Mật độ quang 750nm (AU) | Lượng protein (mg/g) | Hiệu suất thủy phân (%) | |
2 | 0.2491 | 356.43 | 39.23% |
4 | 0.2498 | 357.43 | 39.37% |
6 | 0.2569 | 367.57 | 40.77% |
8 | 0.2597 | 371.57 | 41.32% |
10 | 0.2848 | 407.43 | 46.26% |
12 | 0.2874 | 411.14 | 46.77% |
14 | 0.3005 | 429.86 | 49.35% |
16 | 0.3233 | 462.43 | 53.84% |
18 | 0.3458 | 494.57 | 58.27% |
20 | 0.3512 | 502.29 | 59.33% |
22 | 0.3515 | 502.71 | 59.39% |
24 | 0.3657 | 523.00 | 62.19% |
Có thể bạn quan tâm!
-
Khảo Sát Phản Ứng Thủy Phân Ở Hàm Lượng Xúc Tác Là 0.25% So Với Cơ Chất Theo Thời Gian -
Sự Phụ Thuộc Của Hiệu Suất Vào Thời Gian Phản Ứng Ở Ph 8.0 Và Hàm Lượng Xúc Tác Là 0.25%. -
Khảo Sát Phản Ứng Thủy Phân Ở Hàm Lượng Xúc Tác Là 0.75% So Với Cơ Chất -
Thu nhận Enzym Papain để ứng dụng vào phản ứng thủy phân Protein trong bánh dầu đậu phộng - 12
Xem toàn bộ 96 trang tài liệu này.
1.00%
Bảng 3.43. Hiệu suất phản ứng ở pH 6.0, 70OC và hàm lượng xúc tác là
Mật độ quang 750nm (AU) | Lượng protein (mg/g) | Hiệu suất thủy phân (%) | |
2 | 0.3023 | 432.43 | 49.71% |
4 | 0.3091 | 442.14 | 51.05% |
6 | 0.3220 | 460.57 | 53.59% |
8 | 0.3252 | 465.14 | 54.22% |
10 | 0.3302 | 472.29 | 55.20% |
12 | 0.3307 | 473.00 | 55.30% |
14 | 0.3379 | 483.29 | 56.72% |
16 | 0.3397 | 485.86 | 57.07% |
18 | 0.3315 | 474.14 | 55.46% |
20 | 0.3380 | 483.43 | 56.74% |
22 | 0.4008 | 573.14 | 69.10% |
24 | 0.4125 | 589.86 | 71.40% |
Bảng 3.44. Hiệu suất phản ứng ở pH 6.0, 80OC và hàm lượng xúc tác là 1.00%
Mật độ quang 750nm (AU) | Lượng protein (mg/g) | Hiệu suất thủy phân (%) | |
2 | 0.1963 | 281.00 | 28.84% |
4 | 0.2011 | 287.86 | 29.78% |
6 | 0.2124 | 304.00 | 32.01% |
8 | 0.2262 | 323.71 | 34.72% |
10 | 0.2484 | 355.43 | 39.09% |
12 | 0.2467 | 353.00 | 38.76% |
14 | 0.2612 | 373.71 | 41.61% |
16 | 0.2821 | 403.57 | 45.73% |
18 | 0.2822 | 403.71 | 45.75% |
20 | 0.3476 | 497.14 | 58.63% |
22 | 0.3502 | 500.86 | 59.14% |
24 | 0.3511 | 502.14 | 59.31% |
Sự phụ thuộc của hiệu suất vào thời gian phản ứng (pH 8.0, Nồng độ xúc tác 1.00%)
90.00
80.00
70.00
60.00
50.00
40.00
30.00
20.00
10.00
0 2 4 6 8 10 12 14 16 18 20 22 24 26
Thời gian phản ứng (giờ)
60oC
70oC
80oC
Hiệu suất phản ứng (%)
Nhận xét: với hàm lượng xúc tác 1.00%, hiệu suất phản ứng đã có sự chuyển biến khá rõ. Hiệu suất cao nhất thu được ở pH 6.0 là 71.40% tăng 34.73% so với hàm lượng xúc tác 0.25%.
Hình 3.20. Sự phụ thuộc của hiệu suất vào thời gian phản ứng ở pH 6.0 và hàm lượng xúc tác là 1.00%.
Tại pH 7.0, hiệu suất phản ứng ở các nhiệt độ khác nhau được trình bày trong bảng 3.45 – 3.47 (phụ lục 21 – 23)
Bảng 3.45. Hiệu suất phản ứng ở pH 7.0, 60OC và hàm lượng xúc tác là 1.00%
Mật độ quang 750nm (AU) | Lượng protein (mg/g) | Hiệu suất thủy phân (%) | |
2 | 0.2918 | 417.36 | 47.63% |
4 | 0.2999 | 429.00 | 49.23% |
6 | 0.3229 | 461.91 | 53.77% |
8 | 0.3256 | 465.70 | 54.29% |
10 | 0.3324 | 475.39 | 55.63% |
12 | 0.3355 | 479.80 | 56.24% |
14 | 0.3395 | 485.56 | 57.03% |
16 | 0.3522 | 503.76 | 59.54% |
18 | 0.3687 | 527.26 | 62.78% |
20 | 0.3766 | 538.53 | 64.33% |
22 | 0.3879 | 554.76 | 66.57% |
24 | 0.3923 | 560.96 | 67.42% |
Bảng 3.46. Hiệu suất phản ứng ở pH 7.0, 70OC và hàm lượng xúc tác là 1.00%
Mật độ quang 750nm (AU) | Lượng protein (mg/g) | Hiệu suất thủy phân (%) | |
2 | 0.2901 | 415.04 | 47.31% |
4 | 0.2974 | 425.43 | 48.74% |
6 | 0.3023 | 432.37 | 49.70% |
8 | 0.3091 | 442.19 | 51.05% |
10 | 0.3220 | 460.63 | 53.59% |
12 | 0.3252 | 465.14 | 54.22% |
14 | 0.3302 | 472.33 | 55.21% |
16 | 0.3307 | 472.93 | 55.29% |
18 | 0.3315 | 474.13 | 55.45% |
20 | 0.3379 | 483.33 | 56.72% |
22 | 0.3397 | 485.91 | 57.08% |
24 | 0.4589 | 656.14 | 80.54% |
Bảng 3.47. Hiệu suất phản ứng ở pH 7.0, 80OC và hàm lượng xúc tác là 1.00%
Mật độ quang 750nm (AU) | Lượng protein (mg/g) | Hiệu suất thủy phân (%) | |
2 | 0.1589 | 227.53 | 21.47% |
4 | 0.1732 | 247.94 | 24.28% |
6 | 0.1813 | 259.51 | 25.88% |
8 | 0.1820 | 260.54 | 26.02% |
10 | 0.1992 | 285.13 | 29.41% |
12 | 0.2039 | 291.81 | 30.33% |
14 | 0.2079 | 297.56 | 31.12% |
16 | 0.2093 | 299.60 | 31.40% |
18 | 0.2242 | 320.90 | 34.34% |
20 | 0.2381 | 340.70 | 37.06% |
22 | 0.2453 | 351.00 | 38.48% |
24 | 0.2642 | 378.00 | 42.21% |
Sự phụ thuộc của hiệu suất vào thời gian phản ứng (pH 7.0, Nồng độ xúc tác 1.00%)
90.00
80.00
70.00
60.00
50.00
40.00
30.00
20.00
10.00
0 2 4 6 8 10 12 14 16 18 20 22 24 26
Thời gian phản ứng (giờ)
60oC
70oC
80oC
Hiệu suất phản ứng (%)
Nhận xét: so với pH 6.0 hiệu suất cao nhất ở điều kiện 70OC chỉ đạt 71.40% thì ở pH 7.0 hiệu suất phản ứng đã tăng lên khá nhiều và đạt giá trị là 80.54%. Đây cũng chính là hiệu suất cao nhất thu được khi thực hiện phản ứng thủy phân protein trong bánh dầu đậu phộng đã loại béo với xúc tác là enzyme papain có trong nhựa đu đủ đông khô. Từ đồ thị hình 3.20 chúng ta thấy rằng ở nhiệt độ 80OC, hiệu suất phản ứng thấp hơn hẳn so với hai nhiệt độ còn lại.
Hình 3.21. Sự phụ thuộc của hiệu suất vào thời gian phản ứng ở pH 7.0 và hàm lượng xúc tác là 1.00%.
Tại pH 7.0, hiệu suất phản ứng ở các nhiệt độ khác nhau được trình bày trong bảng 3.48 – 3.50.
Bảng 3.48. Hiệu suất phản ứng ở pH 8.0, 60OC và hàm lượng xúc tác là 1.00%
Mật độ quang 750nm (AU) | Lượng protein (mg/g) | Hiệu suất thủy phân (%) | |
2 | 0.1590 | 227.71 | 21.49% |
4 | 0.1732 | 247.94 | 24.28% |
6 | 0.1813 | 259.63 | 25.89% |
8 | 0.1822 | 260.86 | 26.06% |
10 | 0.1929 | 276.14 | 28.17% |
12 | 0.2041 | 292.14 | 30.37% |
14 | 0.2087 | 298.71 | 31.28% |
16 | 0.2099 | 300.43 | 31.51% |
18 | 0.2240 | 320.57 | 34.29% |
20 | 0.2380 | 340.57 | 37.05% |
22 | 0.2453 | 351.00 | 38.48% |
24 | 0.2789 | 399.00 | 45.10% |
Bảng 3.49. Hiệu suất phản ứng ở pH 8.0, 70OC và hàm lượng xúc tác là 1.00%
Mật độ quang 750nm (AU) | Lượng protein (mg/g) | Hiệu suất thủy phân (%) | |
2 | 0.3045 | 435.57 | 50.14% |
4 | 0.3091 | 442.14 | 51.05% |
6 | 0.3226 | 461.43 | 53.70% |
8 | 0.3229 | 461.86 | 53.76% |
10 | 0.3309 | 473.29 | 55.34% |
12 | 0.3312 | 473.71 | 55.40% |
14 | 0.3365 | 481.29 | 56.44% |
16 | 0.3397 | 485.86 | 57.07% |
18 | 0.3329 | 476.14 | 55.73% |
20 | 0.3380 | 483.43 | 56.74% |
22 | 0.3569 | 510.43 | 60.46% |
24 | 0.4009 | 573.29 | 69.12% |
Bảng 3.50. Hiệu suất phản ứng ở pH 8.0, 80OC và hàm lượng xúc tác là 1.00%
Mật độ quang 750nm (AU) | Lượng protein (mg/g) | Hiệu suất thủy phân (%) | |
2 | 0.1963 | 281.00 | 28.84% |
4 | 0.2032 | 290.86 | 30.20% |
6 | 0.2146 | 307.14 | 32.44% |
8 | 0.2258 | 323.14 | 34.65% |
10 | 0.2476 | 354.29 | 38.94% |
12 | 0.2498 | 357.43 | 39.37% |
14 | 0.2574 | 368.29 | 40.87% |
16 | 0.2645 | 378.43 | 42.26% |
18 | 0.2800 | 400.57 | 45.32% |
20 | 0.3494 | 499.71 | 58.98% |
22 | 0.3523 | 503.86 | 59.55% |
24 | 0.3577 | 511.57 | 60.61% |
60oC
70oC
80oC
Sự phụ thuộc của hiệu suất vào thời gian phản ứng (pH 8.0, nồng độ xúc tác 1.00% )
90.00
80.00
70.00
60.00
50.00
40.00
30.00
20.00
10.00
2 4 6 8
Thời gian phản ứng
10 12 14 16 18 20 22 24
Hiệu suất phản ứng
Hình 3.22. Sự phụ thuộc của hiệu suất vào thời gian phản ứng ở pH 8.0 và hàm lượng xúc tác là 1.00%.
Qua các điều kiện khảo sát, chúng tôi nhận thấy rằng phản ứng thủy phân với hàm lượng xúc tác là 1.00% có hiệu suất cao nhất ở pH 7.0 và nhiệt độ là 70OC.
70oC | |||
pH | 6.0 | 7.0 | 8.0 |
Hiệu suất (%) | 71.4 | 80.54 | 69.12 |
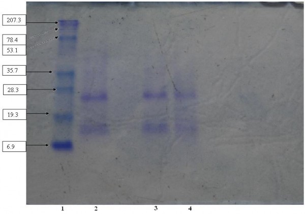
Ngoài ra chúng tôi đã tiến hành chạy điện di trên gel polyacrylamid với 3 hàm lượng xúc tác khác nhau 0.25%, 0.75% và 1.00% ở những điều kiện thực hiện phản ứng tối ưu đối với từng xúc tác. Kết quả thu được như hình 3.23

Hình 3.23 Kết quả điện di của dung dịch sau phản ứng ở các hàm lượng xúc tác khác nhau.
Chú thích:
1 – Thang protein chuẩn
2 – Dung dịch sau phản ứng với hàm lượng xúc tác 0.25% 3 - Dung dịch sau phản ứng với hàm lượng xúc tác 0.50% 4 - Dung dịch sau phản ứng với hàm lượng xúc tác 1.00%
KẾT LUẬN
Từ các kết quả thu được chúng tôi có những kết luận như sau:
1. Từ 100ml dịch nhựa đu đủ, sau khi đông khô chân không trong 8 giờ thu được 5 gam nhựa khô.
2. Hoạt tính protease của enzyme papain trong nhựa đu đủ đông khô chân xác định theo phương pháp Anson cải tiến là 70.35UI/ml.
3. Nồng độ enzyme ảnh hưởng quan trọng đến hiệu suất của phản ứng thủy phân. Ảnh hưởng này giới hạn trong một mức độ của sự tương quan về trọng lượng giữa nồng độ enzyme và cơ chất.
4. Khảo sát sự biến thiên hàm lượng đạm formol và đạm amoniac theo thời gian phản ứng, chúng tôi nhận thấy rằng hàm lượng đạm amoniac có biến đổi nhưng rất thấp đồng thời hàm lượng đạm formol sau 24 giờ phản ứng hầu như không có sự thay đổi. Điều này chứng tỏ phản ứng thủy phân đã kết thúc.
5. Điều kiện thực hiện phản ứng thủy phân tốt nhất là ở pH 7.0, 70oC và hàm lượng
xúc tác là 1.00%. Hiệu suất phản ứng thu được là 80.54%. Sau 24 giờ thủy phân, hầu hết các protein có trọng lượng phân tử cao đều bị thủy phân và thành phần trong dịch thủy phân thu nhận được ngoài các acid amin là các polypeptide có trọng lượng phân tử khoảng 14,4 – 25,0 kDa.
5. Hướng phát triển của đề tài
Đề tài này đóng vai trò quan trọng trong quá trình nghiên cứu chế biến nước chấm có hàm lượng đạm dinh dưỡng cao và không tạo thành sản phẩm phụ ảnh hưởng đến sức khỏe của con người. Chính vì vậy, hướng phát triển tiếp theo chúng tôi sẽ tiến hành phân tích hàm lượng acid amin và sự chuyển hóa nếu có của chúng để đảm bảo sản xuất được nước chấm có hàm lượng dinh dưỡng cao.
Ngoài ra cần tiếp tục khảo sát các yếu tố ảnh hưởng đến sự biến thiên hàm lượng axit amin và đạm amoniac để từ đó làm tiền đề cho việc nghiên cứu sản xuất nước chấm từ phế liệu của công nghiệp dầu thực vật.




