nữa cho sản phụ, mà còn tránh được các biến chứng có thể xảy ra trong khi cắt tử cung, nhất là biến chứng chảy máu ồ ạt và tổn thương bàng quang, niệu quản [11]. Khi bảo tồn tử cung, sau khi lấy thai, dây rốn sẽ được kẹp cắt sát bánh rau, để lại toàn bộ bánh rau trong tử cung, khâu lại vết mổ tử cung và điều trị MTX đường tiêm bắp đa liều, khởi đầu ngay sau mổ ngày thứ 1 - 2 - 4 - 6 với mục đích gây hoại tử và rau tự bị đẩy ra ngoài. Kỹ thuật nút động mạch tử cung để hạn chế chảy máu trong điều trị bảo tồn được nhiều nước trên thế giới áp dụng [11]. Nguy cơ chủ yếu của việc điều trị bảo tồn là nhiễm trùng do hoại tử bánh rau dẫn tới băng huyết và cuối cùng phải cắt tử cung. Theo một nghiên cứu của L. Sentilhen và cộng sự tại Pháp từ 1993 - 2007 trên 167 bệnh nhân RCRL được điều trị bảo tồn tử cung, có 75 % trường hợp bánh rau tự tiêu sau 13,5 tuần, còn 25 % số trường hợp còn lại phải soi buồng tử cung nạo rau sau đó 20 tuần [42]. Ngược lại, trong một nghiên cứu của Tobias trên 26 bệnh nhân RCRL ở Australia, có 14 ca điều trị bảo tồn thì 1 bệnh nhân phải cắt tử cung do nhiễm trùng nặng sau 9 tháng [43].
Ở Việt Nam, do việc nút động mạch tử cung ngay trước khi mổ chưa được áp dụng đối với RCRL, việc thắt động mạch hạ vị trong khi mổ cũng chưa được chỉ định rộng rãi và do e ngại nguy cơ nhiễm trùng sau mổ bảo tồn tử cung nên đa số các trường hợp RCRL thể đâm xuyên hoặc RCRL trên diện rộng đều phải cắt tử cung bán phần hoặc cắt tử cung hoàn toàn sau khi lấy thai do chảy máu dữ dội. Thêm nữa, trong thực tế, không ít trường hợp, việc phát hiện RCRL lại chỉ xảy ra trong lúc phẫu thuật, và hầu hết là phải cắt tử cung cấp cứu để cầm máu nhằm bảo toàn tính mạng cho sản phụ. Tuy nhiên, phẫu thuật cắt tử cung này cũng rất khó khăn và có nhiều tai biến như: thời gian phẫu thuật kéo dài, máu mất nhiều, rối loạn đông máu, chảy máu thứ phát phải mổ lại, tổn thương bàng quang, niệu quản…
Theo Phạm Huy Hiền Hào, tỉ lệ cắt tử cung do chảy máu ở các bệnh nhân bị RCRL là 93,7% [10]. Kết quả nghiên cứu của Đinh Văn Sinh cho thấy, tỉ lệ phải cắt tử cung do RCRL ở các bệnh nhân có kèm RTĐ là 87,5% [28]. Tỉ lệ này theo Bạch Cẩm An là 100% nếu có RCRL đâm xuyên bàng quang [44]. Một số trường hợp chỉ
1 phần rất nhỏ rau bị cài răng lược trên sản phụ còn trẻ, chưa đủ con, chảy máu ít, huyết động tương đối ổn định, phẫu thuật viên thường khâu cầm máu tại chỗ, thắt động mạch tử cung hai bên, tiêm các thuốc tăng co bóp tử cung và đã bảo tồn tử cung thành công.
1.4.3. Biến chứng của rau cài răng lược và xử trí
RCRL là một cấp cứu sản khoa với những biến chứng nặng nề như chảy máu dữ dội giai đoạn bóc rau, tổn thương bàng quang, niệu quản và nguy cơ phải mổ lại. Lượng máu mất trung bình trong 1 ca mổ RCRL theo các nghiên cứu ở Hoa Kỳ là 3000 ml, lượng máu phải truyền trung bình là 5 đơn vị khối hồng cầu [35], còn theo một nghiên cứu tại Vương Quốc Anh thì trung bình phải truyền tới 10 đơn vị hồng cầu khối, 4 đơn vị plasma tươi khi cắt tử cung [45]. Tại Bệnh viện Trung ương Huế, trong 5 năm (2006 - 2010), Bạch Cẩm An đã gặp 7/8 ca RCRL có xâm lấn bàng quang phải truyền máu, trong đó có 2 ca phải truyền tới 7500 ml và 5000 ml máu [44]. Chảy máu dữ dội gây mất máu cấp là nguyên nhân hàng đầu dẫn đến tử vong mẹ trong RCRL. Tại Bệnh viện Anger của Cộng hoà Pháp, O’Brien AJOG đã báo cáo có 8/109 (7%) trường hợp RCRL bị tử vong do mất máu nặng [38]. Nghiên cứu của Jason D cho thấy, lượng máu mất nhiều hơn ở nhóm các bệnh nhân không được phát hiện RCRL trước mổ và các bệnh nhân cắt tử cung hoàn toàn; còn nhóm bảo tồn tử cung thì mất máu ít hơn [35].
RCRL thường gặp trên bệnh nhân có RTĐ và tiền sử mổ đẻ cũ, mạch máu ở đoạn dưới tăng sinh, bàng quang lại treo cao, đặc biệt khi RCRL đâm xuyên xâm lấn vào bàng quang, phẫu thuật cực kỳ khó khăn, nguy cơ tổn thương bàng quang và các cơ quan xung quanh hoặc gây tụ máu vùng tiểu khung rất cao, có thể phải phẫu thuật nhiều lần do chảy máu trong ổ bụng, hậu phẫu nặng nề và kéo dài. Theo nghiên cứu của Đinh Văn Sinh trên 24 sản phụ bị RCRL kèm theo rau tiền đạo, có tới 6 ca bị rách bàng quang, chiếm tỉ lệ 25% [28].
Để hạn chế tai biến tổn thương hệ tiết niệu và mất máu, ở các nước tiên tiến, trước khi rạch da, bệnh nhân sẽ được gây tê ngoài màng cứng để bác sĩ tiết niệu đặt sonde JJ vào 2 niệu quản nhằm đánh giá sự toàn vẹn của niệu quản trong quá trình phẫu thuật, lấy sẵn đường tĩnh mạch trung tâm để tối ưu hóa cho việc hồi sức, sau đó, chuyển gây mê toàn thân để mổ lấy thai [46]. Sau khi lấy thai, nếu là RCRL thể đâm xuyên bàng quang, mạch máu tử cung ở vùng rau bám sẽ được nút mạch, các mạch máu lớn phía sau và đáy bàng quang đều được kẹp lại tạm thời bằng những clip - các mạch máu này đôi khi còn to hơn cả các các mạch máu ở đoạn dưới tử cung, 2 niệu
quản được phẫu tích rõ ràng, sau đó mới cắt tử cung [43]. Nếu vị trí RCRL đâm xuyên ở đáy bàng quang, trước khi cắt tử cung, trên thế giới, nhiều phẫu thuật viên chủ động mở bàng quang, cắt bỏ phần bàng quang có múi RĐX, sau đó việc giải phóng bàng quang khỏi đoạn dưới tử cung sẽ dễ dàng hơn, kỹ thuật này còn nhanh gọn và đỡ chảy máu hơn là phải bóc tách bàng quang trên diện rộng [18,39,46]. Các bệnh nhân này sau hậu phẫu đều được khám lại nhưng không có bất cứ một ca nào bị rò hoặc giảm dung tích bàng quang [43]. Còn Younes N. Bakri thì lại mô tả một trường hợp RCRL đâm xuyên bàng quang đã được phẫu thuật thành công: mổ lấy thai chủ động, sau đó cắt tử cung bán phần, thắt 2 động mạch hạ vị và điều tri MTX để làm hoại tử phần RĐX bàng quang [8]. Trên thế giới, còn một phương pháp được thực hiện trong quá trình chuẩn bị trước mổ để giảm lượng máu mất khá hiệu quả là bác sĩ chẩn đoán hình ảnh sẽ đặt bóng qua động mạch đùi vào động mạch hạ vị dưới siêu âm dẫn đường. Quả bóng sẽ được bơm lên dần đến 20 phút trong khi cắt tử cung, làm giảm đáng kể lượng máu mất [41,46],. Ngoài ra, theo Maurizio Arduini, khâu BLynch, chèn bóng vào buồng tử cung sau khi đã khâu cầm máu tại diện rau bám cũng là phương pháp cầm máu hiệu quả trong RCRL kèm RTĐ [47].
Ở Việt Nam, mặc dù kỹ năng của các phẫu thuật viên không hề thua kém thế giới song do chưa có sự phối hợp đồng bộ của đa chuyên ngành nên phẫu thuật RCRL thực sự vẫn là một phẫu thuật vô cùng khó khăn và nguy hiểm, tỉ lệ tai biến trong và sau mổ còn cao, nhất là sốc do mất máu cấp, tổn thương tiết niệu và chảy máu thứ phát phải mổ lại. Điều quan trọng hàng đầu là các bệnh nhân RCRL phải được phát hiện sớm và chuyển tuyến y tế có chuyên môn cao để quản lý chặt chẽ trong thai kỳ.
1.5. Một số nghiên cứu về rau cài răng lược
1.5.1. Trên thế giới
Cũng với mục tiêu nghiên cứu các yếu tố nguy cơ và xử trí RCRL, từ 2008 - 2012, tại Toronto, Melissa G [18] đã tiến hành nghiên cứu tiến cứu trên 33 bệnh nhân RCRL được chẩn đoán trong thai kỳ bằng siêu âm Doppler màu và MRI, cho thấy: rau tiền đạo, mổ đẻ cũ, tiền sử nạo thai nhiều lần là các yếu tố có liên quan đến sự xuất hiện RCRL với tỉ lệ gặp ở nhóm bệnh nhân này lần lượt là: 100% có RTĐ, 94% đã từng MLT và 42,4% số bệnh nhân RCRL có tiền sử nạo thai. 72,7% bệnh nhân được mổ chủ động; chỉ có 2 bệnh nhân (6,1%) được bảo tồn tử cung sau khi đã bóc được phần lớn bánh rau, còn lại 93,9% là cắt tử cung ngay sau khi lấy thai với tỉ lệ 48,5% cắt tử cung bán phần và 45,4% cắt tử cung hoàn toàn. 73% bệnh nhân phải truyền máu, trung bình là 3,5 đơn vị khối hồng cầu. Mặc dù tất cả bệnh
nhân đều được phát hiện RCRL sớm và mổ chủ động với 88% đặt bóng ĐMHV, vẫn có 10 ca (30,3%) bị rách đáy bàng quang ở thì bóc tách bàng quang trước khi cắt tử cung.
Nhóm tác giả Eric Jauniaux và cộng sự khi thực hiện phân tích tổng hợp dựa trên 98 nghiên cứu toàn văn và 29 bài báo được nhóm tác giả tìm kiếm trên Pubmed, Google Scholer, Clinical Trials.gov vad Medline từ năm 1982 đến năm 2018. Nghiên cứu bao gồm 7001 trường hợp RCRL trong số 5.719.992 ca sinh. Theo nghiên cứu trên tỉ lệ mắc RCRL dao động từ 0,01 - 1,1% với tỉ lệ mắc chung là 0,17% (CI= 95%). Tỉ lệ cắt TCBP là 52,2%, 46,9% số trường hợp cần truyền máu và 0,05% trường hợp tử vong mẹ [48].
Trong một nghiên cứu ở Hoa Kỳ năm 2021 tiến hành phân tích các trường hợp mổ lấy thai từ tháng 10/2015 đến tháng 12/2017 được chẩn đoán RCRL. Kết quả nghiên cứu thu được tỉ lệ mắc RCRL là 0,29% trong đó nhóm RCRL độ 1 là phổ biến nhất chiếm 0,23%, tiếp đến là RCRL độ 3 và độ 2 với 0,04 và 0,03%. Số trường hợp RCRL tăng 2,1%, mỗi quý tăng từ 0,27% lên 0,32%. Khi phân tích đa biến giữa nhóm sản phụ mắc RCRL ( nhóm bệnh) và không mắc RCRL (nhóm chứng) nhóm tác giả nhận thấy: tuổi thai trung bình khi mổ ở nhóm RCRL độ 1 là 36 tuần, nhóm RCRL độ 2, độ 3 là 34 tuần và ở nhóm không mắc RCRL tuổi thai trung bình khi mổ là 39 tuần; tỉ lệ xuất huyết ở nhóm bệnh chiếm 54,1% trong khi ở nhóm chứng là 3,9%; rối loạn đông máu ở nhóm bệnh là 5,3%, ở nhóm chứng tỉ lệ này là 0,3%; tỉ lệ sốc ở nhóm bệnh là 5,0%, ở nhóm chứng là 0,1%; tỉ lệ tổn thương đường tiết niệu ở nhóm bệnh và nhóm chứng lần lượt là 8,3% và 0,2%; cuối cùng là tỉ lệ tử vong ở nhóm bệnh là 0,25% và nhóm chứng là 0,01%. Nghiên cứu cũng đưa ra kết luận những sản phụ trong nhóm RCRL độ 2 và độ 3 có nguy cơ tử vong do phẫu thuật tăng lên rõ rệt so với những sản phụ nhóm RCRL độ 1 [49].
1.5.2. Tại Việt Nam
Tác giả Lê Thị Hương Trà lại phân tích hồi cứu 100 bệnh nhân RCRL được mổ đẻ tại BVPSTW trong thời gian 2007 - 2011, nhận thấy: 60% các bệnh nhân có tiền sử MLT, 70% đã từng nạo thai, 83% có RTĐ kèm theo. Tỉ lệ đẻ đường dưới là 3%. Khi phẫu thuật, 63% các bệnh nhân đã được mổ chủ động nhưng chỉ có 30% số bệnh nhân được phát hiện RCRL từ trong thai kỳ. Tỉ lệ các bệnh nhân được áp dụng đường rạch dọc thân tử cung khi MLT chỉ có 22,9%. Các tỉ lệ bảo tồn tử cung, cắt tử cung bán phần, cắt tử cung hoàn toàn lần lượt là 24%, 52% và 24%. Để cầm máu, 25% bệnh nhân phải thắt ĐMTC, 3% bệnh nhân phải thắt ĐMHV và 20% bệnh nhân được



![Tỉ Lệ Rcrl Trên Sản Phụ Mổ Đẻ Cũ Có Và Không Có Rtđ [13]](https://tailieuthamkhao.com/uploads/2024/03/18/dac-diem-lam-sang-can-lam-sang-va-ket-qua-phau-thuat-rau-cai-rang-luoc-3-1-120x90.jpg)


